Herpes simplex virus (HSV) is an enveloped double-stranded DNA virus that is a common pathogen in humans. There are 2 subtypes, HSV-1 and HSV-2,
Herpes simplex virus (HSV) is an enveloped double-stranded DNA virus that is a common pathogen in humans. There are 2 subtypes, HSV-1 and HSV-2, which are distinguished by their different DNA composition. Their nucleic acids demonstrate approximately 50% base sequence homology.1 The subtypes also differ in a surface glycoprotein, gG: HSV-1 has gG1 and HSV-2 has gG2; they form the basis of type-specific serological testing.2
Primary infection with HSV results in either oropharyngeal infection or genital ulcer disease. HSV-1 and HSV-2 establish latency in the trigeminal dorsal root ganglia and the lumbosacral ganglia, respectively, after primary infection.1 These viruses can be reactivated and cause recurrent disease. Neither primary nor recurrent HSV disease is usually life-threatening, and HSV disease is usually more a cause of discomfort than significant morbidity and mortality. Uncommonly, HSV infection can be potentially fatal, as in encephalitis, disseminated disease, or neonatal infection.3
Pulmonary infection remains a significant cause of morbidity and mortality in persons infected with HIV. The pathogens most frequently isolated are Pneumocystis jiroveci, Streptococcus pneumoniae, Mycobacterium tuberculosis, and cytomegalovirus. HSV is a widespread pathogen capable of causing a respiratory tract infection in a susceptible host; the most common form is tracheobronchitis.4,5 Although rare, HSV can also cause pneumonia and the HSV-1 subtype is the usual pathogen. HSV pneumonia has been described in patients who have had an organ transplant,6 immunosuppressive therapy, or cancer chemotherapy7,8 and in those who have HIV/AIDS.9
CASE SUMMARY
A 23-year-old man presented with a 2-week history of fever, night sweats, and shortness of breath. The patient had been seen in the emergency department 2 weeks before with similar complaints and discharged home with a prescription for azithromycin, which he never had filled. A diagnosis of HIV infection had recently been made, but the patient had not yet made a follow-up appointment.
On admission, his vital signs were as follows: blood pressure, 120/76 mm Hg; respiratory rate, 24 breaths per minute; pulse rate, 120 beats per minute; temperature, 38.3°C (101°F); and oxygen saturation, 76% on 100% oxygen. Findings on physical examination were notable for oral candidiasis and decreased lung sounds bilaterally. Initial laboratory values included the following: white blood cell count, 3500/μL (normal, 3500 to 10,500); platelet count, 100,000/μL (normal, 150,000 to 500,000); hemoglobin level, 10 g/dL (normal, 13 to 18); alanine aminotransferase level, 40 U/L (normal, 0 to 45); and aspartate aminotransferase level, 35 U/L (normal, 0 to 40). Results of his blood chemistries were normal, except his lactate dehydrogenase level was elevated at 350 U/L (normal, 0 to 200). His CD4+ cell count was 23/μL and his HIV RNA level was 250,000 copies/mL.

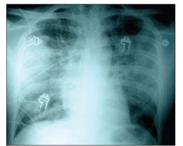
Figure 1. Chest radiograph demonstrating bilateral interstitial infiltrates.
A chest radiograph showed bilateral interstitial infiltrates (Figure 1). Because there was a concern for P jiroveci pneumonia (PCP), the patient was empirically treated with high-dose trimethoprim/sulfamethoxazole and corticosteroids. Azithromycin and ceftriaxone were also administered to cover potential community-acquired pneumonia pathogens.
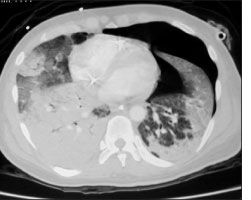
The patient was intubated in the emergency room to protect his airway. He underwent bronchoscopy with bronchoalveolar lavage on hospital day 2; all cultures, including those for bacteria, viruses, and mycobacteria, as well as those using acid-fast bacilli smear and silver stain, yielded negative results. Urinary Legionella antigen test results were also negative, as were multiple blood cultures. On hospital day 5, the patient's condition deteriorated, and a CT scan showed evidence of a left-sided spontaneous pneumothorax (Figure 2). A chest tube was inserted; however, the patient's oxygen requirements continued to increase and he required a fraction of inspired oxygen of 100% with the addition of positive end-expiratory pressure. His antibiotic regimen was broadened to include piperacillin/tazobactam, vancomycin, amphotericin B, isoniazid, rifampin, ethambutol, and pyrazinamide.

