The family of a 49-year-old Chinese man brings him to the hospital after he becomes confused and disoriented. For about a week, the patient has had cough, cold symptoms, dizziness, and occasional vomiting.

The Case: The family of a 49-year-old Chinese man brings him to the hospital after he becomes confused and disoriented. For about a week, the patient has had cough, cold symptoms, dizziness, and occasional vomiting. He is a recent immigrant and speaks no English. The examination questions are translated into Cantonese by a relative and by a translator phone.
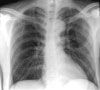
The patient is oriented to person only but follows commands. Temperature is 38.9°C (102.1°F); blood pressure, 136/73 mm Hg; heart rate, 81 beats per minute; respiration rate, 22 breaths per minute; and oxygen saturation, 97% on room air. Pulmonary and cardiac findings are unremarkable. The abdomen is soft and nontender. There is no peripheral edema. Neurological findings are nonfocal. A chest radiograph obtained as part of a fever workup is shown.
To which diagnosis do the radiographic and clinical findings point?
• Legionella pneumonia
• Lymphangitic spread of cancer
• Sarcoidosis
• Miliary tuberculosis
• Pneumoconiosis
(Answer and discussion begin on next page.)

Answer: Miliary tuberculosisDiscussion: This chest radiograph shows a miliary pattern, which may occur during post-primary tuberculosis (TB). At this stage of the disease, hematogenous spread to the pulmonary parenchyma results in 1- to 2-mm nodules that resemble millet seeds (shown here) throughout both lungs. In the past, the term "miliary" was more of a radiographic description; it now refers to all cases of disseminated hematogenous tuberculosis.1
PULMONARY TB: A BRIEF OVERVIEW
TB is the second leading infectious cause of death in the world, with 2 million deaths per year.2 In 2005, the overall number of TB cases had declined in the United States. However, the number of TB cases in foreign-born persons continues to rise and is currently 8.7 times that in persons born in the United States.3 About half of the foreign-born persons with TB are from 5 countries: Mexico, the Philippines, Vietnam, India, and China.2 Studies suggest that these cases represent reactivation of latent disease,4 which is most likely what occurred in this patient.

Humans are the only reservoir for Mycobacterium
tuberculosis. This intracellular aerobic bacillus is primarily transmitted via inhalation. Infected persons expel infected droplets when coughing or sneezing. Once inhaled, the infected droplets can travel to distal alveoli because of their small size. Inhaled mycobacteria-containing droplets are usually engulfed by alveolar macrophages and destroyed. Mycobacteria that survive are transported to regional lymph nodes, where cell-mediated immunity is activated to contain the infection. At this point, the disease enters the latent phase, in which the patient is asymptomatic and a skin test is positive. Hematogenous spread may occur if the person is immunocompromised or overwhelmed by the infection.
Pulmonary TB causes few early symptoms. Physical examination rarely leads to the diagnosis; the history is often more helpful. Symptoms can vary widely but are most commonly cough followed by weight loss, fatigue, fever, night sweats, and chills. Altered mental status is an uncommon presenting symptom unless the patient has severe hypoxemia. About one-fourth of patients complain of hemoptysis.1 Only one-third of patients with pulmonary TB present with a pulmonary chief complaint.5 Therefore, consider screening patients with any combination of these symptoms for tuberculosis.
Persons at risk for tuberculosis include3-5:
• Those with HIV infection.
• Immigrants from Asia, Africa, and Latin America.
• Members of medically underserved, low-income populations.
• Elderly persons.
• Residents of long-term-care facilities (eg, nursing homes, correctional facilities).
• Injection drug users.
• Members of groups identified locally (eg, homeless persons, migrant farmworkers).
• Persons who have occupational exposure.
• Close contacts of a known case of TB.

OUTCOME OF THIS CASE
Treatment with isoniazid, rifampin, ethambutol, and pyrazinamide for presumed TB was started, and the patient was isolated. His temperature and mental status returned to normal over the next few days. Cultures of sputum and cerebrospinal fluid were positive for M tuberculosis that was sensitive to all medications. The patient currently takes isoniazid and rifampin on an outpatient basis and continues to do well.
DIFFERENTIAL DIAGNOSIS
The differential diagnosis of a miliary pattern on a chest radiograph is broad (Table).1 Nontuberculous causes may include any granulomatous or neoplastic disease. Small, well-demarcated lesions usually represent thickening of the interstitium of the lung. Lesions that are the same size are generally granulomas.
Legionnaires disease may mimic miliary TB in immunocompromised patients.
Lymphangitic spread of cancer frequently appears as diffuse, small lesions that differ in size and shape. The most common neoplasms of origin include cancer of the breast, colon, and kidney and lymphomas. This radiographic pattern represents tumor microembolism. Patients may present with severe dyspnea, hypoxia, or fever.
Most patients with sarcoidosis have pulmonary involvement with or without lymphadenopathy. Sarcoidosis can also affect other organ systems and may manifest as erythema nodosum, polyarthralgia, or uveitis. The pulmonary lesions are widespread and nodular, involve the interlobular septum, and may form larger masses.6
Pneumoconiosis from exposure to coal or silica can cause miliary radiographic patterns. Hypersensitivity pneumonitis may occur after a variety of organic or chemical exposures.
REFERENCES:
1.
Sharma SK, Mohan A, Sharma A, Mitra DK. Miliary tuberculosis: new insights into an old disease.
Lancet Infect Dis.
2005;5:415-430.
2.
Center for Disease Control and Prevention. Trends in tuberculosis-United States, 2005.
MMWR.
2006;55:305-308.
3.
Mert A, Ozaras R. Clinical importance of miliary pattern in the chest X-ray of a patient with fever of unknown origin.
Intern Med.
2005;44:161.
4.
Cain KP, Haley CA, Armstrong LR, et al. Tuberculosis among foreign-born persons in the United States: achieving tuberculosis elimination.
Am J Respir Crit Care Med.
2007;175:75-79.
5.
Sokolove PE, Rossman L, Cohen SH. The emergency department presentation of patients with active pulmonary tuberculosis.
Acad Emerg Med.
2000;7:1056-1060.
6.
Iannuzzi MC, Rybicki BA, Teirstein AS. Sarcoidosis.
N Engl J Med.
2007;357:2153-2165.