A 37-year-old man presents with new-onset fever and abdominal pain of several days' duration. What does the PA film show, and what further action would you take to arrive at a diagnosis?
A 37-year-old man presents with new-onset fever and abdominal pain of several days' duration. No respiratory symptoms are reported. The patient has a history of multiple stab wounds to the abdomen and back, resulting in chronic back pain and a neurogenic bladder. During a previous hospital admission, he was treated for Enterobacter pyelonephritis with intravenous gentamicin for 12 days.

The patient has no other contributory medical history, and he denies significant occupational or animal exposures. He works as a security guard. He denies use of tobacco, alcohol, and injection drugs. No pertinent family history is elicited. Current medications include oxycodone, fluoxetine, and ferrous sulfate.
The patient is febrile, tachycardic (heart rate to 110 beats per minute), and normotensive. The lungs are clear; cardiac auscultation yields normal findings. On examination of the abdomen, there is no evidence of organomegaly or pain to palpation. Findings from the remainder of the physical examination, including a skin examination, are normal.
Laboratory evaluation reveals an elevated white blood cell count (13,000/µL), anemia (hemoglobin level, 9.4 g/dL; hematocrit, 25 mL/dL), and an elevated eosinophil count (6000/µL). Results of urinalysis and liver function tests are normal. Levels of amylase and lipase are normal.
The results of colonoscopy are normal, and esophagogastroduodenoscopy reveals a small gastric erosion near the fundus with no other significant findings. A CT scan of the abdomen and pelvis obtained for evaluation of abdominal pain shows numerous tiny lung nodules within the visualized portion of the lung bases. There are no significant abdominal or pelvic findings.
Posteroanterior (PA) and lateral chest radiographs are obtained to further evaluate the lung nodules seen on the CT scan of the abdomen.
What does the PA film show, and what further action would you take to arrive at a diagnosis?
(Answer on the next page.)
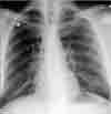
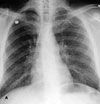
Fever and abdominal pain in man with prior stab wounds: The PA radiograph (A) reveals diffuse miliary lung nodules. There is no evidence of lymphadenopathy or pleural effusion. A chest film obtained 7 days earlier was clear.


CT findings. A CT scan of the chest is obtained 2 days later for further characterization of the nodules (B). The scan demonstrates extensive miliary nodules randomly distributed throughout both lungs. The nodules are superimposed on diffuse ground-glass opacities (hazy areas of opacity that do not obscure pulmonary vessels). Septal lines are also present at the lung bases. Compared with the images of the lung bases seen on the abdominal CT scan, the nodules have rapidly progressed over 2 days.
Differential diagnosis. Although there are a variety of causes of miliary nodules, because of the patient's febrile status and the rapid progression of nodules, a disseminated infection-especially tuberculosis or a fungal infection-is considered the most likely diagnosis. Other potential causes of this pattern that are more commonly encountered in afebrile patients include noninfectious granulomatous disorders (sarcoidosis, talc granulomatosis), inhalational diseases (silicosis, allergic alveolitis), Langerhans cell histiocytosis, and metastases (especially thyroid cancer and melanoma). These entities are considered less likely.
Hospital course. Results of a Mycoplasma antigen test are positive; therefore, azithromycin is given for 14 days. A swab containing respiratory secretions tests positive for influenza virus, so the possibility of an acute influenzal virus pneumonia is entertained, although the patient has minimal respiratory complaints.
Despite antibiotic therapy, the patient is persistently febrile and serial chest radiographs show progression of the miliary nodular pattern. Blood cultures are negative for acid-fast bacilli (AFB) and fungi. Gram stain, potassium hydroxide preparation, and AFB smears are also obtained, but no pathologic organisms are identified. The results of an HIV test and a purified protein derivative test are negative.
Because of the patient's lack of response to therapy, on hospital day 14, video-assisted thoracoscopic surgery is performed, with wedge biopsies of the left upper lobe and lower lobes. Pathologic evaluation demonstrates granulomas containing foreign material within blood vessel and alveolar walls, consistent with a diagnosis of talc granulomatosis.
