With advances in chemotherapy, transplantation, and the treatment of diabetes and HIV infection, fungal sinusitis has become increasingly recognized in patients in these at-risk groups.
Introduction
With advances in chemotherapy, transplantation, and the treatment of diabetes and HIV infection, fungal sinusitis has become increasingly recognized in patients in these at-risk groups. In immunocompetent patients, fungal sinus disease is generally limited to 1 of 3 categories:
• Fungus ball.
• Chronic erosive (noninvasive) fungal sinusitis.
• Allergic fungal sinusitis.
In immunocompetent patients, disease typically presents with nasal congestion and periorbital discomfort.1 However, in immuno

compromised patients, invasive fungal sinusitis (IFS) often presents with masses, proptosis, and bony erosion, typically with rapid progression (Figure 1). The degree of host immune dysfunction is the most important predictor of clinical outcome. No matter what the underlying acquired risk factor(s) is, the importance of early diagnosis and aggressive combined-modality therapy is common to all immunocompromised patients.
Predisposing factors
Hematopoietic stem cell transplant (HSCT) and solid organ transplant (SOT) recipients, patients with diabete

s who have poor glycemic control, and HIV-infected persons represent the highest-risk groups for IFS (Table 1).
One center reported an incidence of IFS of 2.6% among bone marrow transplant (BMT) recipients. Prolonged (more than 2 weeks) systemic corticosteroid use, absolute neutrophil count less than 500/µL, and exposure to broad-spectrum antibiotics were noted risk factors.2,3 High-risk immunosuppression occurs in HSCT recipients before engraftment: the highest risk of invasive fungal infection (IFI) occurs as early as 3 weeks after transplant. Previous aspergillosis confers risk of recurrent disease among HSCT recipients with repeated episodes of neutropenia.4
In SOT patients, risk is associated with the degree of immunosuppression; however, some risks are organ-specific. For example, risk factors for IFI in orthotopic liver transplant recipients include re-transplant, re-operation following transplant, choledochojejunostomy, high-volume intraoperative blood product requirement, renal dysfunction, fulminant hepatic failure at the time of transplant, and heavy candidal colonization within 3 days of surgery.5 However, these risks are not specific to IFS.
In lung transplant patients, although airway colonization with Aspergillus is associated with a low positive predictive value for invasive disease, it does confer higher risk in certain patients, including those with recurrent hepatitis C, bacterial sinusitis, or concomitant infection with any herpesvirus or respiratory viruses, and in those receiving antimicrobials.6-8 Median time to infection is 2 to 3 months following transplant.
The incidence of invasive aspergillosis is 1.5% to 4% in liver transplant recipients and 0.4% to 2.4% in renal transplant recipients; the incidence of IFS specifically in these populations is not well described.9 In liver transplant recipients, the incidence of fungal infection is increasing, perhaps because of more advanced illness at the time of transplant.10
IFS in HIV-infected patients is typically restricted to those with low CD4+ cell counts (less than 150/µL) and is most often caused by Aspergillus.11 Antral washings in HIV-infected patients recovered Candida albicans in 4% of sinusitis cases, although tissue invasion was absent.12 Chronic noninvasive or allergic forms of sinusitis caused by Aspergillus or Pseudallescheria boydii occur in late-stage HIV infection.13 Cases of Cryptococcus neoformans sinusitis and rhinocerebral mucormycosis (zygomycosis) are uncommonly reported in patients with AIDS; intracranial extension generally complicates these rare IFS cases.14,15
