ABSTRACT: The diagnosis of invasive pulmonary aspergillosis remainschallenging because of atypical clinical presentations,comorbid diseases, and the difficulty in culturing Aspergillus bystandard microbiological techniques. Serial monitoring withCT scans of the chest and serological markers can help withearly identification in high-risk patients, such as hematopoieticstem cell transplant recipients. The most common radiographicfindings are single or multiple nodules, wedge-shapedpleural-based infiltrates, and cavities. The halo sign is the mostsuggestive clue to aspergillosis and is manifested by a macronodulesurrounded by a perimeter of ground-glass opacity.(J Respir Dis. 2008;29(10):405-410)
ABSTRACT:The diagnosis of invasive pulmonary aspergillosis remains challenging because of atypical clinical presentations, comorbid diseases, and the difficulty in culturing Aspergillus by standard microbiological techniques. Serial monitoring with CT scans of the chest and serological markers can help with early identification in high-risk patients, such as hematopoietic stem cell transplant recipients. The most common radiographic findings are single or multiple nodules, wedge-shaped pleural-based infiltrates, and cavities. The halo sign is the most suggestive clue to aspergillosis and is manifested by a macronodule surrounded by a perimeter of ground-glass opacity. (J Respir Dis. 2008;29(10):405-410)
Aspergillosis is the most common cause of pneumonia-related deaths in patients with hematological malignancies and those undergoing allogeneic hematopoietic stem cell transplant (HSCT). Early recognition and treatment are important for a successful outcome. In part 1 of this article, we discuss the principles of diagnosis.
PATHOGENESIS
Aspergillosis is the most common invasive mold infection worldwide. Aspergilli are ubiquitous in organic debris, soil, plants, spices, and construction sites. In the United States, Aspergillus fumigatus accounts for 50% to 70% of cases of aspergillosis, followed by Aspergillus flavus (12% to 18%) and Aspergillus terreus (12% to 16%).1
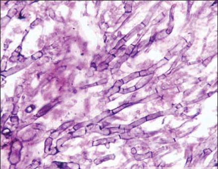
The main route of infection is airborne, via inhalation of 2.5- to 3.0-μm spores (conidia), which settle in the lungs or sinuses. Alveolar macrophages and neutrophils are critical for defense against Aspergillus. Alveolar macrophages ingest and kill conidia; the conidia that escape the macrophages germinate and form hyphae (Figure 1). Neutrophils adhere to hyphae and kill the fungus. In the absence of functional neutrophils, angioinvasion by hyphae may result in the dissemination of the fungus.2,3

Figure 1 – The dichotomously branched, septate hyphae of Aspergillus fumigatus, characterized by acute angle branching, can be seen in this methenamine-silver–stained tissue section of lung. (Figure courtesy of The Geraldine Kaminski Medical Mycology Library, produced by David Ellis and Roland Hermanis, Doctorfungus Corporation. http://www.doctorfungus.org/imageban/index_enlarge.pl.)
The importance of T lymphocytes in the protective immunity againstAspergillus is now appreciated. 4 A substantial role of antibodies in host defense against invasive aspergillosis has not yet been documented. However, humoral immunity is important in allergic aspergillosis, in which aspergilli elicit an IgE response, which evokes a type I hypersensitivity reaction.
Although the most common presentation of Aspergillus infection is invasive pulmonary aspergillosis, the CNS, cardiovascular system, and other tissues may be infected as a result of hematogenous dissemination or, less frequently, by direct extension from contiguous foci of infection.
WHO IS AT RISK?
Defects in neutrophil function or T lymphocytes predispose to invasive aspergillosis. In addition, the killing of Aspergillus is impaired by corticosteroids. Patients with hematological malignancies, prolonged neutropenia resulting from chemotherapy, HSCT, solid organ transplants, chronic granulomatous disease, and advanced AIDS are susceptible to invasive pulmonary aspergillosis.5,6 Among those receiving solid organ transplants, lung transplant recipients are at greatest risk.7 Patients who are receiving prolonged (more than 3 weeks) high-dose corticosteroid therapy (more than 1 mg/kg/d of methylprednisolone or equivalent) are also at risk.
