We present the case of a 55-year-old man with AIDS who had disseminated Mycobacterium avium-intracellulare (MAI) infection who was nonadherent to antiretroviral treatment and prophylaxis for opportunistic infections.
Since the onset of the HIV epidemic, Mycobacterium avium-intracellulare (MAI) infection has emerged as a major cause of morbidity. The introduction of highly active antiretroviral therapy has improved patient survival despite severe immunosuppression. As the HIV population ages, unusual clinical manifestations of MAI disease are being observed.1
Cutaneous MAI infection is uncommon, and it is not easily differentiated from other chronic skin lesions.2 Most often, cutaneous MAI infection results from trauma, surgery, or needle injection. When present in immunocompromised persons, cutaneous lesions are usually manifestations of disseminated MAI infection.3 CNS involvement with MAI is rare.4 We present a case of cutaneous MAI infection in a person with AIDS who had possible CNS involvement.
CASE SUMMARY
A 55-year-old white man with a history of diabetes, hypertension, alcohol abuse, and untreated hepatitis C virus infection with cirrhosis was admitted to our hospital with altered mental status. HIV infection had been diagnosed 3 months previously, at which time his CD4+ cell count was 4/µL (1%) and HIV RNA level was 114,000 copies/mL. A fixed-dose combination of emtricitabine/tenofovir and lopinavir/ritonavir was prescribed for his HIV infection, and he was given trimethoprim/sulfamethoxazole and azithromycin prophylaxis for Pneumocystis jiroveci and MAI infection, respectively; however, he was lost to follow-up. On admission, he confirmed that he never took these medications. At the time of admission, his CD4+ cell count was 5/µL and his HIV RNA level was 115,000 copies/mL.
Physical examination findings were significant for obesity, grade 2 hepatic encephalopathy, and oral thrush. The patient was afebrile and did not have any skin lesions or focal neurological deficits on presentation. Laboratory tests revealed the following values: peripheral leukocyte count, 6800/µL (normal, 4500 to 11,000); hemoglobin, 10.4 g/dL (normal, 14 to 18); hematocrit, 31.4% (normal, 40 to 52); platelet count, 104,000/µL (normal, 130,000 to 450,000); aspartate aminotransferase, 205 U/L (normal, 5 to 34); alanine aminotransferase, 109 U/L (normal, 7 to 32); alkaline phosphatase, 146 U/L (normal, 40 to 150); ammonia, 44.1 µmol/L (normal, 0 to 35); and creatinine, 3.5 mg/dL (normal, 0.5 to 1.5). Treatment with lactulose and intravenous fluids led to improvement of his mental status.
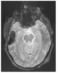
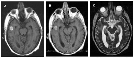
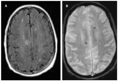
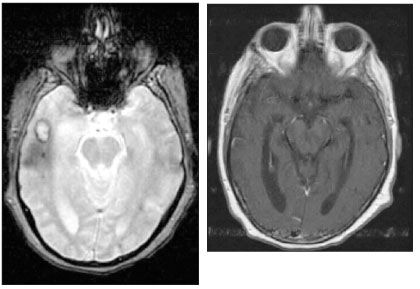
On the third hospital day, gadolinium MRI of the brain performed to evaluate anisocoria revealed a dominant 1.1 x 1.7-cm lesion with surrounding edema. Heme-sensitive sequencing demonstrated susceptibility artifacts around the lesion in the right temporal lobe consistent with associated hemorrhage (Figure 1). Subtle enhancement was also present, although no intense enhancement for pre-T1 hyperintense characteristics was seen (Figure 2, A and B). This dominant lesion was hyperintense on T2-weighted images consistent with surrounding edema and central hypointensity (Figure 2, C). This lesion also showed a smaller internal area of T2 hyperintensity that was not hyperintense on T1-weighted images. In addition, multiple tiny hemorrhagic lesions without marked edema were scattered throughout the cerebral white matter, notably in the corticomedullary junctions (Figure 3, A and B).

Figure 1. Gradient axial MRI scan of the brain revealing a 1.1 x 1.7-cm hemorrhagic mass in the right temporal lobe with surrounding edema and associated hemorrhage.

