Intestinal helminthes represent one of the most prevalent types of human parasitic disease and remain a major health problem in developing countries.
A 59-year-old Asian woman was admitted from the emergency department with right lower quadrant abdominal pain and diarrhea of 2 weeks’ duration. Her vital signs on admission were stable. Physical examination confirmed abdominal tenderness in the lower right quadrant. Results of a complete blood cell count revealed microcytic anemia (hemoglobin, 11.3 g/dL; mean corpuscular volume, 79.6 fl). An initial CT scan of the abdomen showed stranding and thickening of the cecal wall with small foci of pneumatosis and narrowing of the sigmoid colon.
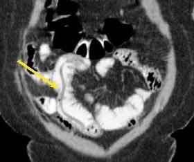
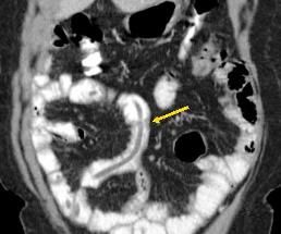
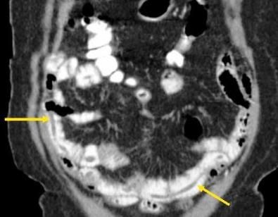
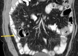
Treatment was initiated with ciprofloxacin and flagyl for a presumed infectious colitis. Because of the cecal findings, the patient was admitted for possible appendicitis. Results of a subsequent CT scan showed large worms in the distal jejunum and ileum (Figures 1-4). Stool samples were sent for an ova and parasite (O&P) test. The patient improved and was discharged home.

Figure 1

Figure 2
Results of the stool examination were negative for O&P. The patient presented for follow-up at the gastroenterology clinic and was empirically treated with albendazole, the first-line agent used to treat most common intestinal helminth infections. She was scheduled for colonoscopy to further assess the observed changes in her cecum.


Figures 3 and 4
Discussion
Intestinal helminths represent one of the most prevalent types of human parasitic disease and remain a major health problem in developing countries. The infestation predominately affects school-aged children in non-industrialized nations because of low standards of school hygiene.1 Adults are also affected, depending on surrounding standards of hygiene and socioeconomic status.
The World Health Organization estimates that more than 2 billion people globally live with unrelenting illness due to intestinal parasites.2,3 Helminthiasis is an important part of the differential diagnosis for iron deficiency anemia, especially in immigrants to the United States, as our patient illustrates.
The most common intestinal worms include Ascaris lumbricoides and Strongyloides stercoralis (roundworm), Enterobius vermicularis (threadworm or pinworm), Trichuris trichiura (whipworm), Ancylostoma duodenale and Necator americanus (hookworms), and Taenia saginata and Taenia solium (tapeworms). The pattern of distribution of worm infestations is geographic.
O&P examinations may not always yield positive results, and empirical treatment with broad-spectrum antihelminthics may be necessary. The benzimidazole derivative albendazole is one such agent, and it is effective against the majority of common intestinal flukes.4 Other suggested first-line agents include other benzimidazole derivatives (mebendazole, triclabendazole), ivermectin, and praziquantel.
References
1. Chandrashekhar TS, Joshi HS, Gurung M, et al. Prevalence and distribution of intestinal parasitic infestations among school children in Kaski District, Western Nepal. J Biomed Sci. 2005;4:78-82.
2. World Health Organization. Report of the third global meeting of the partners for parasite control. Deworming for Health and Development. Geneva, 29-30 November 2004. World Health Organization, 2005. http://whqlibdoc.who.int/hq/2005/who_cds_cpe_pvc_2005.14.pdf
3. Albonico M, Allen H, Chitsulo L, et al. Controlling soil-transmitted helminthiasis in pre-school-age children through preventive chemotherapy. PLoS Negl Trop Dis. 2008;2:e126.
4. Keiser J, Utzinger J. Efficacy of current drugs against soil-transmitted helminth infections: systematic review and meta-analysis. JAMA. 2008;299:1937-1948.