A 71-year-old man was admitted to the MICU for weaning from mechanical ventilation. The history revealed a global decline over the previous 3 to 4 weeks predominated by cognitive impairment, mood swings, somnolence, and limb weakness. No respiratory symptoms were noted.
Case Presentation
A 71-year-old man was transferred to the medical intensive care unit (MICU) from another facility for weaning from mechanical ventilation. The original presenting symptoms were constitutional (fatigue, malaise, and a 15-lb weight loss) and neurologic (dizziness, syncope, and progressive weakness).
The history revealed a condition that had become progressively worse over 3 to 4 weeks, predominated by cognitive impairment, mood swings, somnolence, and limb weakness. No respiratory symptoms were noted.
On admission to the MICU, the patient was somnolent and comfortable. Examination of the lungs and heart was normal. Cranial nerve function was intact but rotatory nystagmus was noted. Muscle tone was decreased globally; power was reduced significantly in the arms and legs, and tendon reflexes were absent and sensation diminished in the legs. It was difficult to ascertain sensory level. Fatigability was not elicited with ocular muscles or handgrip.
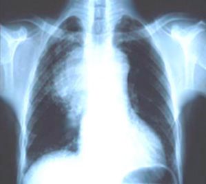
Chest films obtained at the primary medical facility showed a mass in the right lung field (Figure). MRI and CT scans of the head had found no abnormalities. CT scan of the chest revealed an incidental mediastinal mass. Bronchoscopic biopsy revealed limited-stage small-cell lung cancer (SCLC).

Figure.
At the referring facility, the patient received one cycle of chemotherapy with cisplatin and etoposide. During the stay he appeared extremely lethargic and sleepy, symptoms not thought to be treatment-related. Examination found numbness and parasthesia in the hands and feet and hand tremors. The patient experienced a generalized tonic-clonic seizure during which he was intubated. When extubated, he experienced acute hypercapnic respiratory failure, was placed back on ventilation, and was transferred for management.
Difficulty in weaning this patient from mechanical ventilation was one feature of a failing neurologic state that included altered sensorium, somnolence, seizure, and signs of peripheral neuropathy-ventilatory failure and lower motor neuron disease.
MRI and CT imaging of the brain found no structural etiology. Electromyography showed diffuse sensory and motor axonal degeneration. Assays of serum and cerebrospinal fluid (CSF) were found mildly positive for anti-Hu antibody.
What is causing the patient’s neurologic weakness?Answer on Next Page…
Answer:Paraneoplastic syndrome associated with SCLC and the presence of anti-Hu antibody.
Discussion
Paraneoplastic disease (PND) is a rare complication of neoplasia; it occurs in about 0.01% of cancer patients. Among patients with SCLC, however, the rate of PND is higher: in approximately 3% to 4% of these patients, a paraneoplastic syndrome of the nervous system develops (Table 1).1 The most common is Lambert-Eaton myasthenic syndrome.
ANNA, antineuronal antibody; PEM, paraneoplastic encephalomyelitis; PCD, paraneoplastic cerebellar degeneration; PSN, paraneoplastic sensory neuronopathy; VGCC, voltage-gated calcium channel.
Adapted from Bataller L, Dalmau JO. Semin Neurol. 2004.7
Other areas of the nervous system are also vulnerable in patients with SCLC. The 2 other complex disabling syndromes seen most frequently are paraneoplastic encephalomyelitis (PEM) and paraneoplastic sensory neuronopathy (PSN). PEM is characterized by neuronal loss and inflammatory infiltrates in particular areas of the nervous system. The location and severity of the tissue damage predicts the clinical presentation that may involve one area of the nervous system or, more frequently, multiple areas. Clinical onset is subacute; severe neurologic dysfunction appears before SCLC is detected in more than 70% of cases.2 Symptoms of PEM include changes in mood, behavior, and memory; cognitive impairment and hypothalamic dysfunction; and disordered sleep.
PSN manifests as parasthesia, impaired appreciation of pain and temperature, and impaired proprioception. Motor neuron disease, both upper and lower, has also been described. Autonomic dysfunction is less common but can present as hypothermia, hypoventilation, sleep apnea, and intestinal pseudo-obstruction.