Figure 2.Axial brain MRI scan without and with gadolinium demonstrating subtle enhancement (A, B). Axial brain MRI scan demonstrating a T2 hyperintense mass consistent with edema and central hypointensity (C).

Figure 3.Axial fluid-attenuated inversion recovery (FLAIR) brain MRI scan demonstrating peripheral tiny lesions without marked edema (A). Axial gradient brain MRI scan with associated hemorrhage around the peripheral tiny lesions (B).
CT of the chest and abdomen showed splenomegaly but no typical adenitis or enlarged nodes. There were small nodes in the mediastinum and retroperitoneum but no associated low-density changes or enlargement. In the setting of hepatitis C-related cirrhosis, splenomegaly was thought to be nonspecific, although possibly related to MAI infection. Cerebrospinal fluid (CSF) analysis showed normal cell counts and protein and glucose levels. Treatment with pyrimethamine and sulfadiazine was started empirically for CNS toxoplasmosis.
Two days later, multiple (more than 20) subcutaneous lesions appeared synchronously over a 24-hour period on the patient’s lower extremities (Figure 4). These lesions were discrete, nonfluctuant, tender, and erythematous nodules with a maximum diameter of 3 cm, seen predominantly on his shins and buttocks. No stigmata of peripheral embolization or peripheral lymphadenopathy were observed.

Figure 4. Multiple erythematous subcutaneous nodules ranging in size from 0.5 to 3 cm.
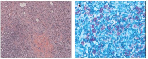
A skin biopsy was performed. Investigation into a hospitalization at an outside institution 1 month previously for similar complaints revealed that the patient had a blood culture positive for MAI, which ultimately grew a few days before this current hospital admission. Given this new data, treatment with clarithromycin, ethambutol, and rifabutin was started the same day of the biopsy. Histological examination of the skin biopsy specimen completed the next day revealed granulomatous panniculitis (Figure 5, A) and a positive stain for acid-fast bacilli (Figure 5, B).

Figure 5.Histological examination of the skin biopsy specimen revealing granuloma formation with surrounding polymorphonuclear cells (hematoxylin and eosin stain, original magnification x10) (A). Skin biopsy specimen revealing eosinophilic-appearing acid-fast bacilli (AFB)-positive organisms; a culture was positive for Mycobacterium avium-intracellulare (AFB stain, original magnification x40) (B).
Subsequent cultures of these lesions grew MAI 1 week later; 3 separate blood cultures for acid-fast bacilli drawn at our institution on admission grew MAI 2 weeks later. Because MAI was identified in blood cultures and in skin biopsy specimens, a bone marrow biopsy was not performed. By the third day following initiation of therapy for MAI infection, a dramatic decrease in the size of the skin lesions was seen, and no new lesions appeared.
Test results for serum Toxoplasma antibodies, blood Cryptococcus antigen, blood cytomegalovirus (CMV) (using polymerase chain reaction [PCR]), urine Histoplasma antigen, and Bartonella titers were all negative, as were CSF bacterial, mycobacterial, and fungal stains and cultures. Results of CSF PCR for Epstein-Barr virus and Toxoplasma were also negative.
Follow-up brain MRI performed 2 weeks later while the patient was receiving therapy for both Toxoplasma and MAI infections demonstrated a decrease in the size of the lesions and surrounding edema (Figure 6); a brain biopsy was therefore not pursued. Within 2 months, serial MRI scans showed complete resolution of the brain lesions except for residual hemorrhagic changes (Figure 7), and the patient’s skin lesions had not recurred. Because the patient was being treated for an opportunistic infection and he had never taken his original antiretroviral regimen, the same regimen was finally started.

Figure 6.Axial gradient brain MRI scan demonstrating a decrease in the size of the lesion and surrounding edema after 2 weeks of therapy. Figure 7.Axial gadolinium brain MRI scan demonstrating resolution of lesion in the right temporal lobe 2 months after the patient started therapy.
DISCUSSIONMycobacterium avium-intracellulare is classified as Runyon group III, non-chromogenic mycobacteria.2 MAI has been isolated from various environmental sources, such as water, soil, and house dust, and agricultural sources, such as dairy products and animal tissues, but it is rarely identified as a cause of disease. Cutaneous MAI lesions can be a manifestation of disseminated disease (most common), a direct extension from underlying tissue, and rarely a primary infection.