Figure 2. CT scan showing evidence of left-sided pneumothorax.
Despite treatment, the patient's oxygenation continued to worsen. Thoracic surgery was consulted for a video-assisted thoracoscopy for a tissue diagnosis; however, because the patient had profound hypoxemia, thoracoscopy could not be performed. On hospital day 8, the viral culture grew HSV-2, and acyclovir was added to his regimen. The patient continued to deteriorate clinically with multiorgan failure, acute respiratory distress syndrome, and shock. Death occurred on hospital day 9 after care was withdrawn at the request of his family. An autopsy was performed.
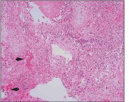
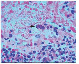
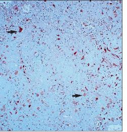
The pathological examination of lung tissue showed lymphocytic interstitial infiltrates with areas of thrombosis and hemorrhage (Figure 3). On high power with hematoxylin and eosin staining, multinucleated giant cells were observed (Figure 4), and on immunohistochemistry, HSV-2 was identified (Figure 5). These findings strongly suggest a diagnosis of HSV-2 pneumonia.

Figure 3. Lung tissue sample showing lymphocytic infiltrates as well as areas of thrombosis and hemorrhage (hematoxylin and eosin stain, original magnification ×100).
EPIDEMIOLOGY OF HSV
HSV has a worldwide distribution, with man as its only natural reservoir. There are no known animal vectors for HSV. Seroprevalence studies in adults indicate that the prevalence of antibodies to HSV varies according to age and socioeconomic class. Infection with HSV-1 occurs at an earlier age than infection with HSV-2. It has been estimated that more than 90% of adults have antibodies to HSV-1 by the fifth decade of life.10
Infection is caused by direct inoculation of the skin or mucous membranes with secretions that are infected with the virus. Transmission may occur through sexual, skin-to-skin, or mouth-to-skin contact.
PATHOGENESIS OF HSV
Acute infection with HSV occurs with exposure at mucosal surfaces where the virus enters and causes replication in the cells of the dermis and epidermis. Initial infection is often subclinical. After initial infection, viral particles infect nerve cells. The trigeminal ganglia, in HSV-1 infection, and the sacral root ganglia, in HSV-2 infection, are commonly affected, followed by latent infection that does not result in death of the cells.
Reactivation of the virus from latently infected nerve cells with subsequent release of infectious particles accounts for the majority of recurrences in both orolabial and genital infections. Both arms of the immune system (humoral and cellular-mediated) are important in terms of immunity to HSV. In immunosuppressed persons, reactivation of HSV may be associated with prolonged viral excretion and persistence of lesions.11
Two patterns of HSV pneumonia have been described in the literature. The first pattern is a focal or multifocal necrotizing pneumonia caused by the direct spread of the virus from lesions in the upper respiratory tract or through the extension of herpetic tracheobronchitis. The second pattern is a diffuse pneumonia secondary to hematogenous dissemination of HSV most likely originating from oral or genital mucocutaneous lesions.12

Figure 4. Lung tissue sample showing multinucleated giant cells (hematoxylin and eosin stain, original magnification ×400).
INTERACTION BETWEEN HIV AND HSV-2
In a review of the current literature, there is evidence of a synergistic link between HSV-2 and HIV infections. Infection with HSV-2, the most common etiological subtype of genital herpes, greatly increases the risk of HIV acquisition because a break in the continuity of the mucosal surface provides gateways to and from the bloodstream. Persons infected with both viruses are more likely to transmit HIV as a result of an increase in viral shedding in the genital tract.13
DIAGNOSIS OF HSV-2 PNEUMONIA
The diagnosis of HSV-2 pneumonia is difficult to make. It can be suspected when typical lesions are found on the lips, mucous membranes of the oral cavity, skin, or genitals in immunocompromised patients; however, the absence of skin lesions does not rule out the diagnosis. One study noted that only 10.8% of patients had evidence of mucocutaneous vesicles before the diagnosis of HSV pneumonia was made.14 In a majority of patients, the reactivation of HSV is asymptomatic, but shedding of viral particles does occur.
The diagnosis is established by histology obtained from either bronchoscopy or lung biopsy and confirmed by viral culture.12 Tissue culture is the most sensitive and specific diagnostic test. Cytopathological examination typically reveals multinucleated giant cells, which are characteristic of herpes virus infection; however, this finding does not differentiate HSV infection from infection with varicella-zoster virus. This technique is not as sensitive as culture, with a positivity rate of 40% to 50%.1
A method of direct antigen identification can be performed on tissues through immunofluorescence or immunoperoxidase techniques. The sensitivity and specificity of these assays varies from 80% to 98% and 96% to 99%, respectively.15,16

