
A 30-year-old white man with HIV infection since September 2004 presented to his infectious disease physician in January 2007 to restart his antiretroviral therapy. Three months earlier, he had discontinued all of his antiretroviral medications because of his loss of health insurance. He remained asymptomatic during this period, with the exception of some mild oral candidiasis. At the time of restarting his antiretroviral therapy, his CD4+ cell count was 264/µL and test results were positive for syphilis (rapid plasma reagent [RPR] titer of 1:128, confirmed with a fluorescent treponemal antibody absorption test).
We present a case of treatment failure for latent syphilis with relapse localized to the GI tract and associated gastroparesis in an HIV-positive person whose virus was totally suppressed. Treatment failure for syphilis is an uncommon occurrence in either HIV-negative or HIV-positive persons.1 However, the rate of treatment failure may be higher in HIV-positive patients, and this remains a topic of debate in the field of infectious disease. We review the pertinent literature related to our case as well as discuss syphilis treatment failure in the HIV population.
CASE SUMMARY
A 30-year-old white man with HIV infection since September 2004 presented to his infectious disease physician in January 2007 to restart his antiretroviral therapy. Three months earlier, he had discontinued all of his antiretroviral medications because of his loss of health insurance. He remained asymptomatic during this period, with the exception of some mild oral candidiasis. At the time of restarting his antiretroviral therapy, his CD4+ cell count was 264/µL and test results were positive for syphilis (rapid plasma reagent [RPR] titer of 1:128, confirmed with a fluorescent treponemal antibody absorption test).
The patient’s only risk factor for HIV infection or a sexually transmitted disease (STD) was sex with men; results of all previous tests for STDs in this patient had been negative. The patient denied any signs or symptoms of primary, secondary, or neurological syphilis. Examination of cerebrospinal fluid (CSF) was not done. The patient received intramuscular benzathine penicillin G 2.4 million units weekly for 3 weeks with full adherence to treatment.
The patient remained asymptomatic until April 2007, when watery diarrhea developed over several days, followed by several days of increasing epigastric abdominal pain associated with severe nausea and vomiting. He was hospitalized, and a diagnostic workup revealed a CD4+ cell count of 738/µL, an HIV RNA level below 400 copies/mL, and an RPR titer of 1:16. Results of tests for Clostridium difficile toxin, Helicobacter pylori antibody, Cryptosporidium, and Giardia were negative; stool examination for ova and parasites and stool cultures yielded negative results; and Bartonella antibody titers and Chlamydia and Neisseriagonorrhoeae probes of urine were negative. A CSF examination was not done. Colonoscopy showed a nonspecific proctitis and colitis, with biopsy results indicative of a nonspecific infectious process. An endoscopy showed antral gastritis, with biopsy specimens negative for H pylori. A follow-up gastric emptying study confirmed the diagnosis of marked gastroparesis.
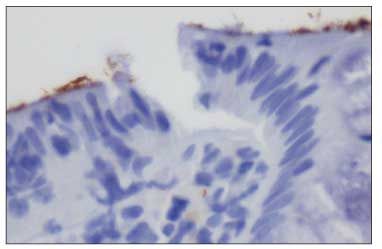
The patient’s gastroparesis was severe and unresponsive to promotility agents. Surgery was consulted for placement of a feeding jejunostomy tube. Because of the positive RPR titer and absence of any other etiology for the patient’s symptoms, we requested pathology to perform specific immunohistochemical staining (Biocare Medical, Concord, Calif) for Treponema on all GI biopsy specimens. The gastric biopsy specimens were negative for Treponema, but the rectal biopsy specimens were highly positive, showing luminal spirochetes and 1 tissue spirochete (Figure).

Figure. Rectal biopsy specimen with antibody stain from a 30-year-old HIV-infected white man. Brown-staining spirochetes are seen on the mucosal surface and in tissue (center of image) (Treponema pallidum polyclonal antibody stain, original magnification ×400).
The patient received aqueous crystalline penicillin G 3 million units every 4 hours intravenously for 12 days and doxycycline 100 mg twice daily intravenously and then via jejunostomy for 4 weeks. Following treatment, his diarrhea resolved and the abdominal pain progressively diminished. His gastroparesis improved over several weeks, leading to the removal of his feeding jejunostomy tube during the first week in June, approximately 8 weeks after the end of the penicillin therapy. At this time, his RPR titer had dropped to 1:8 and his HIV viral load remained undetectable. His antiretroviral treatment was continued uninterrupted throughout.
DISCUSSION
This patient presented with a syndrome of colitis, proctitis, and severe progressive gastroparesis. Immunohistochemical stains specific for Treponema pallidum showed spirochetes in the colon biopsy specimens. While we cannot totally exclude the presence of Brachyspira species, the presence of tissue spirochetes is more consistent with syphilis.
