Read the details from 3 unique cases on GI disorders: dieulafoy lesion, colovesical fistula, and intussusception.
Dieulafoy Lesion
NICOLE ROBERTS, MD, CHRISTOPHER BRODKIN, MD, and CHARLES STURGIS, MD
Evanston Northwestern Healthcare, Glenview, Ill
Two days after a 70-year-old man was treated for suspected GI bleeding, he presented to the hospital with dyspnea, weakness, and light-headedness. He denied loss of consciousness, fall, bright red blood from rectum, diarrhea, nausea, vomiting, and pain. During his previous hospital stay, esophagogastroduodenoscopy (EGD) had shown no active bleeding. Stool was hemoccult-positive, and the patient received 2 units of packed red blood cells. He was sent home with a proton pump inhibitor.
The patient had had a GI hemorrhage with an ulcer 4 years earlier that required surgical ligation. His medical history also included myocardial infarction, chronic ischemic heart disease, implantation of a cardioverter device, hyperlipidemia, esophageal reflux, and osteoarthritis. His temperature was 36.8ºC (98.1ºF); blood pressure, 122/78 mm Hg; heart rate, 95 beats per minute; and respiration rate, 20 breaths per minute. Bowel sounds were normal; abdomen was soft, nontender, and nondistended, with no masses or hepatosplenomegaly. Rectum was grossly positive for maroon stool. Breath sounds were clear to auscultation bilaterally. Cardiac findings were normal.

The white blood cell count was 13,100/µL; hemoglobin level, 6.5 g/dL; hematocrit, 19.5%; and platelet count, 238,000/µL. An ECG indicated first-degree atrioventricular block, an old inferior infarct, and right bundle-branch block. An esophageal ultrasonogram showed a bleeding artery at the proximal fundus (A, arrow). EGD revealed a small, red, nipple-like lesion in the proximal stomach (B, arrow).

The bleeding continued despite interventional radiology coil embolization and other conservative measures, and the patient required urgent partial gastrectomy. A histological section of the resected stomach showed a tortuous, thick-walled blood vessel that extended through the gastric submucosa into the overlying luminal epithelium (C). The ruptured vessel-the origin of the hemorrhage-demonstrated necrosis, erythrocyte extravasation, and clotting with adjacent acute inflammatory exudate. These findings were consistent with a persistent-caliber vessel, or Dieulafoy lesion.

