
Diabetes has numerous signs, symptoms, comorbidities, and complications. Test your knowledge of this complex condition.

Question 1:
A 34-year-old morbidly obese man with diabetes mellitus was concerned about multiple lesions on both feet that were appearing rather rapidly. A review of systems disclosed polyphagia, polydipsia, and polyuria. The lesions are composed of yellowish, firm plaques with large telangiectasia coursing over the top. There is no associated scaling.
NEXT QUESTION »
For the discussion, click here.
 

Question 2:
A 66-year-old woman presented with pruritic, burning skin “lesions” at the corners of her mouth. The appearance of symptomatic red patches and plaques at the lateral labial commissures is perleche, an accompanying sign of diabetes mellitus.
NEXT QUESTION »
For the discussion, click here.
 

Question 3:
A 50-year-old African American woman with type 2 diabetes mellitus and hypertension had bilateral knee and thigh pain and swelling of both knees. MRI showed extensive edema in the distal thigh and gastrocnemius muscles and in subcutaneous fat. Fluid was seen at the short head of the left biceps femoris. The findings were consistent with diabetic myonecrosis (DMN).
NEXT QUESTION »
For the discussion, click here.
For the answer, click here.
 

Question 4:
A 57-year-old obese woman with known and poorly controlled type 2 diabetes mellitus presented with the sudden onset of “yellow bumps all over.” This history and clinical picture are nearly pathognomonic for eruptive xanthomas, or xanthomata. Such lesions typically erupt as crops of small, red-yellow papules, most often on the buttocks, shoulders, arms, and legs. They may be tender or pruritic.
NEXT QUESTION »
For the discussion, click here.
 

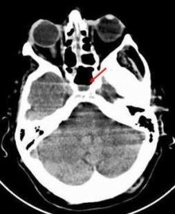
Question 5:
A 67-year-old woman presented with delirium resulting from diabetic ketoacidosis and complained of headache, facial pain, nasal congestion, left eye pain, and blurry vision. Her past medical history was significant for type 2 diabetes mellitus. A CT scan of her head shows general swelling of the turbinates with maxillary congestion and air-fluid level on the ethmoidal sinus. The diagnosis was rhinocerebral mucormycosis.
NEXT QUESTION »
For the discussion, click here.
 

Question 6:
A 55-year-old man with a significant past medical history of type 2 diabetes mellitus has a “rocker bottom foot” with a noninfected neuropathic ulcer on the bottom of the midfoot resulting from increased pressure from ambulation. There is increased hyperkeratotic skin seen around the ulcer from walking.
ANSWER KEY »
For the discussion, click here.
 
ANSWER KEY:
Question 1. D
Question 2. E
Question 3. F
Question 4. A
Question 5. A
Question 6. C
2 Commerce Drive 
Cranbury, NJ 08512