The period between the initial treatment of syphilis and the patient’s relapse was only 10 weeks, during which time he appeared to respond serologically to penicillin therapy with a decrease in RPR titer from 1:128 to 1:16. We interpret this as an initial response to treatment, without complete eradication of the total burden of treponemes. However, his new GI presentation with pathological evidence of spirochetes and his response to high-dose intravenous penicillin therapy for syphilis indicate there was incomplete eradication of the total burden of treponemes with intramuscular penicillin treatment alone. The patient was treated for early latent syphilis with a total of 7.2 million units of benzathine penicillin G, which is at the top range of the recommended dosage (ie, 2.4 million to 7.2 million units) for treatment of early latent or secondary syphilis in HIV-positive persons.
A CSF examination was not done in January because the patient had consistently tested negative before that time and all neurological signs and symptoms were negative. A CSF examination was again not done in April 2007, during his relapse, because he was already undergoing treatment with a protocol for neurosyphilis (ie, aqueous crystalline penicillin G 3 million units every 4 hours intravenously for 12 days) and a lumbar puncture would not have changed our management of this patient.
The patient’s gastroparesis resolved following treatment, which suggests that a more diffuse involvement with T pallidum accounted for his disease. Even if one considered the gastroparesis caused by immune reconstitution syndrome, the only pathogen found to account for a reconstituted immune attack was T pallidum. We believe his syphilis was an active infection because he adamantly denied any sexual contacts from January 2007 to April 2007 when he presented to the hospital.
The association between HIV infection and ulcerative STDs, such as syphilis, is well described. In patients presenting with syphilis, there is a significantly higher rate of coinfection with HIV, with the highest rates occurring in men who have sex with men.2 One retrospective review found that HIV-positive persons were 17 times more likely to be coinfected with T pallidum than the general population.3
The interaction between HIV and T pallidum in the coinfected state is not completely understood, but it appears that HIV alters the classic progression of syphilis from primary to tertiary states. Patients with early syphilis who are coinfected with HIV are more likely to initially present with secondary syphilis than their HIV-negative counterparts.4 Also, neurosyphilis is much more likely to be diagnosed in coinfected patients, and higher rates of abnormal findings on CSF examination (defined as presence of white blood cells, a positive CSF VDRL test result, or increased CSF protein level) are found in these patients than in their HIV-negative counterparts.5,6 The CNS may act as a reservoir for Treponema, and the brain may become involved in the disease process more quickly in the HIV-positive person than in the immunocompetent patient.7 Because of this concern, the CDC recommends that a CSF examination be done in all HIV-infected persons with late latent syphilis or syphilis of unknown duration.8
Conventional diagnostic tests for syphilis are generally considered accurate and reliable in the HIV population, although false-negative serological tests do occur; therefore, clinicians may need to consider the possibility of a blunted serological response in an HIV-positive person who has a negative serological test result for syphilis.3,9
The syphilis treatment failure rate may be higher in the HIV population than in the general population. Rolfs and colleagues1 found a significantly higher rate of serological treatment failure in HIV-positive patients treated for primary syphilis and for patients treated for secondary syphilis when assessed at 6 months and 12 months after treatment, respectively. Malone and associates6 found that relapse following syphilis treatment is a common occurrence in the HIV population (18% overall), with some patients experiencing multiple relapses. Gordon and colleagues10 found that in 5 of 11 patients who presented with symptomatic neurosyphilis, previous therapy with benzathine penicillin G (doses were between 2.4 and 7.2 million units given intramuscularly) failed at a median follow-up of 8 months. This is consistent not only with the fact that benzathine penicillin G does not reach bactericidal levels in the CSF but also with several reports of benzathine penicillin G treatment failures in HIV-positive persons.6,7,11
Malone and colleagues6 found that a positive CSF VDRL test result was associated with increased risk of recurrence. Furthermore, treatment failure of neurosyphilis can occur in HIV-positive persons despite treatment with high-dose intravenous penicillin and irrespective of immune function (as assessed by the CD4 count).7,10
The CDC recommends close follow-up as well as CSF examination in all HIV-positive persons with latent syphilis or syphilis of unknown duration to decrease the chance that treatment failure will occur.8,12 It is exceedingly difficult for clinicians to predict which patients will relapse as shown by this case.
GI manifestations of syphilis are uncommon.13 Our patient had the clinical presentation of syphilitic proctitis, confirmed on rectal biopsy (Figure). His severe gastroparesis represents involvement of the GI canal beyond the rectum as well, with potential involvement of the gastric mucosa and perhaps even the enteric nervous system. Our patient’s symptoms (ie, abdominal pain, nausea, vomiting, weight loss), endoscopic examination findings (antral gastritis), and pathological diagnosis of infectious gastritis with stains negative for H pylori are all consistent with the diagnosis of gastric syphilis. Gastric biopsy specimens were negative for Treponema, which is not unusual for gastric syphilis.
Guerrero and colleagues13 in a recent review of the literature on gastric syphilis found that only 22 of 34 cases of gastric syphilis were confirmed by a positive biopsy result for Treponema. As in our patient, abdominal pain, nausea, vomiting, and weight loss were prominent findings in the case series reported by Guerrero and associates.13 Finally, our patient’s symptoms promptly resolved after treatment with high-dose penicillin.
