Initially treated empirically for acute bronchitis, this patient came to the ED with a 6-week history of worsening cough, dyspnea, fevers, weakness, and a 20-lb weight loss.
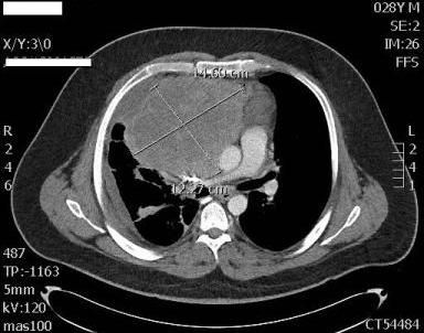
Figure 1. Transverse thoracic CT (click to enlarge)

Figure 2. Coronal thoracic CT

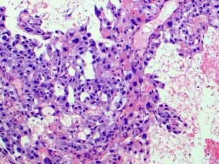
Figure 3. H&E, reticular growth pattern with areas of necrosis and abundant pleomorphic tumor cells.

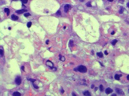
Figure 4. H&E, vacuolated cytoplasm with intracytoplasmic eosinophilic granules and pleomorphic tumor cells.

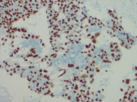
Figure 5. SALL-4–positive

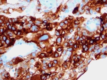
Figure 6. Glypican-3–positive

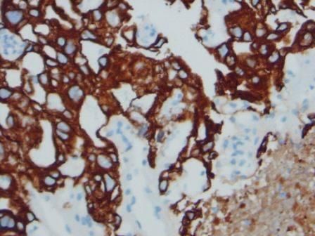
Figure 7. Pan-cytokeratin–positive

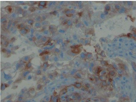
Figure 8. CD-117–positive

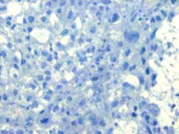
Figure 9. CD30-negative

A 28-year-old obese man with no past significant medical history presented to the emergency department (ED) with a 6-week history of worsening nonproductive cough associated with shortness of breath, sharp right-sided chest pain, fevers, night sweats and chills, generalized weakness, and a 20-lb weight loss.
The patient denied headache, syncope, rash, travel, dizziness, and sick contacts. He had no significant surgical, family, or social history.
The patient had initially received a diagnosis of acute bronchitis and was treated with a 5-day course of azithromycin, codeine, and prednisone. He was referred to a pulmonologist after his symptoms persisted; x-ray films showed infiltrates. Chest CT revealed an anterior mediastinal mass associated with lymphadenopathy.
In the ED, the patient was in acute respiratory distress and coughing violently. Initial examination revealed diminished breath sounds in the right lung field. CT scans of his chest, abdomen, and pelvis revealed a 12.9-cm right-sided anterior mediastinal mass; a large right pleural effusion; mediastinal lymphadenopathy; a small pericardial effusion; and prominent lymph nodes in the celiac, mesentery, and portocaval regions with a hypodensity in the hepatic lobe. The mass was compressing the right atrium, superior vena cava, and right lung (Figures 1 and 2). The patient was admitted to medicine.
The patient was worked up for anterior mediastinal masses. Tests for alpha-fetoprotein (AFP), lactate dehydrogenase, human chorionic gonadotropin, leukocyte alkaline phosphatase, thyroid-stimulating hormone, and cortisol were requested. AFP was 11,300 IU/mL; all other test results were within normal limits. Ultrasound examination of the scrotum was done as well, results of which were negative.
The fine-needle aspiration/core biopsy revealed abundant tumor cells that were pleomorphic with a reticular growth pattern (Figures 3 and 4). The tumor was strongly positive for SALL-4, glypican-3, pan-cytokeratin, and C-117 (Figures 5, 6, 7, 8, respectively), was weakly CK5/6-positive (no image), and negative for CD30 (Figure 9). Thus, the final diagnosis of germ cell tumor, pure yolk sac type was made. Because of the negative ultrasound of the scrotum and the inability to find another tumor, this was determined to be a primary anterior mediastinal yolk sac tumor (YST).
The patient was referred to oncology, where the tumor was determined to be stage IIIc. Therapy with bleomycin, etoposide, and cisplatin (BEP) was started. After the first of 4 rounds of BEP therapy before resection, the AFP level fell to 4900 IU/mL, with reduction of initial symptoms.
Discussion
Extragonadal germ cell tumors (GCTs) can arise anywhere in the midline-most commonly in the mediastinum, retroperitoneum, sacrococcygeal region, pineal gland, and neurohypophysis. The mediastinum and retroperitoneum are equally common locations.1
Primordial germ cells are of yolk sac origin. They migrate from the hindgut to the gonadal ridge and become incorporated into the primary sex cords, and they migrate to the gonads. Extragonadal GCTs are thought to have developed because of failure of migration during embryogenesis, which would explain why extragonadal sites fall along the migration pattern of the gonadal ridge.2,3