Impaired neutrophil function, microvascular disease, and disrupted mucociliary clearance contribute to the risk of fungal sinusitis in persons with diabetes.16 Defects in neutrophil chemotaxis, phagocytosis, and serum opsonic activity are exacerbated by diabetic ketoacidosis (DKA); up to 70% of cases of rhinocerebral mucormycosis occur in patients with DKA.17 The chelating agent deferoxamine also confers risk of mucormycosis.18
Other phagocytic defects predispose to fungal sinusitis. Sinusitis caused by Aspergillus occurs frequently in patients with chronic granulomatous disease, and recurrent sinusitis caused by Candida and Aspergillus occurs in those with leukocyte adhesion deficiencies.19 Invasive disease from dematiaceous (dark-walled) fungi (phaeohyphomycosis) occurs more frequently in association with impaired cell-mediated immunity.20
Etiology
Although Aspergillus is the most common cause of IFS, fungi of the order Mucorales are becoming increasingly recognized.21 Several genera have been reported as causes of IFS (Table 2). Members of the genera Rhizopus, Rhizomucor, and Absidia, typically found in decaying vegetables, seeds, and fruits, in compost piles, in animal excreta, in soil, and in stale bread, have been most commonly implicated. However, reports of Mucor, Cunninghamella, Mortierella, Saksenaea, and Apophysomyces as causes of IFS exist.22 Although phaeohyphomycosis is rare and more commonly implicated in allergic fungal sinusitis, its incidence appears to be increasing, with reported IFI rates of 1 per million persons per year.23
Clinical presentation
The most common clinical manifestations of IFS include fever, cough, epistaxis, nasal discharge, and headache.24 Direct orbital extension is generally heralded by pain, proptosis, ophthalmoplegia, or trigeminal nerve distribution sensory loss. Rhinocerebral mucormycosis typically manifests with sequential involvement of the nasal cavity, sinuses, eyes, and then brain, and can be complicated by seizures, hemiplegia, and coma. It is often associated with necrosis of the palate and nasal mucosa. Nasal ulcerations occur in 38% to 74% of patients, with a painful black eschar on the palate or nasal mucosa, which is considered a classic but nonspecific sign.25,26
Diagnosis
Early diagnosis requires repeated nasopharyngeal examinations and sinus imaging prompted by consistent symptoms or fever unresponsive to appropriate antibiotics. Physical examination findings can include pale nasal mucosa, mucosal hypesthesia, and diminished bleeding on abrasion. Some centers advocate nasal endoscopy for all febrile neutropenic patients who do not respond to 48 hours of antibiotic therapy.2
Nonculture methods are of limited utility.27 While sensitivity and specificity of the galactomannan assay have been reported as greater than 90% and 95%, respectively, for invasive Aspergillus disease, other reports of sensitivity as low as 30% preclude substitution for tissue biopsy and culture.28 Similar shortcomings occur with the nonspecific fungal marker β-D-glucan.29
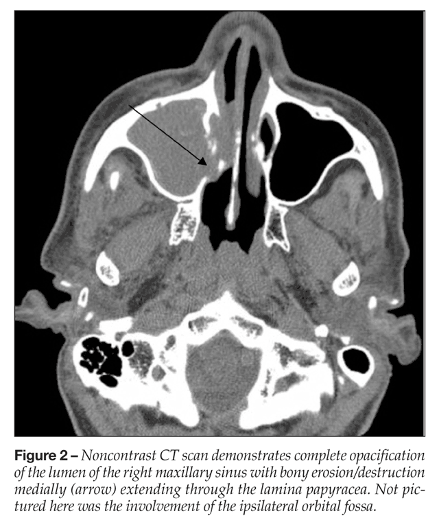
Noncontrast CT scans commonly demonstrate hypoattenuating mucosal thickening or soft tissue attenuation within the lumen

of the sinus, with predilection for unilateral involvement of the ethmoidal and sphenoidal sinuses. Bony erosion and mucosal thickening can be absent early in the disease course (Figure 2).30 Fungal sinusitis can demonstrate hypointensities within the sinuses on MRI T1-weighted sequences, and in Aspergillus sinusitis, concentrations of ferromagnetic ions exert a paramagnetic effect, accentuating this finding. While CT of the sinuses is more sensitive for bony changes, MRI provides superior evaluation of intracranial and intraorbital extension of disease and should be included as part of the initial evaluation.31 IFS is confirmed by both radiographic and histopathological evaluations.32 Surgically resected tissue often demonstrates considerable necrosis, edema, acute inflammation, and angioinvasion. In one series, CT scans were normal in 12% of patients with IFS; therefore, imaging cannot replace careful endoscopic evaluation and biopsy.33
Cultures of nasal swabs lack diagnostic sensitivity and specificity, whereas sinus aspirates can demonstrate sinus colonization. A biopsy specimen showing tissue invasion is necessary for diagn

osis (Figure 3).34,35 Histopathology is informative in identifying the typical ribbon-like, pauciseptate, wide-angle branching Mucorales. However, Pseudallescheria cannot be distinguished histopathologically from other branching septated fungi, including Aspergillus and Fusarium; a positive culture is required to confirm the causative agent.36
Treatment and prognosis
Early aggressive surgical debridement, microbiological diagnosis, and use of systemic antifungals improve outcomes. However, survival depends significantly on recovery of immune function.37,38
Although few trials provide information on the treatment of Aspergillus sinusitis, voriconazole is now considered first-line therapy (Table 3).39,40 However, if the etiological organism remains unknown or histopathological results are still pending, initial therapy with an amphotericin B formulation should typically be ad

ministered until mucormycosis can be ruled out.41P boydii may be mistaken for Aspergillus on fungal smear. Amphotericin B lacks activity against this fungus as well as some species of Aspergillus (eg, Aspergillusterreus), making accurate microbiological identification essential. Early aggressive endoscopic sinonasal debridement to bleeding margins, repeated debridement within 48 to 72 hours to exclude residual disease, and weekly follow-up until resolution of underlying immunosuppression should be performed.33 The optimal duration of therapy is unclear, but reversal or decrease in immunosuppression is critical.
Mortality rates for IFS range from 50% to 80% but approach 100% in those with symptomatic intracranial involvement and in those undergoing allogeneic bone marrow transplant.42,43 Mortality associated with invasive aspergillosis in SOT recipients exceeds 50% in most case series. Few data from prospective trials exist to g
uide therapy.39 Susceptibility testing for molds has been standardized, but correlations between clinical responses and clear minimal inhibitory concentration breakpoints have not yet been determined.44
Case reports describe successful outcomes for invasive aspergillosis with echinocandin and voriconazole comb
ination therapy.45,46 Salvage therapy with voriconazole and caspofungin in a retrospective cohort study of predominantly pulmonary aspergillosis was associated with reduced 3-month mortality rates compared with voriconazole monotherapy, but randomized prospective studies are lacking.47 Retrobulbar amphotericin B has been described as adjunctive therapy for invasive sino-orbital aspergillosis, but it generally is considered palliative.48
The overall mortality for all infections from phaeohyphomycetes approaches 28%. Mortality rates specific to IFS are not known but are estimated to be less than for aspergillosis or mucormycosis.49 In addition to surgical resection and reduction in immunosuppressed patients, itraconazole 200 mg twice daily is comm
only used, but duration of therapy has not been established.
It is not clear whether Candida truly causes invasive disease within the sinuses. Because Candida lacks the vascular tropism of Aspergillus and Mucor, candidal sinusitis may respond to standard therapy for deep candidal infections. Localized drainage may be required.50,51
Concurrent treatment of the underlying risk factors (DKA, neutropenia) or dose reduction of immunosuppression should be initiated immediately.52 In transplant patients or those with hematological malignancies, administration of granulocyte colony-stimulating factor (G-CSF) to increase the absolute neutrophil count to above 1000/µL may improve survival in IFS.53 Granulocyte infusions have been successful in patients with IFS who have neutropenia refractory to G-CSF.54 However, these strategies have been limited to very small case series, so the true measure of their efficacy remains uncertain.
