Although adenoviruses are a recognized cause of serious pulmonary and disseminated disease among stem cell transplant recipients, their importance in other immunocompromised patient populations is less clearly documented.
Adenoviruses are nonenveloped, double-stranded DNA viruses. There are 51 immunologically distinct serotypes of adenoviruses that are subdivided into 6 subgroups (A-F) based on hemagglutinin properties, DNA homology, oncogenic potential in rodents, and clinical disease.1,2 For unclear reasons many persons with HIV/AIDS shed adenovirus serotypes that are rarely or never isolated from immunocompetent persons.3 The diversity of serotypes seen in those with HIV/AIDS suggests that no epidemiological significance can be attached to any one serotype.4
Although adenoviruses cause a wide range of clinical syndromes, respiratory,5-8 GI,9-11 and conjunctival diseases are the most common. In persons with HIV/AIDS, there are case reports of adenovirus-associated hemorrhagic cystitis, prostatitis, nephritis, hepatitis, cholecystitis, parotitis, and encephalitis.12-21
Adenoviruses tend to cause infection throughout the year without a specific seasonal predominance. Transmission occurs via aerosolized droplets, direct conjunctival inoculation, fecal-oral spread, or exposure to infected tissue or blood. Neonates may acquire adenovirus infection from exposure to cervical secretions at birth. The incubation period typically varies from 2 days to 2 weeks depending on the virus serotype and mechanism of transmission. Outbreaks of adenovirus infection are common, particularly among infants and children in day-care settings, military recruits, and the elderly in nursing homes.
Although adenovirus infection is typically self-limited, fatal disease may occur, particularly among persons with compromised immunity.22 We present a case of a person with AIDS who was receiving chemotherapy for Burkitt lymphoma in whom fatal adenovirus pneumonia developed.
CASE SUMMARY
A 44-year-old man with AIDS being treated for Burkitt lymphoma was hospitalized in October 2006 after 1 day of fever and 2 weeks after his fourth cycle of cancer chemotherapy comprising rituxan, cyclophosphamide, vincristine, doxorubicin, and dexamethasone. He otherwise felt well, and findings from a review of systems were unremarkable. At admission, the patient was not taking antiretroviral medications, and he had a history of nonadherence to treatment. His CD4+ cell count was 33/µL, and his HIV RNA level was 632,000 copies/mL. He had been treated for Pneumocystis jiroveci pneumonia at diagnosis of AIDS in 1994. Burkitt lymphoma had been diagnosed in June 2006.
His second cycle of chemotherapy, given about 2 months before presentation, was complicated by presumed cyclophosphamide-induced hemorrhagic cystitis (viral urine cultures were not obtained), which resolved without any treatment. His medications on admission included trimethoprim/sulfamethoxazole, azithromycin, fluconazole, and acyclovir. He had no known drug allergies and denied tobacco and illicit drug use but drank alcohol occasionally. He had no pets, no recent travel, and no sick contacts.
On admission, his vital signs were as follows: blood pressure, 119/70 mm Hg; respiratory rate, 18 breaths per minute; pulse rate, 98 beats per minute; temperature, 40°C (104°F); and oxygen saturation on room air, 100%. Findings from the physical examination were unremarkable. Initial laboratory values included a white blood cell count of 2.2 × 109/L (normal, 3.5 to 10.5), absolute neutrophil count of 2000/µL (normal, 1500 to 7800), platelet count of 33 × 109/L (normal, 140 to 390), hemoglobin level of 7 g/dL (normal, 13 to 17.5), alanine aminotransferase level of 54 U/L (normal, 0 to 48), and aspartate aminotransferase level of 68 U/L (normal, 0 to 40). Although results of a blood chemistry panel were normal, his lactate dehydrogenase level was elevated at 740 U/L (normal, 0 to 200).

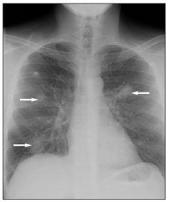
Figure 1.Chest radiograph demonstrating bilateral nodular densities (arrows).
