Emphysematous pyelonephritis (EPN) is a rare but life-threatening infection characterized by widespread necrosis and production of gas within the kidney.
Key word: Emphysematous pyelonephritis
Emphysematous pyelonephritis (EPN) is a rare but life-threatening infection characterized by widespread necrosis and production of gas within the kidney. It is most often associated with Escherichia coli and Klebsiella infections. Predisposing factors almost invariably include diabetes mellitus with poor glucose control and also urinary obstruction. Patients can either be acutely ill or have nonspecific symptoms, such as fever, mental status changes, and flank pain. A carefully focused examination that includes diagnostic studies is required by both the clinician and the radiologist. Although radiographs of the abdomen may reveal intraparenchymal gas, CT is the diagnostic imaging modality of choice.
Prompt surgical intervention with drainage is the mainstay of treatment, but given these patients’ high surgical risk, percutaneous drainage has also been used as treatment.1
Case report
An 81-year-old man with hematuria was admitted to our medical oncology clinic. He was not diabetic. His past medical history revealed coronary artery disease, hypertension, macular degeneration, and mild renal insufficiency. Approximately 6 months before presentation, he had experienced poor appetite that resulted in a 20-lb weight loss. Six weeks before presentation, hematuria with clot retention developed. His hemoglobin level was 8.4 g/dL, and he required a transfusion.
A Foley catheter placement resulted in resolution of obstructive symptoms. However, further workup revealed a large left renal mass and large cysts in the right kidney. In addition, a right adrenal mass that was suggestive of metastatic disease and retroperitoneal lymphadenopathy was found.
A nuclear medicine bone scan revealed diffuse metastatic disease. It was when the hematuria recurred that the patient was admitted to our institution for further evaluation.
He required a transfusion and was mildly dehydrated on admission. Laboratory studies revealed a hemoglobin level of 9.4 g/dL and creatinine level of 1.5 mg/dL. The patient was deemed to be a poor candidate for palliative nephrectomy. An uncomplicated embolization of his left renal artery was performed. Ethanol was used to control the hematuria. He tolerated the procedure well and was discharged with a Foley catheter in place.
Three weeks later, the patient again was seen for complaints of fatigue, poor appetite, weight loss, and persistent pain in his left flank. He did not have hematuria. He was afebrile, but he had left flank tenderness and was given oxycodone. Results of a urine cytology test were positive for malignant cells, consistent with a diagnosis of either renal cell carcinoma or high-grade urothelial carcinoma.
Three weeks later, the patient reported increased fatigue and difficulty in concentrating, which was thought to be an adverse effect of oxycodone use. He was afebrile and hemodynamically stable. Laboratory tests performed on admission revealed a white blood cell count of 135,000 µL (83% neutrophils), hemoglobin level of 9.1 g/dL, glucose level of 91 mg/dL, and creatinine level of 1.7 mg/dL. A urinalysis was positive for nitrites and leukocyte esterase. Piperacillin/tazobactam therapy was initiated for management of presumed urosepsis.

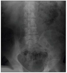
Figure 1 – Gas surrounding the left kidney is seen in this radiograph of the abdominal area.
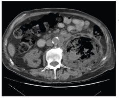
An abdominal radiograph revealed gas surrounding the left kidney (Figure 1), and a CT scan of the abdomen and pelvis showed a large area of gas and fluid in the left renal fossa within the Gerota fascia (Figure 2). Percutaneous drainage of the abscess was performed using a 10 French Cope loop all-purpose drainage catheter. A diagnosis of EPN was made.
The cultures of blood drawn before initiation of antibiotic therapy were negative for pathogens, but cultures grown from the purulent drainage were positive for Pasteurella multocida that was sensitive to multiple antibiotics, including ampicillin, trimethoprim/sulfamethoxazole, and levofloxacin. Multiple organisms were cultured from the patient’s urine samples, but these cultures were not completely processed because the specimens were contaminated. The patient’s family reported that a pet cat occasionally bit and scratched the patient, but the family denied knowledge of a history of soft tissue infection in the patient.

Figure 2 –A CT scan of the abdomen shows a large area of gas and fluid in the left renal fossa within the Gerota fascia.
The antibiotic regimen was switched to ampicillin. The patient’s mental status improved moderately, and he remained hemodynamically stable throughout his hospitalization. Purulent material continued to drain from the catheter. On hospital day 7, a CT scan showed a persistent large residual air-fluid collection, and the catheter was changed to a 14 French catheter. On hospital day 8, the patient was discharged to a skilled nursing facility. He was in stable condition and receiving antibiotic therapy.
Discussion
EPN is a rare but acute, life-threatening infection characterized by tissue necrosis and production of gas within the kidney. The underlying condition is almost invariably diabetes mellitus. Four factors are thought to contribute to the pathogenesis of EPN: a gas-forming organism, hyperglycemia, impaired tissue perfusion, and a defective immune response. Urinary tract obstruction is also thought to increase the risk by causing increased pericalyceal pressure and compromising renal circulation.2 Initial treatment should include supportive care, antibiotic therapy, and relief of obstruction. The role of early nephrectomy versus open or percutaneous drainage remains a subject of debate.1 Despite aggressive treatment, mortality rates range between 7% and 75%.3
Although 90% of patients with EPN are diabetic, this condition can occur in other settings, such as structural kidney disease. Interventional procedures such as renal artery embolization are becoming increasingly common. Although patients with metastatic renal cell cancer may benefit from palliative nephrectomy,4 transcatheter embolization of renal cell cancers is a feasible alternative in patients who are not surgical candidates. Ethanol ablation is safe and prolongs survival in patients with unresectable renal cell carcinoma.5 In one report of 26 kidney transplant recipients with nonfunctioning grafts who underwent embolization as an alternative to graft nephrectomy, EPN developed in 1 patient, requiring nephrectomy.6
EPN also has been reported in a patient who was not diabetic but had a large renal tumor7 and in a patient with synchronous renal and ureteral tumors.8 It is unclear whether a renal mass itself is a risk factor for EPN, but EPN should be considered in the differential diagnosis in patients who have renal masses and acute or subacute symptoms.
