57-year-old woman is hospitalized because of a 3-week history of persistent left-sided dull flank pain that worsens with movement and is associated with intermittent high fever.
A 57-year-old woman is hospitalized because of a 3-week history of persistent left-sided dull flank pain that worsens with movement and is associated with intermittent high fever (temperature up to 38.8°C [102°F]) and rigors.

History. About 6 months previously, type 2 diabetes had been diagnosed in this patient. Glipizide, 20 mg/d, was prescribed, but the diabetes is poorly controlled because the patient has not adhered to her medication and dietary regimen. One month ago, the patient was hospitalized with high fever, flank pain, and burning micturition. She had acute pyelonephritis with an obstructing renal stone. She was treated with stent placement and intravenous ciprofloxacin. She was discharged after 5 days with instructions to continue the antibiotic orally; however, she failed to comply.
The patient denies urinary frequency or burning, hematuria, cough, chest pain, shortness of breath, nausea, vomiting, diarrhea, and hematemesis. She has lost about 8 lb in the past month. There is no history of headache, neck pain or stiffness, visual problems, weakness, or seizures. She does not smoke or drink alcohol.
Examination. The patient appears pale and poorly nourished but is not in undue distress. Heart rate is 110 beats per minute and regular; temperature, 38.3°C (101°F); respiration rate, 22 breaths per minute; blood pressure, 110/65 mm Hg. Hydration status is good. Examination of the head and neck shows no icterus, erythema, or evidence of candidal infection. There is no rash, palpable lymphadenopathy, ankle edema, thyroid enlargement, or breast mass. Abdominal examination reveals no organomegaly; bowel sounds are audible. Left flank and lower quadrant tenderness are noted. Pelvic, rectal, and other systemic examination results are unremarkable.
Laboratory studies. White blood cell (WBC) count, 19,800/µL with 90% polymorphonuclear leukocytes and 10% lymphocytes; hemoglobin level, 9.7 g/dL; platelet count, 739,000/µL; erythrocyte sedimentation rate (ESR), 110 mm/h. Urinalysis reveals 1+ protein, 2+ glucose, and moderate levels of leukocyte esterase. WBC count, 40 per high-power field; red blood cell count, 50 per high-power field. Gram staining shows Gram- negative rods. Blood urea nitrogen level is 6 mg/dL; creatinine, 0.7 mg/dL; serum sodium, 132 mEq/L; potassium, 3.4 mEq/L; chloride, 100 mEq/L; bicarbonate, 20 mEq/L. Blood glucose level, 246 mg/dL; hemoglobin A1c, 9.2%. Ultrasonography reveals a hypoechoic density displacing the left kidney.
You order a CT scan of the abdomen.
Based on the clinical picture and ultrasonographic and CT findings, what is the most likely cause of the patient's illness?
A. Renal tuberculosis
B. Hypernephroma
C. Perinephric abscess
D. Papillary necrosis
E. Polycystic kidney disease

WHAT'S WRONG:
The CT scan shows a large hypodense lesion associated with the lower pole of the left kidney. This finding, in conjunction with the hypoechoic density found on ultrasonography, strongly suggests
perinephric abscess, C.
Suspect this condition ina patient with uncontrolled diabetes and a history of nephrolithiasis and inadequately treated pyelonephritis who presents with fever and flank pain.
Hospital course. A urine culture grew Escherichia coli. Blood cultures were negative for all pathogens. A tuberculosis skin test was nonreactive. Results of serologic studies were negative for cocci and the ECG was normal. A chest radiograph showed no abnormalities. Empiric therapy was initiated with piperacillin plus tazobactam, 3.375 g every 8 hours. Insulin therapy was also begun.
A CT-guided pigtail catheter was introduced, which drained purulent material. Gram staining showed many WBCs with Gram-negative rods. Culture of material aspirated from the abscess revealed E coli, which was sensitive to ciprofloxacin.
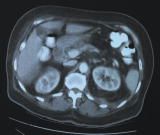
The patient's antibiotic regimen was changed to IV ciprofloxacin, 500 mg every 12 hours. She became afebrile, and her pain was considerably relieved within 48 hours. Her diabetes was well controlled, and she was discharged with the draining catheter in place. She was evaluated 1 week later in the outpatient clinic. The catheter was removed after a CT scan showed complete resolution of the perinephric abscess (Figure). She was advised to continue the oral ciprofloxacin for another week.
OVERVIEW
A perinephric abscess represents a collection of purulent material around the kidneys in the space between the renal capsule and Gerota fascia. The incidence of intrarenal and perirenal abscesses ranges from 1 to 10 cases per 10,000 hospital admissions. Men and women are affected with equal frequency.