A chest radiograph showed bilateral nodular densities (Figure 1), and a chest CT scan also demonstrated a nodular pneumonia (Figure 2). Because of a high suspicion for a fungal infection, the patient was empirically treated with voriconazole with cefepime added for bacterial coverage. He underwent bronchoscopy with bronchoalveolar lavage (BAL) on hospital day 3; viral cultures were initially positive for only cytomegalovirus (CMV). All other cultures, including fungal, bacterial, and mycobacterial cultures; acid-fast bacilli smear; direct fluorescent antibody testing for P jiroveci and Legionella; and BAL cytology yielded negative results. Multiple blood cultures were also negative, but his serum CMV DNA level, detected by polymerase chain reaction (PCR) assay, was 77,900 copies/mL.
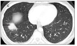
Figure 2.Chest CT scans showing multiple areas of airspace

consolidation (arrows) within the lungs with peripheral area of ground-glass opacity. A: Bilateral upper lobe consolidation. B: Right lower lobe pleural-based consolidation. C: Right lower lobe consolidation.

Since the patient was presumed to have CMV pneumonia, he was treated with intravenous ganciclovir (5 mg/kg q12h) and immune globulin. Funduscopic examination findings were negative for CMV retinitis. Because he continued to have spiking fevers daily and the chest radiograph indicated worsening of the lung nodules, fine-needle aspiration (FNA) of lung nodules was done on hospital day 8. Cultures of the aspirated material initially revealed no organisms.
Despite treatment, the patient continued to be febrile, and new upper respiratory tract symptoms were noted. After 10 days of intravenous ganciclovir therapy, his serum CMV DNA level, detected by PCR, was 41,500

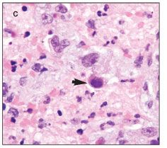
copies/mL. There was concern for ganciclovir-resistant CMV, so treatment was switched to foscarnet. He underwent video-assisted thoracoscopic surgery on hospital day 12. Histopathology showed smudge cells with viral inclusions (Figure 3). Stains were negative for CMV and herpes simplex virus. A lung tissue culture was positive for adenovirus; viral cultures of FNA material and BAL fluid also eventually grew adenovirus. His serum adenovirus DNA level (using PCR) was 1.9 × 108 copies/mL (ViraCor Laboratories, Le

e’s Summitt, Mo). Virus serotype was not obtained.
Figure 3.A: Low-power view (original magnification ×200) of a hematoxylin and eosin stain of lung parenchyma with intra-alveolar proteinaceous exudate, neutrophilic infiltrate, and karyorrhectic debris. B: Medium-power view (original magnification × 400) of a hematoxylin and eosin stain of lung parenchyma with intra-alveolar proteinaceous exudate, neutrophilic infi

ltrate, karyorrhectic debris, and nuclear inclusions (smudge cells). The arrows identify smudge cells. C: High-power view (original magnification ×1000) of a hematoxylin and eosin (oil immersion) stain showing the infected cells with inclusions (smudge cells). The arrow identifies a smudge cell.
Following thoracoscopic surgery, the patient remained intubated with increased oxygen requirement. He was treated with cidofovir but continued to deteriorate clinically with multiorgan failure with acute respiratory distress syndrome and shock. He died on hospital day 22 after care was withdrawn at the wish of his family. No autopsy was performed.