This lesion is responsible for 0.3% to 6.7% of all upper GI bleeding. It is more common in men than in women by a 2:1 ratio. There is no family association. The average age at onset is about 50 years, but it can vary from 20 months to 93 years.1 The condition is thought to be the result of a congenital variant.2 Patients often present with a massive upper GI hemorrhage and recurrent painless bleeding associated with severe life-threatening hemodynamic involvement, including shock.1 Associated comorbidities include cardiovascular disease, hypertension, chronic renal failure, diabetes mellitus, and alcohol abuse. NSAID use is also thought to incite bleeding through mucosal atrophy and ischemic injury.2
Although Dieulafoy lesions may be found in any portion of the GI tract, they usually occur in the upper portion of the lesser curvature of the stomach near the gastroesophageal junction (3 to 6 cm below the esophagogastric mucosa). The typical morphological appearance is that of a large-bore vascular stump that protrudes from the mucosa. The lesion may appear as a raised nipple or visible vessel, without an associated ulcer.2 The adherent vessel is not seen unless there is active bleeding at the site. It may range from 1 to 3 mm, which is about 10 times the normal size of mucosal capillaries.2
The diagnosis is based on results of endoscopy. Technetium-99m radionuclide scanning is used only to confirm the general area of bleeding. Endoscopic ultrasonography can identify the arterial flow and indicate the best site for sclerosing agents; however, it cannot be used during active bleeding.3
Treatment involves endoscopic hemostasis and cauterization either with bipolar or heater probe coagulation or with epinephrine and an injection of a sclerosing agent or alcohol.4,5 Endoscopic band ligation, argon laser, injection of acrylic resins, and hemoclipping are less frequently used.6,7 For recurrent bleeding, repeated endoscopic hemostasis is effective; a combined endoscopic and laparoscopic approach has also been used.
This patient recovered well after surgery and was transferred to a rehabilitation facility for continued follow-up. He has had no further rectal bleeding.
REFERENCES:1. Linhares MM, Filho BH, Schraibman V, et al. Dieulafoy lesion: endoscopic and surgical management. Surg Laparosc Endosc Percutan Tech. 2006;16:1-3.
2. Lee YT, Walmsley RS, Leong RW, Sung JJ. Dieulafoy’s lesion. Gastrointest Endosc. 2003;58:236-243.
3. Rockey DC. Occult gastrointestinal bleeding. N Engl J Med. 1999;341:38-46.
4. Mumtaz R, Shaukat M, Ramirez FC. Outcomes of endoscopic treatment of gastroduodenal Dieulafoy’s lesion with rubber band ligation and thermal/injection therapy. J Clin Gastroenterol. 2003;36:310-314.
5. Squillace SJ, Johnson DA, Sanowski RA. The endosonographic appearance of a Dieulafoy’s lesion. Am J Gastroenterol. 1994;89:276-277.
6. Brown GR, Harford WV, Jones WF. Endoscopic band ligation of an actively bleeding Dieulafoy lesion. Gastrointest Endosc. 1994;40:501-503.
7. Kaufman Z, Liverant S, Shiptz B, Dinbar A. Massive gastrointestinal bleeding caused by Dieulafoy’s lesion. Am Surg. 1995;61:453-455.
Idiopathic Ileal Intussusception
NEIL SHARMA, MD, JEFFREY KOOPER, MD, PRIYANKA BHAT, MD, and ANDREW KOON, MD
University of South Florida, Tampa
For 2 days, an 81-year-old man had episodes of sharp, intermittent, nonradiating periumbilical pain that lasted about 1 to 5 minutes. He also reported decreased appetite and nausea. He had a percutaneous endoscopic gastrostomy (PEG) tube, which had been changed 6 months earlier. The patient recently had 4 loose stools but no hematochezia or melena. He had dyspnea, which he attributed to chronic obstructive pulmonary disease. He denied vomiting, fevers, chills, and chest pain.
A year earlier, the patient had similar abdominal pain; diverticulitis was diagnosed. He was treated with piperacillin and tazobactam injection and metronidazole. Results of a colonoscopy and esophagogastroduodenoscopy performed during the past year were normal.
Vital signs were stable. Heart sounds were regular without murmurs. Fine, diffuse bilateral rales were noted on auscultation. The abdomen was nondistended, soft with normal active bowel sounds; there was minimal tenderness to palpation diffusely throughout. The PEG tube site was clean, dry, and intact. There was no rebound, guarding, or hepatosplenomegaly. Neurological findings were nonfocal.
The white blood cell count was at the upper limit of normal. Urinalysis showed 10 white blood cells with no leukocyte esterase or nitrites. Results of other laboratory tests, including a basic metabolic panel and liver enzyme levels, were normal.
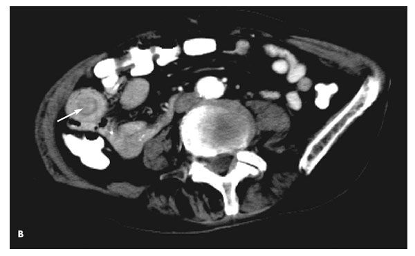
A CT scan of the abdomen and pelvis with contrast revealed a 2-cm ileo-ileal intussusception in the right abdomen without small-bowel obstruction or visualized mass (A). No free air, ascites, or acute inflammatory changes were identified.

Ileal intussusception is a telescoping of a segment of the bowel into the lumen of adjacent distal bowel. This results when peristalsis carries a lead point, or intussusceptum, downstream.1
About 80% of cases of intussusception occur in infancy and present by age 2 years. Adults account for about 5% to 10% of all reported cases.2 Intussusceptions can be enteroenteric, colocolic, or enterocolic. In adults, they are most commonly ileo-ileal.2
About 54% to 65% of cases are caused by underlying malignancy, including primary bowel carcinomas, polyps, leiomyomas, lymphomas, lipomas, and rarely metastatic disease.2 Other causes include Meckel diverticulum, adhesions from previous surgery, hypertrophied Peyer patches secondary to infection, inflammatory bowel disease, hemangiomas, foreign bodies, endometriosis, parasitic infestations, adenovirus and rotavirus infections, celiac disease, and trauma.3 Intussusceptions that involve the small bowel are usually associated with benign pathology, whereas those that involve the colon are more likely to have a malignant lesion.3 Although a cause is identified in almost 90% of affected adults,2 this patient’s lesion was idiopathic.
Adults usually present with intermittent colicky abdominal pain, nausea, hematochezia, and vomiting. Abdominal imaging confirms the diagnosis. Abdominal radiographs are not useful unless there is perforation or significant obstruction, which is rare in adults (less than 1% of all cases). Axial CT scans show the classic target sign of bowel within bowel (B, arrow). Barium studies show a coiled-spring appearance from the trapping of contrast between the portions of bowel.1