Prevention
The effectiveness of antifungal prophylaxis in preventing IFS in high-risk patients is not known. Although several HSCT centers use prophylactic fluconazole until engraftment, specific recommendations for IFI from molds are lacking.55 For HSCT recipients, reports of moderate-dose (0.5 mg/kg/d) amphotericin B, low-dose (0.1 to 0.25 mg/kg/d) amphotericin B, intranasal amphotericin B spray, lipid formulations of amphotericin B, and aerosolized amphotericin B for IFI (including IFS) exist, but safety and efficacy data preclude any recommendation for routine Aspergillus prophylaxis.55 A single-center evaluation of intranasal amphotericin B prophylaxis for 1 to 2 weeks among pediatric BMT recipients demonstrated that the number of fatal cases of invasive aspergillosis for those at risk was reduced from 13.8% to 1.8%, in comparison with historical controls.56 Growth factors (eg, G-CSF) may shorten the duration of neutropenia after HSCT but have not been shown to decrease the rate of IFI.57
Current data regarding efficacy of low-dose amphotericin B (0.1 to 0.5 mg/kg/d) or itraconazole in liver transplant recipients remains unconvincing.9
Nosocomial outbreaks of aspergillosis have been linked to nearby construction, contaminated ventilation systems, and contaminated water.58 For HSCT patients, the use of high-efficiency particulate air filters, frequent air exchanges (more than 12 air changes per hour), sealed plastic barriers to construction areas, and positive pressure ventilation limit exposures in the hospital. Infection may still develop in some persons despite precautions, and as more medical treatment is delivered in the outpatient setting, community-acquired infections may occur.59,60
Conclusion
Suspect IFS in immunocompromised patients with acute sinusitis, nasal mucosal inflammation, unexplained fever, cough, proptosis, or nonresponse to broad-spectrum antibiotics. Early combined-modality therapy is critical. Aggressive surgical debridement and empiric systemic antifungal therapy, followed by serial endoscopic evaluations, are the mainstays of treatment. Randomized clinical trials addressing combination antifungal therapy are lacking. Recovery of immune function is crucial for containment of IFS. Although higher-risk patient subpopulations are being identified, prophylactic strategies require further study.
REFERENCES
1. Uri N, Cohen-Kerem R, Elmalah I, et al. Classification of fungal sinusitis in immunocompetent patients. Otolaryngol Head Neck Surg. 2003;129:372-378.
2. Gillespie MB, O’Malley BW Jr, Francis HW. An approach to fulminant invasive fungal rhinosinusitis in the immunocompromised host. Arch Otolaryngol Head Neck Surg. 1998;124:520-526.
3. Drakos PE, Nagler A, Or R, et al. Invasive fungal sinusitis in patients undergoing bone marrow transplantation. Bone Marrow Transplant. 1993;12:203-208.
4. Iwen PC, Rupp ME, Hinrichs SH. Invasive mold sinusitis: 17 cases in immunocompromised patients and review of the literature. Clin Infect Dis. 1997;24:1178-1184.
5. Collins LA, Samore MH, Roberts MS, et al. Risk factors for invasive fungal infections complicating orthotopic liver transplantation. J Infect Dis. 1994;170:644-652.
6. Alexander BD. Prophylaxis of invasive mycoses in solid organ transplantation. Curr Opin Infect Dis. 2002;15:583-589.
7. Pappas PG, Andes D, Schuster M, et al. Invasive fungal infections in low-risk liver transplant recipients: a multi-center prospective observational study. Am J Transplant. 2006;6:386-391.
8. Husain S, Alexander BD, Munoz P, et al. Opportunistic mycelial fungal infections in organ transplant recipients: emerging importance of non-Aspergillus mycelial fungi. Clin Infect Dis. 2003;37:221-229.
9. Singh N. Fungal infections in the recipients of solid organ transplantation. Infect Dis Clin N Am. 2003;17:113-134.
10. Singh N, Arnow PM, Bonham A, et al. Invasive aspergillosis in liver transplant recipients in the 1990s. Transplantation. 1997;64:716-720.
