Nonalcoholic fatty liver disease (NAFLD) is an increasingly recognized condition in the general population worldwide.
Nonalcoholic fatty liver disease (NAFLD) represents a spectrum of liver disease characterized by steatosis that occurs in the absence of significant alcohol use. The incidence of NAFLD appears to be rising in the general population,1 mirroring the increasing rates of obesity, diabetes, and hyperlipidemia, all of which are known risk factors of steatosis.2,3 HIV-infected persons may be at particular risk for NAFLD because (1) antiretroviral treatments may predispose patients to the metabolic abnormalities that are linked to NAFLD; (2) concurrent hepatitis is common in this group; and (3) HIV infection induces a chronic inflammatory state, which may contribute to the pathogenesis of fatty deposition in the liver.4-6 Preliminary data suggest that fatty liver disease may be common in this population and should be added to the differential diagnosis of hepatic disease among HIV-infected patients.4
CASE SUMMARY
A 38-year-old HIV-positive Hispanic man presented for routine care. His HIV infection had been diagnosed in 1988, and his course was complicated by a history of Pneumocystis jiroveci (formerly carinii) pneumonia, recurrent sinusitis, neuropathy (secondary to past use of didanosine and stavudine), and deep venous thrombosis due to the prothrombin gene (20210A) mutation. He was asymptomatic but had recurrent, intermittent elevations in both alanine aminotransferase (ALT) and aspartate aminotransferase (AST) levels (100 IU/L and 48 IU/L, respectively; normal, 17 to 63 and 15 to 41, respectively).
Results of the remainder of his chemistry panel were unremarkable, including a fasting glucose level of 106 mg/dL, alkaline phosphatase level of 102 IU/L, total bilirubin level of 0.6 mg/dL, and albumin level of 4.0 g/dL. His lipid levels were as follows: triglycerides, 225 mg/dL (normal, 40 to 150); high-density lipoprotein (HDL) cholesterol, 31 mg/dL (normal, 29 to 71); and low-density lipoprotein cholesterol, 98 mg/dL (normal, 65 to 130). His CD4+ cell count was 301/µL (19%), and he had an undetectable HIV RNA level (less than 50 copies/mL).
The patient denied significant alcohol and illicit drug use. He had no family history of liver disease. His medications included tenofovir, zidovudine, lamivudine, lopinavir, ritonavir, nortriptyline, bupropion, oxycodone, warfarin, gabapentin, acyclovir, and trimethoprim/sulfamethoxazole. On review of systems, he reported chronic fatigue but denied abdominal pain, nausea, and vomiting. Physical examination revealed a young man in no distress with a weight of 156 lb, waist circumference of 94 cm, and a calculated body mass index of 23. Findings from his abdominal examination were notable only for a mild hepatomegaly (19 cm).
The elevated transaminase levels were initially attributed to possible medication adverse effects. However, because they were recurrent, a workup including blood tests for viral, autoimmune, and genetic conditions was performed. Results of tests for iron, ferritin, total iron-binding capacity, thyroid-stimulating hormone, antinuclear antibodies, anti-smooth muscle antibody, ceruloplasmin, and α1-antitrypsin phenotype were within normal limits.
A hepatitis panel was negative for hepatitis C antibody and hepatitis B surface antigen; the hepatitis B core antibody test was positive, although a hepatitis B DNA test was negative, suggesting previous exposure to hepatitis B infection.
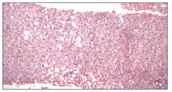
Right upper quadrant ultrasonography showed moderate hepatomegaly with mild steatosis. A liver biopsy was performed for prognostic information. Macrosteatosis involving approximately 10% to 25% of the biopsy specimen with foci of intra-acinar chronic inflammation was identified. No balloon cell degeneration, portal inflammation, increased iron stores, or periodic acid–Schiff-positive globules were noted. According to the Brunt grading and staging system,7 these findings were consistent with mild chronic steatohepatitis (Figure 1).

Figure 1.This liver biopsy sample reveals mild chronic steatohepatitis (hematoxylin-eosin stain, original magnification ×10).
The patient's potential risk factors for steatohepatitis included mild lipid abnormalities (hypertriglyceridemia), borderline waist circumference, and use of antiretroviral therapies that have been associated with steatosis. The patient was counseled on diet and exercise modifications; the same antiretroviral medications were continued based on results of genotyping. Over the past 12 months, both the ALT and AST levels have normalized, although the patient has not had a second liver biopsy to assess potential histological changes. He remains asymptomatic and is being closely observed in our HIV clinic.
