Kaposi sarcoma (KS), AIDS-related non-Hodgkin lymphoma (AIDS-NHL), and anal squamous cell carcinoma/anal intraepithelial neoplasia (SCC/AIN) are malignancies that commonly involve the GI tract in patients who have HIV/AIDS.1 Oncogenic viruses have been implicated in the etiology of each of these neoplasms-specifically, human herpes virus 8 (HHV8) in KS, Epstein-Barr virus (EBV) in AIDS-NHL, and human papillomavirus in SCC/AIN.
Kaposi sarcoma (KS), AIDS-related non-Hodgkin lymphoma (AIDS-NHL), and anal squamous cell carcinoma/anal intraepithelial neoplasia (SCC/AIN) are malignancies that commonly involve the GI tract in patients who have HIV/AIDS.1 Oncogenic viruses have been implicated in the etiology of each of these neoplasms-specifically, human herpes virus 8 (HHV8) in KS, Epstein-Barr virus (EBV) in AIDS-NHL, and human papillomavirus in SCC/AIN.1 The GI distribution of these tumors is comparable. SCC/AIN arises in the anal canal and anal margin, whereas KS and AIDS-NHL can arise anywhere in the GI tract. AIDS-NHL has a predilection for the stomach and small intestine.
The introduction of highly active antiretroviral therapy has resulted in a reduction in the incidence of KS and AIDS-NHL,2,3 although these tumors may still rarely occur. In contrast, the burden of SCC/AIN may increase as patient survival is prolonged.
Up to 25% of patients with KS have visceral involvement, and the GI tract is commonly affected.2 Patients with GI KS are typically asymptomatic, although gastric outlet obstruction and bleeding have been described.2 The gross appearances include macular, erythematous maculopapular, and polypoid lesions (Figure 1). These vascular lesions can bleed; therefore, care should be taken at biopsy.

Figure 1.Kaposi sarcoma of the stomach. A: Multiple reddish maculopapular lesions are seen in the unfixed specimen. B: Hemorrhagic dark-colored polypoid lesions are present in the formalin-fixed specimen. C: On microscopic examination, the tumor is composed of spindle-shaped cells, forming slit-like spaces accompanied by a variably mixed mononuclear inflammatory cell infiltrate (hematoxylin-eosin stain).
Microscopically, there is a proliferation of spindle-shaped cells forming slit-like spaces with extravasated red blood cells, a lymphoplasmacytic infiltrate, and variable mitotic figures. Tumor cells show positivity for the endothelial markers CD31, CD34, and factor VIII. Nuclear positivity for HHV8 LNA-1 is a useful marker for KS and helps distinguish KS from bacillary angiomatosis, another vascular lesion known to occur in the GI tract in HIV-positive persons.1 Pyogenic granuloma and angiosarcoma are also negative for HHV8. There is no curative therapy for KS, but intensification of highly active antiretroviral therapy, interferon alfa, and pegylated liposomal doxorubicin may have a role in treatment.2
Lymphoma is the second most common malignancy in patients with AIDS, after KS.3 GI AIDS-NHL often produces symptoms such as abdominal pain, weight loss, and bleeding. Grossly, GI AIDS-NHL forms polypoid lesions with ulceration. Most of these lesions are of B-cell origin and can be classified as either diffuse large B-cell lymphoma with centroblastic and immunoblastic variants or Burkitt lymphoma (BL).3
Morphologically, the immunoblastic variant may demonstrate a starry-sky appearance resembling BL as a result of many tingible body macrophages.3 Necrosis, nuclear debris, and prominent mitoses are key features. Neoplastic cells vary from round to ovoid with a basophilic cytoplasm and, occasionally, a perinuclear hof. The nuclei are round or oval and have a centrally placed nucleolus.
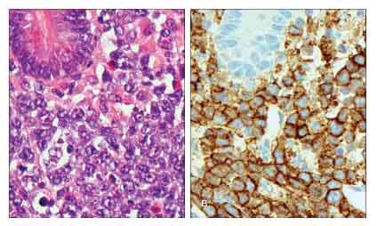
The centroblastic variant usually lacks numerous mitoses and a starry-sky pattern. The tumor cells are medium-sized with a moderate amount of acidophilic cytoplasm, regular round nuclei, and 2 to 5 peripheral nucleoli (Figure 2).3

Figure 2.Diffuse large B-cell lymphoma of the small bowel. A: High-power field shows large lymphoid cells that have round nuclei and one or multiple nucleoli (hematoxylin-eosin stain). B: Neoplastic cells are diffusely positive for CD20 (on immunohistochemistry).
BL classically has a starry-sky appearance (Figure 3). The infiltrate contains uniform small to intermediate-sized cells that have basophilic cytoplasm, round nuclei, and 2 to 4 small central nucleoli. Oil red O-positive cytoplasmic vacuoles may be seen on Romanovski-stained imprints.
Figure 3.Burkitt lymphoma of intestinal tract. A: Dense infiltration of bowel wall by lymphoid cells showing the classic starry-sky appearance created by scattered tingible body macrophages (hematoxylin-eosin stain). B: High-power field shows the uniform intermediate lymphoid cells with moderate basophilic cytoplasm, round nuclei, and multiple small nucleoli (hematoxylin-eosin stain).
Since the lymphoma cells in AIDS-NHL are predominantly of B-cell origin, they express CD20 and other B-cell markers, such as CD19, CD22, CD74, CD75, and CD79a. The immunoblastic variant may express MUM-1, EBV-LMP, and CD30. The centroblastic variant typically stains for BCL6 and may be CD10-positive or -negative. BL is positive for CD10, BCL6 and, frequently, EBV-LMP.
Bleeding and pain are common in anal SCC, and sphincter involvement can cause incontinence; however, some patients may be asymptomatic.4 The presence of ulceration or the formation of a mass may indicate invasive carcinoma.4,5 AIN is a premalignant lesion thought to develop into invasive SCC.5 Morphologically, there is dysplasia in the squamous epithelium characterized by loss of stratification and nuclear polarity, nuclear pleomorphism, or hyperchromasia and koilocytosis.5
AIN is graded in severity, with AIN 1 representing nuclear abnormalities in the lower third of the epithelium, AIN 2 representing abnormalities in the lower two-thirds, and AIN 3 representing full-thickness dysplasia (carcinoma in situ).5 Anal SCC can show squamous, basaloid, ductal, or a mixed morphology. Squamous differentiation is evident by the presence of keratinization, stratification, intercellular bridges, and large eosinophilic cells with abundant cytoplasm growing in sheets and cords. The basaloid component shows small basaloid cells with scanty cytoplasm, pallisading, and retraction artefact.
References1. Ho-Yen C, Chang F, van der Walt J, Lucas S. Gastrointestinal malignancies in HIV-infected or immunosuppressed patients: pathologic features and review of the literature. Adv Anat Pathol. 2007;14:431-443.
2. Hengge UR, Ruzicka T, Tyring SK, et al. Update on Kaposi’s sarcoma and other HHV8 associated diseases. Part 1: epidemiology, environmental predispositions, clinical manifestations, and therapy. Lancet Infect Dis. 2002;2:281-292.
3. Krause J. AIDS-related non-Hodgkin's lymphomas. Microsc Res Tech. 2005;68 (3-4):168-175.
4. Clark MA, Hartley A, Geh JI. Cancer of the anal canal. Lancet Oncol. 2004;5:149-157.
5. Zbar AP, Fenger C, Efron J, et al. The pathology and molecular biology of anal intraepithelial neoplasia: comparisons with cervical and vulvar intraepithelial carcinoma. Int J Colorectal Dis. 2002;17:203-215.
Â