One notable difference between our case and previously described cases of gastric syphilis was that our patient experienced a marked gastroparesis, which resolved over several weeks following his treatment. This presentation differs from a gastric outlet obstruction due to a linitis plastica–like hypertrophy of the stomach wall that sometimes occurs in the context of gastric syphilis and resolves completely with treatment.14,15
Finally, our patient’s histology showed the persistence of treponemes in colonic tissue despite a course of 3 weeks of intramuscular penicillin at adequate doses, a continued undetectable viral load, and a CD4+ cell count of 738/µL. In patients with concurrent HIV infection and syphilis, the presence of a high total burden of treponemes in the body might account for the failure of conventional doses for late latent syphilis. We may, in the future, witness the development of techniques to assess the total body treponeme burden and be able to target those persons who will benefit from high-dose intravenous penicillin therapy.
CONCLUSION
Our case underscores the importance of careful management of syphilis in the HIV-positive patient, regardless of immune function. Aggressive follow-up and early evaluation of the CSF in HIV-infected persons are certainly prudent measures to consider, but predicting who will relapse remains somewhere between difficult to impossible. In an HIV-infected patient recently treated for syphilis, the outbreak of GI symptoms or the asymptomatic rise of a syphilis marker (RPR, VDRL titers) may require consideration of recurrent syphilis as a working diagnosis and the search for histological or DNA evidence of T pallidum. Our patient responded completely to a course of 12 days of high-dose intravenous penicillin and 28 days of doxycycline therapy.
No potential conflict of interest relevant to this article was reported by the authors.
References1. Rolfs RT, Joesoef MR, Hendershot EF, et al. A randomized trial of enhanced therapy for early syphilis in patients with and without human immunodeficiency virus infection. The Syphilis and HIV Study Group. N Engl J Med. 1997;337:307-314.
2. Blocker ME, Levine WC, St Louis ME. HIV prevalence in patients with syphilis, United States. Sex Transm Dis. 2000;27:53-59.
3. Schöfer H, Imhof M, Thoma-Greber E, et al. Active syphilis in HIV infection: a multicentre retrospective survey. The German AIDS Study Group (GASG). Genitourin Med. 1996;72:176-181.
4. Hutchinson CM, Hook EW 3rd, Shepherd M, et al. Altered clinical presentation of early syphilis in patients with human immunodeficiency virus infection. Ann Intern Med. 1994;121:94-100.
5. Dowell ME, Ross PG, Musher DM, et al. Response of latent syphilis or neurosyphilis to ceftriaxone therapy in persons infected with human immunodeficiency virus. Am J Med. 1992;93:481-488.
6. Malone JL, Wallace MR, Hendrick BB, et al. Syphilis and neurosyphilis in a human immunodeficiency virus type-1 seropositive population: evidence for frequent serologic relapse after therapy. Am J Med. 1995;99:55-63.
7. Dibbern DA Jr, Ray SC. Recrudescence of treated neurosyphilis in a patient with human immunodeficiency virus. Mayo Clin Proc. 1999;74:53-56.
8. Diseases characterized by genital ulcers. In: Sexually transmitted diseases treatment guidelines, 2006. MMWR. 2006;55(RR-11). http://www.cdc.gov/mmwr/preview/mmwrhtml/rr5511a1.htm. Accessed May 6, 2009.
9. Lynn WA, Lightman S. Syphilis and HIV: a dangerous combination. Lancet Infect Dis. 2004;4:456-466.
10. Gordon SM, Eaton ME, George R, et al. The response of symptomatic neurosyphilis to high-dose intravenous penicillin G in patients with human immunodeficiency virus infection. N Engl J Med. 1994;331:1469-1473.
11. Gregory N, Sanchez M, Buchness MR. The spectrum of syphilis in patients with human immunodeficiency virus infection. J Am Acad Dermatol. 1990;22(6 pt 1):1061-1067.
12. Walter T, Lebouche B, Miailhes P, et al. Symptomatic relapse of neurologic syphilis after benzathine penicillin G therapy for primary or secondary syphilis in HIV-infected patients [published correction appears in Clin Infect Dis. 2006;43:1498]. Clin Infect Dis. 2006;43:787-790.
13. Guerrero AF, Straight TM, Eastone J, Spooner K. Gastric syphilis in an HIV-infected patient. AIDS Patient Care STDS. 2005;19:281-285.
14. Greenstein DB, Wilcox CM, Schwartz DA. Gastric syphilis. Report of seven cases and review of the literature. J Clin Gastroenterol. 1994;18:4-9.
15. Winters HA, Notar-Francesco V, Bromberg K, et al. Gastric syphilis: five recent cases and a review of the literature. Ann Intern Med. 1992;116:314-319.
2 Commerce Drive
Cranbury, NJ 08512