Pneumonia remains a concern for persons with long-standing HIV infection. We present a case of a 43-year-old HIV-infected woman with bilateral pneumonia whose presentation suggested the cause was a bacterial pathogen.
Patients with long-standing and neglected HIV infections often present with bilateral pneumonia. We present a case of an HIV-infected patient with pneumonia caused by Nocardiaasteroides but whose presentation also suggested a diagnosis of infection with Actinomyces species, other Nocardia species, Rhodococcus equi, Streptococcus pneumoniae, or Mycobacterium tuberculosis. In such cases, radiography and CT of the chest often do not narrow the differential diagnosis. In HIV-infected patients who are also coinfected with other pathogens, such as Pneumocystis jiroveci (formerly Pneumocystis carinii), Aspergillus species, and Mycobacterium avium, treatment of nocardial infections may be delayed.
CASE SUMMARY
A 43-year-old homeless woman presented with a 2-week history of fever, chills, sweats, generalized pain, and cough that was productive of purulent green-yellow sputum mixed with blood. She reported a 15-lb weight loss over the past 6 weeks.
The patient had had HIV infection for 7 years and had a history of P jiroveci pneumonia (PJP). She had not taken any medications for several months. The patient had smoked 1 pack of cigarettes per day for 30 years and had extensively used intravenous heroin for several years. She also used cocaine and occasionally consumed alcohol.
On physical examination, her vital signs were as follows: temperature, 39.1°C (102.4°F); respiration rate, 20 breaths per minute; pulse, 120 beats per minute; blood pressure, 99/61 mm Hg; and oxygen saturation (pulse oximetry), 97% on room air. Her arterial blood gas values on room air were pH, 7.44; Pco2, 39 mm Hg; Po2, 75 mm Hg; and oxygen saturation, 96%. Additional laboratory test results included a hemoglobin level of 8.1 g/dL; white blood cell count of 5200/µL, with 71% segmented neutrophils, 8% lymphocytes, 15% monocytes, and 6% bands; lactate dehydrogenase level of 128 U/L (normal, 100 to 190 U/L); CD4+ cell count of 12/µL; and HIV RNA level of 123,160 copies/mL.
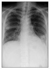
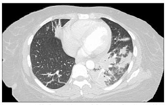
A chest radiograph and CT scan of the chest revealed infiltrates and adenopathies (Figures 1 and 2). A Gram stain of a sputum specimen revealed gram-positive filamentous rods (Figure 3). Bilateral pneumonia caused by N asteroides was diagnosed, and the patient was started on a regimen of ceftriaxone and trimethoprim/sulfamethoxazole (TMP/SMX), which resulted in significant improvement within a few days. Unfortunately, the patient signed out against medical advice and has been lost to follow-up.

Figure 1.Chest radiograph revealed left lower lobe, lingular, and right upper lobe infiltrates.

Figure 2.CT scan of the chest revealed 2.8-cm right hilar adenopathy and 2.0-cm left hilar adenopathy with patchy areas of consolidation in the right upper, right middle, left lower, and lingular lobes.