PATHOPHYSIOLOGY
Perinephric abscess is usually associated with rupture of a corticomedullary intranephric abscess, recurrent pyelonephritis, xanthogranulomatous pyelonephritis, an obstructing renal pelvic stone that causes pyonephrosis, or recent urologic surgery. Approximately 30% of abscesses are attributed to hematogenous dissemination of organisms from sites of infection such as wounds or furuncles, or from a pulmonary infection. Abscess can also result from an ascending urinary tract infection.
Occasionally, a perinephric abscess arises in conjunction with the spread of infection from an extraperitoneal site. Retroperitoneal appendicitis, diverticulitis, pancreatitis, and pelvic inflammatory conditions may be the sources of a perinephric abscess.
Risk factors for perinephric abscess include uncontrolled diabetes; nephrolithiasis; recurrent pyelonephritis; polycystic kidney disease that requires dialysis; vesicoureteral reflux; bladder outlet obstruction; renal papillary necrosis; genitourinary tuberculosis; trauma (such as renal biopsy, urinary instrumentation, or urologic surgery); immunosuppression; and injection drug use.
CAUSES
A perinephric abscess may be caused by a variety of bacteria, of which Proteus species (44%), E coli (30%), and Staphylococcus aureus (6%) are the most common. Other Gram-negative bacteria that may be involved include Klebsiella, Enterobacter, Pseudomonas, Serratia, and Citrobacter. Enterococcal organisms and Mycobacterium tuberculosis may occasionally be implicated. Anaerobes such as Clostridium, Bacteroides, and Actinomyces may account for some culture-negative abscesses. Multiple organisms are present in as many as 25% of cases.
Other causes include fungi, especially Candida species in patients with diabetes; surgery, including renal transplantation; and prolonged antibiotic therapy.
CLINICAL MANIFESTATIONS
The symptoms of perinephric abscess develop insidiously, which makes early recognition difficult. Patients are usually symptomatic for 2 or more weeks before initial presentation. Nearly all patients have fever. Unilateral flank pain is present in 70% to 80% of cases; chills and dysuria in 40%; and nausea, vomiting, and weight loss in 25%.
Physical findings include flank and costovertebral tenderness. Abdominal tenderness is present in about 60% of patients and may confuse the clinical picture. A flank or abdominal mass is palpable if the abscess is large or is located in the inferior pole of the kidney (9% to 47% of patients).
Referred pain is common; patients may complain of pain in the hip, thigh, or knee. Some report pain while bending toward the contralateral side, on active flexion of the ipsilateral thigh against resistance, and on extension of the thigh while walking.
DIAGNOSIS
Diagnosis may be difficult because of the insidious onset and nonspecific nature of the symptoms and physical findings. An accurate diagnosis is made on admission in only one third of patients.
A high index of suspicion for perinephric abscess is warranted in the following settings:
Routine laboratory evaluation generally yields the following results:
Imaging studies help establish the diagnosis. Renal sonography and CT have become the preferred modalities. Ultrasonographic findings may include a hypoechoic or nearly anechoic mass displacing the kidney. CT reveals a renal soft tissue mass with a thick wall; the image may be enhanced with intravenous contrast.
Intravenous pyelography, MRI, gallium scanning, or indium-labeled WBC scanning may help make the diagnosis by locating the abscess, but such tests are rarely needed. In 50% of cases, a chest radiograph shows a pleural effusion, an elevated ipsilateral hemidiaphragm, atelectasis, or a lower lobe infiltrate.
TREATMENT
Perinephric abscess has been associated with a mortality of 20% to 50%. Prompt diagnosis followed by surgical intervention and antibiotic therapy has reduced the mortality to 8% to 22%.
The mainstay of treatment is percutaneous drainage under ultrasonographic guidance, a simple procedure that carries a minimal risk of morbidity. Surgical drainage is undertaken when percutaneous drainage fails or when there are large abscess cavities filled with thick, purulent fluid. When kidneys are not functioning or are severely infected, open or laparoscopic nephrectomy is required.
Antibiotic agents are used as adjuncts to drainage to help control sepsis and prevent the spread of infection. Empiric antimicrobial therapy is directed against common Gram-negative uropathogens and S aureus. Choices for initial treatment include an antistaphylococcal b-lactam (eg, nafcillin or cefazolin) and an aminoglycoside (eg, gentamicin or tobramycin) or a single broad-spectrum agent, such as piperacillin with tazobactam. After identification of the culprit organism, therapy may be adjusted as follows:
Antibiotics are given during the drainage period and for 1 to 3 weeks after the drainage tube is withdrawn.
FOR MORE INFORMATION: