A 63-year-old woman presents to the emergency department with a 3-day history of abdominal pain, nausea, and obstipation. The pain is located in the left lower quadrant and is sharp, constant, and nonradiating.
A 63-year-old woman presents to the emergency department with a 3-day history of abdominal pain, nausea, and obstipation. The pain is located in the left lower quadrant and is sharp, constant, and nonradiating. She has had no bowel movements or flatus for 4 days and has no recent history of diarrhea, chills, vomiting, or weight loss.

A similar episode occurred 2 years earlier. Colonoscopy results at that time were normal. The patient has Crohn disease and hypothyroidism. Her history includes a total abdominal hysterectomy and back surgery. She is taking levothyroxine.
The patient's temperature is 38.3°C (101°F). Vital signs are stable. The abdomen is nondistended, with active bowel sounds in all quadrants. The left lower quadrant is tender, but no guarding, rebound, or masses are noted. Digital rectal examination reveals brown stool that tests negative for blood.
White blood cell count is 24,000/µL (normal, 5000 to 10,000/µL), with 89% neutrophils. Serum electrolyte levels and results of renal and liver function tests and a coagulation test are normal.

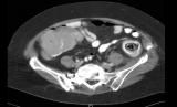
Plain radiographs of the abdomen reveal a nonspecific bowel gas pattern with scattered air-fluid levels and phleboliths in the lower pelvis. A CT scan of the abdomen and pelvis demonstrates a soft tissue mass with an eccentrically placed fatty area (stranding) in the descending colon (Figure 1). Images from a Gastrografin enema indicate a possible intussusception in the sigmoid colon. Flexible sigmoidoscopy reveals a lesion that obstructs the lumen at the splenic flexure (Figure 2).
The history, laboratory results, and radiographic findings suggest intussusception. Because intussusception can lead to ischemia, perforation, and peritonitis, it requires immediate surgery. Reduction of the intussusception can be attempted with an air, water, or Gastrografin enema in children. However, this method may lead to bowel perforation in older patients and is not recommended for adults.
En block surgical resection is chosen because of the lesion seen on CT and flexible sigmoidoscopy. Exploratory laparotomy identifies a hard mass in the sigmoid colon without evidence of stricture or intussusception. Pathologic evaluation of the resected section reveals a fecaloma and no evidence of malignancy (Figure 3). The patient is discharged about 5 days after the surgery. At follow-up 6 months later, she is completely asymptomatic.
FECALOMA: AN OVERVIEW
In a patient who has a fecaloma, the accumulation of feces increases in volume and density until it resembles an abdominal tumor. Usually, fecalomas are located in the rectosigmoid region and are radiopaque, with concentric layers of calcification.1 Elderly, debilitated persons who have chronic constipation are often affected.2 Any condition or medication that contrib- utes to fecal impaction can lead to the development of a fecaloma. As in this patient, a fecaloma can cause nonspecific symptoms and may be confused with another disease process, such as intussusception, mechanical bowel obstruction, ulcer disease, and vascular occlusion.

Patients may complain of abdominal pain, anorexia, nausea, vomiting, and incontinence. On examination, a palpable mass of stool, abdominal tenderness, or distention may be noted.
Plain abdominal radiographs usually reveal fecal matter in a dilated colon. Often, a contrast enema is required to define the nature of the obstruction.3 A CT scan and colonoscopy may also aid in the diagnosis.
Complications of a fecaloma include bowel obstruction, spurious diarrhea, stercoral ulceration, spontaneous perforation of the colon, urinary tract obstruction, and hydronephrosis.4
Most fecal impactions are successfully evacuated by conservative methods, such as enemas, laxatives, and digital evacuation. Surgery may be required to remove a fecaloma when conservative measures have failed. Limited resections are frequently adequate; more extensive resections may be necessary when there is total colonic inertia.5 Timely intervention can provide a definitive diagnosis and prevent serious complications, such as stercoral perforation.1
REFERENCES:
1.
Rajagopal A, Martin J. Giant fecaloma with idiopathic sigmoid megacolon: report of a case and review of the literature.
Dis Colon Rectum.
2002;45: 833-835.
2.
Fagelman D, Warhit JM, Reiter JD, Geiss AC. CT diagnosis of fecaloma.
J Comput Assist Tomogr.
1984;8:559-561.
3.
Hecht PG, Kory LA, Hecht A. Fatal fecaloma.
N Y State J Med.
1976;76:264-267.
4.
Knobel B, Rosman P, Gewurtz G. Bilateral hydronephrosis due to fecaloma in an elderly woman.
J Clin Gastroenterol.
2000;30:311-313.
5.
Pfeifer J, Agachan F, Wexner SD. Surgery for constipation: a review.
Dis Colon Rectum.
1996;39:444-460.