The manifestations of HIV infection are known to involve every organ system and aspect of pathophysiology. The bone marrow is particularly susceptible to the ravages of HIV infection; in addition to non-Hodgkin lymphoma, myelodysplasia and acute leukemia have been associated with HIV infection, although they are not considered to be AIDS-defining illnesses.1-5 Here we report the case of a 58-year-old man who presented with myelodysplasia as a primary manifestation of his HIV infection.
Key words: HIV/AIDS, Myelodysplastic syndrome, Anemia
The manifestations of HIV infection are known to involve every organ system and aspect of pathophysiology. The bone marrow is particularly susceptible to the ravages of HIV infection; in addition to non-Hodgkin lymphoma, myelodysplasia and acute leukemia have been associated with HIV infection, although they are not considered to be AIDS-defining illnesses.1-5 Here we report the case of a 58-year-old man who presented with myelodysplasia as a primary manifestation of his HIV infection.
The patient initially presented with fever (temperature exceeding 39°C [102°F]) and pancytopenia. At the time of his first hospital admission, his white blood cell (WBC) count was 2700/µL (normal, 4300 to 10,000); hemoglobin level, 9.1 g/dL (normal, 11 to 16); and platelet count, 50,000/µL (normal, 135,000 to 450,000). Mean corpuscular volume was 115 fL (normal, 80 to 100) and red cell distribution width was 18% (normal, 11.5 to 13.5). The WBC differential was normal. The peripheral blood smear demonstrated pancytopenia with occasional pseudo–Pelger-Hut neutrophils. No circulating blasts were noted.
Results of serological tests for HIV were positive. His CD4+ cell count was 39/µL. Serological antibody titers against parvovirus B19 were negative. There was no evidence of Epstein-Barr virus infection. Polymerase chain reaction for cytomegalovirus-specific DNA revealed 77,000 copies/mL (normal, less than 200). His chest radiograph was clear. A CT scan showed minimal retroperitoneal adenopathy.
The patient is believed to have become HIV-infected through heterosexual activity. He was employed on cruise ships and had sexual contacts in Europe, Asia, and Africa. He denied homosexual activity and injection drug use.

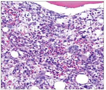
Figure 1.Low-power view of bone marrow biopsy showing packed marrow, dyserythropoiesis, and trabacular bone (hematoxylin and eosin stain, original magnification ×20).
Bilateral bone marrow aspirations and biopsies were performed. The biopsy specimens revealed hypercellular marrow with megakaryocytic hyperplasia exhibiting dysplastic features (Figures 1 and 2). Examination of the bone marrow aspirate smears and touch preparations were most notable for dysplasia and megaloblastoid features involving erythroid precursors. Polyclonal plasma cells accounted for 10% to 15% of the marrow. Flow cytometry results showed no immunophenotypic aberrations.
Notably, bone marrow karyotyping showed 25% of the analyzed cells to have the following hyperdiploid clone: 48,XY, +7, add(16)(q24), +mar[5]/46,XY[15]. Interestingly, trisomy 7 and gains at 16q have not been previously detected in association with HIV infection. Trisomy 7 is sometimes associated with non-Hodgkin lymphoma. Additions or deletions of chromosome 7 are commonly found in both acute myeloid leukemia and myelodysplastic syndrome. Non-Hodgkin lymphoma was excluded definitively on both morphological and immunophenotypic grounds. Six-color flow cytometric analysis was performed using an extensive panel of 22 markers that included myeloid, lymphoid, and crosslineage markers.

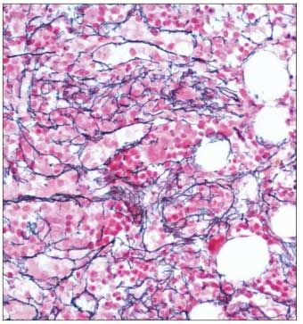
Figure 2.Low-power view of bone marrow showing increased reticulin fibrosis (hematoxylin and eosin stain, original magnification ×20).
A treatment regimen of rifabutin, ethambutol, clarithromycin, amikacin, ganciclovir, and atovaquone was started, and antiretroviral therapy was initiated with a regimen of lopinavir/ritonavir and abacavir/lamivudin. Subsequently, altered mental status developed, and the patient became obtunded and died.
Many HIV-infected patients present with cytopenias and bone marrow characteristic of myelodysplastic syndromes. The association between myelodysplasia and chromosomal aberrations in the bone marrow of this patient point to a de novo myelodysplastic syndrome. Since blasts were not increased (less than 5% of marrow and peripheral blood cellularity), the most appropriate subclassification of this myelodysplastic syndrome is refractory anemia with multilineage dysplasia. The origin of this patient’s myelodysplastic syndrome is likely de novo, perhaps secondary to HIV infection. The most reliable distinguishing feature between the hematopoietic dysplasia of myelodysplastic syndrome and that of HIV infection rests on the identification of myelodysplastic syndrome–related cytogenetic aberrations.
The diagnosis and treatment of myelodysplasia in the setting of HIV infection is problematic, not least because the bone marrow of HIV-infected persons often shows features of myelodysplasia.6,7 In addition, one of the drugs used to treat HIV infection, namely zidovudine, can cause megaloblastoid anemia.8 Highly active antiretroviral therapy has been shown to help normalize the anemia associated with primary HIV infection. Whether effective antiretroviral therapy can suppress de novo myelodysplasia associated with HIV infection is not known.
References1. Modest GA, Cooley TP, Zacks JF. HIV and refractory anemia with excess blasts (RAEB). Am J Hematol. 2002;70:318-319.
2. Aboulafia DM, Meneses M, Ginsberg S, et al. Acute myeloid leukemia in patients infected with HIV-1. AIDS. 2002;16:865-876.
3. Ryu T, Ikeda M, Okazaki Y, et al. Myelodysplasia associated with acquired immunodeficiency syndrome. Intern Med. 2001;40:795-801.
4. Godwin JH. HIV/AIDS case histories: diagnostic problems. Myelodysplasia in AIDS. AIDS Patient Care STDS. 1999;13:303-305.
5. Thiele J, Zirbes TK, Bertsch HP, et al. AIDS-related bone marrow lesions-myelodysplastic features or predominant inflammatory-reactive changes (HIV-myelopathy)? A comparative morphometric study by immunohistochemistry with special emphasis on apoptosis and PCNA-labeling. Anal Cell Pathol. 1996;11:141-157.
6. Berhane K, Karim R, Cohen MH, et al. Impact of highly active antiretroviral therapy on anemia and relationship between anemia and survival in a large cohort of HIV-infected women: Women’s Interagency HIV Study. J Acquir Immune Defic Syndr. 2004;37:1245-1252.
7. Karcher DS, Frost AR. The bone marrow in human immunodeficiency virus (HIV)-related disease. Morphology and clinical correlation. Am J Clin Pathol. 1991;95:63-71.
8. Walker RE, Parker RI, Kovacs JA, et al. Anemia and erythropoiesis in patients with the acquired immunodeficiency syndrome (AIDS) and Kaposi sarcoma treated with zidovudine. Ann Intern Med. 1998;108:372-376.