An increase in the incidence of aspergillosis has been reported in patients with hematological malignancies-from 0.9% in 1983 to 2.9% in 2003.8 The reported incidence of aspergillosis after allogeneic HSCT has ranged from 8% to 15% in single-institution studies.5,9
A large multicenter prospective surveillance study from 19 sites in United States reported a cumulative incidence of aspergillosis of 3% after allogeneic HSCT and 2.4% after lung transplant.10 These figures are substantially lower than those previously reported from single centers and may be related to changes in transplant practices, diagnostic methods, and supportive care.
Among allogeneic HSCT recipients, the highest incidence of aspergillosis is observed in those with graft versus host disease, those with Cytomegalovirus disease, and those who have been treated with high doses of corticosteroids.5 It has been noted that more cases of aspergillosis are occurring in the nonneutropenic setting, possibly related to the use of narrow-spectrum immunosuppressive drugs that impair T-cell function.5,11
The diagnosis of invasive aspergillosis remains challenging largely because of atypical clinical presentations, coexistence with other infectious and noninfectious diseases, and relative inability to culture Aspergillus by standard microbiological techniques. The definition of proven aspergillosis requires histopathological documentation of infection or a positive result of culture of a specimen from a normally sterile site.
Culture of a specimen from a nonsterile site, such as bronchoalveolar lavage (BAL) fluid or sputum, that is positive for Aspergillus or positive results on a serum test for galactomannan antigen are used to define probable aspergillosis in high-risk patients.12 Most patients with aspergillosis do not have a definite diagnosis antemortem, and the diagnosis is presumptive.
Clinical manifestations
The clinical findings of invasive pulmonary aspergillosis are usually nonspecific. The most common symptoms are dyspnea, fever, cough, chest pain, and hemoptysis, but their occurrence is variable. In one study of allogeneic HSCT recipients, 64% had dyspnea and only 32% were febrile.13
In another study of neutropenic and nonneutropenic patients with invasive aspergillosis (47% in the ICU), fever was present in 85% of patients.14 All but one patient had at least one symptom, with dyspnea in 65%, cough in 51%, chest pain in 24%, and hemoptysis in 7%. Nonneutropenic patients were less likely to have symptoms than were those with neutropenia.
Some patients are asymptomatic, and their infection is detected first by radiographic studies.15 The most suggestive findings-hypoxia, pleuritic chest pain, pleural friction rub, and nodular or wedge-shaped infiltrates-in a high-risk setting are present in only about 30% of cases.
Radiographic findings
Chest radiographic findings are not sensitive for the diagnosis of invasive pulmonary aspergillosis, and radiographs have largely been replaced by chest CT scans. The most common radiographic findings are single or multiple nodules, wedge-shaped pleural-based infiltrates, and cavities (Figures 2 and 3). Diffuse infiltrates are rare.
The halo sign is the most suggestive sign of aspergillosis and is manifested by a macronodule (larger than 1 cm in diameter) surrounded by a perimeter of ground-glass opacity. It represents an area of angioinvasive aspergillosis with infarction and coagulative necrosis surrounded by alveolar hemorrhage. 16 This is a fleeting and early sign that may not be appreciated, particularly in nonneutropenic patients. Other fungal pathogens (Mucor, Scedosporium, and Fusarium) or bacteria (Pseudomonas aeruginosa) also may produce the halo sign.