Management involves bowel rest and attempted reduction of enteroenteric lesions, although the use of reduction as a first-line treatment in adults has been debated. Because malignant neoplasms cause most adult intussusceptions, surgery is widely advocated as the procedure of choice.
Prognosis depends on the duration of the intussusception, time to diagnosis, and the underlying cause.2,3 Complications with long-standing intussusception include gangrene, bowel obstruction, perforation, septicemia, and severe vascular compromise.
This patient did well with intravenous fluids and bowel rest. A small-bowel follow-through revealed no evidence of the intussusception on day 4. On day 5, the patient was able to tolerate his full diet through the PEG tube and he was discharged. The condition did not recur.
REFERENCES:1. Kim YH, Blake MA, Harisinghani MG, et al. Adult intestinal intussusception: CT appearances and identification of a causative lead point. Radiographics. 2006;26:733-744.
2. Baldassarre E, Prosperi Porta I, Torino G, Valenti G. Enteric intussusception in adults. Swiss Med Wkly. 2006;136:383.
3. Goh BK, Quah HM, Chow PK, et al. Predictive factors of malignancy in adults with intussusception. World J Surg. 2006;30:1300-1304.
Colovesical Fistula
TIMOTHY OWOLABI, MD, ROMAN LAL, MD, KEVIN BERMAN, MD, and JACK SCHAFER, MD
Phoenix Baptist Hospital, Arizona
During hospitalization for aortic valve replacement, a 45-year-old man with rheumatoid arthritis and an extensive history of cardiac disorders was found to have a urinary tract infection (UTI) and pneumaturia. He had had recurring UTIs and pneumaturia for the past 2 months. Review of systems was otherwise negative.
The patient had diverticulitis of 6 months’ duration that resolved 3 months before his current hospitalization. He also had hypertension and hyperlipidemia. He had had an appendectomy and mediastinal lymph node biopsy for benign lymphadenopathy. His family history was significant for diabetes mellitus and sarcoidosis. He denied use of alcohol or drugs; he was a former smoker but had quit in his youth.
Temperature was 37ºC (98.6ºF); blood pressure, 107/40 mm Hg; heart rate, 87 beats per minute; respiration rate, 18 breaths per minute. Weight was 216 lb (he had lost 50 lb in the past 6 months); height, 6.2 ft. Oxygen saturation was 96% on room air. The patient appeared mildly cushingoid.
A grade 2/6 diastolic murmur was most audible along the right second intercostal space; this finding was consistent with aortic insufficiency. The abdomen was soft without hepatosplenomegaly or palpable masses; bowel sounds were active and normal. The patient’s history and physical findings strongly suggested colovesical fistula.
A CT cystogram was negative for fistula but revealed gas in the bladder, which could have been introduced during contrast dye injection (A). Cystoscopy revealed a small lateral bladder wall tumor but no fistula. Evaluation of the tumor was deferred. Before discharge, the patient underwent abdominal and pelvic CT scans that were also negative for fistula but positive for air in the bladder (B).


Two weeks later, the patient was readmitted for continued pneumaturia, UTI, and possible sepsis. After a water-soluble contrast enema revealed only diverticulosis (C), an exploratory laparotomy was performed. During the procedure, a colovesical fistula was finally identified and corrected.

Any process that promotes inflammation and development of scar tissue may create an environment conducive for fistula formation. The most common risk factor associated with colovesical fistula is diverticulitis; it was reported in 75% of cases in one study, although the frequency in other studies ranges from 21% to 90%.1 Other risk factors are malignancy, postoperative irradiation, Crohn disease, previous abdominal surgery, and trauma.1
Pneumaturia and fecaluria are 2 hallmark findings.2 Other characteristic findings are suprapubic pain, urinary frequency, dysuria, vesical tenesmus, and a history of recurrent UTIs and urine passed through the rectum.
Abdominal CT is currently the best available diagnostic modality1,3; however, colonic surveillance, barium enemas, cystoscopy, and cystography are also widely used. Frequently, a constellation of CT findings-namely, air in the bladder, thickened bowel and/or thickened bladder wall, and colonic diverticula-points to the diagnosis.1 Actual visualization of the fistula tract is rare. Newer modalities, such as 3-dimensional CT scanning, may provide greater direct visualization.4
One study examined the efficacy of poppy seed ingestion to reveal enteric fistulas. After oral ingestion of poppy seeds, their recovery in subsequent urine samples provided indirect but compelling evidence of the presence of a colovesical fistula. The poppy seed test has a 100% sensitivity; the cost is 100 times lower than the average diagnostic modality.5
Treatment typically consists of resection of the fistula and closure of the affected organs.
REFERENCES:1. Najjar SF, Jamal MK, Savas JF, Miller TA. The spectrum of colovesical fistula and diagnostic paradigm. Am J Surg. 2004;188:617-621.
2. Garcea G, Majid I, Sutton CD, et al. Diagnosis and management of colovesical fistulae; six-year experience of 90 consecutive cases. Colorectal Dis. 2006;8:347-352.
3. Jarrett TW, Vaughan ED Jr. Accuracy of computerized tomography in the diagnosis of colovesical fistula secondary to diverticular disease. J Urol. 1995;153:44-46.
4. Anderson GA, Goldman IL, Mulligan GW. 3-Dimensional computerized tomographic reconstruction of colovesical fistulas. J Urol. 1997;158:795-797.
5. Kwon EO, Armenakas NA, Scharf SC, et al. Poppy seed test for colovesical fistula: big bang, little bucks! J Urol. 2008;179:1425-1427.