Staphylococcal pneumonia can be classified as either primary or secondary. In primary disease, the infection is caused by direct inoculation of the respiratory tract. Secondary disease occurs by hematogenous spread (eg, as in endocarditis).
A 19-day-old infant was brought to the emergency department (ED) after a day of fever, coughing, and difficulty in breathing. He had been born at full term via vaginal delivery. There was no history of prolonged rupture of membranes. The mother was group B streptococcus-positive and had been treated appropriately before the delivery. The infant received 48 hours of empiric antibiotic therapy after his birth; blood cultures were negative at the birth hospital. The infant had been doing well before the ED visit.
The patient's temperature was 39.1°C (102.4°F). The respiratory rate was 70 breaths per minute. The infant displayed tachypnea, grunting, and nasal flaring. His initial oxygen saturation was 91% while breathing room air. Lung examination revealed good aeration bilaterally and right-sided crackles. The infant's heart rate was 214 beats per minute, but he had good perfusion and central pulses. Abdominal findings were normal, with no hepatosplenomegaly.
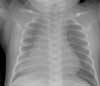
The initial chest radiograph showed a right middle and lower lobe opacity, representing atypical infection, aspiration, or other airspace process (Figure 1). No effusion was seen.

Figure 1

Figure 2
The patient was given oxygen via nasal cannula and 2 boluses of normal saline. The ECG showed sinus tachycardia. The initial white blood cell count was 19,600/µL, with a differential of 47% neutrophils, 7% bands, and 36% lymphocytes. Blood and urine samples were drawn for culture. The urinalysis and electrolyte panel results were within normal limits. A cerebrospinal fluid sample could not be obtained after multiple attempts.
The patient was admitted for presumed sepsis and pneumonia. Empiric therapy with intravenous ampicillin and cefotaxime was initiated. The initial blood culture grew clusters of Gram-positive cocci 18 hours after collection.
On hospital day 1, the patient was weaned to room air and became afebrile. He remained stable while receiving empiric antibiotic therapy until hospital day 2, when respiratory distress developed. The patient was given 2 L of oxygen via nasal cannula.
A follow-up chest film was ordered (Figure 2). Findings were interpreted as significant progression of right pulmonary parenchymal disease, with likely pneumonia involving the right upper, middle, and lower lobes. Because of his acute clinical deterioration, the patient was given intravenous vancomycin pending final susceptibilities.
The infectious disease team, which had been consulted on hospital day 2, recommended the addition of rifampin to the patient's regimen. Subsequent daily blood cultures were normal. Ampicillin and cefotaxime were discontinued and the infant was weaned to room air within 5 days.
Because a lumbar puncture could not be performed, the patient received 21 days of empiric vancomycin and rifampin inpatient therapy for possible meningitis. Weekly complete blood cell counts, erythrocyte sedimentation rates, and C-reactive protein levels all improved by the time the patient was discharged. A skeletal survey performed before discharge showed no signs of osteomyelitis.
The final report from the initial blood culture confirmed methicillin-resistant Staphylococcus aureus (MRSA).
STAPHYLOCOCCAL PNEUMONIA
Staphylococcal pneumonia can be classified as either primary or secondary. In primary disease, the infection is caused by direct inoculation of the respiratory tract. Secondary disease occurs by hematogenous spread (eg, as in endocarditis). Primary staphylococcal disease occurs mostly in the pediatric age group: three quarters of all cases occur in children younger than 1 year. Patients present in acute respiratory distress and are usually febrile. The initial chest radiograph may appear normal or show lobar opacification. Patients may deteriorate clinically in a relatively short period.
Patients with staphylococcal pneumonia frequently have an associated pleural effusion or pneumothorax. Studies have found that 59% of affected patients had a pleural effusion on the initial radiograph and that up to 71% of patients demonstrated an effusion at some point during their illness.1 One study found that pneumothorax developed in 42% of patients with staphylococcal pneumonia.1 Pneumothorax has been attributed to either pulmonary pneumatocele rupture or bronchopulmonary fistula.
Lung disease from community-acquired invasive staphylococcal pneumonia differs significantly depending on the strain. Empyema, effusion, lung abscess, and septic emboli were more likely to develop in patients with invasive MRSA infection than in those with methicillin-susceptible S aureus infection.2
MANAGEMENT
Patients with staphylococcal pneumonia require close observation with serial examinations to monitor for rapid deterioration. Some authors even suggest admission to an ICU during the acute phase of illness. Patients with an empyema require surgical consultation, with possible chest tube insertion or video-assisted thoracoscopic surgery.
Invasive staphylococcal disease requires treatment with a b-lactamase-resistant antibiotic. When deciding on therapy, consider the recent rise in the incidence of community-acquired MRSA infection. Some authors suggest empiric treatment with vancomycin for suspected invasive disease in hospitalized patients. For patients with culture-proven MRSA, consultation with an infectious disease specialist is advised.3,4
TEACHING POINT
Staphylococcal pneumonia can be a rapidly progressive illness that is commonly associated with pneumothorax and pleural effusion. Affected patients require close monitoring. Consider staphylococcal infection in any infant with pneumonia whose health deteriorates clinically or radiographically. When you suspect staphylococcal pneumonia, consider empiric vancomycin therapy if the incidence of MRSA is high in your community.
REFERENCES:
1.
Gonzales BE, Hulten KG, Dishop MK, et al. Pulmonary manifestations in children with invasive community-acquired
Staphylococcus aureus
infection.
Clin Infect Dis.
2005;41:583-590.
2.
Sattler C, Correa A. Coagulase-positive staphylococcal infections. In: Feigin R, Cherry J, Demmler G, Kaplan S, eds.
Textbook of Pediatric Infectious Diseases.
5th ed. WB Saunders Company; 2004: 1099-1129.
3.
Siberry G. Fighting a rising tide of MRSA infection in the young.
Contemp Pediatr.
2005;22:44-53.
4.
Staphylococcal infections. In: Pickering LK, ed.
Red Book: 2003. Report of the Committee on Infectious Diseases.
26th ed. Elk Grove Village, Ill: American Academy of Pediatrics; 2003:561-573.