An 82-year-old man is seen for annual physical examination in the nursing home. He has resided there for 1 year because of the aggregate impact of multiple medical problems including, most prominently, laryngeal swallowing dysfunction associated with vocal cord paralysis.

HISTORY
An 82-year-old man is seen for annual physical examination in the nursing home. He has resided there for 1 year because of the aggregate impact of multiple medical problems including, most prominently, laryngeal swallowing dysfunction associated with vocal cord paralysis. Among many interventions, has had laryngoplasty, arytenoid reduction, and Teflon injection of the vocal cords; despite these, he continues to have recurrent aspiration pneumonia. A percutaneous endoscopically placed gastrostomy (PEG) was performed; subsequently, orders stipulated nutrition and fluid exclusively through PEG tube, but he is often found noncompliant: eating popcorn.
PHYSICAL EXAMINATION
Pleasantly interactive man whose voice is very soft owing to his vocal cord paralysis. PEG site not inflamed. Chest shows good air exchange, and no crackles, rhonchi, or wheezes. Penis as shown.
"WHAT'S YOUR DIAGNOSIS?"
ANSWER: SQUAMOUS CELL CARCINOMA IN SITU OF THE PENIS

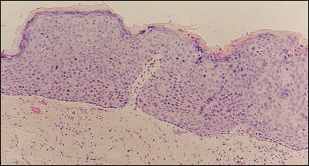
Figure 1 – Biopsy from this case shows architectural failure of maturation throughout the epithelium. Miniscule granular layer produces the thin keratin covering. Subepithelium looks edematous and mildly infiltrated with lymphocytes. (Hematoxylin and eosin stain, original magnification ×100.)
Most of the penile shaft shows no abnormality, whereas the area abutting the retrocoronal sulcus looks thickened, pinker, and less wrinkled, as though it formed a kind of collar. Nowhere is its surface markedly irregular or ulcerated. The tiny bit of brown-yellow matter halfway down might be dried serum (or extrinsic dirt, or a tiny residue of urine from underclothing). A minute papular elevation at the inferior margin of this collar is utterly nondescript.
The glans is mostly normal, but a flat red wedge occupies the left edge. The far side of this red area is not in view. The tissue is not moist or macerated; there is no heaped-up border, no central ulcer or exophytic mass, and no satellite lesions. One could well treat empirically for presumptive fungal balanitis; in this instance, such intervention would not yield any healing, for the red patch is a focus of intraepithelial carcinoma (carcinoma in situ).
Armed with the diagnosis, which was confirmed on incisional biopsies (Figures 1 and 2), we can wonder whether the "collar" represents a hyperplastic dysplasia; since this area was not sampled, the inference must be considered reasonable but unproven and thus speculative. A markedly papillomatous area on the underside of the glans showed similar pathology on biopsy (Figure 3).

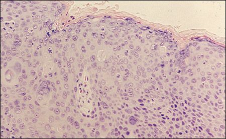
Figure 2 – Higher-magnification photomicrograph shows bizarre cytologic features, including binucleate and multinucleate tumor cells, and at least one tetrapolar mitosis. Pyknotic cells are also seen. Origin from keratinizing squamous epithelium is underscored by abundance of amphophilic cytoplasm even in the most bizarre cells. (Hematoxylin and eosin stain, original magnification ×200.)
DELAYED DIAGNOSIS, CONFUSION, AND ERYTHROPLASIA OF QUEYRAT
One facet of the rarity of making a diagnosis of penile in situ cancer in the primary care setting is underexamination of the genitalia. This in turn reflects our legitimate but overly fastidious concern for patient modesty, and the immense pressure of time. Another facet is the confusion of terminology: Bowen disease is or is not the same as carcinoma in situ, depending on which authority one reads, and even what body site is under discussion; and this is or is not the same, in the specific case of the penis, as erythroplasia of Queyrat, which may be an eponym in need of retirement.1
At least as pernicious is the lack of clear-cut clinical features that distinguish in situ neoplasia from the infinitely more common fungal balanitis.2-3 The hazard is that one will see a red patch or two, draw the most likely conclusion, and prescribe a topical antifungal. Closing the loop requires re-inspecting after treatment. A persistent erythema at that time will prompt consideration of:
Long ago a "What's Your Diagnosis?" column discussed penile in situ cancer with a photograph by another physician.3 That image showed an unusual appearance for in situ penile cancer: namely, brilliant red on either side of the frenulum, punctuated by tiny papulovesicles.