DISCUSSION
NAFLD may be the most common cause of chronic liver disease worldwide, with up to 30% of the general US population affected.1 Hepatic steatosis is the accumulation of lipids (predominantly triglycerides) in hepatocytes. NAFLD includes a range of conditions from simple steatosis to nonalcoholic steatohepatitis (NASH), fibrosis, and cirrhosis; hepatocellular carcinoma is a potential complication of end-stage disease. NASH occurs in approximately 15% of NAFLD cases and is characterized by fat accumulation with inflammation and/or injury (ballooning degeneration). Although hepatic steatosis was previously considered a benign clinical entity, more recently it has been recognized as the first step in the pathway to NASH. This is a concern, because NASH progresses to cirrhosis in 9% to 25% of persons, 30% to 50% of whom will die of a liver-related condition within 10 years.8
The pathogenesis of NAFLD is under evaluation. The current pathophysiological model involves a "two-hit" hypothesis.9 Insulin resistance, the first "hit," appears to be the cornerstone of the development of hepatic steatosis10; it leads to increased lipolysis of peripheral adipose tissue, increased flow of free fatty acids into the liver, and local lipogenesis. The second "hit" involves the progression from steatosis to NASH, which likely entails aberrations in cytokine-mediated inflammation, mitochondrial dysfunction, oxidative stress, lipid peroxidation, and apoptosis.3,11 Steatosis has been termed the "hepatic component" of the metabolic syndrome.8
Risk factors for the development of NAFLD are related to the metabolic syndrome: glucose intolerance/diabetes, hyperlipidemia (especially high triglyceride and low HDL cholesterol levels), and obesity (especially central adiposity with increased waist circumference)2,12 (Figure 2). Waist circumference is an easy way to estimate visceral fat deposition, which has been linked not only to the metabolic syndrome but also to fatty deposition in the liver. Although a specific cutoff for waist circumference in terms of an increased risk is currently unknown, there appears to be a relationship between larger waist circumference and hepatic steatosis, suggesting that weight management may be an important strategy for disease prevention.
NAFLD occurs worldwide, with recent reports suggesting high rates in non-Western countries; this globalization may be related to the expanding popularity of the Western diet.8 Although the initial descriptions of NAFLD were in women, gender predominance is not evident in recent studies.1,3 The disease may occur in both adults and children,13 although many epidemiological studies show that older age appears to be a risk factor.14 Finally, genetics may play a role and explain why NAFLD develops in some patients without the presence of the classic risk factors.15
Whether NAFLD occurs at a higher frequency among HIV-positive patients than in the general population is unknown. HIV-infected patients may particularly be at risk, because the same metabolic abnormalities that are risk factors for NAFLD occur in HIV-infected patients as a result of the use of antiretroviral drugs.4 For instance, protease inhibitors (PIs) are associated with central fat accumulation, insulin resistance, and lipid abnormalities. Furthermore, NRTIs, such as stavudine, are associated with mitochondrial dysfunction and lipodystrophy. Whether HIV infection itself may lead to steatosis is also unknown; however, a chronic inflammatory state may induce the production of cytokines that have been linked to steatosis and NASH.
Finally, although the AIDS wasting syndrome was common in the pre-HAART era, obesity is a rising concern among all persons, including those who have HIV infection.16 This milieu of risk factors may lead to a high preponderance of NAFLD among HIV-infected persons (Figure 2).

Figure 2.Pathogenesis and progression of nonalcoholic fatty liver disease. (TNF, tumor necrosis factor; IL, interleukin; NASH, nonalcoholic steatohepatitis.)
Researchers in Spain examined HIV-infected patients for NAFLD using ultrasonography; severe steatosis was found in 11%.17 Predictors associated with steatosis included diabetes and obesity, suggesting that the classic risk factors described in the general population are also the main causes of this disease in HIV-infected patients. This study also found a trend toward the use of NRTIs as a risk factor for steatosis, but the authors reported that the impact of NRTI use was relatively small compared with the classic risk factors described in their study.17 Since this was a cross-sectional study, longitudinal investigations among HIV-infected patients are needed to further examine the role of antiretroviral agents in the development of hepatic steatosis.
