Benign mucous membrane pemphigoid is an autoimmune disease; that involves the oral mucosa and eyes. Clinical signs: edematous bright red gingiva and bullae formation.
A 71-year-old man presents with mucosal pain during tooth brushing and a “flabby” sensation in his gums. The symptoms have come on gradually over the past 7 to 8 months. The patient’s medical history was remarkable for hypertension and hypercholesterolemia, which were being monitored by his physician every 3 months. His medications included simvastatin, atenolol, hydrochlorothiazide, fluticasone/salmeterol inhaler, fluticasone propionate, albuterol inhaler, guaifenesin, and loratadine. Doxycycline and tobramycin/dexamethasone eye ointment had been prescribed by his ophthalmologist for a recent eye “infection.” There was no known allergy, metal sensitivity, or history of tobacco use.
Clinical Findings
The patient appeared to be in no distress. Examination of the eyes revealed erythema of the eyelids and sclera; the eyelashes appeared wet (Figure 1). The salivary glands were slightly enlarged. The patient’s dentition was intact, although he had had extensive restorations. Moderate interdental plaque was noted. The gingiva displayed moderate to severe erythema, with an intermittent pattern extending on the free gingival margin to the alveolar mucosa (Figure 2). In a few areas, a pseudomembrane was evident (Figure 3). Limited erythema was seen on the lingual and palatal surfaces. Nikolsky sign was positive.

Figure 1.
Pronounced erythema of eyelids and sclera.

Figure 2.
Moderate to severe erythema of gingiva.

Figure 3
– A pseudomembrane above the maxillary central incisors was noted.
Histologic Examination
Immunofluorescence antibody stain of a biopsy specimen was positive for IgG, IgA, C3, and fibrinogen and negative for antibody to IgM. The positive staining was uniform and present along the basement membrane that separates the surface epithelium from the connective tissue. It was also present along the basal cell layer as shown in one of the fragments that represents completely detached epithelium.
The hematoxylin and eosin–stained frozen section showed elongated pieces of oral mucosa, some with intact underlying connective tissue and others with completely detached epithelium. The detached epithelium was keratinized, and the line of detachment was below the basal cell layer. The connective tissue was focally infiltrated by lymphocytes and a few plasma cells.
Differential Diagnosis
The findings suggested the following diagnostic possibilities:
• Ulcerative gingivitis
• Benign mucous membrane pemphigoid
• Bullous/erosive lichen planus
• Bullous pemphigoid
• Early erythema multiforme
Final Diagnosis: Benign mucous membrane pemphigoid (BMMP).