Figure 5. Lung tissue sample showing herpes simplex virus type 2 (immunohistochemical stain, original magnification ×200).
TREATMENT OF HSV-2 PNEUNOMIA
At present, there is no proven effective therapy to prevent or treat HSV dissemination and lung involvement. Acyclovir, 10 mg/kg intravenously every 8 hours, is considered the treatment of choice. There are no published data on the optimal treatment for HSV pneumonia. The mortality rate from untreated HSV pneumonia in immunocompromised patients is high (over 80%).12,17 However, acyclovir-resistant strains, although few, have been identified with increasing frequency, especially among persons infected with HIV.18,19
No potential conflict of interest relevant to this article was reported by Dr Short.
References1. Drew WL. In: Ryan KJ, Ray CJ, eds. Medical Microbiology. New York: McGraw Hill; 2004:555-558.
2. Görander S, Svennerholm B, Liljeqvist JA. Secreted portion of glycoprotein G of herpes simplex virus type 2 is a novel antigen for type-discriminating serology. J Clin Microbiol. 2003;41:3681-3686.
3. Corey L, Spear PG. Infections with herpes simplex viruses (2). N Engl J Med. 1986;314:749-757.
4. Tuxen DV, Cade JF, McDonald MI, et al. Herpes simplex virus from the lower respiratory tract in adult respiratory distress syndrome. Am Rev Respir Dis. 1982;126:416-419.
5. Feldman S, Stokes DC. Varicella zoster and herpes simplex virus pneumonias. Semin Respir Infect. 1987;2:84-94.
6. Liebau P, Kuse E, Winkler M, et al. Management of herpes simplex type 1 pneumonia following liver transplantation. Infection. 1996;24:130-135.
7. Connolly MG Jr, Baughman RP, Dohn MN, Linnemann CC Jr. Recovery of viruses other than cytomegalovirus from bronchoalveolar lavage fluid. Chest. 1994;105:1775-1781.
8. James E, Robinson L, Griffiths PD, Prentice HG. Acute myeloblastic leukaemia presenting with herpes simplex type-1 viraemia and pneumonia. Br J Haematol. 1996;93:401-402.
9. Calore EE. Herpes simplex type 2 pneumonia. Braz J Infect Dis. 2002;6:305-308.
10. Corey L, Spear PG. Infections with herpes simplex viruses (1). N Engl J Med. 1986;314:686-691.
11. Krone MR, Tabet SR, Paradise M, et al. Herpes simplex virus shedding among human immunodeficiency virus-negative men who have sex with men: site and frequency of shedding. J Infect Dis. 1998;178:978-982.
12. Ramsey PG, Fife KH, Hackman RC, et al. Herpes simplex virus pneumonia: clinical, virologic, and pathologic features in 20 patients. Ann Intern Med. 1982;97:813-820.
13. Corey L, Wald A, Celum CL, Quinn TC. The effects of herpes simplex virus-2 on HIV-1 acquisition and transmission: a review of two overlapping epidemics. J Acquir Immune Defic Syndr. 2004;35:435-445.
14. Prellner T, Flamholc L, Haidl S, et al. Herpes simplex virus-the most frequently isolated pathogen in the lungs of patients with severe respiratory distress. Scand J Infect Dis. 1992;24:283-292.
15. Kimya-Asadi A, Tausk FA, Nousari HC. Verrucous varicella zoster virus lesions associated with acquired immunodeficiency syndrome. Int J Dermatol. 2000;39:77-78.
16. Oda Y, Okada Y, Katsuda S, Nakanishi I. Immunohistochemical study on the infection of herpes simplex virus, human cytomegalovirus, and Epstein-Barr virus in secondary diffuse interstitial pneumonia. Hum Pathol. 1994;25:1057-1062.
17. Umar SH, Kanth A. Disseminated cutaneous herpes simplex virus type-1 with interstitial pneumonia as a first presentation of AIDS. J Natl Med Assoc. 1999;8:471-474.
18. Erlich KS, Mills J, Chatis P, et al. Acyclovir-resistant herpes simplex virus infections in patients with the acquired immunodeficiency syndrome. N Engl J Med. 1989;320:293-296.
19. Birch CJ, Tachedjian G, Doherty RR, et al. Altered sensitivity to antiviral drugs of herpes simplex virus isolates from a patient with the acquired immunodeficiency syndrome. J Infect Dis. 1990;162:731-734.