Ehrlichia species, which are transmitted by ticks, may causehuman monocytotrophic ehrlichiosis and human granulocyticanaplasmosis. Symptoms of infection include fever, headache,myalgia, progressive leukopenia, thrombocytopenia, and anemia.Diagnosis is based on clinical findings, although serologicaltests can identify the specific infectious ehrlichial organism.Tick repellents, particularly permethrin, can help prevent tickbites and lower the risk of infection by tick-borne pathogens.Tetracycline antibiotics are therapeutic for treatment ofehrlichial infections. [Infect Med. 2008;25:425-429]
Ehrlichia species are bacteria of the family Anaplasmataceae. They are small, gram-negative, pleomorphic organisms that primarily infect circulating leukocytes. The 3 main ehrlichial species that currently cause infection in humans in the United States are Ehrlichia chaffeensis, Anaplasma phagocytophilum (formerly Ehrlichia phagocytophilum), and Ehrlichia ewingii.
E chaffeensis, the causative agent of human monocytotrophic ehrlichiosis (HME), is endemic to the southeastern and south central United States. The pathogen infects mononuclear phagocytes in blood and tissue.1 Strains of E chaffeensis, such as the Arkansas strain and strain 91HE17, differ pathogenically.2
Since it was first recognized in 1986, HME has become an important public health issue in the southeastern and south central United States. The average reported annual incidence is approximately 0.7 cases per million population.3 In 2007, 743 cases were reported.4
HME may cause morbidity and can result in severe illness if left untreated or if treatment is delayed. Death also is possible; the case fatality rate is approximately 2.7%.5-10 The history of a patient with HME typically includes a tick bite 2 to 3 weeks before presentation. An associated rash is uncommon, occurring in approximately a third of patients, whereas a rash develops in approximately 80% of patients with Rocky Mountain spotted fever.11 On average, patients are men (75%) who reside in rural areas and are about 44 years of age.10
Aphagocytophilum infects granulocytes and causes human granulocytic anaplasmosis (HGA). It is endemic to New England and the north central and Pacific states. The average reported annual incidence of HGAis 1.6 cases per million population. 3 A total of 672 cases were reported in 2007.4
Symptoms of HGA include headache, myalgia, rigors, and malaise. GI, respiratory, and CNS abnormalities occur in a minority of patients.12 Rash is rare. Opportunistic infections caused by Ehrlichia-associated immunosuppression may develop in the setting of HGA infection. These infections include disseminated candidiasis, herpetic esophagitis, cryptococcal pneumonitis, and invasive pulmonary aspergillosis.12,13
E ewingii is primarily a dog and deer pathogen, although it occasionally causes human illness in immunocompromised patients.14E ewingii infection causes disease similar to HME but is milder and is associated with fewer complications; it has not been associated with deaths.12 The organism is endemic to the south central and south atlantic states.
CLINICAL AND LABORATORY FINDINGS
Clinical and laboratory manifestations of HME and HGA are similar. The patient usually presents with fever, headache, myalgia, progressive leukopenia (often with a left shift), thrombocytopenia, and anemia. In addition, there may be moderate elevations in hepatic transaminase levels. Sometimes cough, gastroenteritis, or meningitis is present. Presence or absence of a rash may help diagnosis because rash is observed only occasionally in HME and rarely in HGAor E ewingii infection.
Illness caused by E chaffeensis may be more serious than that caused by A phagocytophilum. Fatality rates are 2% to 3% for HME and less than 1% for HGA. As mentioned, ehrlichial organisms may alter the patient's immune system, allowing opportunistic infections such as fungal pneumonia and candidiasis to occur.1,15
Diagnosis of ehrlichiosis mainly depends on clinical findings, although serological tests may be used to detect antibodies against the respective ehrlichial organism. A 4- fold increase in antibody titer to E chaffeensis antigen (minimum, 64) or a single serum antibody titer of 256 or higher for a patient with a clinically compatible history serologically confirms that E chaffeensis is the causative pathogen. Although not widely available, polymerase chain reaction (PCR) amplification of DNA from blood or cerebrospinal fluid using primers derived from E chaffeensis species-specific nucleotide sequences of the 16S ribosomal RNA gene13 has been used to diagnose a substantial number of cases.
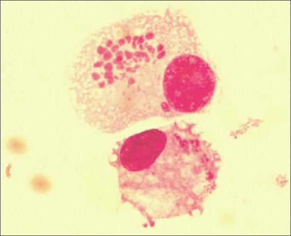
HGA may be diagnosed during the acute stage of illness by visualization of Ehrlichia-laden morulae in peripheral blood neutrophils, but PCR detection of Ehrlichia DNAhas greater sensitivity.13 Visualization of morulae (Figure 1), however, is extremely difficult, more so for HME than for HGA. False positives may occur because of toxic granulations, Dhle bodies, or superimposed platelets or contaminant particles that may be mistaken for organisms.

Figure 1 -
This image shows a canine macrophage with intracytoplasmic aggregations (morulae).(Photo courtesy of Andrea Varela-Stokes, DVM, PhD, Mississippi State University; usedwith permission.)
Diagnostic confirmation of HGA requires a serological reaction or a 4-fold increase in antibody titer to A phagocytophilum antigen (minimum, 80). Cross-reactivity of antibodies with E chaffeensis are diagnostically misleading, but anti-A phagocytophilum titers are consistently higher than anti-E chaffeensis titers in patients who have HGA. Because E ewingii has not yet been cultured and a specific serological test is not available, diagnosis is primarily based on molecular detection of organisms (by PCR) or on evidence of morulae in neutrophils.
ECOLOGY OF EHRLICHIOSIS
Ehrlichiosis is transmitted to humans by the bite of an infected tick. HME cases primarily occur within the geographic area inhabited by the Lone Star tick (LST) Amblyomma americanum (Figure 2) and the whitetailed (WT) deer. The geographic range of the LST is central Texas east to the Atlantic Coast and north to the environs of Iowa and New England. 16 Although WT deer appear to be the primary reservoir and host for the ticks, other animals may become infected with E chaffeensis.17,18 In addition, domestic dogs and red foxes have been experimentally infected with E chaffeensis.19 In fact, dogs have become a suitable model for several studies of E chaffeensis.20-22 Even though the LST is the primary vector, detection of E chaffeensis in other ticks such as the American dog tick Dermacentor variabilis in Arkansas and the occurrence of HME cases in the geographic range of D variabilis suggest that ticks besides the LST may be vectors of E chaffeensis.

Figure 2 -
Pictured is an adult female Lone Star tick Amblyomma americanum. (Photocourtesy of Blake Layton, PhD, Mississippi State University Extension Service; used withpermission.)
LSTs heavily populate the southern United States (Figure 3), and bites commonly occur in persons living in rural areas of that region. The incidence of HME in relation to the high incidence of LST bites suggests that the rate of infection with E chaffeensis may be relatively low. In one case report, serological evidence of ehrlichial infection was demonstrated in 7 of a few hundred soldiers who had exposure to areas of extremely high LST populations. Two of the 7 soldiers became clinically ill (Mississippi Department of Health notes and records, unpublished data, 1989). Some of the soldiers who were interviewed during the study detailed how they often crawled on their stomachs through brush and grassy areas, resulting in the accumulation of hundreds of ticks on their bodies. Using a drag cloth, 31,056 ticks were collected over a 2- day period from the area in which the soldiers trained; 99.7% of the ticks were of the Lone Star species.

Figure 3 -
The southernUnited States is ahotbed for Lone Starticks. Dozens ofnymphal Lone Starticks are shown on theauthor's hand. (Photocopyright 2002 byJerome Goddard, PhD.)