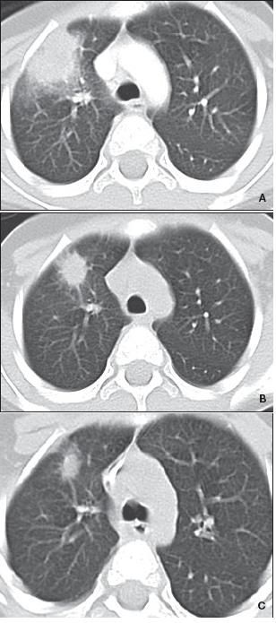
Figure 2 – These CT scans are from a neutropenic patient who had invasive pulmonary aspergillosis. On presentation, the patient had fever and had been taking broad-spectrum antibiotics; the CT scan showed a mass-like infiltrate with a halo sign (A). Some improvement can be seen after the recovery of the white blood cell count and 2 weeks of voriconazole therapy (B). After 6 weeks of treatment, a CT scan showed persistent abnormality (C). At wedge resection, pathology showed septate hyphae.
The air crescent sign, caused by contracting infarcted tissue, often occurs at the time of recovery of the white blood cell count in neutropenic patients with invasive pulmonary aspergillosis.
Laboratory testing
Sputum cultures are neither sensitive nor specific for the diagnosis of aspergillosis. Positive cultures do not always correlate with disease. The positive predictive value of recovery of Aspergillus in respiratory secretions in stem cell transplant recipients is as high as 80% to 90% but is lower in other settings.1,17 In solid organ transplant recipients, false positive rates are variable, with the highest rate occurring in lung transplant recipients.
Aspergillus can be recovered in sputum specimens in 25% of cases of invasive pulmonary aspergillosis and in bronchoscopic washings or BAL fluid culture in 40% to 50%;Aspergillus recovery is slightly enhanced by finding hyphae on cytological examination (60%). Blood cultures are rarely positive for Aspergillus, even with disseminated disease. Hypoxia, coagulation abnormalities, and thrombocytopenia make invasive procedures not feasible in some patients.

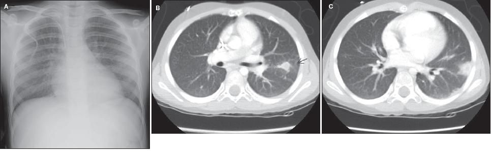
Figure 3 – Hemoptysis developed in this patient after induction chemotherapy for acute leukemia. The chest radiograph was not revealing (A), but CT scans at 2 different cuts showed nodular infiltrates (B, C). Bronchoalveolar lavage fluid was positive for Aspergillus fumigatus and Aspergillus terreus.
Two new serological assays have been approved by the FDA. The galactomannan double sandwich enzyme immunoassay (EIA) was approved in 2003 as an adjunctive test for the diagnosis of aspergillosis. Galactomannan is an Aspergillus-specific antigen released by invading hyphae. Using a cutoff index of 0.5 ng/mL, the galactomannan EIA has a specificity of more than 85% for invasive aspergillosis when used for serial screening in high-risk groups.18
While initial studies reported high sensitivity, more recent studies found a range of 29% to 100%, with lower sensitivities observed in patients who had a low probability of aspergillosis or had previously received antifungal treatment.19 For example, in a series of lung and liver transplant recipients, sensitivities were 30% and 55.5%, respectively. 20,21 Of note, none of the patients who had endobronchial Aspergillus post–lung transplant had positive test results. However, in both studies, the specificity was high-95% and 93.8%, respectively. The highest sensitivity has been observed in neutropenic patients.
The galactomannan EIA is most useful when a positive value is obtained, but it has a low negative predictive value. False-positive test results can be noted with concomitant use of piperacillin/tazobactam; one study reported positive results in 74% of stem cell transplant recipients who received the drug, compared with 11% of those who did not.22,23 There are a few reports of false-positive test results associated with amoxicillin/clavulanate. This problem can be lessened by obtaining the blood for galactomannan testing at the time of the trough serum concentration of the antibiotic.24
The combination of twice-weekly serum galactomannan antigen measurement and CT can help identify early cases of aspergillosis in very high–risk populations; an elevated antigen level on 2 occasions in combination with detection of pulmonary infiltrates by CT and/or clinical suspicion of pulmonary infection can probably identify early cases. This approach led to early detection and initiation of treatment in 7.3% of patients in one study.25
Serial assessment of galactomannan during treatment of aspergillosis has been used to monitor response to therapy, in which a rising level is associated with progressive disease.26 In one study, serial galactomannan levels predicted success of therapy for invasive aspergillosis in 56 neutropenic and nonneutropenic patients with hematological cancer who underwent stem cell transplant.27 Persistently elevated levels were associated with treatment failure and death.