RISK FACTORS

Figure 3 – When patient turns his penis over on request (hence the absence of gloved digits), a verrucous area comes into view and suggests both exophytic growth and invasive cancer: this abuts the pulp of his index finger and also appears to extend distally, where it merges with some crust that suggests dried serum. Band of erythema extends circumferentially from the warty zone and could well represent in situ cancer. Glans has peculiar bluish purple tint that veers toward gray-white adjacent to broad, aberrantly flat (non-grainy) central vertical pink stripe. Net impression is of a severe field defect in this epithelium.
This patient's penis is circumcised. This observation may have produced a reflexive thought that could lead one astray diagnostically: the notion that neonatal circumcision protects altogether against later penile cancer. Nothing in medicine is so absolute. Whether a result of additional decades of being at risk for aberrations in repair DNA, or other factors, penile cancer is now seen more in aged circumcised men than was recognized in standard textbooks of a generation ago.4-5
The role of human papillomavirus (HPV), the cause of condylomata acuminata, appears to be contributory or causative in a subset of cases. Controversy and contradiction abound in the literature on this topic6-11 and in studies seeking to correlate facets of macroscopic appearance, such as wartiness, with the likelihood of viral causation. In case the confusion were not deep enough, it appears that the HPV strains most likely to cause penile cancer are not the same as those most prone to induce vulvar cancer or cervical cancer.
For at-risk men-eg, those who have had biopsy evidence of marked dysplasia associated with HPV infection-a form of in vivo microscopy is used with a colposcope: this is sometimes called peoscopy,12 and it can help direct biopsy to areas that appear suspiciously aberrant under such substantial magnification. Manifestly, this procedure lies outside the training of most primary care clinicians and will be performed chiefly by dermatologists and urologists.
RAPIDLY EVOLVING THERAPEUTIC OPTIONS
Our patient had excellent results from cryosurgical ablation in 1999 when I took these photos. A single recurrence a year later prompted fulguration; in his 5 remaining years of life, no further penile difficulties arose. He loathed the freezing, stating that it had been very painful and that he had told the dermatologist he needed additional local anesthetic or more time for the anesthetic to take effect; this distress was reported unprompted each time we followed up on this condition.
At the time I had thought the conservative procedure, which avoided both hospitalization and general anesthesia, radical and highly apt for his unique needs. In the interval, a plethora of other alternatives have emerged,13-21 rendering penectomy or wide resection with cosmetic reconstruction mercifully rare.
A Last word out of the blue
The glans, even remote from the areas of cancer, has a blue-purple color that at minimum exaggerates the usual difference from the rest of the penis and other skin, and at most could present a subtle diagnostic clue. Often the phallus, and in particular the glans, shows a more brownish tint than the rest of the body, or a darker brown. Here one could wonder about peripheral cyanosis or acrocyanosis,22 yet the patient had a normal SaO2 at rest, and the other acra were not blue, as represented by his pink fingertips in Figure 3. So one must conclude that this hue falls within the wide and confusing normal range of glans coloration.
Schneiderman H. Squamous cell carcinoma in situ of the penis. CONSULTANT. 2007;47:765-768.
REFERENCES:
1.
Kaye V, Zhang G, Dehner LP, Fraley EE. Carcinoma in situ of the penis: is distinction between Erythroplasia of Queyrat and Bowen's disease relevant?
Urology
. 1990;36:479-482.
2.
Schneiderman H. Balanitis mimicking penile carcinoma in situ.
Consultant
. 2001;41:1149-1150.
3.
Schneiderman H. Erythroplasia of Queyrat (in situ cancer of the penis) and the wide spectrum of penile lesions.