Primary infection occurs in immunosuppressed patients secondary to cancer or long-term corticosteroid therapy but can occasionally be found in immunocompetent patients.5-9 Our patient had multiple comorbidities that may have played a role, particularly his cirrhosis and his HIV disease, in his susceptibility to CNS MAI lesions. MAI can involve the lungs, bone marrow, lymph nodes, liver, spleen, and GI tract.10,11 Cutaneous involvement by MAI secondary to disseminated infection most commonly occurs in persons with HIV/AIDS and in other immunocompromised hosts.3,9,12 MAI can cause a wide variety of lesions in the skin in approximately 20% of cases of disseminated infection13,14; these lesions can include folliculitis, nodules, soft tissue swelling, ulcerations, panniculitis, abscesses, and erythematous lesions with or without granulomas.10
A diagnosis of MAI infection is established by growing the organism in culture. Speciation is carried out by PCR DNA hybridization techniques. Results of tissue staining for acid-fast bacilli are often negative. Histiocytic inflammation without granulomas is a common finding in cutaneous MAI lesions.3 Typical histopathological features of a tuberculous infection (ie, epitheloid granulomas with central caseation necrosis) are often not present in persons who have profound cellular immunodeficiency, such as those with advanced HIV disease.9 In our patient, the finding on light microscopy that we could attribute to MAI infection was the abundance of histiocytes, many of which contained mycobacteria (Figure 3).
The rapidity of onset and the lower limb distribution in our patient were not typical of cutaneous MAI infection nor was his rapid response to therapy. Although cutaneous MAI infections usually respond slowly to treatment,15 a similarly dramatic response has been reported by Clark and Margolis.12 Perhaps the absence of organizing granulomas in our patient’s lesions allowed for optimal tissue penetration of the antimycobacterial agents we used in his treatment.
The patient’s skin lesions were clearly mycobacterial, but the presence of coexistent CNS lesions with negative results on ancillary tests prompted a diagnostic challenge and raised suspicion that the brain lesions may also be caused by MAI, even though CNS involvement by MAI is uncommon.4 As reviewed by Wallace,16 the vast majority of non-tuberculous mycobacterial infections of the CNS in HIV-infected patients can be attributed to MAI. In persons with symptoms (typically meningoencephalitis), CSF findings usually demonstrate mild pleocytosis, normal glucose and high-normal protein levels, and brain CT findings that range from normal presentation to evidence of hypodense or contrast-enhancing lesions.16
Lymphoma, cavernoma, or amyloid deposition in the CNS remained possibilities, but treatment and further workup for these were dependent on clinical improvement or deterioration of more rapidly progressive disorders for which more immediate therapy is warranted.
Given the results of ancillary tests, the location of the lesions on the MRI scan, and the improvement of his skin and brain lesions in the absence of specific therapy for histoplasmosis, bacillary angiomatosis, CMV infection, and cryptococcal or tuberculous meningoencephalitis, the only other competing diagnosis was toxoplasmosis based on the multiplicity and edema of the lesions seen on the MRI scan. In most cases, tests for IgG antibodies reliably establish the presence or absence of this infection, but our patient was seronegative for Toxoplasma antibodies, making toxoplasmosis seem less likely. Moreover, the lesions seen on the MRI scan of his brain were not entirely consistent with toxoplasmosis because there was a lack of lesions in the basal ganglia.17
Given the absence of absolute confirmation by brain biopsy, the patient’s profound immunosuppression imparting a higher risk of coexistent opportunistic infections, and his relative clinical instability in the initial months of his illness, we were hesitant to discontinue therapy for toxoplasmosis despite the negative predictive value of this evidence. Because treatments were started for toxoplasmosis and MAI infection within a week of each other, the therapeutic response observed could have been due to either regimen, but the response was more likely related to both the MAI treatment (for the reasons given above) and the fact that the cutaneous lesions presented 2 days after specific toxoplasmosis treatment.