Figure 3. Gram stain of a sputum specimen revealed gram-positive filamentous rods.
DISCUSSION
The genus Nocardia is named after Edmund Nocard, who in 1888 described the isolation of an aerobic actinomycete from cattle with bovine farcy.1 Eppinger reported the first human case of nocardiosis in 1890.
Nocardia organisms are soil-dwelling, gram-positive, branching, beaded bacilli that are weakly acid-fast in young cultures. The organisms may grow on standard blood agar but prefer enriched media, such as Lwenstein-Jensen or Sabouraud dextrose agar. Since routine cultures may require 5 to 21 days to exhibit growth, the diagnosis may be missed because most routine cultures are discarded before the fifth day.
Prevalence and Risk Factors
Although the exact incidence of any nonreportable Nocardia infection is hard to estimate, approximately 1000 cases occur annually in the United States.2 The incidence of Nocardia infections has increased over the past few decades, partly because of the improved survival in HIV-infected patients and other immunosuppressed patients. It is estimated that at least 50% of patients with N asteroides infection are immunocompromised,3 and approximately 4% of patients who die of AIDS have evidence of nocardiosis on autopsy.4
Although nocardiosis may occur in immunocompetent patients,5 it is more common among immunocompromised patients. Risk factors for this infection include transplantation (solid organ or bone marrow), corticosteroid use, underlying malignancy, injection drug use (presumably from contaminated paraphernalia), AIDS (CD4+ cell count usually less than 200/µL in the absence of PJP prophylaxis with TMP/SMX), and pulmonary disease (silicosis, pulmonary fibrosis, alveolar proteinosis, and chronic obstructive pulmonary disease often with concomitant corticosteroid use).6
Nocardia infection is more common in men than in women7 and is very rare in children. Most children with this infection have severe underlying pulmonary disease or significant immunocompromise.
Clinical Presentations
The most common presentation of Nocardia infection involves pulmonary manifestations, which are seen in more than two-thirds of cases.3 The radiographic appearance is protean. Parenchymal disease may include irregular nodules (with large nodules usually cavitating), reticulonodular or diffuse pneumonic infiltrates, and pleural effusions. The pneumonic infiltrates are necrotizing and poorly contained, resulting in erosion into bony structures. The radiological findings may be similar to those of tuberculosis-upper lobe cavitary infiltrates are commonly seen.
Coinfection with other pathogens, such as P jiroveci, Aspergillus species, and M avium complex, may delay the treatment of nocardial infections. Despite the association between loss of cell-mediated immunity and nocardial infection, symptomatic nocardial infection rarely develops in AIDS patients (the incidence is less than 2%).8 This low incidence may be secondary to the use of TMP/SMX prophylaxis, although such prophylaxis does not always prevent nocardial infection.
Pulmonary nocardiosis may be a fatal complication of advanced HIV infection and often manifests as alveolar infiltrates that progress during therapy rather than as cavitary disease.9 Nocardial infection may spread to the chest wall, resulting in soft tissue masses, bone destruction, and external fistulas (empyema necessitans). Disseminated infection is characterized by widespread abscess formation. The most commonly reported sites of dissemination include the CNS, eyes (particularly the retina), skin, kidneys, joints, bones, and heart.
Treatment
The initial selection of a therapeutic regimen depends on the site and severity of infection, the patient's immune status, potential drug interactions, and the species of Nocardia. Susceptibility testing in a reference laboratory is indicated when patients present with deep-seated or disseminated infection, fail to respond to initial therapy, or relapse after therapy and when alternatives to sulfonamides are being considered for treatment.
Sulfonamides have been the mainstay of therapy for nocardiosis since the 1940s. Most Nocardia isolates demonstrate in vitro sensitivity to sulfonamides; resistance is most common among Nocardiafarcinica isolates. Synergy against Nocardia species has been demonstrated between trimethoprim and sulfamethoxazole.10 Since drug toxicity and hypersensitivity reactions are common with TMP/SMX, alternative agents have been studied. Effective agents include minocycline, carbapenems, amikacin, amoxicillin/clavulanate, doxycycline, ciprofloxacin, moxifloxacin, erythromycin, and clarithromycin, although the sensitivity to these antibiotics varies according to the Nocardia species.
All Nocardia species demonstrate sensitivity to linezolid in vitro, and this antibiotic has been successful in treating a small number of patients.11 Unfortunately, bone marrow toxicity developed in 50% of patients after 4 weeks of linezolid therapy. Such toxicity may limit the usefulness of linezolid in treating nocardial infections.
Clinical improvement is generally evident within 3 to 5 days, or at least within 7 to 10 days, after the initiation of appropriate therapy.12 Parenteral therapy can usually be safely changed to an oral regimen after 3 to 6 weeks, depending on the clinical response. Immunocompetent patients who have pulmonary or systemic nocardiosis (excluding CNS involvement) should be treated for at least 6 months. Those with CNS involvement need 12 months therapy.
In HIV-negative immunosuppressed patients, therapy should be continued for 12 months or longer if there is continued immunosuppressive treatment with cytotoxic agents or corticosteroids. In patients with AIDS, early initiation of a prolonged primary course of antinocardial therapy is essential because in patients who have late presentations or have relapsed, treatment has usually been unsuccessful.7 In patients who have AIDS, low-dose maintenance therapy should be continued for life.13
CONCLUSIONS
In patients with HIV/AIDS who present with pulmonary infiltrates, Nocardia infections should be considered in the differential diagnosis. Increased awareness of the infection in patients with advanced disease (CD4+ cell counts less than 200/µL), especially in the absence of PJP prophylaxis with TMP/SMX, may facilitate earlier diagnosis and timely treatment of this infection, resulting in better survival. Patients who respond to therapy will require lifelong suppressive TMP/SMX therapy to prevent relapse.
References1. Nocard E. Note sur la maladie des boeufs de la Guadaloupe connue sous le nom de farcin. Ann Inst Pasteur (Paris). 1888;2:293.
2. Beaman BL, Burnside J, Edwards B, Causey W. Norcardial infections in the United States, 1972-1974. J Infect Dis. 1976;134:286-289.
3. Palmer DL, Harvey RL, Wheeler JK. Diagnostic and therapeutic considerations in Nocardia asteroides infection. Medicine (Baltimore). 1974;53:391-401.
4. Lucas SB, Hounnou A, Peacock C, et al. Nocardiosis in HIV-positive patients: an autopsy study in West Africa. Tuber Lung Dis. 1994;75:301-307.
5. Dominguez DC, Antony SJ. Actinomyces and Nocardia infections in immunocompromised and nonimmunocompromised patients. J Natl Med Assoc. 1999;91:35-39.
6. Mari B, Monton C, Mariscal D, et al. Pulmonary nocardiosis: clinical experience in ten cases. Respiration. 2001;68:382-388.
7. Uttamchandani RB, Daikos GL, Reyes RR, et al. Nocardiosis in 30 patients with advanced human immunodeficiency virus infection: clinical features and outcome. Clin Infect Dis. 1994;18:348-353.
8. Kim J, Minamoto GY, Grieco MH. Nocardial infection as a complication of AIDS: report of six cases and review. Rev Infect Dis. 1991;13:624-629.
9. Kramer MR, Uttamchandani RB. The radiographic appearance of pulmonary nocardiosis associated with AIDS. Chest. 1990;98:382-385.
10. Maderazo EG, Quintiliani R. Treatment of nocardial infection with trimethoprim and sulfamethoxazole. Am J Med. 1974;57:671-675.
11. Moylett EH, Pacheco SE, Brown-Elliott BA, et al. Clinical experience with linezolid for the treatment of Nocardia infection. Clin Infect Dis. 2003;36:313-318.
12. Filice GA, Simpson GL. Management of nocardial infections. Curr Clin Top Infect Dis. 1984;55:49-64.
13. Javaly K, Horowitz HW, Wormser GP. Nocardiosis in patients with human immunodeficiency virus infection. Report of 2 cases and review of the literature. Medicine (Baltimore). 1992;71:128-138.