Neuroarthropathy, mucormycosis, necrobiosis lipoidica, diabetic myonecrosis, hypertriglyceridemia, papillomatosis, perleche-these visual presentations cover a range of diabetes-related problems.

Case 1:
A patient with a chronic Charcot foot has the typical “rocker bottom foot” with a noninfected neuropathic ulcer on the bottom of the midfoot resulting from increased pressure from ambulation. There is increased hyperkeratotic skin seen around the ulcer from walking.
Charcot neuroarthropathy most often affects persons with diabetes. Misdiagnosing or overlooking the disorder is easy because the initial signs often are subtle and misinterpreted. The consequences include ulceration, infection, loss of mobility and limb, and an early demise.
The main reason why clinicians do not recognize Charcot neuroarthropathy is that the clinical presentation often is similar to that of more common conditions, such as cellulitis and osteomyelitis, both of which are well documented among patients with diabetes.
Early diagnosis of Charcot foot is critical to preventing the long-term consequences. Charcot neuroarthropathy should be considered in all patients with diabetes who have peripheral neuroarthropathy and present with leg or foot edema, erythema, and increased skin temperature.
Case and photo courtesy of Jackie Pham, PMS-IV, Bora Rhim, DPM, and Jonathan Labovitz, DPM
NEXT CASE »
For the discussion, click here.

Case 2:
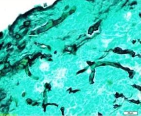
A 67-year-old woman presented with delirium resulting from diabetic ketoacidosis. She also had headache, facial pain, nasal congestion, left eye pain, and blurry vision. Her past medical history was significant for type 2 diabetes.
A CT scan of the patient’s head and histopathology using Gomori methenamine-silver nitrate stain, shown here, supported a diagnosis of rhinocerebral mucormycosis.
Mucormycosis often occurs in patients with diabetes, especially in the presence of diabetic ketoacidosis. It may be the first manifestation of undiagnosed diabetes. Rhinocerebral mucormycosis is the most common form of mucormycosis in patients with diabetes.
Early diagnosis of mucormycosis is challenging but vital because delayed treatment clearly worsens outcomes. Physicians should be aware of specific fungal infections complicating simple conditions, such as sinusitis in patients with diabetes. New-onset diabetic ketoacidosis in a patient with type 2 diabetes with sinus symptoms should be a red flag.
Case and image provided by Evangeline Ndigwe, MD, Julie Hare, MD, Dean Gianakos, MD, and Scholastica Obiorah, BSc
NEXT CASE »
For the discussion, click here.

Case 3:
A 34-year-old morbidly obese man with diabetes had multiple rather rapidly appearing lesions on both feet. A review of systems disclosed polyphagia, polydipsia, and polyuria. The lesions were composed of yellowish, firm plaques with large telangiectasia coursing over the top. There was no associated scaling. This morphology is typical for necrobiosis lipoidica, a disorder that favors the feet and forelegs.
About 70% to 80% of patients with necrobiosis lipoidica have diabetes. However, necrobiosis lipoidica develops in only 0.3% of persons with diabetes.
Case and image provided by Ted Rosen, MD
NEXT CASE »
For the discussion, click here.

Case 4:
A 50-year-old African American woman with type 2 diabetes and hypertension was admitted with bilateral knee and thigh pain and swelling of both knees. MRI showed extensive edema in the distal thigh and gastrocnemius muscles and in subcutaneous fat. Fluid was seen at the short head of the left biceps femoris. The findings were consistent with diabetic myonecrosis (DMN).
This rare complication of uncontrolled diabetes should be suspected in patients with type 2 diabetes who present with thigh pain or knee effusions. Early diagnosis can minimize unnecessary and potentially harmful interventions.
DMN is a clinical diagnosis, although MRI can reveal extensive edema of the muscles and subcutaneous tissues. The diagnostic probability is increased in patients with type 2 diabetes who show no clinical signs of infection.
The long-term prognosis for a patient with DMN is similar to that for a patient with type 2 diabetes who has had a myocardial infarction.
Case and image courtesy of Cuc Mai, MD
NEXT CASE »
For the discussion, click here.

Case 5:
A 57-year-old obese woman with known and poorly controlled type 2 diabetes presented with the sudden onset of “yellow bumps all over.” Representative lesions on the elbows are shown. This history and clinical picture are nearly pathognomonic for eruptive xanthomas, or xanthomata.
Such lesions typically erupt as crops of small, red-yellow papules, most often on the buttocks, shoulders, arms, and legs. They may be tender or pruritic. Eruptive xanthomas are a sign of primary or secondary hypertriglyceridemia.
Most cases of hypertriglyceridemia are seen in conjunction with diabetes. If the patient is not already known to be diabetic, glucose intolerance should be strongly suspected and investigated.
Case and image provided by Ted Rosen, MD
NEXT CASE »
For the discussion, click here.

Case 6:
This obese 18-year-old has a brown, scaly rash that over 4 years spread from his neck, where it developed, to his chest and back. His obesity has been an issue since early childhood. He has no family history of similar skin changes or diabetes.
A skin biopsy specimen showed papillomatosis, acanthosis, and increased melanin. The rash’s morphological similarity to acanthosis nigricans and the history of obesity suggest confluent and reticulated papillomatosis.
According to one theory, the association with obesity and puberty and the rash’s morphological similarity to acanthosis nigricans suggest that diabetes is the cause. However, findings from an evaluation for an endocrine disorder are almost always normal.
One clinical approach to the management of confluent and reticulated papillomatosis is to investigate for diabetes and thyroid disease and initiate appropriate therapy.
NEXT CASE »
For the discussion, click here.

Case 7:
A 66-year-old woman presented with pruritic, burning skin “lesions” at the corners of her mouth. The appearance of symptomatic red patches and plaques at the lateral labial commissures is perleche, an accompanying sign of diabetes.
Perleche most often is the result of localized overgrowth of Candida albicans.
Drooping at the corners of the mouth-a result of normal atrophy of the maxillary bone that accompanies aging-facilitates accumulation of yeast forms in this area.
Case and image provided by Ted Rosen, MD
AI-Powered Diabetes Prevention Program Intervention Matches Human Coaching in Landmark Trial
October 27th 2025After 1 year of coaching by the AI app or a DPP-associated coach, reductions in weight and HbA1c and increases in physical activity were equal, an outcome with great promise for scalability.