Emphysematous cholecystitis is a rare condition that is the result of infection with C perfringens and other gas-producing organisms including Escherichia coli, Bacteroides fragilis, and Klebsiella species.
A 68-year-old man with a history of hypertension and chronic obstructive pulmonary disease (COPD) presented to the emergency department with right hip pain and fever of 4 days’ duration. He was unable to bear weight on the right lower extremity and there was limited range of motion of the right hip secondary to pain. Vital signs were blood pressure, 136/85 mm Hg; pulse, 129 beats/min; temperature, 38°C (100.4°F); respiratory rate, 23/min; and oxygen saturation, 96% on room air.
The patient’s medications were fluticasone propionate/salmeterol, 250/50 µg, inhalation powder, twice daily; tiotropium bromide, 18 µg, inhalation powder, once daily; hydrochlorothiazide, 25 mg once daily; and prednisone, 5 mg daily. He had been hospitalized frequently during the past year for COPD exacerbations and multiple tapered-dose regimens of prednisone had been prescribed. The most recent course had been initiated 5 weeks before his current presentation and he had been taking the 5-mg daily dose for the past week.
Physical examination revealed an obese male in mild distress and diaphoresis. Abdominal examination revealed a soft and obese abdomen, normoactive bowel sounds, and no tenderness to palpation. Examination of the right hip found limited passive and active range of motion in all directions secondary to pain. Hip swelling and erythema were not present. Laboratory testing was significant for a white blood cell count of 18.5 x 103/µL, with 11% bands; erythrocyte sedimentation rate of 105 mm/h; and C-reactive protein level of 56 mg/dL. Blood and urine cultures were negative.

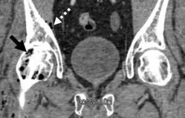
Figure 1. Sagittal image
A CT scan of the abdomen and pelvis revealed multiple foci of gas throughout the right femoral head (Figures 1 and 2, black arrows); gas extending along the right iliacus muscle (Figures 1 and 2, dashed white arrows) and an air-fluid level within the gallbladder lumen (Figure 1, solid white arrow) with peripheral gas in the wall (Figure 3, solid white arrow). Culture of the hip bone was positive for Clostridium perfringens and confirmed a diagnosis of emphysematous cholecystitis (EC) caused by C perfringens with spread to the right hip.


Treatment with IV piperacillin/tazobactam was started. He underwent emergent right hip debridement and subsequent laparoscopic cholecystectomy. When cultures from the hip bone returned positive for C perfringens, antibiotic treatment was switched to IV clindamycin and continued for a total of 6 weeks. Gallbladder pathology was consistent with gangrenous cholecystitis and showed evidence of rod-shaped organisms (Figure 4). Gram stain of gallbladder tissue revealed boxcar–shaped, gram-positive rods. Four surgical debridements of the right hip were required during a 2-week period. Repeated hip bone cultures obtained 1 month after diagnosis were negative for infection. He was discharged after 37 days to a rehabilitation facility.

Figure 4.
The patient’s ongoing use of prednisone to treat COPD exacerbations had most likely compromised his immunity, which, in turn, increased his risk for infection with gas-forming organisms and led to a blunted pro-inflammatory response.
Although their clinical efficacy is unclear and they may cause serious adverse effects, systemic glucocorticoids are a standard treatment for patients hospitalized with exacerbations of COPD.1 Use of these agents leads to early modest improvments in spirometric parameters and marginal reductions in length of hospital stay.1 Resarch has found that a 2-week course of oral prednisolone is as effective as longer courses for exacerbations.1
Discussion
EC is a rare condition that is the result of infection with C perfringens and other gas-producing organisms, including Escherichia coli, Bacteroides fragilis, and Klebsiella species. Obstruction of the cystic duct with gallstones and ischemic changes in the cystic artery related to arteriosclerosis, hypertension, and diabetes have been suggested as causes of infection with gas-forming organisms in the gallbladder wall.2 EC commonly presents in men with a mean age of 59 years, in patients with type 2 diabetes mellitus, and in patients with biliary stones.3 Patients typically present with fever, right upper quadrant abdominal pain, nausea, and vomiting. Our patient was atypical, presenting with no abdominal pain or peritoneal signs, no biliary stones, and no history of type 2 diabetes mellitus. He was only mildly febrile and tachycardic.
EC evolves to gangrenous cholecystitis in 75% of cases and, once gangrenous cholecystitis is present, perforation of the gallbladder is inevitable.3 Untreated EC may also progress to soft tissue gangrene caused by hematogenous spread of microorganisms to muscles.4 The disorder can result in septic shock and carries a mortality rate of 15% to 25%.5
In this case, hematogenous spread of C perfringens resulted in gas along the right iliacus muscle and in the right hip. EC should be included in the differential diagnosis when an unknown source of infection with gas-producing organisms is present despite the absence of abdominal symptoms. Prompt diagnosis of EC is critical and the standard treatment is emergent cholecystectomy, either open or laparoscopic. If cholecystectomy is contraindicated, percutaneous cholecystectomy and broad-spectrum antibiotics is an alternative treatment.
Treatment of septic hip from gas-forming agents consists of antibiotics, surgical debridement, and supportive measures. Prompt debridement of affected tissue is mandatory to improve survival, preserve limbs, and prevent complications.6 Patients may require multiple surgical debridements over the course of several days. Antibiotic agents with excellent in vitro activity against C perfringens include clindamycin, metronidazole, and penicillin.6,7
References
1. Wedzicha JA. Oral corticosteroids for exacerbations of chronic obstructive pulmonary disease. Thorax. 2000;55(Suppl 1):S23-S27.
2. Kanehiro T, Tsumura H, Ichikawa T, et al. Patient with perforation caused by emphysematous cholecystitis who showed flare on the skin of the right dorsal lumbar region and intraperitoneal free gas. J Hepatobiliary Pancreat Surg. 2008;15:204-208.
3. Garcia-Sancho Tellez L, Rodriguez-Montes JA, Fernandez de Lis S, Garcia-Sancho Martin L. Acute emphysematous cholecystitis. Report of 20 cases. Hepatogastroenterology. 1999;46:2144-2148.
4. Safioleas M, Stamatakos M, Kanakis M, et al. Soft tissue gas gangrene: a severe complication of emphysematous cholecystitis. Tohoku J Exp Med. 2007;213:323-328.
5. Mentzer RM Jr, Golden GT, Chandler JG, Horsley JS 3rd. A comparative appraisal of emphysematous cholecystitis. Am J Surg. 1975;129:10-15.
6. Lorber B. Gas gangrene and other Clostridium-associated diseases. In: Mandell GL, Bennett JE, Dolin R, eds. Principles and Practice of Infectious Diseases. 6th ed. Philadelphia: Churchill Livingstone; 2005:2828.
7. Stevens DL, Maier KA, Laine BM, Mitten JE. Comparison of clindamycin, rifampin, tetracycline, metronidazole, and penicillin for efficacy in prevention of experimental gas gangrene due to Clostridiumperfringens. J Infect Dis. 1987;155:220.