A 2 1/2-year-old child is hospitalized with a 1-month history of worsening persistent cough. She was initially treated with a 5-day course of oral amoxicillin, and her symptoms abated somewhat. However, for the past week, she has experienced high fever and chills associated with right-sided pleuritic chest pain.
A 2 ½-year-old child is hospitalized with a 1-month history of worsening persistent cough. She was initially treated with a 5-day course of oral amoxicillin, and her symptoms abated somewhat. However, for the past week, she has experienced high fever (temperatures up to 38.3°C [101°F]) and chills associated with right-sided pleuritic chest pain.

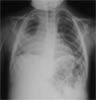
Figure 1

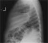
Figure 2
The child was delivered at full term with no complications and has had normal developmental milestones. There is no history of contact with ill persons (including those with tuberculosis). She has had no recurrent infections, earache, hemoptysis, dyspnea, rash, lymph- adenopathy, or ankle edema. There is no history of vomiting, diarrhea, abdominal pain, seizures, urinary symptoms, or bleeding. She takes no medications regularly. She has lost more than 2.72 kg (6 lb) in the past month. The child's father is a smoker; the rest of the family history is noncontributory.
Examination. This well-nourished child looks ill and is in moderate respiratory distress. Heart rate is 125 beats per minute and regular; temperature, 38.3°C (101°F); respiration rate, 30 breaths per minute; blood pressure, 98/62 mm Hg. She is well hydrated. Examination of the head and neck shows no icterus, erythema, or evidence of candidal infection. Chest movements are symmetric and equal bilaterally. The trachea is centrally located and resonant to percussion. Harsh vesicular breath sounds are audible bilaterally with coarse rales over the right, middle, and lower zones. The jugular vein pulse and apex impulse are normal. Heart sounds are normal. Abdominal examination reveals no organomegaly or tenderness. Results of the neurologic examination are unremarkable.
Laboratory studies. White blood cell (WBC) count, 33,600/µL, with 84% segmented polymorphonuclear leukocytes, 13% lymphocytes, 1% basophils, 1% eosinophils, and 1% monocytes; hemoglobin level, 11.9 g/dL; platelet count, 719,000/µL; erythrocyte sedimentation rate (ESR), 110 mm/h. Urinalysis results are normal. Blood urea nitrogen level, 3 mg/dL; creatinine, 0.3 mg/dL; serum sodium, 134 mEq/L; potassium, 4.2 mEq/L; chloride, 98 mEq/L; bicarbonate, 24 mEq/L. Blood glucose level, 103 mg/dL. An ECG shows sinus tachycardia.
Chest films are ordered.
Based on the clinical picture and radiographic findings, the most likely cause of the patient's illness is:
A. Lung abscess
B. Pulmonary coccidioidomycosis
C. Sequestrated lung
D. Cystic lung disease
E. Pulmonary adenoma
WHAT'S WRONG:
The chest radiographs show alarge cavitary lesion in the rightupper chest, with air-fluid level anda bulging fissure. This finding,in a patient with persistent coughand fever, strongly suggests lungabscess, A.

