For several days, a 50-year-old man has had copious green stools, vomiting, and fever. His symptoms began shortly after he was discharged from a regional burn center, where he was treated for full-thickness burns that covered 60% of his body surface.

For several days, a 50-year-old man has had copious green stools, vomiting, and fever. His symptoms began shortly after he was discharged from a regional burn center, where he was treated for full-thickness burns that covered 60% of his body surface. While at the center, he was given third-generation cephalosporins and fluoroquinolones for pneumonia and a urinary tract infection.
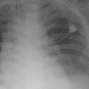
The patient is acutely hypotensive and tachypneic. He has generalized tenderness and moderate distention of the abdomen. A central venous catheter is placed for aggressive fluid resuscitation, and a chest film is obtained.
What abnormality is evident on this radiograph-and what further action is warranted?
(Answer on next page.)

Pneumoperitoneum
The chest radiograph revealed subdiaphragmatic free air (arrow),which prompted immediate surgical consultation.
The patient underwent a subtotal colectomy, ileostomy, and the Hartmann pouch procedure. A grossly edematous and boggy colon, 3 L of peritoneal fluid, and a 2-cm transverse colonic perforation were noted during surgery. Pathological examination of surgical specimens revealed diffuse pseudomembranous colitis with multiple areas of full-thickness ischemia.
Diarrhea is a well-known complication of extended antibiotic therapy. Clostridium difficile infection accounts for 15% to 25% of cases.1
Symptoms of C difficile-associated pseudomembranous colitis range from mild diarrhea to toxic megacolon, colonic perforation, and overwhelming sepsis. In patients who have a colonic perforation, mortality is 32% to 50%.2 This patient had severe sepsis and pneumoperitoneum after acute colonic perforation secondary to C difficile infection.
Fluoroquinolones and clindamycin have been associated with pseudomembranous colitis; however, any recent antibiotic use can be a contributing factor.3 Other risk factors include prolonged hospitalization and use of narcotics or proton pump inhibitors.4,5
Virulence is related to the production of endotoxins A and B. Both cause severe mucosal inflammation and degradation of colonic epithelial cells, which lead to pseudomembrane formation and watery diarrhea.6 An enzyme-linked immunosorbent assay for the detection of endotoxins A and B in stool is required for diagnosis and has 80% to 90% sensitivity.7 In this patient, results were positive for endotoxin A.
Typically, mild disease is treated with oral metronidazole and moderate disease with oral vancomycin. Severe disease-as in this case-requires both oral vancomycin and intravenous metronidazole.1,8,9 This patient's postoperative course was uneventful, and he was discharged within 15 days of admission.
Recurrent C difficile diarrhea occurs in 5% to 50% of cases.1 Prevention of Clostridium-induced infections includes appropriate antibiotic use, contact precautions for exposed patients, cleaning environmental surfaces with bleach-containing solutions, and good hand-washing habits.10,11
REFERENCES:
1.
Aslam S, Hamill RJ, Musher DM. Treatment of
Clostridium difficile-
associated disease: old therapies and new strategies.
Lancet Infect Dis
. 2005;5:549-557.
2.
Sunenshine RH, McDonald LC.
Clostridium difficile-
associated disease: new challenges from an established pathogen.
Cleve Clin J Med
. 2006;73:187-197.
3.
McCusker ME, Harris AD, Perencevich E, Roghmann MC. Fluoroquinolone use and
Clostridium difficile-
associated diarrhea.
Emerg Infect Dis.
2003;9: 730-733.
4.
Bignardi GE. Risk factors for
Clostridium difficile
infection.
J Hosp Infect.
1998; 40:1-15.
5.
Dial S, Alrasadi K, Manoukian C, et al. Risk of
Clostridium difficile
diarrhea among hospital inpatients prescribed proton pump inhibitors: cohort and case-control studies.
CMAJ.
2004;171:33-38.
6.
Barbut F, Petit JC. Epidemiology of
Clostridium difficile-
associated infections.
Clin Microbiol Infect
. 2001;7:405-410.
7.
Wilkins TD, Lyerly DM.
Clostridium difficile
testing: after 20 years, still challenging.
J Clin Microbiol.
2003;41:531-534.
8.
Bricker E, Garg R, Nelson R, et al. Antibiotic treatment for
Clostridium difficile-
associated diarrhea in adults.
Cochrane Database Syst Rev.
2005;(1): CD004610.
9.
Wenisch C, Parschalk B, Hasenhundl M, et al. Comparison of vancomycin, teicoplanin, metronidazole, and fusidic acid for the treatment of
Clostridium difficile-
associated diarrhea [published correction appears in
Clin Infect Dis.
1996; 23:423].
Clin Infect Dis
. 1996;22:813-818.
10.
Boyce JM, Pittet D; Healthcare Infection Control Practices Advisory Committee. Society for Healthcare Epidemiology of America. Association for Professionals in Infection Control. Infectious Diseases Society of America. Hand Hygiene Task Force. Guideline for Hand Hygiene in Health-Care Settings: recommendations of the Healthcare Infection Control Practices Advisory Committee and the HICPAC/SHEA/APIC/IDSA Hand Hygiene Task Force.
Infect Control Hosp Epidemiol
. 2002;23(12 suppl):S3-S40.
11.
Sehulster L, Chinn RY. Guidelines for environmental infection control in health-care facilities. Recommendations of CDC and the Healthcare Infection Control Practices Advisory Committee (HICPAC).
MMWR
. 2003;52(RR-10):1-42.