At present, the standard agents for treatment of pulmonary or disseminated MAI disease appear to be the best available agents for MAI CNS disease. Clarithromycin, rifampin, and ethambutol penetrate relatively well into the CNS. When meninges are inflamed, aminoglycosides and the newer quinolones penetrate into the CNS only to a limited extent.16
A probable delay in specific therapy for our patient’s brain lesions would have occurred had he not presented fortuitously with cutaneous lesions as well. In the presence of skin findings, particularly in patients with coexistent brain lesions, early histological examination can prove fruitful. Clinicians should have a low threshold to perform a biopsy of suspicious lesions in persons with HIV/AIDS when competing diagnoses are uncertain. Given the protean nature of MAI infections, they should be considered in the differential diagnosis of skin and brain lesions in patients who have advanced HIV disease.
No potential conflict of interest relevant to this manuscript was reported by the authors.
References
1.
Horsburgh CR Jr.
Mycobacterium avium
complex infection in the acquired immunodeficiency syndrome.
N Engl J Med.
1991;324:1332-1338.
2.
Gordin FM, Horsburgh CR.
Mycobacterium avium
complex. In: Mandell GL, Bennett JE, Dolin R. eds.
Principles and Practice of Infectious Diseases.
6th ed. Philadelphia: Elsevier Churchill Livingstone; 2005:2897-2909.
3.
Sagerman PM, Relman DA, Niroomand F, Niedt GW. Localization of
Mycobacterium avium-intracellulare
within a skin lesion of bacillary angiomatosis in a patient with AIDS.
Diagn Mol Pathol.
1992;1:212-216.
4.
Fletcher VP, Schliep T, Schicchi J, Sadr WE. Central nervous system
Mycobacterium tuberculosis
and
Mycobacterium avium
complex infection in an HIV-positive patient. 14th International AIDS Conference; July 7-12, 2002; Barcelona, Spain. Abstract A10056.
5.
Kullavanijaya P, Sirimachan S, Surarak S. Primary cutaneous infection with
Mycobacterium avium intracellulare
complex resembling lupus vulgaris.
Br J Dermatol.
1997;136:264-266.
6.
Kakinuma H, Suzuki H.
Mycobacterium avium
complex infection limited to the skin in a patient with systemic lupus erythematosus.
Br J Dermatol.
1994;130:785-790.
7.
Cole GW, Gebhard J.
Mycobacterium avium
infection of the skin resembling lepromatous leprosy.
Br J Dermatol.
1979;101:71-74.
8.
Sugita Y, Ishii N, Katsuno M, et al. Familial cluster of cutaneous
Mycobacterium avium
infection resulting from use of a circulating, constantly heated bath water system.
Br J Dermatol.
2000;142:789-793.
9.
Bachelez H, Ducloy G, Pinquier L, et al. Disseminated varioliform pustular eruption due to
Mycobacterium avium intracellulare
in an HIV-infected patient.
Br J Dermatol.
1996;134:801-803.
10.
Friedman BF, Edwards D, Kirkpatrick CH.
Mycobacterium avium-intracellulare
: cutaneous presentations of disseminated disease.
Am J Med.
1988;85:257-263.
11.
Inwald D, Nelson M, Cramp M, et al. Cutaneous manifestations of mycobacterial infection in patients with AIDS.
Br J Dermatol.
1994;130:111-114.
12.
Clark J, Margolis DM. A cutaneous lesion in a patient with AIDS: an unusual presentation of infection due to
Mycobacterium avium
complex.
Clin Infect Dis.
1993;16:555-557.
13.
Lugo-Janer G, Cruz A, Sanchez JL. Disseminated cutaneous infection caused by
Mycobacterium avium
complex.
Arch Dermatol.
1990;126:1108-1110.
14.
Wolinsky E. Nontuberculous mycobacteria and associated diseases.
Am Rev Respir Dis.
1979;119:107-159.
15.
Hautmann G, Lotti T. Atypical mycobacterial infections of the skin.
Dermatol Clin.
1994;12:657-668.
16.
Wallace R. Infections due to nontuberculous mycobacteria. In: Scheld W, Whitley R, Marra C, eds.
Infections of the Central Nervous System.
3rd ed. Philadelphia: Lippincott Williams & Wilkins; 2004:461-478.
17.
Dina TS. Primary central nervous system lymphoma versus toxoplasmosis in AIDS.
Radiology
. 1991;179:823-828.