Patients with IBD may have discomfort for 3 to 5 years before a diagnosis is made. Many are treated unsuccessfully with antibiotics, anti-spasmodics, or narcotics. Here, read 5 important tips, plus a bonus point, to help streamline diagnosis and management.
1. Delayed diagnosis is common.
Patients with IBD-especially those with Crohn disease-typically experience discomfort for 3 to 5 years before the true cause of their symptoms is identified. Several reasons account for the delay. One is that most persons are reluctant or embarrassed to discuss their symptoms-abdominal pain, diarrhea, and/or bloody diarrhea-with their physician. And often, the clinician attributes symptoms to a more common problem, such as infection or irritable bowel syndrome. IBD might not appear on the diagnostic radar until after the patient has endured an unproductive trial of antibiotics, antispasmodics, or narcotics.
How to avoid this pitfall? Ask patients about GI symptoms during the history, even if a patient comes in for a seemingly unrelated issue. The pattern of diarrhea can vary substantially in persons with IBD, depending on the portion of gut involved. In persons with Crohn disease or ulcerative colitis of the left colon, for instance, bloody diarrhea and cramping pain are common. In someone with Crohn disease of the small intestine, watery diarrhea and abdominal pain are typical. However, any report of diarrhea with weight loss, blood in the stool, or pain/diarrhea that awaken the patient at night are worrisome findings that justify a workup for Crohn disease or ulcerative colitis.
2. Look beyond the bowel to extraintestinal manifestations.
Some 20% to 40% of patients with Crohn disease or ulcerative colitis have involvement outside of the bowel that manifests as:
• Back pain
• Joint pain
• Mouth ulcerations
• Pyoderma gangrenosum in the legs
• Erythema nodosum of the shins
These extraintestinal “red herrings” can obscure the diagnosis of IBD in the absence of a high index of suspicion. The key is to check the history for clues to support the IBD story. These include a family history of any autoimmune disease (rheumatoid arthritis, psoriasis, etc) and a personal history of GI symptoms.
3. Follow the path to diagnosis, and tag team with the specialist.
Once clinical suspicion supports a workup for IBD, the basic path to diagnosis is fairly streamlined:
• Order laboratory tests and stool studies to rule out bacterial infection. Infection with Clostridium difficile, for instance, is a common cause of colitis.
• If those tests are negative, refer the patient to a specialist for colonoscopy. The first colonoscopy is the most important, because it shows the location and extent of disease. Once the patient starts medications, selective healing can make it difficult to evaluate the amount of damage and to differentiate ulcerative colitis from Crohn disease.
• The gastroenterologist will obtain imaging studies of both the large and small intestines. A small-bowel follow-through or CT/magnetic resonance (MR) enterography can help make sure that small intestinal involvement is not overlooked. These tests are more accurate and more comfortable for the patient than older methods such as barium imaging. Wireless capsular endoscopy is another technique for small-bowel imaging that is used for evaluating occult areas of bowel involvement that are not visible with endoscopy. The patient swallows a large vitamin-sized capsule that contains a camera. Images of the bowel are transmitted to a hard drive mounted on a belt that the patient wears.
• Once the diagnosis of IBD is confirmed, most specialists will initiate therapy. Then, he or she will refer the patient back to the primary care physician for routine follow-up care and maintenance.
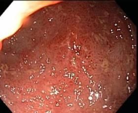
The colonoscopic images that follow show moderate to severe inflammation of the ileum typical of Crohn disease (A&B), and severe colitis with ulceration, friability, and mucopurulent exudate (C).


C.

4. Avoid the prednisone crutch.
While prednisone has its place in treatment, it tends to be overprescribed. Concerns about complications with long-term use (weight gain, changes in glucose metabolism, altered behavior), along with data suggesting that prednisone might intensify the course of IBD,1 justify a short-term prescription. An immunomodulator, such as azathioprine or 6-mercaptopurine (6-MP), can be started early in the course of IBD so that prednisone can be discontinued within 3 or 4 months.
Many classes of medications allow for a tailored approach to patient management. The choice of medication can vary depending on the location and severity of disease. Sulfasalazine, mesalamine, olsazine, azathioprine, 6-MP, cyclosporine, infliximab, and budesonide are the most common. The Table at the bottom of the article lists the features of the various medications. The trend in Crohn disease management is to prescribe biologic agents earlier in the course of disease, since evidence suggests that this can help prevent strictures and the need for surgery.1 Surgical resection of the bowel is generally the last resort after medications have failed.
While information about dietary modification abounds, there are no studies to clearly suggest that any particular diet effectively treats IBD. Some dietary modifications, however, can help patients feel better. For instance, a low-fiber, low-residue diet can help reduce pain, bloating, and bleeding in persons with active colitis. Probiotics may offer some benefit, especially for persons with pouchitis, but this is also unproved. The issue with probiotics is that there are many different forms, and each will work differently in various patients. For patients who want to try a probiotic the preparation known as VSL#3® contains a high concentration of 8 bacterial strains.
5. Keep tabs on bone density and immunizations.
IBD and its treatment increase the risk of osteoporosis. Cytokines released during inflammation cause bone resorption, and corticosteroids decrease the formation of new bone, increase the breakdown of old bone, and decrease absorption of dietary calcium. Furthermore, many patients cannot tolerate dairy products. Because of this, patients with IBD-even young men-need to take calcium/vitamin D supplements and have regular bone density studies.
Bonus Point
Because patients with IBD are immunosuppressed, make sure they remain current with such routine vaccinations as influenza, hepatitis, pneumonia, and HPV. Routine cancer screenings are also essential, including an annual examination by a dermatologist.
Reference
1. Loftus EV. Clinical epidemiology of inflammatory bowel disease: incidence, prevalence, and environmental influences. Gastroenterology. 2004;126:1504-1517.