11. Eckburg PB, Zolopa AR, Montoya JG. Invasive fungal sinusitis due to Scedosporium apiospermum in a patient with AIDS. Clin Infect Dis. 1999;29:212-213.
12. Milgrim LM, Rubin JS, Rosenstreich DL, Small CB. Sinusitis in human immunodeficiency virus infection: typical and atypical organisms. J Otolaryngol. 1994;23:450-453.
13. Meyer RD, Gaultier CR, Yamashita JT, et al. Fungal sinusitis in patients with AIDS: report of 4 cases and review of the literature. Medicine (Baltimore). 1994;73:69-78.
14. Smith AG, Bustamante CI, Gilmor GD. Zygomycosis (absidiomycosis) in an AIDS patient. Mycopathologia. 1989;105:7-10.
15. Younis RT, Anand VK, Childress C. Sinusitis complicated by meningitis: current management. Laryngoscope. 2001;111:1338-1342.
16. Kelley MA, Wu CL. Case records of the Massachusetts General Hospital. Weekly clinicopathological exercises. Case 22-1999. A 68-year-old woman with multiple myeloma, diabetes mellitus, and an inflamed eye. N Engl J Med. 1999;341:265-273.
17. Rayfield EJ, Ault MJ, Keusch GT, et al. Infection and diabetes: the case for glucose control. Am J Med. 1982;72:439-450.
18. Boelaert JR, de Locht M, Van Cutsem J, et al. Mucormycosis during deferoxamine therapy is a siderophore-mediated infection. In vitro and in vivo animal studies. J Clin Invest. 1993;91:1979-1986.
19. Lekstrom-Himes JA, Gallin JI. Immunodeficiency diseases caused by defects in phagocytes. N Engl J Med. 2000;343:1703-1714.
20. Silveira F, Nucci M. Emergence of black moulds in fungal disease: epidemiology and therapy. Curr Opin Infect Dis. 2001;14:679-684.
21. Sun HY, Singh N. Emerging importance of infections due to zygomycetes in organ transplant recipients. Int J Antimicrob Agents. 2008;32(suppl 2):S115-S118.
22. deShazo RD, Chapin K, Swain RE. Fungal sinusitis. N Engl J Med. 1997;337:254-259.
23. Rees JR, Pinner RW, Hajjeh RA, et al. The epidemiological features of invasive mycotic infections in the San Francisco Bay area, 1992-1993: results of population-based laboratory active surveillance. Clin Infect Dis. 1998;27:1138-1147.
24. Talbot GH, Huang A, Provencher M. Invasive aspergillus rhinosinusitis in patients with acute leukemia. Rev Infect Dis. 1991;13:219-232.
25. Chayakulkeeree M, Ghannoum MA, Perfect JR. Zygomycosis: the re-emerging fungal infection. Eur J Clin Microbiol Infect Dis. 2006;25:215-229.
26. de Carpentier JP, Ramamurthy L, Denning DW, Taylor PH. An algorithmic approach to aspergillus sinusitis. J Laryngol Otol. 1994;108:314-318.
27. Young RC, Bennett JE. Invasive aspergillosis. Absence of detectable antibody response. Am Rev Respir Dis. 1971;104:710-716.
28. Pinel C, Fricker-Hidalgo H, Lebeau B, et al. Detection of circulating Aspergillus fumigatus galactomannan: value and limits of the Platelia test for diagnosing invasive aspergillosis. J Clin Microbiol. 2003;41:2184-2186.
29. Obayashi T, Yoshida M, Mori T, et al. Plasma (1→3)-beta-D-glucan measurement in diagnosis of invasive deep mycosis and fungal febrile episodes. Lancet. 1995;345:17-20.
30. Aribandi M, McCoy VA, Bazan C 3rd. Imaging features of invasive and noninvasive fungal sinusitis: a review. Radiographics. 2007;27:1283-1296.
31. DelGaudio JM, Swain RE Jr, Kingdom TT, et al. Computed tomographic findings in patients with invasive fungal sinusitis. Arch Otolaryngol Head Neck Surg. 2003;129:236-240.
