Symptoms closely resemble "strep" throat but suspicion for Lemierre should run high when pharyngitis and fever persist.
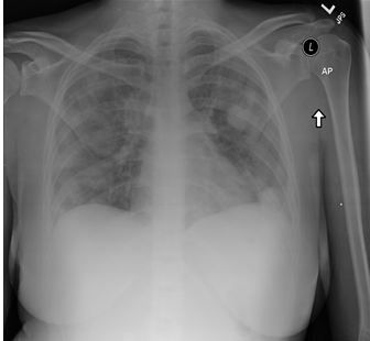
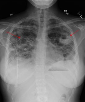
Fig 1. Chest x-ray shows cavitary lesions in both lung fields.

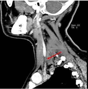
Fig 2. CT neck, sagital view shows thrombus in left internal jugular vein.

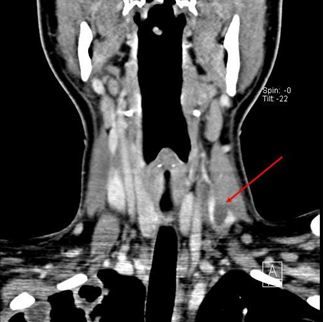
Fig 3. CT neck, coronal view shows thrombus in left internal jugular vein.

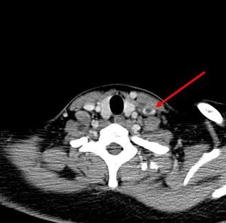
Fig 4. CT neck; thrombus in left internal jugular vein.

Fig 5.Chest x-ray; air-fluid-filled cavitary lesions bilaterally.

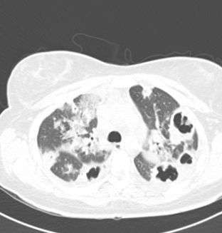
Fig 6.CT chest; cavitary lesions bilaterally.

A 20-year-old woman with no significant past medical history presents with sore throat, body aches, and high-grade fevers of two weeks’ duration. For the past week, she has experienced intermittent right-sided pleuritic chest pain, neck pain, and mild dry cough. She has never smoked and denied any recent travel or exposure to any sick contacts. On physical examination, her temperature was 39.6°C (103.4°F), heart rate, 108 beats/min, blood pressure 108/76 mm Hg, and O2 saturation, 94% on room air. Pertinent positive findings on physical examination were, slight induration around anterior aspect of the neck and palpable posterior cervical lymph nodes. She also had significant pharyngeal erythema and bilateral crackles in the lower lung fields upon auscultation.
Laboratory evaluation showed WBC of 28,000/cm3 with left shift and thrombocytopenia. Results of rapid strep and mono spot tests were negative and blood cultures were drawn. Initial chest x-ray showed multifocal nodular infiltrates suspicious for septic emboli (Figure 1, click to enlarge). She was admitted to ICU for presumed sepsis and was treated with vancomycin and piperacillin-sulbactam (Zosyn).
Later, a CT scan of the neck was performed. Results showed mild nonspecific thickening of the left tonsillar pillar and a thrombus in left internal jugular vein (Figures 2, 3, and 4, click to enlarge).
On hospital day three, her chest x-ray and CT scan of the chest showed multiple cavitary lesions bilaterally consistent with septic emboli throughout both lung fields (Image 5, 6, click to enlarge). Subsequently blood cultures were positive for Fusobacterium necrophorum. A diagnosis was made of Lemierre syndrome and her antibiotic course was changed to ampicillin-sulbactam. The patient improved significantly and was discharged to home a week later.
Lemierre Syndrome, first described by Andre Lemierre in 1936, is a rare form of disseminated septic thrombophlebitis. The syndrome is characterized by super infection with Fusobacterium necrophorum, jugular vein thrombosis, and distant septic emboli.1 Healthy young adults are at a higher risk for this infection and have a significant mortality rate. The organism is a part of the normal oral flora and alteration of the immune system related to primary viral or bacterial infection may lead to super infection with Fusobacterium necrophorum in the pharyngeal or parapharyngeal region. The infection can progress via breakdown of the mucosal barrier to involve the carotid sheath by local invasion.2 This may allow for septic thrombophlebitis in the internal jugular vein3 which can lead to septic emboli primarily in the lungs4 and, rarely, the liver and spleen.
Clinical suspicion should be high for this syndrome in patients with antecedent pharyngitits, persistent fevers, and septic pulmonary emboli. Blood cultures and imaging studies such as ultrasound and CT scan with intravenous contrast play a crucial role in confirming the diagnosis. Early treatment with appropriate antimicrobial agents would prevent significant morbidity and mortality. The actual duration of therapy is not clearly defined in literature.5