Hospital course.
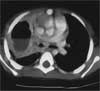
An inducedsputumexamination shows manypolymorphonuclear leukocyteswith no acid-fast bacteria. A cultureof the throat reveals typical flora.Results of a serologic test for cocciand a tuberculin skin test are negative.Results of 2 blood culturesare negative for pathogens. A CTscan of the chest shows a largecavitary lesion and air-fluid level inthe right upper chest; a thick, irregularcavitary wall; and adjacentcompression atelectasis (
Figure
).Empiric therapy with vancomycinand ceftriaxone is initiated.This is later changed to piperacillin with tazobactam, 1.5 g, every 8hours, and clindamycin, 120 mg, every 6 hours, to ensure coverage forGram-negative organisms. The patient becomes afebrile within 72 hoursand is transferred to a children's hospital for bronchoscopy and probablesurgery. Because she is doing well, the pulmonologist substitutes ceftriaxonefor the piperacillin with tazobactam and continues the clindamycin.One month later, radiographic evaluation shows considerable reduction inthe size of the abscess.
OVERVIEW
A lung abscess can be an acute or chronic infection; it is marked by a cavitary lesion containing purulent material. The abscess results from inflammation, suppuration, and necrosis of the involved lung parenchyma. Uncommon in clinical practice today, lung abscess occurs at a rate of 1.3 per 10,000 hospital admissions. It can develop in a child of any age, although it is rarely seen in neonates. The male-to-female ratio is 1.6:1.
PATHOGENESIS
Pathogens can reach the lungs via the airways or the bloodstream, or they can spread from a contiguous infection or traumatic injury.
Primary lung abscess is caused by bronchogenic spread to the lungs, commonly from aspiration of oropharyngeal secretions and resulting necrotizing pneumonia. Secondary lung abscess results from hematogenous spread, as in bacteremia, endocarditis, or suppurative thrombophlebitis.
MICROBIOLOGY
Organisms implicated in lung abscess include bacteria, fungi, and protozoa. Most infections are polymicrobial and contain a mixture of anaerobes and aerobes. The common anaerobes are microaerophilic Streptococcus, Fusobacterium, Bacteroides, Prevotella, and Veillo- nella species. About half of cultures will reveal aerobes, particularly Staphylococcus aureus; Streptococcus pyogenes; group B streptococci; or Gram-negative bacilli, including Klebsiella pneumoniae, Escherichia coli, Haemophilus influenzae, and Pseudomonas aeruginosa. In immunocompromised patients, culprit organisms include Nocardia, Cryptococcus, and Aspergillus species and atypical Mycobacterium avium-intracellulare or Mycobacterium kansasii. In certain areas, coccidioidomycosis, histoplasmosis, and blastomycosis may cause acute or chronic lung abscess.
CLINICAL MANIFESTATIONS
Onset may be acute, but in most cases it is insidious; the child may feel unwell for days. Early symptoms often resemble those of pneumonia--malaise, anorexia, productive cough, sweats, and fever (temperature often as high as 40°C [104°F]). Older children may complain of chest pain, dyspnea, or hemoptysis. The breath may have a putrid odor.
The heart rate is usually elevated with fever, but localizing signs to the chest are sometimes absent, particularly in young children. When localizing signs are present, manifestations may include increased respiration rate, retractions and decreased movement of the chest, dullness to percussion, suppressed breath sounds, and fine crackles and bronchial breathing.
DIAGNOSIS
Suspect lung abscess when a child has prolonged high fever, cough with tachypnea, a toxic appearance, and bronchial breathing.
A chest radiograph will show a cavity with or without an air-fluid level. The most frequent sites of involvement are the posterior segment of the upper lobe and superior segment of the lower lobe, especially on the right.
Ultrasonography of the chest may show a hyperechoic ring shadow and help localize the lung abscess. However, chest CT is the most effective means to localize the abscess precisely, define its size, and guide drainage or needle aspiration. Sputum should be examined with smear and culture for bacteria, fungi, and mycobacteria.
Bronchoscopy may be needed if the patient does not respond to antibiotics or if a tumor or foreign body is suspected. An ideal specimen can also be obtained for appropriate culture by this route.
Ancillary tests, including blood cultures, are warranted if hematogenous spread is suspected. Typical results include an elevated WBC count and ESR, and mild anemia.
MANAGEMENT
Antibiotics are the mainstay of therapy and are initiated as soon as adequate specimens are collected for culture.
The choice of antibiotics is usually empiric. In children in whom aspiration is a likely predisposing event, anaerobic coverage is essential. High-dose penicillin or clindamycin is recommended. Alternatively, metronidazole may be used in combination with penicillin. Other choices are b-lactams with b-lactamase inhibitors (ampicillin with sulbactam, piperacillin with tazobactam, ticarcillin with clavulanate), imipenem, and chloramphenicol. Once culture and sensitivity data are available, therapy is directed at specific pathogens.
No specific guidelines for the length of antibiotic therapy exist. It is reasonable to use parenteral antibiotics until the child is afebrile; oral therapy can then be instituted. The initial response to therapy usually takes several days; symptoms resolve completely within 1 to 3 weeks.
Children with lung abscess usually do well with antibiotics alone. However, if clinical deterioration occurs despite appropriate therapy, more aggressive measures may be necessary. These include drainage via bronchoscopy and percutaneous tube drainage. Percutaneous needle aspiration and wedge restriction or lobectomy may be required in extreme cases, such as rapid expansion of the abscess associated with mediastinal shift.