Skills quiz: Rectus abdominus rupture; IBS; Cholecystitis; Smoking and MS
Test your skills in this 5-question quiz.QUESTION 1:
Acute left lower quadrant abdominal pain developed in a previously healthy, postmenopausal, 52-year-old woman on the second day of a lower respiratory tract infection. On the third day of the patient’s bronchitis, she noted a small ecchymosis in her left groin and continued sharp pain in the left lower quadrant. Five days later, the patient noted increased ecchymosis in the left inguinal region and a distinct bulge in the area of initial pain.

For the discussion, click here.Click here for the next question.For the answers, click here.
QUESTION 2:
Chronic constipation is not just about evacuations. There seems to be an overlap between irritable bowel syndrome-constipation and chronic constipation.
For the discussion, click here.Click here for the next question.For the answers, click here.
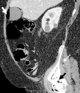
QUESTION 3:
A 68-year-old man with a history of hypertension and chronic obstructive pulmonary disease (COPD) presented to the emergency department with right hip pain and fevers of 4 days’ duration. He was unable to bear weight on the right lower extremity and there was limited range of motion of the right hip secondary to pain. Physical examination revealed mild distress and diaphoresis. Abdominal examination revealed a soft and obese abdomen, normoactive bowel sounds, and no tenderness to palpation.

For the discussion, click here.Click here for the next question.For the answers, click here.
QUESTION 4:
Patients with inflammatory bowel disease (IBD) typically don't receive preventive services at the same rate as general medical patients.
For the discussion, click here.Click here for the next question.For the answers, click here.
QUESTION 5:
Smoking is a risk factor for both multiple sclerosis (MS) and lung cancer.
For the discussion, click here.For the answers, click here.
ANSWER KEY:
Question 1. Answer: b
Question 2. Answer: c
Question 3. Answer: a
Question 4. Answer: d
Question 5. Answer: b