Patients with HIV infection also may be at heightened risk for steatosis because of coinfection with hepatitis C virus (HCV); however, the mechanism of the development of steatosis in these patients is different from that of the metabolic syndrome. Recent studies have demonstrated that the development of steatosis in the setting of HIV-HCV coinfection is multifactorial and that the use of the nucleoside analogues (stavudine and didanosine) and PIs may be important risk factors for the development of steatosis.18-22 These findings are cause for concern because steatosis increases the progression rates of severe liver disease and fibrosis in patients coinfected with HIV and HCV.18,23
Diagnosis
Because NAFLD is usually asymptomatic, the diagnosis requires a high index of suspicion. Excessive use of alcohol (more than 140 g/wk) is not compatible with the diagnosis of NAFLD; alcohol itself can produce similar pathological changes in the liver. Incidental elevation of the transaminase levels (with a ratio of AST to ALT usually less than 1) may prompt investigations that lead to the diagnosis of steatosis, as in the case presented here; NAFLD is, in fact, the most common cause of elevations seen in liver function test results in the United States. However, liver function test results may be normal in some cases, even in the setting of advanced disease. On physical examination, hepatomegaly may be present.14
Ultrasonography is a simple, noninvasive method for diagnosing fatty liver disease and is more reliable than blood tests alone; its sensitivity and specificity are approximately 80% to 90%.24 It may miss mild steatosis (less than 30% hepatocytes involved); hence, normal findings on an ultrasonogram do not exclude the diagnosis of NAFLD.
Unenhanced hepatic CT and MRI scans are also useful for detecting steatosis.25 The gold standard diagnostic procedure is a liver biopsy; this procedure can provide valuable diagnostic and prognostic information as well as assist in identifying candidates for clinical trials involving NASH.
In summary, the diagnosis of NAFLD should be considered in patients with risk factors such as glucose intolerance, hyperlipidemia, central obesity, and the use of specific medications. Asymptomatic elevations of transaminases and unexplained hepatomegaly also suggest the possibility of underlying NAFLD.
Treatment
Treatment of NAFLD currently focuses on the reduction of risk factors through weight loss, exercise, a healthful diet, and optimization of treatment of glucose disorders and hyperlipidemia. Weight loss for overweight patients should be gradual (a 500-calorie-per-day deficit); abrupt weight loss may worsen hepatic inflammation and fibrosis.26 For morbidly obese persons, bariatic surgery has shown benefit.27,28 Patients receiving a PI who have hyperlipidemia and/or diabetes may benefit from changing to a drug regimen with fewer metabolic effects (eg, nevirapine, atazanavir).4
Regarding the use of medications for hepatic steatosis, several studies have been conducted to evaluate the use of diabetes medications in HIV-negative persons based on the central role that insulin resistance plays in the development of fatty liver.29 The most promising agents for the treatment of NASH appear to be the thiazolidinediones, such as pioglitazone and rosiglitazone.30-32 A recent study showed that compared with placebo, pioglitazone improved liver function (ALT and AST levels) and liver histological parameters, including steatosis, necroinflammatory changes, and fibrosis.32
Studies to date have been small proof-of-concept trials.8 In addition, most trials have evaluated the medication effects for only short periods (most commonly, 48 weeks).32-35 Important questions remain, including whether the effects demonstrated in these pilot studies are sustainable; one study found that once thiazolidinediones were discontinued, ALT levels returned to pretreatment values.35
Since NAFLD appears to be a slowly progressive disease, long-term management will likely be required. Safety of medications for NAFLD is paramount given the long-term treatment. For example, thiazolidinediones may cause hepatotoxicity and lead to weight gain, both of which are a great concern in patients with NAFLD.31 Studies that evaluate patients over many years are needed before these or any other medications are recommended in clinical practice.
Additional medications that have been studied for the treatment of NAFLD include other therapies for insulin resistance (eg, metformin), antioxidants (such as vitamin E), pentoxifylline, ursodeoxycholic acid, angiotensin II receptor antagonists (eg, losartan), and lipid-lowering agents; these agents have had mixed results.8,31,34,36,37 All studies to date have been conducted among HIV-negative persons; therapeutic trials in HIV-infected patients are under way.
Measures to avoid exacerbating underlying liver disease are also recommended. Counseling regarding abstention from heavy alcohol use, which is associated with fatty liver deposition, is advocated.
