A 45-year-old incarcerated man with long-standing AIDS was admitted for management of lower extremity pain secondary to peripheral neuropathy.
A 45-year-old incarcerated man with long-standing AIDS was admitted for management of lower extremity pain secondary to peripheral neuropathy. His medical history was significant for hepatitis C and irregular use of antiretroviral therapy. His current prophylactic medications included atavaquone for Pneumocystis jiroveci and azithromycin for Mycobacterium avium. His CD4+ cell count on admission was 15/µL, and his HIV RNA level was 506,370 copies/mL. He refused antiretroviral therapy.
On the fourth hospital day, the patient developed watery diarrhea, and Clostridium difficile toxin was detected in his stool by means of a tissue culture assay; molecular and serological tests for identification of specific strains were not performed. Treatment with metronidazole was started, but the patient did not adhere to the antibiotic regimen after discharge.
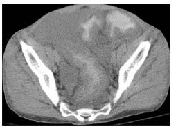
Two weeks later, he was again admitted with profound diarrhea and abdominal pain. He was hemodynamically unstable, with a pulse rate of 139 beats per minute and decreased urine output. His body temperature, respiratory rate, and oxygen saturation were within normal limits. Findings from the physical examination were remarkable for significant abdominal distention with tenderness and tympanism. An abdominal CT scan showed ascites and marked thickening of the colonic wall from the rectum through the cecum (Figure 1), suggestive of pancolitis. Results of an immunoassay test for C difficile toxins A and B in stool samples were persistently positive, but no specific tests were performed to isolate toxin A or B. His total white blood cell count was within normal range, with a relative lymphopenia. Blood and stool culture results were negative. A clinical diagnosis of toxic megacolon was made.

Figure 1.Abdominal CT scan without contrast from a 45-year-old HIV-infected man showing diffuse marked thickening of the colon.
Because of the patient's rapidly deteriorating clinical condition, an exploratory laparotomy with subtotal colectomy and ileostomy was performed. Pathological examination of the colectomy specimen showed a severely dilated intact bowel, with an average circumference of 12.3 cm that was remarkable for adherent yellow-green mucosal pseudomembranes throughout the entire colonic segment (Figure 2). Microscopic examination revealed pseudomembranes with normal intervening mucosa (Figure 3), which were the result of patchy eruptive fibrinopurulent exudate overlying necrotic mucosal epithelium (Figure 4).

Figure 2.Gross photograph of colonic mucosa covered by patchy pseudomembranes in a 45-year-old HIV-infected man.

Figure 3. Low-power microscopic view of mucosal pseudomembranes (arrows) in a 45-year-old HIV-infected man (hematoxylin and eosin stain).