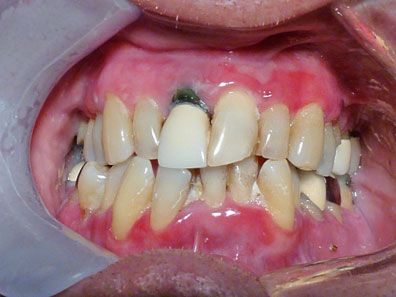
Figure 4
– The condition of the patient’s gingiva improved after treatment.
Intervention
The patient’s primary care physician prescribed prednisolone acetate 1% eye drops (1 drop in each eye 4 times a day) and a trial of high-dose prednisone (six 5-mg tablets initially for 3 days decreasing every 3 days by 1 tablet). His oral medicine specialist prescribed fluocinonide gel 0.05% (Disp 300 mL; rinse mouth with 1 teaspoonful for 3 minutes twice a day for a month) for long-term management of the oral lesions. The patient’s condition improved significantly over several months with this therapeutic strategy (Figure 4). Improvement was maintained with use of fluocinonide gel on an as-needed basis.
Discussion
BMMP, also known as cicatricial pemphigoid or desquamative gingivitis, is an autoimmune disease that involves the oral mucosa and eyes. In most patients, the gingiva is primarily affected, although lesions can occur on the buccal mucosa and palate.1 The condition is benign, but ocular lesions can result in scarring and blindness.2 The epidemiologic evidence indicates that the disease is relatively rare3 but can be associated with significant ocular morbidity. Oral lesions may be the first sign of the disease. BMMP is seen more often in women and in persons older than 50.4
The clinical findings in patients with BMMP include bright red gingiva that is edematous and associated with bullae formation. The oral bullae associated with BMMP persist for longer than bullae associated with pemphigus vulgaris because the cleavage of the epithelium occurs beneath, rather than within, the epithelium as it does with pemphigus vulgaris. Once disturbed, the bullae break and leave a raw, erythematous area that bleeds. Historically, the Nikolsky sign (ie, rubbing of an area or blowing air on the tissue results in blister formation) was considered a sign of the disease; however, it is not currently considered pathognomonic because it is rarely seen in patients with BMMP.5 BMMP can be distinguished from bullous pemphigus vulgaris because the latter disease includes skin involvement. However, in approximately one-third of patients with bullous pemphigus vulgaris, oral lesions occur and may be the first sign of the disease.
Serology is not typically used to differentiate BMMP from other, similar-appearing autoimmune disorders. The histologic changes associated with the condition, as seen on hematoxylin and eosin–stained and immunofluorescence antibody–stained specimens, are specific and diagnostic. Hence, biopsy is necessary to define and differentiate the disease. A tissue specimen, preferably taken from a perilesional region, will reveal deposition of immunoglobulins and complement along the basement membrane zone of the epithelium in a linear pattern. The immune deposits consist of IgG and C3, but IgA and IgM may also be found in some cases.6
Current concepts in pathobiology suggest that the various pemphigoid diseases may be differentiated by basement membrane antigens.7 Although BMMP and bullous pemphigoid have a similar histologic appearance, location of lesions is considered important in defining the condition. BMMP does not typically involve skin lesions. In addition, only 20% to 25% patients with BMMP have low titers (less than 1:40) of sera basement membrane zone antibodies.
Treatment strategies, primarily based on empirical studies (ie, retrospective and case series reports versus randomized controlled research), typically include both systemic and topical corticosteroids. Cyclosporine and dapsone have also been used to manage chronic disease.8 Intravenous immunoglobulins such as etanercept or rituximab have been suggested for severe disease when cyclophosphamide is no longer efficacious.9
Acknowledgment: This case was supplied by Peter van der Ven DDS, MSD, PhD.
References
1. GÇndÇz K, Zengin Z, Celenk P, et al. Regional odontodysplasia of the deciduous and permanent teeth associated with eruption disorders: a case report. Med Oral Patol Oral Cir Bucal. 2008;13:E563-566.
2. Magalhães AC, Pessan JP, Cunha RF, Delbem AC. Regional odontodysplasia: case report. J Appl Oral Sci. 2007; 15:465-469.
3. Thimma Reddy BV, Vinay Reddy KK, Sunil B, et al. Regional odontodysplasia. J Indian Soc Pedod Prev Dent. 2010; 28:315-318.
4. Cabral L A G, Carvalho YR, Moraes E, et al. Regional odontodysplasia: a report of 3 cases. Quintessence Int.1994;25:141–145.
5. McCall J O, Wall S S. Clinical dental roentgenology. 3rd ed. Philadelphia: W B Saunders, 1952.
6. Zegarelli E V, et al. Odontodysplasia. Oral Surg Oral Med Oral Pathol. 1963;16:187–193.
7. Gumurii O Z, et al. Regional Odontodysplasia. J Nihon Univ Sch Dent. 1993;35:209–212.
8. Neupert E A, Wright J M. Regional odontodysplasia presenting as a soft tissue swelling. Oral Surg. 1989;67:193–196.
9. Sabah E, Eden E, Unal T. Odontodysplasia: report of a case. J Clin Ped Dent. 1992;16: 115–118.
10. Crawford PJ, Aldred MJ. Regional odontodysplasia: a bibliography. J Oral Pathol Med. 1989;18:251-63.