Only a paucity of information about the ecology of HGA is available at this time. It mostly has been diagnosed in patients from the upper Midwest and northeastern United States, although cases have occurred in southern states and California. The primary tick vector is Ixodes scapularis (some may still remember it as Ixodes dammini). It is the same species that transmits Borrelia burgdorferi, which causes Lyme disease; thus, a tick bite from this species carries with it the possibility of coinfection with Lyme disease and even babesiosis.23 Possible animal reservoirs of A phagocytophilum include deer, elk, and wild rodents.
As for the ecology of E ewingii, transmission by the LST was demonstrated experimentally in 1990.24 Evidence of this Ehrlichia species in LSTs has been shown repeatedly.25-28E ewingii can be transmitted to deer from infected LSTs, and its transmission to goats has been shown to cause clinical illness.29,30
PREVENTION AND TREATMENT OF EHRLICHIOSIS
Prevention of ehrlichiosis is essentially the same as that of Rocky Mountain spotted fever and other tick-borne rickettsial diseases (TBRDs). Personal protection techniques against ticks should be used when working or playing in the outdoors during warmer months. Tucking pant legs inside socks or rubber boots will go a long way toward keeping ticks away. In addition, insect repellents may help deter biting ticks, but not all are equally effective.
DEET products
Insect repellents containing the active ingredient N,N-diethyl-metatoluamide (DEET) have been widely available for at least 40 years and have some repellency against ticks. One study demonstrated that DEET treated military uniforms provided between 10% and 87.5% protection against ticks, depending on the species and life stage of the tick.31 The average rate of protection against all species of ticks was 59.8%. Obviously, protection levels in the 50% range are less than desirable, considering the fact that only 1 infected tick is required to transmit a tick-borne disease.
In a US Army repellent rating system, DEET is assigned a 2X rating, whereas permethrin products are given a 3X rating.32 DEET products are simply not as effective as permethrin products in protecting a person from ticks.31,33 However, the advantage of DEET is that it can be applied to human skin in places likely to make contact with ticks: ankles, legs, and arms.
Permethrin products
The most effective tick repellents contain permethrin, a synthetic pyrethroid pesticide with very low mammalian toxicity. It is for clothing use only, not to be applied directly to human skin. In one study, a pressurized spray of 0.5% permethrin was compared with 20% and 30% DEET products on military uniforms worn in a highly tick-infested area.33 A 1-minute application of permethrin provided 100% protection, compared with 86% and 92% protection with the 2 DEET products, respectively. In addition, permethrin has been shown to remain in clothing, providing 100% protection against ticks after several washings.32,34,35
Permethrin is applied to clothing by slowly sweeping the aerosol spray over the garment until it is slightly wet (Figure 4). Label instructions should be followed. Some persons hang garments on a clothesline, spray them, and wear them after they dry. When ticks subsequently crawl on the treated clothing, they are either killed or repelled.

Figure 4 -
Applicationof permethrin tickrepellent to clothingcan help preventtick bites
.
Permethrin is extremely effective against New World ticks, but there is some evidence that not all tick species are equally repelled by permethrin products. One Old World species, the camel tick Hyalomma dromedarii, exhibits a high tolerance to permethrin and an increased biting response when exposed to the substance.36
THERAPEUTIC INTERVENTION
Dumler and Bakken1 point out that treatment of HME and HGA should solely consist of a tetracycline such as doxycycline (rifampin may be an alternative for patients who are allergic to tetracycline). The dosage of oral or intravenous doxycycline is 100 mg twice daily for adults and 2 mg/lb of body weight per day in 2 divided doses for children who weigh less than 100 lb (45.4 kg).3
E ewingii infection also has been treated successfully using the same tetracycline dosage that is used in the treatment of HME.37 Tetracyclines typically are contraindicated for use during pregnancy but might be warranted in life-threatening situations where clinical suspicion of TBRDs is high. Fever typically subsides within 24 to 48 hours after initiation of treatment when the patient receives doxycycline or another tetracycline during the first 4 to 5 days of illness.3 Failure to respond to early treatment might be an indication that the patient does not have a TBRD but another disease entity.