32. Cestari DM, Metson RB, Cunnane ME, Faquin WC. Case records of the Massachusetts General Hospital. Case 40-2008. A 26-year-old man with blurred vision. N Engl J Med. 2008;359:2825-2833.
33. Gillespie MB, O’Malley BW. An algorithmic approach to the diagnosis and management of invasive fungal rhinosinusitis in the immunocompromised patient. Otolaryngol Clin North Am. 2000;33:323-334.
34. Ascioglu S, Rex JH, de Pauw B, et al; Invasive Fungal Infections Cooperative Group of the European Organization for Research and Treatment of Cancer; Mycoses Study Group of the National Institute of Allergy and Infectious Diseases. Defining opportunistic invasive fungal infections in immunocompromised patients with cancer and hematopoietic stem cell transplants: an international consensus. Clin Infect Dis. 2002;34:7-14.
35. Schell WA. Histopathology of fungal rhinosinusitis. Otolaryngol Clin North Am. 2000;33:251-276.
36. Nichols L. Fungal sinusitis. N Engl J Med. 1997;337:1633-1634.
37. Goering P, Berlinger NT, Weisdorf DJ. Aggressive combined modality treatment of progressive sinonasal fungal infections in immunocompromised patients. Am J Med. 1988;85:619-623.
38. Stevens DA, Kan VL, Judson MA, et al. Practice guidelines for diseases caused by Aspergillus. Infectious Diseases Society of America. Clin Infect Dis. 2000;30:696-709.
39. Walsh TJ, Anaissie EJ, Denning DW, et al; Infectious Diseases Society of America. Treatment of aspergillosis: clinical practice guidelines of the Infectious Diseases Society of America. Clin Infect Dis. 2008;46:327-360.
40. Herbrecht R, Denning DW, Patterson TF, et al; Invasive Fungal Infections Group of the European Organisation for Research and Treatment of Cancer; Global Aspergillus Study Group. Voriconazole versus amphotericin B for primary therapy of invasive aspergillosis. N Engl J Med. 2002;347:408-415.
41. Moses AE, Rahav G, Barenholz Y, et al. Rhinocerebral mucormycosis treated with amphotericin B colloidal dispersion in three patients. Clin Infect Dis. 1998;26:1430-1433.
42. Denning DW. Therapeutic outcome in invasive aspergillosis. Clin Infect Dis. 1996;23:608-615.
43. Bowden R, Chandrasekar P, White MH, et al. A double-blind, randomized, controlled trial of amphotericin B colloidal dispersion versus amphotericin B for treatment of invasive asperillosis in immunocompromised patients. Clin Infect Dis. 2002;35:359-366.
44. Espinel-Ingroff A, Bartlett M, Bowden R, et al. Multicenter evaluation of proposed standardized procedure for antifungal susceptibility testing of filamentous fungi. J Clin Microbiol. 1997;35:139-143.
45. Gubler C, Wildi SM, Imhof A, et al. Disseminated invasive aspergillosis with cerebral involvement successfully treated with caspofungin and voriconazole. Infection. 2007;35:364-366.
46. Chirch L, Roche P, Fuhrer J. Successful treatment of invasive Aspergillus sinusitis with caspofungin and voriconazole. Ear Nose Throat J. 2008;87:30-33.
47. Marr KA, Boeckh M, Carter RA, et al. Combination antifungal therapy for invasive aspergillosis. Clin Infect Dis. 2004;39:797-802.
48. Wakabayashi T, Oda H, Kinoshita N, et al. Retrobulbar amphotericin B infections for treatment of invasive sino-orbital aspergillosis. Jpn J Ophthalmol. 2007;51:309-311.
49. Singh N, Chang FY, Gayowski T, Marino IR. Infections due to dematiaceous fungi in organ transplant recipients: case report and review. Clin Infect Dis. 1997;24:369-374.
