A 47-year-old Hispanic woman with severe headaches of 1 month’s duration presents to the emergency department (ED). The pain encompasses the entire head, is constant and crushing (10 on a scale of 1 to 10), and has progressively worsened.
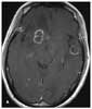
A 47-year-old Hispanic woman with severe headaches of 1 month’s duration presents to the emergency department (ED). The pain encompasses the entire head, is constant and crushing (10 on a scale of 1 to 10), and has progressively worsened. Over-the-counter NSAIDs have provided no relief. She also reports associated photophobia, nausea, and vomiting that interfere with her daily activities, as well as night sweats, fever, and a 15-lb weight loss during the past month. For the past 3 days, she has had left-sided weakness that has reduced her ability to walk or hold a cup in her left hand. An MRI scan obtained 1 week before presentation at the ED showed multiple ring-enhancing lesions with impending uncal herniation (A).

The medical history includes migraine headaches for the past 6 years and idiopathic thrombocytopenic purpura during pregnancy 25 years earlier. The patient is married, has 3 healthy children and 4 cats, smokes cigarettes and drinks alcohol on occasion; she denies illicit drug use. Six months ago, she traveled to Honduras.
The patient is lethargic, incoherent, and unable to follow commands. Vital signs are normal. Cranial nerves are grossly intact. Sensation to pain, temperature, proprioception, and vibration is intact bilaterally. Motor strength is 4/5 on the left, 5/5 on the right. Reflexes are 2+ bilaterally. Toes are down-going bilaterally. The remainder of the physical findings are unremarkable.

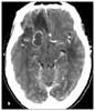
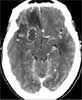
A CT scan of the head reveals several irregular lesions in both cerebral hemispheres and in the right cerebellar hemisphere, with surrounding edema (B).
What do you suspect-and how will you confirm the diagnosis?
(answer on next page)
Answer: Cerebral toxoplasmosis

Hospital course. The patient was admitted to the ICU and given intravenous mannitol and dexamethasone. Levetiracetam was administered to prevent seizure activity. Neurosurgery, neurology, and infectious disease consultations were obtained. Initial laboratory test results were unremarkable. CT scans of the chest, abdomen, and pelvis were negative for a primary tumor.
The patient tested positive for HIV (CD4+ cell count, 77/μL; CD4:CD8 ratio, 0.32). Toxoplasma IgG titer was positive (5.72). VDRL test results were nonreactive.
Oral sulfadiazine and pyrimethamine were started. To rule out CNS lymphoma, a single photon emission CT of the brain was performed. The scan was negative for uptake, consistent with the diagnosis of cerebral toxoplasmosis. A lumbar puncture showed a white blood cell count of 9/μL (with 2% neutrophils, 68% lymphocytes, and 29% monocytes) and a total protein level of 65 mg/dL; the cerebrospinal fluid (CSF) was negative for malignant cells. BK virus, JC virus, and Epstein-Barr virus were not detected. CSF culture yielded no growth.
Outcome. After 10 days of therapy, the patient’s photophobia and headaches had abated; the hemiparesis had completely resolved. There were no complications during the hospital stay.
CEREBRAL TOXOPLASMOSIS: AN OVERVIEW
Toxoplasma gondii is one of the most common human parasites in the world. Although more than 60 million persons in the United States may be infected with this intracellular protozoan, a healthy immune response prevents the propagation of an acute infection. Consequently, most infected persons are asymptomatic or have a mild illness with nonspecific symptoms (eg, lymphadenopathy, fever, malaise, night sweats) that may mimic infectious mononucleosis. However, pneumonitis, myocarditis, or necrotizing encephalitis may develop in immunocompromised persons.
The disease has 2 separate life cycles: the sexual cycle, which exists only among cats, making them the essential definitive host; and the asexual cycle, which occurs among other mammals, including humans, and certain bird species. Routes of transmission include:
•Ingestion of raw meat (eg, pork).
•Contact with cat feces.
•Blood transfusion or organ transplantation (rare).
•Transplacental passage of the disease from infected mother to fetus.
As immunity develops, bradyzoites encyst but generally remain viable, as evidenced by a positive serotiter. In HIV-infected persons who are seropositive for Toxoplasma, reactivation is more likely once their CD4+ cell count drops below 100/μL, unless they receive prophylactic agents. Brain involvement is the most common manifestation in patients with AIDS.
Treatment of T gondii infection targets the tachyzoite form. The therapeutic regimen consists of pyrimethamine, a folic acid antagonist that is highly selective against T gondii and has a synergistic effect when used with sulfadiazine.