DISCUSSIONClinical Disease Among Persons Infected With HIV
Among immunosuppressed persons, adenovirus infection is frequently associated with disseminated disease in which 2 or more organs are involved; viremia is frequently present. Mortality for persons with disseminated adenovirus disease remains high despite the use of antiviral therapy.23 Asymptomatic carriage of adenovirus is common in HIV-infected persons24; asymptomatic viruria occurs in up to 20% of persons with HIV/AIDS25; and asymptomatic adenoviremia has been reported in children who are HIV-seropositive.24 Symptomatic GI adenovirus excretion in HIV-infected persons is associated with lower CD4+ cell counts and a poorer prognosis.26
Adenovirus infections occur in 12% to 28% of HIV-infected persons, and 45% of the infections result in death, typically within 2 months of diagnosis.27,28 The most frequent site of infection is the GI tract. Mortality is related to site of infection: 60% in those with pneumonia and 50% in those with hepatitis.27 These rates are substantially higher than those for adenovirus infections in immunocompetent persons (15% and 10% for pneumonia and hepatitis, respectively).27
Most patients with AIDS and adenovirus infection, much like the patient presented in this case, are coinfected with other pathogens or have other complicating conditions that may contribute to their mortality risk. The most frequent co-pathogens that have been identified are CMV and P jiroveci.5,7,8,10,27,29 Two months before our patient was admitted, he was given a presumed diagnosis of cyclophosphamide-induced hemorrhagic cystitis, which may have been secondary to adenovirus infection. However, viral cultures were not obtained at that time. Obtaining the culture results is critical because there is some evidence showing that the reactivation of a latent adenovirus infection is possible.1
Adenovirus-associated hemorrhagic cystitis has been previously described in a patient with AIDS, which occurred about 2 weeks after his previous cycle of chemotherapy for Burkitt lymphoma.18 The presentation of our patient is similar to that of the patient in this earlier report, which suggests that the risk of adenovirus-associated hemorrhagic cystitis is greatest 2 weeks after a cycle of chemotherapy, when the patient’s neutrophil count is at its nadir.18 It is likewise possible that the chemotherapy contributed to the reactivation of the virus.
Diagnosis
The diagnosis of adenovirus infection is established by histology, viral cultures, direct immunofluorescence, electron microscopy, or enzyme immunoassays. Although culture and histology remain critical to the diagnosis of adenovirus disease, newer molecular techniques have the advantage of being quantitative, giving results rapidly, and providing a marker for response to therapy and prognostication of clinical course.23,30
Serum adenovirus DNA levels greater than 1 × 106 copies/mL in children after allogeneic stem cell transplantation have been associated with an increased likelihood of death.23 Histopathologically, adenoviruses can cause characteristic intranuclear inclusions. Early after infection, cells may display small eosinophilic inclusions. During the later stages of infection, basophilic inclusions appear, which initially may be surrounded by a clear halo within the nucleus.31 When these intranuclear inclusions enlarge and obscure the nuclear membrane, the cells are referred to as smudge cells.2,32 Because these findings are often nonspecific, immunohistochemical or in situ hybridization techniques are used to confirm the presence of adenovirus.1
Treatment
Although there are a number of antiviral agents with in vitro and in vivo data suggesting efficacy against adenovirus, none have been studied in a prospective randomized study and none are
FDA-approved for this indication.1 It is also important to note that although survival is improved by using antiviral therapy before the onset of severe disease, the optimal timing of treatment and the population most likely to benefit from antiviral therapy have yet to be defined. There are only a few cases in the literature with available outcomes data for antiviral therapy (Table); likewise, there are a number of persons with asymptomatic shedding whose disease does not progress to end-organ disease and for whom antiviral therapy likely would not affect their course.24,25


Of the agents that are clinically approved for treatment of adenovirus infection, cidofovir appears to be the most active. Cidofovir, a cytosine analog that inhibits DNA polymerase, is effective against all tested adenoviruses in vitro33; its use appears to result in reduced viral replication, which correlates with clinical response.34 Unfortunately, not all persons treated with cidofovir experience a decrease in viral replication and, thus, progressive disease and death occur.
