Syphilis is often called the "great imitator." The slides that follow show syphilis in various guises-and various disorders that can mimic the cutaneous manifestations of the sexually transmitted infection.
This macular rash on the palms of a 24-year-old HIV-positive man is typical of secondary syphilis.

Photograph courtesy David Lubin, MD
The lesions of erythema multiforme, shown here, may be confused with those of secondary syphilis. The initial lesions manifest as erythematous macules or urticarial plaques that often involve the face, neck, and palms. The lesions evolve into an iris (target) lesion.

Photograph courtesy David Effron, MD
Compare this palmar rash, attributed to secondary syphilis, with that of erythema multiforme shown in the previous Figure.

Photograph courtesy of David Effron, MD
Pityriasis rosea can be mistaken for secondary syphilis. It typically erupts on the back as a pinkish, scaly, oval plaque but can occur anywhere on the body. Hypopigmentation or hyperpigmentation may occur as the rash resolves.

Photograph courtesy of David Effron, MD
Compare this plantar rash, attributed to secondary syphilis, with that of pityriasis rosea shown in the previous Figure.

Photograph courtesy of David Effron, MD
The macular, nonpruritic, erythematous rash of Rocky Mountain spotted fever develops on the hands and soles of many patients, causing it to be confused with secondary syphilis. Like syphilis, the initial symptoms of infection before manifestation of the rash may include headache and fever.

Photograph courtesy of Brett Mikeska, MD, and Sunil Patel, MD
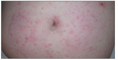
A diffuse rash consisting of small, pink macules characteristic of Rocky Mountain spotted fever is shown on a patient’s abdomen.

Photograph courtesy of Brett Mikeska, MD, and Sunil Patel, MD
Secondary syphilismanifested in this patient as numerous annular, nonpruritic, erythematous macules and papules on the hands and forearms.

Photograph courtesy of Jonathan S. Crane, DO, Mary Lou Courreg, MD, and David Ohashi, MD
A telltale rash characteristic of syphilis appeared on the palms of a sexually active teenage boy who also was found to be seropositive for HIV infection.

Photograph courtesy of David Schwartz, MD, and Sarah Taylor, MD
A slightly pruritic rash characterized by uniformly distributed 3- to 5-mm papules is shown in the right axillary area of a 55-year-old man in whomSecondary syphiliswas diagnosed.

Photograph courtesy of Joe Monroe, PA-C