Hypertension and diabetes, hypertension and stroke/dementia, renal artery stenosis and hypertension in children, pulmonary arterial hypertension, portal hypertensive gastropathy, central retinal vein occlusion-a close look at some common hypertension-related conditions.

Case 1:
A 44-year-old Caucasian male with a 1-year history of type 2 diabetes comes to the clinic for follow-up. Recent laboratory findings include an A1c level of 6.9%. Vitals include a blood pressure of 146/84 mm Hg. The patient wants to know his blood pressure goal.
Hypertension is a common comorbidity of diabetes, and both conditions are considered major risk factors for the development of cardiovascular and microvascular complications. Patients with both conditions are at about twice the risk for cardiovascular disease.
Lowering blood pressure in patients with diabetes clearly has a benefit in reducing renal complications, cardiovascular events, and death. Because hypertension occurs in the majority of patients with diabetes, lowering patients’ blood pressure is vital to their care. Understanding the goals for the management of hypertension in patients with diabetes is an important first step.
Current guidelines recommend that systolic blood pressure be managed to a goal of lower than 140 mm Hg. The goal for diastolic blood pressure is less clear.
Because evidence clearly shows that lowering blood pressure in patients with diabetes can decrease both cardiovascular and microvascular outcomes, clinicians should place a priority on identifying patients with elevated blood pressure and treating these patients.
Case provided by Bradley M. Wright, PharmD, BCPS
NEXT CASE »
For the discussion, click here.

Case 2:
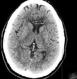
A 47-year-old man with hypertension, hyperlipidemia, and chronic cocaine and alcohol abuse presented with right-sided weakness and numbness. A CT brain scan showed a left anterior cerebral artery ischemic stroke. A second scan showed a bilateral corpus callosum lesion.
For years, an appropriate emphasis has been placed on a cause-and-effect relationship between hypertension and strokes. Now recent discussion has suggested midlife hypertension as a risk factor for cognitive decline.
Hypertension at midlife is associated with white matter damage, a pathologic process usually expected later in life. Plaque deposition, lacunar infarcts, and small bleeds are a consequence of hypertension, which can cause progressive atrophy of the neocortex, hippocampus, and amygdala without clinical evidence for a stroke and has more subtle effects. All of these factors contribute to dementia in hypertensive patients. And diabetes makes the injuries even worse.
Medicine has described blood pressure as the culprit in cerebrovascular disease manifesting as strokes, with a focus on the combination of blood pressure and strokes as an “older person’s” problem. However, the damage is occurring in typical middle-aged persons with hypertension who come to primary care offices every day.
Case and image courtesy of Ranjita Pallavi, MD and Shobhana Chaudhari, MD. Text contributed by Gregory W. Rutecki, MD.
NEXT CASE »
For the discussion, click here.
Read another discussion, here.

Case 3:
A 3-year-old boy experienced vague abdominal pain. He had had several episodes of nonspecific pain in the abdomen that lasted a few minutes and resolved spontaneously.
A hypertension evaluation with a Doppler renal ultrasonogram revealed no definite abnormality. CT angiography showed apparently normal right and left main renal arteries. An accessory left renal artery was identified as probably a normal anatomic variant, as was a horseshoe kidney. This angiogram demonstrated a thread-like appearance of the left main renal artery, just proximal to the bifurcation, and thus confirmed a diagnosis of renal artery stenosis.
Given the increasing incidence of childhood obesity, primary or essential hypertension is now routinely identified in children and adolescents. Thus, weight measurement and body mass index calculation have become critical parts of the evaluation of a hypertensive child. These values can help determine when clinicians need to evaluate for secondary causes of hypertension.
Repeated blood pressure measurements confirmed that this child had stage 2 hypertension. Although a thorough differential diagnosis and stepwise approach should guide any evaluation of a hypertensive child, even the most reliable diagnostic testing cannot supersede high clinical suspicion based on a complete history and physical examination.
Case and image provided by Brett D. Leggett, MD
NEXT CASE »
For the discussion, click here.

Case 4:
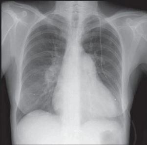
Cardiomegaly and prominent bilateral pulmonary arteries in the hilar areas can be seen in a posteroanterior chest radiograph from a patient with idiopathic pulmonary arterial hypertension. A lateral view also reveals enlarged pulmonary arteries and cardiomegaly without any evidence of congestive heart failure.
Radiographic evidence of longstanding pulmonary hypertension includes enlargement of the central pulmonary arteries with abrupt narrowing of the more distal branches, giving a “pruned tree appearance,” and right ventricular enlargement.
The classic radiographic changes characteristic of RV enlargement include increased transverse diameter of the heart, elevation of the cardiac border on the posteroanterior view, and narrowing or loss of the retrosternal airspace on the lateral projection.
All or some of these findings can be found in patients with idiopathic pulmonary arterial hypertension but lack sensitivity for the diagnosis. There is no correlation between the extent of these abnormalities and the degree of pulmonary hypertension.
Case and image courtesy of Cynthia L. Bone-larson, MD, PhD and Kevin M. Chan, MD
NEXT CASE »
For the discussion, click here.

Case 5:
A 52-year-old man with a history of chronic hepatitis C and alcohol abuse was hospitalized because of bleeding esophageal varices. Seen in this endoscopic view of his stomach is the classic macroscopic “snakeskin” appearance of portal hypertensive gastropathy, a fine reticular pattern that separates areas of erythematous mucosa. Histologic examination disclosed extensive edema and submucosal vessel dilation.
The mucosa is extremely friable in patients with portal hypertensive gastropathy, and it is postulated that spontaneous rupture of the ectatic vessels results in bleeding.
Management of such bleeding aims to decrease the portal pressure, ideally to less than 12 mm Hg. Therapies include portacaval shunt surgery, transjugular intrahepatic portosystemic shunt, nitrates, and β-blockers.
Case and image provided by Klaus E. Monkemuller, MD and C. Mel Wilcox, MD
NEXT CASE »
For the discussion, click here.

Case 6:
A 58-year-old man sought medical attention because of the recent sudden onset of blurred vision in his left eye. His vision had not improved over several days. He had hypertension and had recently sustained a myocardial infarction.
He had a central retinal vein occlusion (CRVO), which is caused by localized thrombosis at the level of the lamina cribrosa of the optic nerve. Intra-retinal hemorrhages are visible throughout the fundus grounds in patients with CRVO.
Cotton-wool spots and an afferent pupillary defect are signs of ischemia. Poor initial visual acuity also correlates with the degree of ischemia. If ischemia is present initially or occurs over time, neovascularization of the retina and iris (rubeosis) may develop. This can lead to neovascular glaucoma, severe eye pain, and further loss of vision.
Management of CRVO includes strict control of arterial blood pressure, hypercholesterolemia, and cardiovascular risk factors. Patients need to be monitored monthly by an ophthalmologist for the possible development of neovascularization.