Although there are case reports of both successful and unsuccessful outcomes for patients with adenovirus infections who were treated with ribavirin,6,35 more contemporary data suggest that this agent should not be used for this indication.36 In addition to its toxicity, ribavirin appears to have activity against only subgroup C viruses in vitro,33 but activity, even against subgroup C viruses, has not been documented in contemporary studies in humans.37
Ganciclovir has modest antiadenovirus activity.38 When given prophylactically for CMV infection, ganciclovir was found to have a protective effect against adenovirus infections in stem cell transplant recipients who were not T-cell depleted.39 Our patient was initially treated with ganciclovir for CMV disease, but his clinical course worsened. Other patients with AIDS who received ganciclovir in similar settings had a poor outcome, although these were single case reports.7,40,41 Vidarabine, an analog of adenosine, is active in vitro against double-stranded DNA viruses, including human adenovirus. Successful treatment of adenovirus-associated hemorrhagic cystitis with vidarabine has been reported,42 but there are no data to support its use in persons with HIV/AIDS.
When our patient was initially admitted, we had considered restarting his antiretroviral therapy, but we first wanted to manage his acute condition. In severely ill persons, apart from unpredictable pharmacokinetics resulting from multidrug antiretroviral regimens, any toxicity from drug-drug interactions might be difficult to distinguish from the disease process.43 In the case reported by Nebbia and colleagues,7 despite initiating antiretroviral therapy in the acute setting, the outcome was still poor.
It has been proposed that adenovirus infection may reduce survival of HIV-positive persons with low CD4+ cell counts, but the degree of reconstitution of adenovirus-specific immunity induced by antiretroviral therapy remains unknown.7 There are currently no data on adenovirus infections in persons receiving antiretroviral therapy. Further studies are clearly needed to determine not only the role of antiretroviral agents in acute adenovirus infection but also the degree of reconstitution of adenovirus-specific immunity induced by antiretroviral therapy.
CONCLUSION
In summary, adenovirus disease is a significant cause of morbidity and mortality in immunocompromised persons and should be included in the differential diagnosis of pneumonia in persons with HIV/AIDS. It remains largely underdiagnosed in HIV-infected persons, and in the cases illustrated in this article, most of the patients died; this may reflect, in part, a reporting bias. Although there is no proven therapy documented to be of benefit, confirmation of adenovirus infection should be established because this influences the use of antiviral agents.
Acknowledgment: We would like to thank Songlin Zhang, MD, PhD, for providing the photograph of the oil immersion hematoxylin and eosin stain slide.
Dr Ison reports chairing the Data Safety and Monitoring Board of Chimerix Inc. for the development of a lipophilic cidofovir product (CMX001). No other potential conflict of interest relevant to this article was reported by the authors.
References
1.
Ison MG. Adenovirus infections in transplant recipients.
Clin Infect Dis
. 2006;43:331-339.
2.
Kojaoghlanian T, Flomenberg P, Horwitz MS. The impact of adenovirus infection on the immunocompromised host.
Rev Med Virol
. 2003;13:155-171.
3.
De Jong JC, Wermenbol AG, Verweij-Uijterwaal MW, et al. Adenoviruses from human immunodeficiency virus-infected individuals, including two strains that represent new candidate serotypes Ad50 and Ad51 of species B1 and D, respectively.
J Clin Microbiol
. 1999;37:3940-3945.
4.
Hierholzer JC, Wigand R, Anderson LJ, et al. Adenoviruses from patients with AIDS: a plethora of serotypes and a description of five new serotypes of subgenus D (types 43-47).
J Infect Dis
. 1988;158:804-813.
5.
Koopmann J, Dombrowski F, Rockstroh JK, et al. Fatal pneumonia in an AIDS patient coinfected with adenovirus and
Pneumocystis carinii
.
Infection
. 2000;28:323-325.
6.
Maslo C, Girard PM, Urban T, et al. Ribavirin therapy for adenovirus pneumonia in an AIDS patient.
Am J Respir Crit Care Med
. 1997;156(4 pt 1):1263-1264.
7.
Nebbia G, Chawla A, Schutten M, et al. Adenovirus viraemia and dissemination unresponsive to antiviral therapy in advanced HIV-1 infection.
AIDS
. 2005;19:1339-1340.
8.
Valainis GT, Carlisle JT, Daroca PJ, et al. Respiratory failure complicated by adenovirus serotype 29 in a patient with AIDS.