Mortality rates for patients with NAFLD appear to be higher, likely due to both vascular complications (secondary to their risk factors for these conditions) and liver disease.38,39 A recent review showed that NAFLD is an indicator of underlying heart disease, and patients with steatosis should have an evaluation of their cardiovascular risk profile40; the converse may also be true. More studies are in progress to further investigate the importance of hepatic steatosis among both HIV-uninfected and HIV-infected persons.
In the meantime, NAFLD should be considered in the differential diagnosis of liver disease among HIV-infected patients. Since it is often a "silent" chronic disease, a high index of suspicion is required; patients with risk factors included in the metabolic syndrome are at particular risk. As the HIV-infected population ages, chronic, non–AIDS-defining conditions are increasingly important causes of morbidity and mortality, and NAFLD appears to be one such condition to add to this growing list.
No potential conflict of interest relevant to this article was reported by Dr Crum-Cianflone.
The views expressed in this article are those of the author and do not reflect the official policy or position of the Department of the Navy, Department of Defense, or the United States Government.
References1. Browning JD, Szczepaniak LS, Dobbins R, et al. Prevalence of hepatic steatosis in an urban population in the United States: impact of ethnicity. Hepatology. 2004;40:1387-1395.
2. Hamaguchi M, Kojima T, Takeda N, et al. The metabolic syndrome as a predictor of nonalcoholic fatty liver disease. Ann Intern Med. 2005;143:722-728.
3. Angulo P. Nonalcoholic fatty liver disease. N Engl J Med. 2002;346:1221-1231.
4. Ristig M, Drechsler H, Powderly WG. Hepatic steatosis and HIV infection. AIDS Patient Care STDs. 2005;19:356-365.
5. Fortgang IS, Belitsos PC, Chaisson RE, Moore RD. Hepatomegaly and steatosis in HIV-infected patients receiving nucleoside analog antiretroviral therapy. Am J Gastroenterol. 1995;90:1433-1436.
6. Pol S, Lebray P, Vallet-Pichard A. HIV infection and hepatic enzyme abnormalities: intricacies of the pathogenic mechanisms. Clin Infect Dis. 2004;38:S65-S72.
7. Brunt EM, Janney CG, Di Bisceglie AM, et al. Nonalcoholic steatohepatitis: a proposal for grading and staging the histological lesions. Am J Gastroenterol. 1999;94:2467-2474.
8. McCullough AJ. Thiazolidinediones for nonalcoholic steatohepatitis-promising but not ready for prime time. N Engl J Med. 2006;355:2361-2363.
9. Day CP, James OF. Steatohepatitis: a tale of two "hits"? Gastroenterology. 1998;114:842-845.
10. Marchesini G, Brizi M, Morselli-Labate AM, et al. Association of nonalcoholic fatty liver disease with insulin resistance. Am J Med. 1999;107:450-455.
11. McCullough AJ. Pathophysiology of nonalcoholic steatohepatitis. J Clin Gastroenterol. 2006;40(3 suppl 1):S17-S29.
12. Eguchi Y, Eguchi T, Mizuta T, et al. Visceral fat accumulation and insulin resistance are important factors in nonalcoholic fatty liver disease. J Gastroenterol. 2006;41:462-469.
13. Albisetti M, Braegger CP, Stallmach T, et al. Hepatic steatosis: a frequent non-specific finding in HIV-infected children. Eur J Pediatr. 1999;158:971-974.
14. Zafrani E. Non-alcoholic fatty liver disease: an emerging pathological spectrum. Virchows Arch. 2004;444:3-12.
15. Struben VM, Hespenheide EE, Caldwell SH. Nonalcoholic steatohepatitis and cryptogenic cirrhosis within kindreds. Am J Med. 2000;108:9-13.
16. Amorosa V, Synnestvedt M, Gross R, et al. A tale of 2 epidemics: the intersection between obesity and HIV infection in Philadelphia. J Acquir Immune Defic Syndr. 2005;39:557-561.
17. Ryan P, Blanco F, Gasco PG, et al. Severe liver steatosis in HIV-infected patients: prevalence and predictors. Proceedings of the 46th Interscience Conference on Antimicrobial Agents and Chemotherapy. September 27-30, 2006; San Francisco. Abstract H-1891.
18. McGovern BH, Ditelberg JS, Taylor LE, et al. Hepatic steatosis is associated with fibrosis, nucleoside analogue use, and hepatitis C virus genotype 3 infection in HIV-seropositive patients. Clin Infect Dis. 2006;43:365-372.