Characteristics of talc granulomatosis. This condition results from the intravenous injection of oral medications that contain a common filling agent, magnesium silicate.1 Such medications include compounds containing methadone, oxycodone, pentazocine, and methylphenidate. Once injected, the particles may lodge in distal pulmonary vessels and induce a foreign-body granulomatous reaction after being taken up by the interstitium.
The initial manifestation of talc granulomatosis on chest radiographs is a miliary nodular pattern. Although such tiny nodules are individually below the threshold of visibility on chest radiographs, they become visible radiographically when numerous nodules are superimposed on one another (the "stacked coin" effect). CT is much more sensitive than radiography for detecting and characterizing such small nodules.
Lymphadenopathy may be an associated finding in some cases. With repeated intravenous injection of talc, conglomerate masses may form in the middle to upper lungs in a pattern similar to "progressive massive fibrosis" that is associated with complicated silicosis. In the setting of long-term intravenous methylphenidate abuse, panacinar emphysema may develop in a basilar distribution, mimicking a1-antitrypsin deficiency.2,3
Like chest radiographs, CT scans of patients with pulmonary talc granulomatosis usually reveal a diffuse pattern of micronodules. As in the case presented here, the CT scan may show additional findings, such as ground-glass opacity and septal lines. Additional CT findings may include conglomerate masses (with the occasional presence of high-attenuation foci) and lower lobe-predominant panacinar emphysema.2 Several investigators have reported a progression of talc disease on serial imaging studies similar to the progression found in silicosis, with a diffuse fine nodular pattern progressing to upper lobe, high-attenuation conglomerate masses.2-5
The complications of this condition may include obstructive airway disease, precocious emphysema, and pulmonary arterial hypertension.5-7 In some cases, progressive respiratory distress may lead to respiratory failure. Reports of recurrence following lung transplantation emphasize the need for careful screening of transplant candidates for this condition.8
Although the presence of a miliary pattern of lung nodules in a febrile patient should raise the suspicion of miliary tuberculosis, this case is a reminder of the need to also consider the possibility of talc granulomatosis when there is either suspicion or knowledge of injection drug use. Recognition of this unusual disorder should prompt appropriate referral of the patient to drug rehabilitation.
Outcome of this case. The patient's hospital course was notable for several episodes of suspicious behavior, raising concern about ongoing injection drug use despite repeated denials by the patient. The patient left the hospital against medical advice and is undergoing outpatient therapy.
REFERENCES:
1.
Marschke G, Haber L, Feinberg M. Pulmonary talc embolization.
Chest.
1975; 68:824-826.
2.
Ward S, Heyneman LE, Reittner P, et al. Talcosis associated with IV abuse of oral medications: CT findings.
AJR.
2000;174:789-793.
3.
Stern EJ, Frank MS, Schmutz JF, et al. Panlobular pulmonary emphysema caused by i.v. injection of methylphenidate (Ritalin): findings on chest radiographs and CT scans.
AJR
. 1994;162:555-560.
4.
Sieniewicz DJ, Nidecker AC. Conglomerate pulmonary disease: a form of talcosis in intravenous methadone abusers.
AJR.
1980;135:697-702.
5.
Pare JP, Cote G, Fraser RS. Long-term follow-up of drug abusers with intravenous talcosis.
Am Rev Respir Dis.
1989;139:233-241.
6.
Weisbrod GL, Rahman M, Chamberlain D, Herman SJ. Precocious emphysema in intravenous drug abusers.
J Thorac Imaging.
1993;8:233-240.
7.
Arnett EN, Battle WE, Russo JV, Roberts WC. Intravenous injection of talc-containing drugs intended for oral use. A cause of pulmonary granulomatosis and pulmonary hypertension.
Am J Med.
1976;60:711-718.
8.
Cook RC, Fradet G, English JC, et al. Recurrence of intravenous talc granulomatosis following single lung transplantation.
Can Respir J.
1998;5:511-514.
No Rx Required for COVID-19 Vaccination But ACIP Calls for Better Informed Consent Process
September 22nd 2025The ACIP on September 19 narrowly voted against requiring a prescription to get the shot but urged more detailed discussion of vaccine risks during shared decision making conversations.