Thus, monitoring galactomannan in patients who have elevated levels can help identify the need for additional treatment. It may also be useful to assess whether radiographic deterioration that occurs as neutropenia resolves is due to progressive infection or is a manifestation of an immune reconstitution syndrome.
The incorporation of the galactomannan EIA in the BAL fluid analysis in addition to standard cultures and cytology has been shown to improve identification of Aspergillus species.28 This technique remains investigational.
The assay detection of (1→3)-β-D-glucans may be a useful preliminary screening tool for invasive aspergillosis. Since (1→3)-β-D-glucan is a pan-fungal antigen, it is not specific forAspergillus species. Zygomycetes andCryptococcus species do not produce large amounts of (1→3)-β-D-glucan, so this assay is not useful for the diagnosis of infections caused by these fungi, although it may help detect Pneumocystis jiroveci.29
A multicenter clinical evaluation of this assay as an aid to the diagnosis of fungal infections found that 80% of the 10 patients with invasive pulmonary aspergillosis had a positive value with a cutoff point of either 60 or 80 pg/mL.30 For detection of all fungal infections, the sensitivity and specificity of the assay were 69.9% and 87.1%, respectively; the positive predictive value was 83.8%, and the negative predictive value was 75.1%.30 The revised definitions of invasive fungal disease include this serum assay as one of the criteria for defining probable invasive aspergillosis.31
Extensive efforts have been made to develop polymerase chain reaction–based diagnostic tests that amplifyAspergillus-specific fungal genes.32 These systems appear promising but have not been standardized and are not commercially available.
Diagnostic approach
An approach to diagnosing invasive pulmonary aspergillosis must be individualized depending on severity, type, and length of immunosuppression; prophylactic agents given; presence and type of chest CT abnormalities; and overall clinical index of suspicion for aspergillosis. In patients with very high risk of infection, the combination of serial monitoring of serum galactomannan and a CT scan of the chest can be used, as described above.
The more common clinical situation occurs when symptoms and signs, such as prolonged fever, cough, dyspnea, hemoptysis, or chest pain, develop in an immunocompromised patient. In this setting, we perform a chest CT scan and serum galactomannan testing, serum β-D-glucan testing, and sputum cultures if possible. If the CT findings suggest aspergillosis, with focal nodular or wedge-shaped infiltrates or a halo sign, and any of the other tests results are positive, treatment can be started.
If all test results are negative, invasive pulmonary procedures should be considered to clarify the diagnosis. This is particularly warranted when the clinical or radiographic picture is atypical and other infections are being considered. If results of invasive tests are inconclusive, observation and monitoring rather than empiric treatment can be considered, depending on the patient's risk and clinical course. Presumptive therapy is not usual for aspergillosis.
In the presence of normal chest CT findings, observation with repeated CT scans is often done. In the presence of prolonged fever and neutropenia, treatment of invasive aspergillosis is usually given. Evaluation with serum galactomannan and β-D-glucan testing as well as sputum cultures may also be considered. If any of the results are positive in the presence of persistently normal CT findings, treatment depends on the index of suspicion; invasive procedures to look for other infections are also an option.
REFERENCES
1. Perfect JR, Cox GM, Lee JY, et al; Mycoses Study Group. The impact of culture isolation of Aspergillus species: a hospital-based survey of aspergillosis. Clin Infect Dis. 2001;33:1824-1833.
2. Denning DW. Invasive aspergillosis. Clin Infect Dis. 1998;26:781-805.
3. Marr KA, Patterson T, Denning D. Aspergillosis. Pathogenesis, clinical manifestations, and therapy. Infect Dis Clin North Am. 2002;16:875-894, vi.