Pasteurella species are small, coccoid, nonmotile, facultatively anaerobic, gram-negative rods that can colonize and infect wild and domestic animals. P multocida, the species most frequently isolated from clinical specimens of humans, can be found in many animal species, including cats and dogs. The organism colonizes the animal’s nasopharynx, gingiva, and GI tract. Because cats frequently lick their paws, their toenails also are colonized with this organism. Therefore, being bitten or scratched or being licked on broken skin by a cat may result in infection, including cellulitis, cutaneous abscess, and systemic infection.
Systemic complications that are associated with P multocida infection include septicemia, pneumonia, endocarditis, meningitis, arthritis, osteomyelitis, and peritonitis.9 Immunodeficiency states, such as Sweet syndrome,10 hairy cell leukemia,11 neutropenia,12 and HIV infection,13,14 have been associated with severe Pasteurella infections.
Urinary tract infections attributed to P multocida are extremely rare and are seen in patients with underlying genitourinary tract abnormalities involving malignancy. In addition, a urinary tract infection from exposure to a pet cat that was unrelated to a bite or scratch has been reported.15
Pasteurella species are generally susceptible to -lactam antibiotics. Although -lactamase production has been described, newer macrolides (ie, azithromycin and clarithromycin), tetracyclines, and quinolones may be effective. P multocida is resistant to clindamycin and amikacin, but it is moderately susceptible to other aminoglycosides. Penicillin preparations, such as phenoxymethyl penicillin (penicillin VK) and amoxicillin, are treatments of choice.9,16 For -lactamase–producing organisms, amoxicillin with clavulanate should be used. If the patient is allergic to penicillin, quinolones or tetracyclines can be used.
Unfortunately, our patient’s culture from urine drawn before antibiotic therapy was initiated was contaminated such that we were not able to document the presence of P multocida in the urine. His blood culture results were negative.
Transient bacteremia most likely developed in our patient after he had been bitten or scratched by a pet cat. This led to inoculation of the diseased kidney, which, in turn, resulted in EPN.
REFERENCES
1. Mydlo JH, Maybee GJ, Ali-Khan MM. Percutaneous drainage and/or nephrectomy in the treatment of emphysematous pyelonephritis. Urol Int. 2003;70:147-150.
2. Abdul-Halim H, Kehinde EO, Abdeen S, et al. Severe emphysematous pyelonephritis in diabetic patients: diagnosis and aspects of surgical management. Urol Int. 2005;75:123-128.
3. Wan YL, Lo SK, Bullard MJ, et al. Predictors of outcome in emphysematous pyelonephritis. J Urol. 1998;159:369-373.
4. Flanigan RC, Salmon SE, Blumenstein BA, et al. Nephrectomy followed by interferon alfa-2b compared with interferon alfa-2b alone for metastatic renal-cell cancer. N Engl J Med. 2001;345:1655-1659.
5. Onishi T, Oishi Y, Suzuki Y, Asano K. Prognostic evaluation of transcatheter arterial embolization for unresectable renal cell carcinoma with distant metastasis. BJU Int. 2001;87:312-315.
6. Atar E, Belenky A, Neuman-Levin M, et al. Nonfunctioning renal allograft embolization as an alternative to graft nephrectomy: report on seven years’ experience. Cardiovasc Intervent Radiol. 2003;26:37-39.
7. Lin CH, Huang JJ, Liu HL, et al. Renal cell carcinoma complicated by emphysematous pyelonephritis in a non-diabetic patient with renal failure. Nephron. 2002;92:227-229.
8. Wang MC, Tseng CC, Lan RR, et al. Double cancers of the kidney and ureter complicated with emphysematous pyelonephritis within the parenchyma of the renal tumour. Scand J Urol Nephrol. 1999;33:420-422.
9. Weber DJ, Wolfson JS, Swartz MN, Hooper DC. Pasteurella multocida infections. Report of 34 cases and review of the literature. Medicine (Baltimore). 1984;63:133-154.
10. Boivin S, Ségard M, Piette F, Delaporte E. Sweet syndrome associated with Pasteurella multocida bronchitis. Arch Intern Med. 2000;160:1869.
11. Athar MK, Karim MS, Mannam S, Ahmed M. Fatal Pasteurella sepsis and hairy-cell leukemia. Am J Hematol. 2003;72:285.
12. Gowda RV, Stout R. Pasteurella multocida infection in a post-chemotherapy neutropenic host following cat exposure. Clin Oncol (R Coll Radiol). 2002;14:497-498.
13. Moritz F, Martin E, Lemeland JF, et al. Fatal Pasteurella bettyae pleuropneumonia in a patient infected with human immunodeficiency virus. Clin Infect Dis. 1996;22:591-592.
14. Bastas A, Markou N, Botsi C, et al. Malakoplakia of the lung caused by Pasteurella multocida in a patient with AIDS. Scand J Infect Dis. 2002;34:536-538.
15. Liu W, Chemaly RF, Tuohy MJ, et al. Pasteurella multocida urinary tract infection with molecular evidence of zoonotic transmission. Clin Infect Dis. 2003;36:E58-E60.
16. Weber DJ, Hansen AR. Infections resulting from animal bites. Infect Dis Clin North Am.1991;5:663-680.