Child With Dysphagia, Fever, and Weight Loss
A 5-year-old African girl, whose family lived in France, was brought to the emergency department of our hospital during a family visit to the United States. The child had a 1-week history of difficulty in swallowing, a temperature of up to 38.3°C (101°F), and rhinorrhea. She had lost 4 lb during the week. According to her mother, the patient had no history of cough, nausea, vomiting, diarrhea, abdominal pain, or sick contacts.


The patient had been born in Cameroon at 32 weeks' gestational age by normal vaginal delivery. She weighed 4 lb 8 oz at birth. Respiratory distress necessitated admission to a neonatal ICU for 2 weeks, during which the patient was intubated for 4 days. There was a questionable history of blood transfusion.
The child had chronic sinusitis, which had been treated with several different antibiotics during the past year. She had been treated for malaria when she was 3 years old and living in Africa. She was not currently taking any medications and had no known drug allergies.
The child appeared ill but was not in acute distress. There was no nasal congestion. The tongue was moist, with reddish white plaques. There was no lymphadenopathy. She had brown scaly annular lesions on her legs. A biopsy showed these lesions to be verrucae plana. There were no other remarkable physical findings.
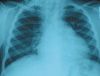
The patient's white blood cell count was 7 3 103/µL, with 42% neutrophils, 3% bands, 44% lymphocytes, and 9% monocytes. Her hemoglobin level was 10.6 g/dL; the platelet count was 150 3 103/µL. Bicarbonate level was 15 mEq/L. Levels of other electrolytes were normal, as were results of a urinalysis. Results from the barium swallow and findings on radiographs of the neck (Figure 1) were normal.
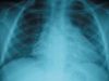
The patient was hospitalized and treated for dehydration and oral candidiasis. On day 6 of admission, a cough developed. At that point, her oxygen saturation was 99% while breathing room air. She was afebrile, but had bilateral basilar rhonchi. Chest radiographs were obtained.


Because the patient had been born in a high-risk area, had a questionable history of blood transfusion, and had candidiasis and verrucae plana, immunodeficiency was considered. Additional laboratory studies were confirmatory. Levels of IgG were 2870 mg/dL (normal, 730 to 1500 mg/dL); IgA, 572 mg/dL (normal, 460 to 1200 mg/dL); IgM, 1117 mg/dL (normal, 50 to 240 mg/dL); antinuclear antibody, less than 40 (normal, less than 40); anti-double-stranded DNA, less than 10 IU/mL (normal, less than 10 IU/mL). She was HIV-positive. Tests for Mycobacterium avium-intracellulare (MAI) infection were negative, and her urine was negative for Cytomegalovirus. Chest films confirmed lymphocytic interstitial pneumonitis (LIP) (Figure 2). Further testing revealed that the child's mother was also HIV-positive.
Amphotericin B was administered for the candidiasis and verrucae plana. Trimethoprim/sulfamethoxazole was given for Pneumocystis jiroveci prophylaxis, and azithromycin was prescribed for MAI prophylaxis. When the patient began to tolerate oral intake, she was discharged with follow-up care in an HIV clinic.
Lymphocytic Interstitial Pneumonitis
LIP is a syndrome of cough, fever, and bibasilar pulmonary infiltrates consisting of dense interstitial accumulations of lymphocytes and plasma cells. LIP is found in up to 40% of children with perinatally acquired HIV infection.
LIP is associated with autoimmune diseases, such as Sjögren syndrome, rheumatoid arthritis, chronic hepatitis, and lymphoma. It is also associated with infections other than those caused by HIV, such as Epstein-Barr virus (EBV) infection, and human T-cell lymphotropic virus.1
The pathogenesis of LIP is unknown. Several theories have been proposed. LIP may be a result of an immune response to inhaled or circulating antigens--and/or caused by a primary infection with EBV, HIV, or other unknown sources. An immunogenetic role has also been postulated, since HLA-DR5 markers have been found in children with LIP. Also, children with HIV and LIP have greater tumor necrosis factor a and interleukin-1 levels than do children who have HIV without LIP.2
Patients may present with constitutional symptoms, such as dyspnea and cough. However, chest auscultation may be normal. Other clinical findings may include clubbing, hepatosplenomegaly, and generalized lymphadenopathy.
Chest radiographs are essential in the diagnosis of LIP and may show bibasilar infiltrates, mediastinal widening, and hilar enlargement. Bronchoscopy with transbronchial biopsy is diagnostic. In patients who have documented HIV infection, cough, dyspnea, and classic infiltrates on chest films, LIP may be diagnosed clinically without any further invasive procedures.
Management of LIP includes supportive care, corticosteroids, and--if the patient has HIV--antiviral agents. Bronchodilators may be required if wheezing is present, and antibiotics may be used for associated pulmonary infections.
The prognosis in LIP is variable. The disorder may last months to years. It is often stable without treatment, and may even improve spontaneously. Symptoms often recur and may lead to complications, such as bronchitis and pneumonia. Other reported complications include respiratory failure, pulmonary fibrosis, and lymphomas.
Lessons Learned From This Patient
LIP must be high in the differential diagnosis in an HIV-positive patient with cough and bilateral lung infiltrates. P jiroveci infection should also be in the differential; the disease course in infected patients is usually severe. Fever, hypoxemia, and elevated lactate dehydrogenase levels are the classic presentation.
P jiroveci is still the most common opportunistic infection in patients with AIDS, but it is no longer the most common pulmonary complication. The incidence is now 10% to 20% in patients who are not receiving prophylactic therapy, and 0% to 10% in patients who are.2,3
Our patient presented with a cough and bilateral lung infiltrates. She did not have hypoxemia or fever, which points to LIP. She received supportive care and was not given corticosteroids because her symptoms were not severe clinically, nor was her condition worsening.
REFERENCES:
1.
Mueller GA, Pickoff AS. Pediatric lymphocyticinterstitial pneumonitis in an HIV-negative childwith pulmonary Epstein-Barr virus infection. PediatrPulmonol. 2003;36:447-449.
2.
Epstein CE, Fan LL. Lymphocytic interstitial pneumonitisin children. Available at:
www.Uptodate.com
.Accessed March 24, 2006.
3.
Committee on Infectious Diseases. Pneumocystisjiroveci infections. In: Pickering LK, ed. Red Book:2003 Report of the Committee on Infectious Diseases.26th ed. Elk Grove Village, Ill: American Academyof Pediatrics; 2003:500-505.