Optic nerve dysfunction and neurosarcoidosis, orbital inflammatory syndrome, herpes simplex conjunctivitis, iritis caused by neurosyphilis, proptosis-a close look at ocular conditions and underlying causes.

Case 1:
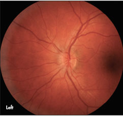
A 36-year-old man had noticed a dark spot in the field of vision of his left eye. Now the spot more closely resembled a line. He denied other changes in his vision and had not seen floaters or flashing lights. Earlier, he had ankle and wrist swelling. The diagnosis was acute reactive arthritis, with sarcoidosis as the possible underlying cause.
Examination of the optic discs revealed bilateral papilledema. A chest CT scan showed mediastinal and hilar lymphadenopathy. A transbronchial biopsy showed non-necrotizing granulomas, confirming a diagnosis of neurosarcoidosis.
Optic nerve dysfunction is the most common neuro-ophthalmological manifestation of sarcoidosis. The optic nerve is said to be the second most frequently affected cranial nerve, after the facial nerve. The optic nerve may be affected at any time during the course of the disease and may be the site of its initial presentation.
Papilledema, as seen in this patient, may result from elevated intracranial pressure, which often is associated with neurosarcoidosis.
Case and image courtesy of Leonid Skorin, Jr, DO
NEXT CASE »
For the discussion, click here.

Case 2:
A 58-year-old man with a history of chronic sinus disease and hypothyroidism presented with left periorbital pain and erythema that worsened despite outpatient treatment with topical antibiotics. An outpatient CT scan showed pansinusitis and orbital stranding.
He complained of blurry vision with lateral gaze, headache, pain with eye movements, foreign body sensation, and nasal congestion. The left eye examination showed ptosis, proptosis, periorbital edema, chemosis, erythema, and resistance to retropulsion.
The patient had orbital inflammatory syndrome disguised as orbital cellulitis and sinusitis. This benign inflammatory syndrome has variable clinical presentations and often is a diagnosis of exclusion. Vision loss and ocular dysmotility can occur.
Orbital cellulitis and thyroid orbitopathy are the most common mimics. Consider the diagnosis in patients with orbital signs in the setting of sinusitis, especially in those whose symptoms do not improve with antibiotics alone.
Case and photo provided by Lisa Hayes, MD, Daniel Garibaldi, MD, and Angela Kim, MD
NEXT CASE »
For the discussion, click here.

Case 3:
A 5-year-old girl had redness and light sensitivity of the right eye. She denied significant pain or decreased vision. She was otherwise healthy with no chronic medical conditions.
The girl’s pupils were equal and reactive to light, eyes aligned, and extraocular movements full. Her right lower lid was slightly edematous and erythematous; no vesicular or pustular lesions were noted on the lid margin or periorbital skin. The conjunctiva were significantly injected with diffuse tiny gelatinous bumps.
Wood lamp examination after fluorescein dye instillation showed small branching lesions on the cornea and conjunctiva, suggesting herpes simplex conjunctivitis and keratitis.
Herpes simplex conjunctivitis can result from primary infection or reactivation of latent herpes simplex virus infection in the trigeminal ganglion. Diagnosis usually is clinical, based on the characteristic appearance of significantly injected conjunctiva with diffuse tiny gelatinous bumps.
Case and image courtesy of Sonal S. Tuli, MD, Maria Kelley, MD,
RheumatologyNetwork Staff, and Sanjeev Y. Tuli, MD
NEXT CASE »
For the discussion, click here.

Case 4:
A 43-year-old man who wore soft contact lenses presented with left eye irritation. The left pupil was slightly smaller than the right and reacted more slowly. There also was mild bilateral photophobia and consensual photophobia. The left eye showed injection without discharge.
After several misdiagnoses of conjunctivitis, it was determined that the patient had iritis caused by neurosyphilis.
Most cases of red eye or “pink eye” are caused by infectious, or occasionally allergic, conjunctivitis. Occasionally, however, a rare and more serious condition-such as a corneal ulcer or iritis-may masquerade as the more benign condition.
Distinguishing characteristics of iritis include consensual photophobia, limbal flush, cell and flare and, occasionally, posterior synechiae. Complications include synechiae, secondary glaucoma, and loss of vision from involvement of the uvea.
Most cases of iritis are idiopathic, but it may be caused by trauma, infection, or a chronic inflammatory condition.
Case and image courtesy of Brady Pregerson, MD
NEXT CASE »
For the discussion, click here.

Case 5:
A 21-month-old girl presented with a 3-week history of progressive bilateral proptosis. She had been well until her right cheek became swollen and red. Then there was progressive bilateral swelling of the upper and lower eyelids. Her mother noted that her child’s “eyes were bulging out.” The right eye was affected more than the left.
The differential diagnosis for this patient’s presentation is broad, including infectious, oncological, and endocrine diseases-proptosis, or exophthalmos, secondary to thyroid ophthalmopathy (such as Graves disease); orbital pseudotumors; neuroblastoma; rhabdomyosarcoma; optic glioma; retinoblastoma; the histiocytoses; and lymphoma.
Proptosis in pediatric patients is a serious condition that must be evaluated thoroughly to determine the underlying pathological process. A careful history and a complete physical examination help narrow the differential and focus the workup.
The rapidity of onset of the proptosis, the presence or absence of pain or inflammation, and any systemic signs are important factors in the evaluation. Imaging characteristics, laboratory or biopsy findings, and response to treatment are other important components.
Case and photo provided by Ansley Splinter, MD, Mun-wah Ng, MD, Ara Balkian, MD, and John Quinn, MD