J Infect Dis
. 1989;160:349-351.
9.
Dionisio D, Arista S, Vizzi E, et al. Chronic intestinal infection due to subgenus F type 40 adenovirus in a patient with AIDS.
Scand J Infect Dis
. 1997;29:305-307.
10.
Francisci D, Marroni M, Morosi S, et al. Fatal haemolytic uraemic syndrome in an AIDS patient with disseminated adenovirus and cytomegalovirus co-infection.
Infez Med
. 2006;14:37-40.
11.
Janoff EN, Orenstein JM, Manischewitz JF, Smith PD. Adenovirus colitis in the acquired immunodeficiency syndrome.
Gastroenterology
. 1991;100:976-979.
12.
Gelfand MS, Cleveland KO, Lancaster D, et al. Adenovirus parotitis in patients with AIDS.
Clin Infect Dis
. 1994;19:1045-1048.
13.
Green WR, Greaves WL, Frederick WR, Taddesse-Heath L. Renal infection due to adenovirus in a patient with human immunodeficiency virus infection.
Clin Infect Dis
. 1994;18:989-991.
14.
Hedderwick SA, Greenson JK, McGaughy VR, Clark NM. Adenovirus cholecystitis in a patient with AIDS.
Clin Infect Dis
. 1998;26:997-999.
15.
Shintaku M, Nasu K, Ito M. Necrotizing tubulo-interstitial nephritis induced by adenovirus in an AIDS patient.
Histopathology
. 1993;23:588-590.
16.
Anders KH, Park CS, Cornford ME, Vinters HV. Adenovirus encephalitis and widespread ependymitis in a child with AIDS.
Pediatr Neurosurg
. 1990-1991;16:316-320.
17.
Dikov D, Chatelet FP, Dimitrakov J. Pathologic features of necrotizing adenoviral prostatitis in an AIDS patient.
Int J Surg Pathol
. 2005;13:227-231.
18.
Ghez D, Oksenhendler E, Scieux C, Lassoued K. Haemorrhagic cystitis associated with adenovirus in a patient with AIDS treated for a non-Hodgkin’s lymphoma.
Am J Hematol
. 2000;63:32-34.
19.
Janner D, Petru AM, Belchis D, Azimi PH. Fatal adenovirus infection in a child with acquired immunodeficiency syndrome.
Pediatr Infect Dis J
. 1990;9:434-436.
20.
Krilov LR, Rubin LG, Frogel M, et al. Disseminated adenovirus infection with hepatic necrosis in patients with human immunodeficiency virus infection and other immunodeficiency states.
Rev Infect Dis
. 1990;12:303-307.
21.
Schnurr D, Bollen A, Crawford-Miksza L, et al. Adenovirus mixture isolated from the brain of an AIDS patient with encephalitis.
J Med Virol.
1995;47:168-171.
22.
James L, Vernon MO, Jones RC, et al. Outbreak of human adenovirus type 3 infection in a pediatric long-term care facility-Illinois, 2005.
Clin Infect Dis
. 2007;45:416-420.
23.
Claas EC, Schilham MW, de Brouwer CS, et al. Internally controlled real-time PCR monitoring of adenovirus DNA load in serum or plasma of transplant recipients.
J Clin Microbiol.
2005;43:1738-1744.
24.
Ferdman RM, Ross L, Inderlied C, Church JA. Adenovirus viremia in human immunodeficiency virus-infected children.
Pediatr Infect Dis J
. 1997;16:413-415.
25.
de Jong PJ, Valderrama G, Spigland I, Horwitz MS. Adenovirus isolates from urine of patients with acquired immunodeficiency syndrome.
Lancet
. 1983;1:1293-1296.
26.
Sabin CA, Clewley GS, Deayton JR, et al. Shorter survival in HIV-positive patients with diarrhoea who excrete adenovirus from the GI tract.
J Med Virol
. 1999;58:280-285.
27.
Hierholzer JC. Adenoviruses in the immunocompromised host.
