A previously healthy 43-year-old man was referred to the hospital for the diagnosis of a nodular lesion in the mandibular gingiva.
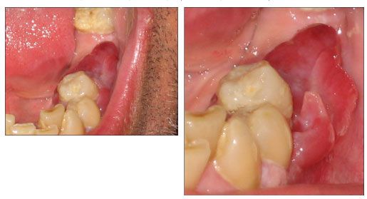
A previously healthy 43-year-old man was referred to the hospital for the diagnosis of a nodular lesion in the mandibular gingiva. The patient complained that his left lower jaw had been swelling over the past month, with some exudation from the gingival crevice, sporadic bleeding, and slight tooth mobility without pain. An intraoral examination revealed a reddish nodular mass (about 2 cm) that extended across the alveolar ridge from the second premolar to the second molar, covering an edentulous area, and the gingiva was detached from the second premolar by the mass (Figure 1). Palpation revealed soft tissue that seemed to arise in the periodontal ligaments.

Figure 1.Reddish nodular mass extending across the alveolar ridge from the second premolar to the second molar, covering an edentulous area. The distention of buccal mucosa discloses the loss of attachment of the periodontal surface to the second premolar.
An axial CT scan of the head and neck revealed an expansive lesion centered in the posterior left mandible measuring 1.5 × 3 cm, which had destroyed the normal cortical bone. No enlarged lymph nodes were observed (Figure 2). A biopsy of the gingival mass was performed. Histological findings showed a diffuse lymphoid infiltrate composed of lymphoma cells resembling immunoblasts. Immunohistochemical staining was positive for plasma cell markers and lambda restriction, positive for CD79a, and negative for the pan–B-cell marker CD20. A diagnosis of plasmablastic lymphoma was established based on these histological findings and immunohistochemical profile as described by the World Health Organization tumor classification.1 Because there was involvement of a single extralymphatic site, the tumor was classified as stage IE (Ann Arbor Staging System).

Figure 2.A CT scan revealed an expansive lesion centered in the posterior left mandible measuring 1.5 × 3 cm and destroying the normal cortical bone.
Based on the histological diagnosis, anti-HIV serology was performed, and the patient was confirmed to be HIV-positive. His CD4+ cell count was 255/µL and HIV RNA level, 13,223 copies/mL. Antiretroviral treatment was started with emtricitabine, tenofovir disoproxil fumarate, and efavirenz, and lymphoma treatment was started with 5 cycles (3 weeks each) of CHOP chemotherapy (cyclophosphamide, doxorubicin, vincristine, prednisone).
Plasmablastic lymphoma is an uncommon cancer that is strongly associated with HIV and has a marked predilection for the oral cavity.2 This lymphoma is characterized by a unique immunophenotype in which plasmablastic lymphocytes are found in disproportionately high numbers. Histologically, the lesion is composed of large neoplastic cells with a phenotype consistent with late B-cell maturation, probably arising from a postgerminal center B cell. Epstein-Barr virus infection has been associated with this neoplasm.3
Plasmablastic lymphoma involves predominantly the gingival and palatal mucosa, causing thickening and ulceration with a tendency to infiltrate adjacent bone. Radiographic changes include widening of the periodontal ligament space and loss of the lamina dura. The clinical appearance may mimic periodontal disease, Kaposi sarcoma, or melanoma.4
Treatment for plasmablastic lymphoma includes radiotherapy, chemotherapy, surgery, or a combination of these modalities. Plasmablastic lymphoma is known to be rapidly progressive with a poor prognosis for persons with HIV/AIDS, with a median survival of 6 months. After the institution of highly active antiretroviral therapy, an increase in survival time has been noticed.
AIDS-related lymphoma remains a continuing problem. Although antiretroviral therapy has been shown to cause lymphoma to regress, current therapy also appears to be insufficient to prevent these malignancies from developing in immunocompromised persons.4,5
References
1.
Jaffe ES, Harris NL, Stein H, Vardiman JW, eds.
World Health Organization Classification of Tumours, Pathology and Genetics of Tumours of Haematopoietic and Lymphoid Tissue.
Lyon, France: IARC Press; 2001:257-263.
2.
Folk GS, Abbondanzo SL, Childers EL, Foss RD. Plasmablastic lymphoma: a clinicopathologic correlation.
Ann Diagn Pathol.
2006;10:8-12.
3.
Ferrazzo KL, Mesquita RA, Aburad ATT, et al. EBV detection in HIV-related oral plasmablastic lymphoma.
Oral Dis.
[Epub ahead of print April 5, 2007].
4.
Epstein JB, Cabay RJ, Glick M. Oral malignancies in HIV disease: changes in disease presentation, increasing understanding of molecular pathogenesis, and current management.
Oral Surg Oral Med Oral Pathol Oral Radiol Endod.
2005;100:571-578.
5.
Hessol NA, Pipkin S, Schwarcz S, et al. The impact of highly active antiretroviral therapy on non-AIDS-defining cancers among adults with AIDS.
Am J Epidemiol.
2007;165:1143-1153. [Epub ahead of print March 6, 2007].