19. Zeremski M, Talal AH. Dideoxynucleoside analogues should be used cautiously in patients with hepatic steatosis. Clin Infect Dis. 2006;43:373-376.
20. Lewis W, Day BJ, Copeland WC. Mitochondrial toxicity of NRTI antiviral drugs: an integrated cellular perspective. Nat Rev Drug Discov. 2003;2:812-822.
21. Sulkowski MS, Mehta SH, Torbenson M, et al. Hepatic steatosis and antiretroviral drug use among adults coinfected with HIV and hepatitis C virus. AIDS. 2005;19:585-592.
22. Bani-Sadr F, Carrat F, Bedossa P, et al. Hepatic steatosis in HIV-HCV coinfected patients: analysis of risk factors. AIDS. 2006;20:525-531.
23. Gaslightwala I, Bini EJ. Impact of human immunodeficiency virus infection on the prevalence and severity of steatosis in patients with chronic hepatitis C virus infection. J Hepatol. 2006;44:1026-1032.
24. Joseph AE, Saverymuttu SH, al-Sam S, et al. Comparison of liver histology with ultrasonography in assessing diffuse parenchymal liver disease. Clin Radiol. 1991;43:26-31.
25. Saadeh S, Younossi ZM, Remer EM, et al. The utility of radiological imaging in nonalcoholic fatty liver disease. Gastroenterology. 2002;123:745-750.
26. Adams LA, Angulo P. Recent concepts in non-alcoholic fatty liver disease. Diabet Med. 2005;22:1129-1133.
27. Mathurin P, Gonzalez F, Kerdraon O, et al. The evolution of severe steatosis after bariatric surgery is related to insulin resistance. Gastroenterology. 2006;130:1617-1624.
28. Klein S, Mittendorfer B, Eagon JC, et al. Gastric bypass surgery improves metabolic and hepatic abnormalities associated with nonalcoholic fatty liver disease. Gastroenterology. 2006;130:1564-1572.
29. Caldwell SH, Argo CK, Al-Osaimi AM. Therapy of NAFLD. Insulin sensitizing agents. J Clin Gastroenterol. 2006;40(3 suppl 1):S61-S66.
30. Belfort R, Harrison SA, Brown K, et al. Pioglitazone for patients with type 2 diabetes and nonalcoholic steatohepatitis. Hepatology. 2007;45:827-829.
31. Adams LA, Angulo P. Treatment of non-alcoholic fatty liver disease. Postgrad Med J. 2006;82:315-322.
32. Belfort R, Harrison SA, Brown K, et al. A placebo-controlled trial of pioglitazone in subjects with nonalcoholic steatohepatitis. N Engl J Med. 2006;355:2297-2307.
33. Promrat K, Lutchman G, Uwaifo GI, et al. A pilot study of pioglitazone treatment for nonalcoholic steatohepatitis. Hepatology. 2004;39:188-196.
34. Sanyal AJ, Mofrad PS, Contos MJ, et al. A pilot study of vitamin E versus vitamin E and pioglitazone for the treatment of nonalcoholic steatohepatitis. Clin Gastroenterol Hepatol. 2004;2:1107-1115.
35. Neuschwander-Tetri BA, Brunt EM, Wehmeier KR, et al. Improved nonalcoholic steatohepatitis after 48 weeks of treatment with the PPAR-g ligand rosiglitazone. Hepatology. 2003;38:1008-1017.
36. Bugianesi E, Gentilcore E, Manini R, et al. A randomized controlled trial of metformin versus vitamin E or prescriptive diet in nonalcoholic fatty liver disease. Am J Gastroenterol. 2005;100:1082-1090.
37. Lindor KD, Kowdley KV, Heathcote EJ, et al. Ursodeoxycholic acid for treatment of nonalcoholic steatohepatitis: results of a randomized trial. Hepatology. 2004;39:770-778.
38. Jepsen P, Vilstrup H, Mellemkjaer L, et al. Prognosis of patients with a diagnosis of fatty liver-a registry-based cohort study. Hepatogastroenterology. 2003;50:2101-2104.
39. Adams LA, Lymp J, St Souver J, et al. The natural history of nonalcoholic fatty liver disease: a population based cohort study. Gastroenterology. 2005;129:113-121.
40. Targher G, Arcaro G. Non-alcoholic fatty liver disease and increased risk of cardiovascular disease. Atherosclerosis. 2007;191:235-240.
Â