What is causing this clubbing of the fingernails, and what is it called?

A middle-aged man who works as a janitor presents to the emergency department (ED) with intermittent right shoulder pain that has been present for about 5 months. Motion can exacerbate the pain, but sometimes the shoulder hurts even when he is doing nothing. The pain wakes him at night. The patient has made previous visits to the ED because of this pain and radiographs were taken of the shoulder; the diagnosis was tendinitis.
The patient denies chest pain, shortness of breath, fever, or other symptoms. His medical history is notable only for hypertension for which he takes labetalol. He had asthma as a child. He has smoked roughly a pack of cigarettes every 2 to 3 days for 35 years and he drinks socially. He denies use of illicit drugs.
The patient appears to be in no acute distress and his vital signs are normal except for a blood pressure of 163/101 mm Hg. Head and neck examination are unremarkable and the heart and lungs sounds are normal. His abdomen is scaphoid, without mass or tenderness. Examination of the right shoulder demonstrates no deformity and a full range of motion. Impingement testing elicits pain consistent with tendinitis/bursitis. The patient’s radial pulse is strong, and distal motor and sensory neurologic function is intact.
A check of the patient’s finger strength reveals abnormal looking fingernails (Figure 1).
To what diagnosis does a history of chronic shoulder pain and recent onset of fingernail clubbing point?
Click here for answer and discussionAnswer: Nail Clubbing Secondary to Lung Cancer

Chronic shoulder pain with recent onset of fingernail clubbing can be an ominous sign, in this case heralding the presence of lung cancer. Lung tumors, especially Pancoast tumors, not infrequently mimic musculoskeletal conditions of the shoulder. Consider adding a chest film to the workup of shoulder pain in the proper clinical setting or when there are no positive findings on examination of the shoulder.
Table 1 lists the differential diagnostic considerations of shoulder pain. Table 2 offers some useful tips about fingernails.
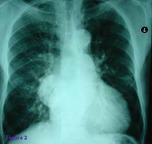
It is uncertain whether this patient also had tendinitis: visceral conditions, including coronary artery disease can occasionally aggravate preexisting musculoskeletal conditions. Therefore, be wary of ending your diagnostic process prematurely when a second condition may be present. Chest films for this patient show a pulmonary mass at the right hilar area (Figure 2).
Table 1. Quick essentials on shoulder pain differential diagnosis
Anterior: Acromio-clavicular joint arthritis, glenohumeral joint arthritis, biceps tendinitis
Posterior: Neck conditions, suprascapular nerve entrapment
Lateral: Impingement, tendinitis, rotator cuff (all usually aggravated by reaching overhead)
Other: Brachial plexus, vascular disease, thoracic outlet syndrome, lung tumor, myocardial infarction, abdominal aortic aneurysm, pericarditis, GI disease
Table 2.Quick essentials on fingernail conditions
Fingernails: Made of keratin. Average growth rate: 3 mm/mo for fingers; 1 mm/mo for toes
White lines: Muehrcke lines: low albumin; Mees lines: arsenic; nail base lines: paraneoplastic disease
Fungus: Trichophyton rubrum infection in 90%. Risks: tight shoes, peripheral vascular disease, HIV infection, tobacco. Rx: terbinafine (≈ 45% relapse at 3 years)
Clubbing: "CLUB": Congenital, Cardiac, Cirrhosis, Lung disease, Ulcerative colitis, Biliary disease
Other: HIV infection, hyperthyroidism
From Quick Essentials Emergency Medicine pocketbook, copyright EMresource.org