Figure 4.Histological examinaton of a section of a pseudomembrane in a 45-year-old HIV-infected man reveals focal superficial erosion ("exploding crypts") covered by an acute inflammatory exudate (hematoxylin and eosin stain).
Cytomegalovirus (CMV) inclusions were not identified, and results of an immunohistochemical stain using CMV monoclonal antibody were negative. A diagnosis of C difficile pseudomembranous colitis complicated by toxic megacolon was confirmed. The patient's postoperative course was uneventful. He completed his treatment with metronidazole as an inpatient. Prophylactic antibiotic therapy was restarted, and the patient was discharged.
C difficile is the most commonly recognized pathogenic agent of diarrhea in HIV-infected persons, accounting for 32% to 59% of all cases.1-3 Although C difficile is a well-known cause of antibiotic-related pancolitis in non–HIV-infected persons, especially in those who are immunocompromised, C difficile–associated diarrhea occurs more frequently in the HIV-infected population than in the general population.1,4,5 Possible predisposing factors for C difficile–associated diarrhea in HIV-infected persons include the following2,4,5:
• Prolonged hospitalization, increasing the risk for intestinal colonization by C difficile through nosocomial transmission.
• Use of antibiotics for prophylaxis and treatment of opportunistic infections, resulting in an abnormal intestinal flora.
• An altered immune response.
Recent studies have suggested a decrease in the incidence of C difficile–associated diarrhea in HIV-infected persons after the widespread use of effective antiretroviral therapy, which results in increased CD4 counts, reduced hospitalization, and less exposure to antimicrobials in these patients.3,6
It is controversial whether C difficile–associated diarrhea carries a worse clinical outcome in HIV-infected persons than in HIV-negative persons. Persons with HIV/AIDS may certainly present with a more severe clinical picture, probably related to their immunodeficiency status and coinfection with more virulent nosocomial strains of C difficile. The clinical response to antibiotic therapy in uncomplicated cases, however, appears to be the same for both groups.2,4,5
Toxic megacolon is defined as segmental or total colonic nonobstructive distention of more than 6 cm in circumference in the presence of acute colitis and systemic toxicity. It is an uncommon but well-recognized complication of severe C difficile–associated diarrhea, and it carries substantial morbidity that frequently requires surgical treatment.7,8 Medical management of toxic megacolon includes intravenous fluid administration, antibiotic therapy, and parenteral nutrition. Indications for surgical therapy are controversial and include progression of colonic dilation and toxemic symptoms despite medical therapy, perforation, and uncontrollable bleeding.7,8 Although a strong association between toxic megacolon and immunosuppression has been described, C difficile–associated diarrhea with toxic megacolon in HIV-infected patients represents an infrequent and poorly documented clinical presentation.9,10
In conclusion, the occurrence of toxic megacolon must be recognized as a potential complication of C difficile–associated diarrhea in all HIV-infected patients, even in the post-HAART era. The diagnosis should always be considered in patients presenting with abdominal distention and acute or chronic diarrhea. This potentially lethal complication may result in substantial morbidity, requiring aggressive treatment. CMV infection and inflammatory bowel disease may also cause toxic megacolon and therefore must be included in the differential diagnosis in such settings. HIV-infected persons with C difficile infection and toxic megacolon often respond poorly to medical therapy and consequently require emergency colectomy.
In our case, a low CD4 count, the patient's nonadherence to antiretroviral therapy, and initiation of treatment for C difficile–associated diarrhea likely contributed to the development of toxic megacolon. Finally, patients with C difficile infection should be placed on contact precautions, and consideration should be given to hand washing (specifically with soap), environmental cleaning with hypochlorite solutions, and antibiotic restrictions.
References1. Wongwanich S, Ramsiri S, Kusum M, Warachit P. Clostridium difficile infections in HIV-positive patients. Southeast Asian J Trop Med Public Health. 2000;31:537-539.
2. Pulvirenti JJ, Mehra T, Hafiz I, et al. Epidemiology and outcome of Clostridium difficile infection and diarrhea in HIV infected patients. Diagn Microbiol Infect Dis. 2002;44:325-330.
3. Sanchez TH, Brooks JT, Sullivan PS, et al; Adult/Adolescent Spectrum of HIV Disease Study Group. Bacterial diarrhea in persons with HIV infection, United States, 1992-2002. Clin Infect Dis. 2005;41:1621-1627.
4. Tumbarello M, Tacconelli E, Leone F, et al. Clostridium difficileâassociated diarrhoea in patients with human immunodeficiency virus infection: a case-control study. Eur J Gastroenterol Hepatol. 1995;7:259-263.
5. Cozart JC, Kalangi SS, Clench MH, et al. Clostridium difficile diarrhea in patients with AIDS versus non-AIDS controls. Methods of treatment and clinical response to treatment. J Clin Gastroenterol. 1993;16:192-194.
6. Tacconelli E, Tumbarello M, de Gaetano Donati K, et al. Clostridium difficileâassociated diarrhea in human immunodeficiency virus infection-a changing scenario. Clin Infect Dis. 1999;28:936-937.
7. Gan SI, Beck PL. A new look at toxic megacolon: an update and review of incidence, etiology, pathogenesis, and management. Am J Gastroenterol. 2003;98:2363-2371.
8. Berman L, Carling T, Fitzgerald TN, et al. Defining surgical therapy for pseudomembranous colitis with toxic megacolon. J Clin Gastroenterol. 2008;42:476-480.
9. Beaugerie L, Ngô Y, Goujard F, et al. Etiology and management of toxic megacolon in patients with human immunodeficiency virus infection. Gastroenterology. 1994;107:858-863.
10. Imbriaco M, Balthazar EJ. Toxic megacolon: role of CT in evaluation and detection of complications. Clin Imaging. 2001;25:349-354.