For 6 weeks, a 56-year-old man had worsening dyspnea on exertion and a cough productive of yellow sputum with scant hemoptysis. He reported subjective fever over the past month but no weight loss.
For 6 weeks, a 56-year-old man had worsening dyspnea on exertion and a cough productive of yellow sputum with scant hemoptysis. He reported subjective fever over the past month but no weight loss. He denied significant occupational exposures. He had chronic obstructive pulmonary disease, a 150 pack-year smoking history, and a history of alcohol and cannabis abuse. His family history was unremarkable.
The patient was afebrile but appeared ill with bitemporal wasting. Breath sounds were decreased bilaterally; diffuse wheezes and rhonchi were audible. Marked pectus excavatum was noted (Figure 1). There was no cervical, supraclavicular, axillary, or inguinal lymphadenopathy. Cardiac, abdominal, and neurological findings were unremarkable.
The white blood cell count was 13,900/µL; serum electrolyte levels were normal. A chest radiograph showed bilateral upper lobe infiltrates, nodules, and cavitary lesions. These findings were confirmed on a CT scan of the thorax (Figure 2).
The patient was placed in respiratory isolation, and empiric antibiotic therapy for community-acquired pneumonia was started. HIV and tuberculin test results were negative. However, results of an acid-fast bacillus smear were positive. Therapy for Mycobacterium tuberculosis infection was started. Subsequently, a gene probe of a sputum culture was positive for Mycobacterium avium complex (MAC).

Figure 1

Figure 2

Figure 3
Figure 1 – Pectus Excavatum results from an overgrowth
of the length of the rib cartilages 4 through 8, which prevents
sternum elevation at birth. Patients with this deformity appear
to be at increased risk for pulmonary infection with Mycobacterium
avium complex.
Figure 2 – A CT scan of the thorax revealed subpleural blebs in the
upper lobes bilaterally with a cavity in the right upper lobe and infiltrates
in the left upper lobe.
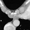
Figure 3 – This CT scan of the chest shows leftward displacement of the
heart-a sequela of pectus excavatum.
PECTUS EXCAVATUM: A RISK FACTOR FOR MAC INFECTION?
Pectus excavatum, also referred to as funnel chest or funnel breast, is the most common anterior chest wall deformity observed in children (incidence, 8 in 1000).1,2 This skeletal abnormality results from an overgrowth of the length of rib cartilages 4 through 8, which prevents sternum elevation at birth.2 Sequelae include leftward displacement of the heart (Figure 3) and alterations of ventilation with mild restriction.3
Patients with severe pectus excavatum often complain of easy fatigability and dyspnea with strenuous exercise.4 Corrective surgery is recommended for these patients, because it offers physiological as well as cosmetic and psychological benefits.1-4
Patients with pectus excavatum appear to be at increased risk for pulmonary infection with MAC. In a study by Iseman and colleagues,5 about 70% of patients with MAC pulmonary disease had either pectus excavatum or thoracic scoliosis or both of these anomalies. The reason for this association is unclear. Patients with AIDS, those with underlying lung disease, and middle-aged and older women without previous lung disease are at increased risk for MAC infection; in the last group of patients, the infection is termed Lady Windermere syndrome.6,7
MAC INFECTION IN IMMUNOCOMPETENT PATIENTS
Diagnosis. MAC infection is caused by both M avium and Mycobacterium intracellulare nontuberculous mycobacteria. Susceptible persons may become infected through ingestion or inhalation; there is no evidence of person-to-person transmission. Underlying lung disease, such as chronic bronchitis, bronchiectasis, or pneumoconiosis, is the most important risk factor in immunocompetent patients.
Persons who have pulmonary MAC infection typically present with productive cough with or without hemoptysis, fever, and weight loss. In patients with AIDS, the lungs are rarely involved, and disseminated disease is common.7
Radiographic findings of MAC infection appear similar to those of cavitary tuberculosis. When radiological studies suggest disease, a positive sputum culture with 2+ MAC growth and a 2+ positive acid-fast bacillus smear provide sufficient evidence for diagnosis; these findings warrant treatment. DNA probes can further identify the species and rule out coinfection with M tuberculosis. Other diagnostic criteria are available to distinguish those who may be colonized with MAC and do not need treatment.7
Treatment. MAC infection is treated with a macrolide and at least 1 additional antibiotic to prevent the emergence of resistance. Streptomycin may be added to the regimen when cavitary disease is present. Monitor patients closely for toxicity and perform monthly sputum evaluations until sterilization is confirmed. Treatment may continue for up to a year after documentation of sputum sterilization in order to prevent relapse. Adequate treatment of pulmonary MAC infection is necessary to prevent progressive disease and respiratory failure.7
Key Points for Your Practice
• Be particularly suspicious of Mycobacterium avium complex (MAC) infection in patients who have preexisting lung disease.
• Patients with thoracic anomalies, such as pectus excavatum, appear to be predisposed to pulmonary MAC infection.
• Treatment with a macrolide-based regimen and close follow-up with sputum cultures is most effective in preventing relapse and disease progression.
REFERENCES:1. Golladay ES, Wagner CW. Pectus excavatum: a 15-year perspective. South Med J. 1991;84:1099-1102.
2. Quigley PM, Haller JA, Jelus KL, et al. Cardiorespiratory function before and after corrective surgery in pectus excavatum. J Pediatr. 1996;128:638-642.
3. Suita A, Taguchi T, Masumoto K, et al. Funnel chest: treatment strategy and follow-up. Pediatr Surg Int. 2001;17:344-350.
4. Haller JA Jr, Loughlin GM. Cardiorespiratory function is significantly improved following corrective surgery for severe pectus excavatum. Proposed treatment guidelines. J Cardiovasc Surg (Torino). 2000;41:125-130.
5. Iseman MD, Buschman DL, Ackerson LM. Pectus excavatum and scoliosis. Thoracic anomalies associated with pulmonary disease caused by Mycobacterium avium complex. Am Rev Respir Dis. 1991; 144:914-916.
6.Reich JM, Johnson RE. Mycobacterium avium complex pulmonary disease presenting as an isolated lingular or middle lobe pattern. The Lady Windermere syndrome. Chest. 1992;101:1605-1609.
7. Havlir DV, Ellner JJ. Mycobacterium avium complex. In: Mandell GL, Bennett JE, Dolin R, eds. Mandell, Douglas, and Bennett's Principles and Practice of Infectious Diseases. 6th ed. New York: Churchill Livingstone, Inc; 2000:2616-2627.