4. Bellocchio S, Bozza S, Montagnoli C, et al. Immunity to Aspergillus fumigatus: the basis for immunotherapy and vaccination. Med Mycol. 2005;43(suppl 1):S181-S188.
5. Marr KA, Carter RA, Boeckh M, et al. Invasive aspergillosis in allogeneic stem cell transplant recipients: changes in epidemiology and risk factors. Blood. 2002;100:4358-4366.
6. Walsh TJ, Anaissie EJ, Denning DW, et al; Infectious Diseases Society of America. Treatment of aspergillosis: clinical practice guidelines of the Infectious Diseases Society of America. Clin Infect Dis. 2008;46:327-360.
7. Singh N, Paterson DL. Aspergillus infections in transplant recipients. Clin Microbiol Rev. 2005;18:44-69.
8. Perlroth J, Choi B, Spellberg B. Nosocomial fungal infections: epidemiology, diagnosis, and treatment. Med Mycol. 2007;45:321-346.
9. Junghanss C, Marr KA, Carter RA, et al. Incidence and outcome of bacterial and fungal infections following nonmyeloablative compared with myeloablative allogeneic hematopoietic stem cell transplantation: a matched control study. Biol Blood Marrow Transplant. 2002;8:512-520.
10. Morgan J, Wannemuehler KA, Marr KA, et al. Incidence of invasive aspergillosis following hematopoietic stem cell and solid organ transplantation: interim results of a prospective multicenter surveillance program. Med Mycol. 2005;43(suppl 1):S49-S58.
11. Warris A, Bjørneklett A, Gaustad P. Invasive pulmonary aspergillosis associated with infliximab therapy. N Engl J Med. 2001;344:1099-1100.
12. Ascioglu S, Rex JH, de Pauw B, et al; Invasive Fungal Infections Cooperative Group; Mycoses Study Group. Defining opportunistic invasive fungal infections in immunocompromised patients with cancer and hematopoietic stem cell transplants: an international consensus. Clin Infect Dis. 2002;34:7-14.
13. Shaukat A, Bakri F, Young P, et al. Invasive filamentous fungal infections in allogeneic hematopoietic stem cell transplant recipients after recovery from neutropenia: clinical, radiologic, and pathologic characteristics. Mycopathologia. 2005;159:181-188.
14. Cornillet A, Camus C, Nimubona S, et al. Comparison of epidemiological, clinical, and biological features of invasive aspergillosis in neutropenic and nonneutropenic patients: a 6-year survey. Clin Infect Dis. 2006;43:577-584.
15. Vaideeswar P, Prasad S, Deshpande JR, Pandit SP. Invasive pulmonary aspergillosis: a study of 39 cases at autopsy. J Postgrad Med. 2004;50:21-26.
16. Greene RE, Schlamm HT, Oestmann JW, et al. Imaging findings in acute invasive pulmonary aspergillosis: clinical significance of the halo sign. Clin Infect Dis. 2007;44:373-379.
17. Horvath JA, Dummer S. The use of respiratorytract cultures in the diagnosis of invasive pulmonary aspergillosis. Am J Med. 1996;100:171-178.
18. Marr KA, Balajee SA, McLaughlin L, et al. Detection of galactomannan antigenemia by enzyme immunoassay for the diagnosis of invasive aspergillosis: variables that affect performance. J Infect Dis. 2004;190:641-649.
19. Pfeiffer CD, Fine JP, Safdar N. Diagnosis of invasive aspergillosis using a galactomannan assay: a meta-analysis. Clin Infect Dis. 2006;42:1417-1427.
20. Husain S, Kwak EJ, Obman A, et al. Prospective assessment of Platelia Aspergillus galactomannan antigen for the diagnosis of invasive aspergillosis in lung transplant recipients. Am J Transplant. 2004;4:796-802.
21. Kwak EJ, Husain S, Obman A, et al. Efficacy of galactomannan antigen in the Platelia Aspergillus enzyme immunoassay for diagnosis of invasive aspergillosis in liver transplant recipients. J Clin Microbiol. 2004;42:435-438.