YSTs are the most common testicular tumor in patients younger than 3 years. They are usually pure tumors in children and mixed in adults. They present with a bimodal age distribution (16 to 18 months and 25 to 35 years). Malignant GCTs of the mediastinum are most common in men (greater than 90%): median age at presentation is 28.8 years.4
Mediastinal non-seminomatous germ cell tumors (NSGCTs) have an estimated annual incidence of approximately 500 in the US.5 Between 2% and 5% of GCTs in males are extragonadal.1 More than 85% of patients are symptomatic on presentation.6 The most common complaints are chest pain, cough, fever, weight loss, and hemoptysis. Interestingly, NSGCTs are associated with Klinefelter syndrome and hematologic malignancies,1,7 but the hematologic malignancies could be secondary to treatment.8
Histologically, extragonadal GCTs are the same as gonadal GCTs. The most common pattern is microcystic/reticular pattern (80%).9 Schiller-Duval bodies are pathognomonic but not the most common. In our patient, characteristics of classic YSTs were vacuolated cytoplasm, intracellular eosinophilic globules and thickened hyaline basement membranes.9 The immunohistochemistry of YSTs is usually positive for pancytokeratin, AFP, SALL-4, glypican-3, and placental alkaline phosphatase.9
Because of the histologic similarities, extragonadal and gonadal YSTs are treated in a similar manner. Etoposide and cisplatin are used, and bleomycin is added if the tumor is of a higher stage. BEP therapy, 2 to 4 cycles, is the select treatment option, with residual tumor surgical excision after AFP levels are reduced to near normal limits.7 Primary surgery is not considered in mediastinal GCTs because of the assumption of metastasis.4
Prognosis
According to the International Germ Cell Collaborative Group, our patient is considered to have a poor prognosis because of the primary mediastinal location of the NSGCT, the non-pulmonary visceral metastases, and an AFP level of greater than 10,000 IU/mL.10 Only 1 of 3 was needed to meet the criteria for poor prognosis. This leads to a 5-year survival of 48%.10 Patients who meet 1 or more of these criteria have a low response rate and are more prone to relapse than are those whose tumors are located elsewhere.10
Serum AFP is the most important tumor marker in patients with mediastinal YSTs.11 Fewer than 5% have total resolution of serum markers.6 However, long-term survival is still possible, with elevated tumor markers at the time of resection in mediastinal GCTs.12
Of note: there are very few data on pure YSTs of the anterior mediastinum. Overall, it appears that this tumor has the worst prognosis of all extragonadal NSGCTs.
1. Bokemeyer C, Nichols CR, Droz J-P, et al. Extragonadal germ cell tumors of the mediastinum and retroperitoneum: results from an international analysis. J Clin Oncol. 2002;20:1864-1873.
2. Ueno T, Tanaka YO, Nagata M, et al. Spectrum of germ cell tumors: from head to toe. Radiographics. 2004;24:387-404.
3. Tinica G, Butcovan D, Cimpeanu C, Tarcoveanu E. A mediastinal germ cell tumor of yolk sack type-case report. Chirurgia. 2010;105:831-834.
4. Sakurai H, Asamura H, Suzuki K, et al. Management of primary malignant germ cell tumor of the mediastinum. J Clin Oncol. 2004;34:386-392.
5. Vogelzang NJ, Anderson RW, Kennedy BJ. Successful treatment of mediastinal germ cell/endodermal sinus tumors. Chest. 1985;88:64-69
6. Duwe BV, Steman, DH, Musani AI. Tumors of the mediastinum. Chest. 2005;128:2893-2909.
7. Dexeus FH, Logothetis CJ, Chong C, et al. Genetic abnormalities in men with germ cell tumors. J Urol. 1988;140:80-84.
8. Hartmann JT, Nichols CR, Droz JP, et al. Hematologic disorders associated with primary mediastinal nonseminomatous germ cell tumors. J Natl Cancer Inst. 2000;92:54-61.
9. Amin MB. Diagnostic Pathology: Genitourinary. Baltimore: Lippincott Williams & Wilkins; 2010.
10. International Germ Cell Collaborative Group. International germ cell consensus classification: a prognostic factor-based staging system for metastatic germ cell cancers. J Clin Oncol. 1997;15:594-603.
11. Sham JS, Chiu CS, Lau WH, et al. Experience with the management of primary endodermal sinus tumor of the mediastinum. Cancer. 1989;64:756-761.
12. Schneider BP, Kesler KA, Brooks J, et al. Outcome of patients with residual germ cell or non–germ cell malignancy after resection of primary mediastinal nonseminomatous germ cell cancer. J Clin Oncol. 2004;22:1195-1200.