A 71-year-old man presents with a2-week history of early satiety, decreasedappetite, postprandial nauseaand vomiting, jaundice, dark urine,acholic stools, and generalized pruritus.In addition, he reports a 4.5-kg(10-lb) weight loss within the past2 months.
A 71-year-old man presents with a2-week history of early satiety, decreasedappetite, postprandial nauseaand vomiting, jaundice, dark urine,acholic stools, and generalized pruritus.In addition, he reports a 4.5-kg(10-lb) weight loss within the past2 months.
History. He has a history of hypertension,diabetes mellitus, coronaryartery disease, and alcohol abuse. Hiscurrent medications include lisinopril,atenolol, and glyburide. He denies recentalcohol consumption and tobaccouse. The patient underwent a screeningcolonoscopy 9 months earlier,which revealed a 5-mm tubulovillousadenoma and a 15-mm tubular adenomain his transverse colon.
His sister died of pancreatic cancerat age 46 years. Breast cancerwas diagnosed in his mother at age60, and colorectal cancer was diagnosedin his maternal aunt at age 65.

Figure 1

Figure 2
Three months before the currentsymptoms developed, the patient hadan episode of upper GI bleeding manifestedby melena; there was no changein the hemoglobin level. An esophagoduodenoscopyrevealed a "clean-basedulcer" in the descending portion ofthe duodenum (Figure 1). Biopsy ofthe ulcer was not performed at thattime. Antral biopsies were negativefor Helicobacter pylori. Pantoprazole(40 mg/d) was prescribed, and thepatient was instructed to discontinueaspirin.
Physical and laboratory findings.Vital signs are normal. Physical findingsare essentially unremarkable exceptfor jaundice. Abnormal serologicvalues include total bilirubin,11.2 mg/dL (normal, 0 to 1 mg/dL);direct bilirubin, 7.5 mg/dL (normal,0 to 0.3 mg/dL); alkaline phosphatase,993 U/L (normal, 59 to 146U/L); aspartate aminotransferase,1262 U/L (normal, 0 to 37 U/L);alanine aminotransferase, 2096 U/L(normal, 0 to 40 U/L); amylase, 110U/L (normal, 0 to 88 U/L); and lipase,189 mIU/mL (normal, 16 to 63mIU/mL). Results of a complete bloodcell count, coagulation profile, andhepatitis profile are normal.

Figure 3

Figure 4
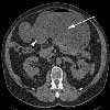
Diagnostic studies. A CT scan ofthe abdomen reveals a markedly dilatedstomach with an obstructive massin the descending portion of the duodenum;these findings are consistentwith gastric outlet obstruction (Figure2). In addition, biliary and pancreaticductal dilatation and multiple livermasses are noted. Esophagoduodenoscopyshows near complete luminalobstruction by the mass (Figure 3).The scope is unable to pass beyond themarkedly narrowed lumen. Results ofbiopsies of the duodenal mass revealmoderately differentiated invasive adenocarcinoma(Figure 4).
Outcome. The patient subsequentlyundergoes palliative bypass surgery,which includes gastrojejunostomy andcholecystojejunostomy. Liver and peritonealmetastases are confirmed. Thepatient is referred to the oncology departmentfor consideration of palliativechemotherapy.
PRIMARY DUODENALADENOCARCINOMA:AN OVERVIEW
Primary duodenal adenocarcinomais rare. It represents less than0.5% of all GI tract malignant neoplasmsand up to 45% of small-bowelcancers.1 Adenocarcinomas accountfor 75% of all primary duodenal malignancies,including leiomyosarcoma,lymphoma, and carcinoid tumors.2 The first case of duodenaladenocarcinoma was described in1746; since then, more than 800cases have been reported.3,4
Etiology. The causative factorsfor primary adenocarcinoma of theduodenum are unknown. Patientswith familial adenomatous polyposis,Gardner syndrome, Crohn disease,or celiac sprue are at increased riskfor duodenal malignancies.3,5 This patienthad none of these risk factors.
Diagnosis. The diagnosis of primaryduodenal adenocarcinoma isusually delayed-typically 7 monthson average-from the onset ofsymptoms.6 This may be attributedto the nonspecific nature of thesymptoms (eg, epigastric pain, dyspepsia,weight loss, and nausea). Inaddition, distal portions of the duodenumare generally not inspectedduring esophagoduodenoscopy.With progression of the disease, thesymptoms may worsen and can producegastric outlet obstruction andjaundice.
Prognosis. In a 10-year retrospectivereview of all patients withprimary, nonampullar duodenal adenocarcinomaat the Cleveland ClinicFoundation, 26 malignancies wereidentified: 16 adenocarcinomas,3 gastrinomas, 3 stromal tumors, 3leiomyosarcomas, and 1 carcinoidtumor.7 Patients with adenocarcinomahad symptoms for an average of6.1 months. Of the cancers found inthe third and fourth portions of theduodenum, 12 of 13 were adenocarcinomas;7 of the 16 adenocarcinomaswere resectable on exploration. The5-year survival rate was 38% for alladenocarcinomas, 86% for resectabletumors, and 0% for unresectable adenocarcinomas.All patients who presentedwith weight loss or obstructivesymptoms died of their diseasewithin 2 years; those who presentedwith melena or chronic blood losshad a 5-year survival of 86%.
In this patient, failure to performa biopsy of the ulcer during hisinitial esophagoduodenoscopy, whenhe presented with melena, led to adelay in the diagnosis. This probablyreduced his 5-year survival from85% to 0%.
TAKE-HOME MESSAGE
Biopsy of benign-appearing ulcersin the duodenal bulb is not typicallyperformed because these ulcersare commonly caused by infectionwith Helicobacter pylori or areassociated with the use of NSAIDs.However, ulcerations in a postbulbarlocation should raise suspicion ofmalignancy and lower the thresholdfor biopsy of the ulcer.
REFERENCES:1. Moss WM, McCart PM, Juler G, Miller DR. Primaryadenocarcinoma of the duodenum. Arch Surg.1974;108:805-807.
2. Lillemoe K, Imbembo AL. Malignant neoplasmsof the duodenum. Surg Gynecol Obstet. 1980;150:822-826.
3. Alwmark A, Andersson A, Lasson A. Primary carcinomaof the duodenum. Ann Surg. 1980;191:13-18.
4. Spira IA, Ghazi A, Wolff WI. Primary adenocarcinomaof the duodenum. Cancer. 1977;39:1721-1726.
5. Iida M, Yao T, Itoh H, et al. Natural history ofduodenal lesions in Japanese patients with familialadenomatosis coli (Gardner's syndrome). Gastroenterology.1989;96(5 pt 1):1301-1306.
6. Cortese AF, Cornell GN. Carcinoma of the duodenum.Cancer. 1972;29:1010-1015.
7. Heniford BT, Iannitti DA, Evans P, et al. Primarynonampullary/periampullary adenocarcinoma of theduodenum. Am Surg. 1998;64:1165-1169.