50. Dooley DP, McAllister CK. Candidal sinusitis and diabetic ketoacidosis. A brief report. Arch Intern Med. 1989;149:962-964.
51. Pappas PG, Kauffman CA, Andes D, et al; Infectious Diseases Society of America. Clinical practice guidelines for the management of candidiasis: 2009 update by the Infectious Diseases Society of America. Clin Infect Dis. 2009;48:503-535.
52. Bagdade JD, Nielson KL, Bulger RJ. Reversible abnormalities in phagocytic function in poorly controlled diabetic patients. Am J Med Sci. 1972;263:451-456.
53. Sahin B, Paydas S, Cosar E, et al. Role of granulocyte colony-stimulating factor in the treatment of mucormycosis. Eur J Clin Microbiol Infect Dis. 1996;15:866-869.
54. Samadi DS, Goldberg AN, Orlandi RR. Granulocyte transfusion in the management of fulminant invasive fungal rhinosinusitis. Am J Rhinol. 2001;15:263-265.
55. Centers for Disease Control and Prevention. Guidelines for preventing opportunistic infections among hematopoietic stem cell transplant recipients: recommendations of CDC, the Infectious Diseases Society of America, and the American Society of Blood and Marrow Transplantation [published correction appears in MMWR. 2004;53(18):396]. MMWR. 2000;49(RR-10):22-24.
56. Trigg ME, Morgan D, Burns TL, et al. Successful program to prevent aspergillus infections in children undergoing marrow transplantation: use of nasal amphotericin. Bone Marrow Transplant. 1997;19:43-47.
57. Vose JM, Armitage JO. Clinical applications of hematopoietic growth factors. J Clin Oncol. 1995;13:1023-1035.
58. Malani PN, Kauffman CA. Prevention and prophylaxis of invasive fungal sinusitis in the immunocompromised patient. Otolaryngol Clin North Am. 2000;33:301-312.
59. Dykewicz CA. Hospital infection control in hematopoietic stem cell transplant recipients. Emerg Infect Dis. 2001;7:263-267.
60. Warris A, Klaassen CH, Meis JF, et al. Molecular epidemiology of Aspergillus fumigatus isolates recovered from water, air, and patients shows two clusters of genetically distinct strains. J Clin Microbiol. 2003;41:4101-4106.
61. Johnson TE, Casiano RR, Kronish JW, et al. Sino-orbital aspergillosis in acquired immunodeficiency syndrome. Arch Ophthalmol. 1999;117:57-64.
62. Liang KP, Tleyjeh IM, Wilson WR, et al. Rhino-orbitocerebral mucormycosis caused by Apophysomyces elegans. J Clin Microbiol. 2006;44:892-898.
63. Bates DD, Mims JW. Invasive fungal sinusitis caused by Pseudallescheria boydii: case report and literature review. Ear Nose Throat J. 2006;85:729-737.
64. Gucalp R, Carlisle P, Gialanella P, et al. Paecilomyces sinusitis in an immunocompromised adult patient: case report and review. Clin Infect Dis. 1996;23:391-393.
65. Castelnuovo P, De Bernardi F, Cavanna C, et al. Invasive fungal sinusitis due to Bipolaris hawaiiensis. Mycoses. 2004;47:76-81.
66. Ebright JR, Chandrasekar PH, Marks S, et al. Invasive sinusitis and cerebritis due to Curvularia clavata in an immunocompetent adult. Clin Infect Dis. 1999;28:687-689.
67. Zieske LA, Kopke RD, Hamill R. Dematiaceous fungal sinusitis. Otolaryngol Head Neck Surg. 1991;105:567-577.
68. Kumar R, Kaushal V, Chopra H, et al. Pansinusitis due to Sporothrix schenckii.Mycoses. 2005;48:85-88.
69. Spellberg B, Walsh TJ, Kontoyiannis DP, et al. Recent advances in the management of mucormycosis: from bench to bedside. Clin Infect Dis. 2009;48:1743-1751.