22. Adam O, Aupérin A, Wilquin F, et al. Treatment with piperacillin-tazobactam and false-positive Aspergillus galactomannan antigen test results for patients with hematological malignancies. Clin Infect Dis. 2004;38:917-920.
23. Viscoli C, Machetti M, Cappellano P, et al. False-positive galactomannan Platelia Aspergillus test results for patients receiving piperacillin-tazobactam. Clin Infect Dis. 2004;38:913-916.
24. Penack O, Rempf P, Graf B, et al. False-positive Aspergillus antigen testing due to application of piperacillin/tazobactam-is it still an issue? Diagn Microbiol Infect Dis. 2008;60:117-120.
25. Maertens J, Theunissen K, Verhoef G, et al. Galactomannan and computed tomographybased preemptive antifungal therapy in neutropenic patients at high risk for invasive fungal infection: a prospective feasibility study. Clin Infect Dis. 2005;41:1242-1250.
26. Boutboul F, Alberti C, Leblanc T, et al. Invasive aspergillosis in allogeneic stem cell transplant recipients: increasing antigenemia is associated with progressive disease. Clin Infect Dis. 2002;34:939-943.
27. Woods G, Miceli MH, Grazziutti ML, et al. Serum Aspergillus galactomannan antigen values strongly correlate with outcome of invasive aspergillosis: a study of 56 patients with hematologic cancer. Cancer. 2007;110:830-834.
28. Musher B, Fredricks D, Leisenring W, et al. Aspergillus galactomannan enzyme immunoassay and quantitative PCR for diagnosis of invasive aspergillosis with bronchoalveolar lavage fluid. J Clin Microbiol. 2004;42:5517-5522.
29. Odabasi Z, Mattiuzzi G, Estey E, et al. Beta-Dglucan as a diagnostic adjunct for invasive fungal infections: validation, cutoff development, and performance in patients with acute myelogenous leukemia and myelodysplastic syndrome. Clin Infect Dis. 2004;39:199-205.
30. Ostrosky-Zeichner L, Alexander BD, Kett DH, et al. Multicenter clinical evaluation of the (1â3) beta-D-glucan assay as an aid to diagnosis of fungal infections in humans. Clin Infect Dis. 2005;41:654-659.
31. De Pauw B, Walsh TJ, Donnelly JP, et al. Revised definitions of invasive fungal disease from the European Organization for Research and Treatment of Cancer/Invasive Fungal Infections Cooperative Group and the National Institute of Allergy and Infectious Diseases Mycoses Study Group (EORTC/MSG) Consensus Group. Clin Infect Dis. 2008;46:1813-1821.
32. Donnelly JP. Polymerase chain reaction for diagnosing invasive aspergillosis: getting closer but still a ways to go. Clin Infect Dis. 2006;42:487-489.
EVIDENCE-BASED MEDICINE
•Cornely OA, Maertens J, Bresnik M, et al; Infectious Diseases Society of America. Liposomal amphotericin B as initial therapy for invasive mold infection: a randomized trial comparing a high-loading dose regimen with standard dosing (AmBiLoad Trial).
Clin Infect Dis.
2007;44:1289-1297.
•Cornely OA, Maertens J, Winston DJ, et al. Posaconazole vs fluconazole or itraconazole prophylaxis in patients with neutropenia.
N Engl J Med.
2007;356:348-359.
•Herbrecht R, Denning DW, Patterson TF, et al. Voriconazole versus amphotericin B for primary therapy of invasive aspergillosis.
N Engl J Med.
2002;347:408-415.
•Ullmann AJ, Lipton JH, Vesole DH, et al. Posaconazole or fluconazole for prophylaxis in severe graft-versus-host disease.
N Engl J Med.
2007;356:335-347.
PRACTICE GUIDELINES
•Walsh TJ, Anaissie EJ, Denning DW, et al. Treatment of aspergillosis: clinical practice guidelines of the Infectious Diseases Society of America.
Clin Infect Dis.
2008;46:327-360.