Anti-Hu (Antineuronal) Antibodies
Despite this diverse clinical profile, many patients harbor the anti-Hu, or antineuronal, antibody 1.3 The “Hu” antigens are crucial for the development and maintenance of the neuronal phenotype. The pathogenic role of the Hu antibody in paraneoplastic syndromes is unclear. No direct evidence links the antibody to neuronal damage.2 Nonetheless, a high titer of Hu antibody is a recognized marker for PEM/PSN. These antibodies are not detected in healthy persons or in patients with other neurologic diseases.4 Hu antibodies have a reported specificity of 99% and sensitivity of 82% for paraneoplastic neurologic syndromes.5
The neurologic dysfunction seen in PEM/PSN is thought to be the result of atypical activity of a polyclonal antibody-primarily IgG1-which initially is produced to control tumor growth. Hu antibody production is most often triggered by an underlying and undetected SCLC. The neoplasia is typically in an early stage and aberrantly expresses the native antigen or an antigenically indistinguishable epitope.6 A cytotoxic T-lymphocyte response to neuronal tissue may be the mediating mechanism.
Paraneoplastic disease can affect any part of the nervous system. Even if the symptoms have a “classic” presentation, diagnosis is challenging. The discovery of an occult neoplasm in association with a specific neurologic syndrome is confirmatory. CSF studies exclude other disorders that may mimic paraneoplastic disease, such as infection or malignancy.7
Antineuronal antibodies, including Hu, are not always present in patients with paraneoplastic disease. Consequently, diagnostic criteria take into account the type of neurologic syndrome, type of antineuronal antibody, and the presence or absence of cancer (Table 2).6 The antibody can be detected in the serum and CSF with immunoblot and immunohistochemistry (the former is the most sensitive and specific technique).
There are no established protocols to treat anti-Hu–associated paraneoplastic disease. Current tactics include chemotherapy to remove the antigen manufactured by the tumor and immunosuppression/immunomodulation. Therapeutic response to both is poor, however, particularly in patients with PEM. Spontaneous remission is rare.4 Severe disability at presentation predicts poor response to treatment and a poor outcome.
Because a tumor may elude detection-often not discovered until autopsy-carcinomas associated with paraneoplastic disease have been regarded as indolent. It may be that the development of neurologic symptoms prompts an earlier surveillance for an underlying tumor. Prospective study, however, shows that low Hu antibody titers correlate with limited tumor stage, response to chemotherapy, and longer survival.8
Roughly two-thirds of patients with SCLC and PEM who have anti-Hu antibodies die of neurologic disease compared with 10% of those who are antibody-negative.2 This creates a paradox in that the outlook is poor for patients with anti-Hu antibodies despite the indolent behavior of the tumor. Consequently, some suggest that despite poor performance status, antineoplastic/immunosuppressive treatment should be considered for these patients.
Case Outcome
The underlying PND in this case was identified as PEM/PSN, characterized by altered mood and cognitive function, and signs of peripheral neuropathy in the presence of lung cancer and a positive anti-Hu antibody. The patient was treated with 3 more cycles of cisplatin and etoposide and with corticosteroids. Within a few weeks, the mediastinal mass was undetectable on radiographs. Dramatic neurologic improvements were observed, including heightened wakefulness, orientation, interaction with family, and successful extubation. Strength in the upper and lower extremities improved markedly.
Teaching Points
1. Extracranial causes of altered sensorium are important to keep in mind when assessing a confused or delirious patient.
2. Lung cancer may present with primarily neurologic symptoms as part of a paraneoplastic syndrome.
3. Chest radiograph may provide useful information when a patient is confused and no other obvious cause is found.
References
1. Darnell RB, Posner JB. Paraneoplastic syndromes involving the nervous system. N Engl J Med. 2003;349:15431544.
2. Graus F, Keime-Guibert F, Rene R, et al. Anti-Hu associated paraneoplastic encephalomyelitis: analysis of 200 patients. Brain. 2001;124:1138-1148.
3. King PH, Redden D, Palmgren JS, et al. Hu antigen specificities of ANNA-1 autoantibodies in paraneoplastic neurological diseases. J Autoimmun. 1999;13:435-443.
4. Voltz RD, Posner JB, Dalmau J, Graus F. Paraneoplastic encephalomyeltitis: an update of the effects of the anti-Hu immune response on the nervous system and tumour. J Neurol Neurosurg Psychiatry. 1997;63:133-136.
5. Senties-Madrid H, Vega-Boada F. Paraneoplastic syndromes associated with anti-Hu antibodies. Isr Med Assoc J. 2001;3:94-103.
6. Rosenblum MK. Paraneoplasia and autoimmunologic injury of the nervous system: anti-Hu syndrome. Brain Pathol. 1993;3:199-212.
7. Bataller L, Dalmau JO. Paraneoplastic disorders of the central nervous system: update on diagnostic criteria and treatment. Semin Neurol. 2004;24:461-471.
8. Graus F, Dalmau J, Rene R, et al. Anti-Hu antibodies in patients with small-cell cancer: association with complete response to therapy and improved survival. J Neurooncol. 1996;30:129.