Clin Microbiol Rev
. 1992;5:262-274.
28.
Khoo SH, Bailey AS, de Jong JC, Mandal BK. Adenovirus infections in human immunodeficiency virus-positive patients: clinical features and molecular epidemiology.
J Infect Dis
. 1995;172:629-637.
29.
Bhanthumkosol D. Fatal adenovirus infections in infants probably infected with HIV.
J Med Assoc Thai
. 1998;81:214-222.
30.
Schilham MW, Claas EC, van Zaane W, et al. High levels of adenovirus DNA in serum correlate with fatal outcome of adenovirus infection in children after allogeneic stem-cell transplantation.
Clin Infect Dis
. 2002;35:526-532.
31.
Becroft DM. Histopathology of fatal adenovirus infection of the respiratory tract in young children.
J Clin Pathol
. 1967;20:561-569.
32.
Ruuskanen O, Meurman O, Akusjärvi G. Adenoviruses. In: Richman DD, Whitley RJ, Hayden FG, eds.
Clinical Virology
. Washington, DC: ASM Press; 2002:515-535.
33.
Morfin F, Dupuis-Girod S, Mundweiler S, et al. In vitro susceptibility of adenovirus to antiviral drugs is species-dependent.
Antivir Ther
. 2005;10:225-229.
34.
Ljungman P, Ribaud P, Eyrich M, et al; Infectious Diseases Working Party of the European Group for Blood and Marrow Transplantation. Cidofovir for adenovirus infections after allogeneic hematopoietic stem cell transplantation: a survey by the Infectious Diseases Working Party of the European Group for Blood and Marrow Transplantation.
Bone Marrow Transplant
. 2003;31:481-486.
35.
Mazoyer E, Daugas E, Verine J, et al. A case report of adenovirus-related acute interstitial nephritis in a patient with AIDS.
Am J Kidney Dis
. 2008;51:121-126.
36.
La Rosa AM, Champlin RE, Mirza N, et al. Adenovirus infections in adult recipients of blood and marrow transplants.
Clin Infect Dis
. 2001;32:871-876.
37.
Lankester AC, Heemskerk B, Claas EC, et al. Effect of ribavirin on the plasma viral DNA load in patients with disseminating adenovirus infection.
Clin Infect Dis
. 2004;38:1521-1525.
38.
Naesens L, Lenaerts L, Andrei G, et al. Antiadenovirus activities of several classes of nucleoside and nucleotide analogues.
Antimicrob Agents Chemother
. 2005;49:1010-1016.
39.
Bruno B, Gooley T, Hackman RC, et al. Adenovirus infection in hematopoietic stem cell transplantation: effect of ganciclovir and impact on survival.
Biol Blood Marrow Transplant
. 2003;9:341-352.
40.
Brundler MA, Rodriguez-Baez N, Jaffe R, et al. Adenovirus ascending cholangiohepatitis.
Pediatr Dev Pathol
. 2003;6:156-159.
41.
Dombrowski F, Eis-Hubinger AM, Ackermann T, et al. Adenovirus-induced liver necrosis in a case of AIDS.
Virchows Arch
. 1997;431:469-472.
42.
Kawakami M, Ueda S, Maeda T, et al. Vidarabine therapy for virus-associated cystitis after allogeneic bone marrow transplantation.
Bone Marrow Transplant
. 1997;20:485-490.
43.
Masur H. Management of patients with HIV in the intensive care unit.
Proc Am Thorac Soc
. 2006;3:96-102.
44.
Vinti H, Pesce A, Reboulot B, et al. Fatal adenovirus pneumonia in an HIV-1-infected patient. IX International Conference on AIDS; June 6-11, 1993; Berlin. Abstract PO-B08-1356.
45.
Gathe J Jr, Stool E, Niel S, et al. Pulmonary infections with adenovirus in patients with AIDS. XI International Conference on AIDS; July 7-12, 1996; Vancouver, British Columbia. Abstract Th.B.4222.