Consultant
. November 1990;30:49-52.
4.
Ross BS, Levine VJ, Dixon C, Ashinoff R. Squamous cell carcinoma of the penis in a circumcised man: a case for dermatology and urology, and review of the literature.
Cutis
. 1998;61:41-43.
5.
Cold CJ, Storms MR, Van Howe RS. Carcinoma in situ of the penis in a 76-year-old circumcised man.
J Fam Pract
. 1997;44:407-410.
6.
Castellsague X, Bosch FX, Munoz N, et al. Male circumcision, penile human papillomavirus infection, and cervical cancer in female partners.
N Engl J Med
. 2002;346:1105-1112.
7.
Bleeker MC, Hogewoning CJ, Van Den Brule AJ, et al. Penile lesions and human papillomavirus in male sexual partners of women with cervical intra- epithelial neoplasia.
J Am Acad Dermatol
. 2002;47:351-357.
8.
Bleeker MC, Hogewoning CJ, Voorhorst FJ, et al. HPV-associated flat penile lesions in men of a non-STD hospital population: less frequent and smaller in size than in male sexual partners of women with CIN.
Int J Cancer
. 2005;113:36-41.
9.
Demeter LM, Stoler MH, Bonnez W, et al. Penile intraepithelial neoplasia: clinical presentation and an analysis of the physical state of human papillomavirus DNA.
J Infect Dis.
1993;168:38-46.
10.
Gross G, Pfister H. Role of human papillomavirus in penile cancer, penile intraepithelial squamous cell neoplasias and in genital warts.
Med Microbiol Immunol
. 2004;193:35-44. Epub 2003 Jun 28.
11.
Wieland U, Jurk S, Weissenborn S, et al Erythroplasia of Queyrat: coinfection with cutaneous carcinogenic human papillomavirus type 8 and genital papillomaviruses in a carcinoma in situ.
J Invest Dermatol
. 2000;115:396-401.
12.
Sedlacek TV, Cunnane M, Carpiniello V. Colposcopy in the diagnosis of penile condyloma.
Am J Obstet Gynecol
. 1986;154:494-496.
13.
Arlette JP. Treatment of Bowen's disease and erythroplasia of Queyrat.
Br J Dermatol
. 2003;149:43-49.
14.
Porter WM, Francis N, Hawkins D, et al Penile intraepithelial neoplasia: clinical spectrum and treatment of 35 cases.
Br J Dermatol
. 2002;147:1159-1165.
15.
Danielsen AG, Sand C, Weismann K. Treatment of Bowen's disease of the penis with imiquimod 5% cream.
Clin Exp Dermatol
. 2003;28:7-9
16.
Schroeder TL, Sengelmann RD. Squamous cell carcinoma in situ of the penis successfully treated with imiquimod 5% cream.
J Am Acad Dermatol
. 2002; 46:545-548.
17.
Micali G, Nasca MR, Tedeschi A. Topical treatment of intraepithelial penile carcinoma with imiquimod.
Clin Exp Dermatol
. 2003;28:4-6.
18.
Frimberger D, Hungerhuber E, Zaak D, et al. Penile carcinoma. Is Nd:YAG laser therapy radical enough?
Urol
. 2002;168:2418-2421; discussion 2421.
19.
van Bezooijen BP, Horenblas S, Meinhardt W, Newling DW. Laser therapy for carcinoma in situ of the penis.
J Urol
. 2001;166:1670-1671.
20.
Bandieramonte G, Lepera P, Marchesini R, et al. Laser microsurgery for superficial lesions of the penis.
J Urol
. 1987;138:315-319.
21.
Cardamakis E, Relakis K, Ginopoulos P, et al. Treatment of penile intra- epithelial neoplasia (PIN) with interferon alpha-2a, CO2 laser (vaporization) and 5-fluorouracil 5% (5-FU).
Eur J Gynaecol Oncol
. 1997;18:410-413.
22.
Schneiderman H. Peripheral cyanosis, an image from autopsy, and un- tangling the mess of cyanosis.
Consultant.
2006;46:1625-1632.