22-year-old man is hospitalized because of severe hypertension. In addition, he reports exertional retrosternal pressurelike pain, with a severity of 5/10, that lasts for 2 to 3 minutes.

A 22-year-old man is hospitalized because of severe hypertension. In addition, he reports exertional retrosternal pressurelike pain, with a severity of 5/10, that lasts for 2 to 3 minutes. The pain does not radiate and is relieved with rest; there is no nausea, vomiting, diaphoresis, dizziness, or syncope.
Two years earlier, he noticed dyspnea after a half-block walk on level ground; he also experienced intermittent episodes of palpitations. At that time, he was told that he had hypertension when he was examined in Mexico, but he was not treated.
The patient denies paroxysmal nocturnal dyspnea, orthopnea, ankle edema, and claudication in the lower legs. He has no history of headaches, vision problems, weakness, paresthesia, confusion, seizures, syncope, cough, hemoptysis, weight change, or urinary symptoms. There is no rash, adenopathy, diarrhea, abdominal pain, or vomiting.
The patient's father had hypertension and died of congestive heart failure. His mother has diabetes and neuropathy. There is no family history of kidney disease, stroke, or hyperlipidemia.
The patient does not smoke, drink alcohol, or use illicit drugs. He is allergic to sulfa drugs.
Examination. The patient, who appears anxious, is well-built and well-nourished. He is 66 inches tall and weighs 120 lb. He is afebrile. His heart rate is 76 beats per minute and regular; respiration rate, 22 breaths per minute. Blood pressure (BP) in right upper limb, 210/122 mm Hg; left upper limb, 208/120 mm Hg; right lower limb, 120/72 mm Hg. Hydration status is good. Examination of the head and neck reveals no icterus, erythema, or candidal infection. There is no evidence of anemia, clubbing, or cyanosis. The thyroid is not palpable. No ankle edema or tattoos are noted.
Jugular vein pulse and heart sounds are normal. Peripheral pulses in the lower limbs, particularly the femoral arteries, manifest low volume and delayed upstroke, compared with peripheral pulses in the upper limbs and carotid arteries. There is pulsation in the suprasternal notch. The apex is in the sixth intercostal space, outside the midclavicular line, on the left side. A grade 2 systolic murmur is audible in the interscapular region. Lungs are clear. An abdominal examination reveals no organomegaly, tenderness, or bruits. No striae are seen. The results of neurologic and funduscopic examinations are normal.
Laboratory studies. White blood cell count, 5100/µL, with normal differential; hemoglobin level, 15.7 g/dL; hematocrit value, 47%; platelet count, 238,000/µL; erythrocyte sedimentation rate, 12 mm/h. Urinalysis results are normal. Serum sodium level is 139 mEq/L; potassium, 4.5 mEq/L; chloride, 102 mEq/L; carbon dioxide, 24 mEq/L; glucose, 95 mg/dL. Blood urea nitrogen level, 14 mg/dL; creatinine, 0.8 mg/dL; calcium, 9.5 mg/dL; total serum bilirubin, 1 mg/dL; alkaline phosphate, 96 U/L. Total protein level, 8 g/dL; albumin, 4.6 g/dL; aspartate aminotransferase, 26 U/L; alanine aminotransferase, 32 U/L. An ECG shows left atrial enlargement. An echocardiogram reveals an ejection fraction of 60% and mild concentric left ventricular (LV) hypertrophy.
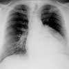
Chest films are ordered.
Based on the clinical, laboratory, and radiographic findings, the most likely cause of the patient's symptoms is:
A. Essential hypertension
B. Pheochromocytoma
C. Cushing syndrome
D. Coarctation of the aorta
E. Renal artery stenosis
(Answer and discussion begin on the next page.)
OVERVIEW
In patients who have a coarctation, the narrowing of the lumen of the aorta obstructs blood flow and thereby raises BP. This relatively common anomaly accounts for 5% to 8% of congenital cardiovascular defects. Coarctation may occur in isolation or in association with other cardiac abnormalities, such as bicuspid aortic valve or ventricular septal defect, or with Turner or DiGeorge syndrome. The male-to-female ratio is approximately 3:1 for isolated coarctation and 1.1:1 for complicated coarctation.
CLINICAL MANIFESTATIONS
Coarctation of the aorta is classified as preductal or paraductal-postductal. Preductal coarctation is associated with an increased incidence of cardiac defects. A compensated infant presents with irritability and lack of interest in feeding. Tachycardia is often present, with a significant systolic BP gradient between the arms and legs. An infant who is decompensated with closure of the ductus may present with acute onset of heart failure, cardiovascular collapse, and severe metabolic acidosis. The BP gradient is often absent as a result of diminished cardiac output.
Paraductaland postductal anomalies are usually isolated defects. A patient may present later in life with exertional dyspnea, palpitation, headache, epistaxis, visual disturbances, or stroke.
Physical examination reveals hypertension in the upper extremities. A systolic murmur over the left precardium or between the scapulae may be present, and the femoral pulses may be absent or diminished, with delayed upstroke. Enlarged palpable collateral vessels with audible bruits may be observed at the scapular margin.
DIAGNOSTIC STUDIES
The ECG findings are usually normal but may show LV hypertrophy in severe coarctation.
Echocardiography is useful in assessing LV function. Two-dimensional echocardiography can delineate the site of coarctation and indicate associated cardiac anomalies. Color Doppler ultrasonography can suggest the magnitude of pressure gradients.
Chest radiographymay reveal such diagnostic features as:
Chest CT and MRI reveal more clearly the dilated, narrowed segment and collaterals, as well as other abnormalities.
Angiography and aortography are the gold-standard studies that reveal the exact location and extent of the coarctation, delineate great-vessel involvement, facilitate evaluation of associated cardiac defects, and allow direct measurement of pressure gradients.
TREATMENT
Medical therapy is limited to optimization of hemodynamics before surgery. Prostaglandin E1 therapy and aggressive measures to control congestive heart failure are undertaken in infants.
Surgery is the definitive treatment. Options include end-to-end reanastomosis, subclavian flap aortoplasty, prosthetic patch onlay grafts, and interposition grafts. The role of balloon angioplasty of native coarctation remains controversial.