A 56-year-old woman with type 2 diabetes mellitus and hypertension presented with acute left-sided weakness and altered mental status, for which she was hospitalized. The patient, who was obese, was in her usual state of well-being until 2 months before this presentation, when she noted a gradual onset of generalized weakness. She received a diagnosis of severe hypokalemia that was refractory to oral potassium supplementation. The outpatient workup of the cause of her hypokalemia was in progress.
A 56-year-old woman with type 2 diabetes mellitus and hypertension presented with acute left-sided weakness and altered mental status, for which she was hospitalized. The patient, who was obese, was in her usual state of well-being until 2 months before this presentation, when she noted a gradual onset of generalized weakness. She received a diagnosis of severe hypokalemia that was refractory to oral potassium supplementation. The outpatient workup of the cause of her hypokalemia was in progress.
On the day of admission, the patient experienced acute weakness affecting her left arm and leg; this was associated with gait instability. She did not report any fever, visual disturbances, headache, or respiratory or GI symptoms.
The patient reported having a gumboil a week before this presentation but did not recall purulent discharge. She had visited her dentist 5 weeks and 1 week before for a cleaning and evaluation of the gingival lesion, respectively; no invasive procedures or extractions were performed.
Her surgical history included a hysterectomy. She had no food or drug allergies. Although her influenza vaccination was up-to-date, her pneumococcal, tetanus, and diphtheria vaccinations were not. The patient had not had a screening colonoscopy or mammogram, and she was not current with routine gynecological examinations.
The patient was a registered nurse and worked at a local outpatient adult clinic; apart from this, she had no close contact with sick persons. She was usually very active and had close ties to her many siblings and extended family. She did not use any tobacco, alcohol, or recreational illicit substances. No travel outside the local area and no exposure to unusual foods, animals, insects, or water sources were reported.
On initial evaluation, she was afebrile, her blood pressure was 190/90 mm Hg, and her heart rate was 90 beats per minute. Toxicity was not evident in her appearance. Her pupils were briskly reactive to light, she had full extraocular muscle movement, and her neck was supple. There were no oral lesions or evidence of a tooth or gingival abscess.
Examination of her chest, heart, abdomen, and back did not reveal any abnormal findings. There was no evidence of rash, lymphadenopathy, or inflamed joints. She was very somnolent, arousable only with moderately noxious tactile stimuli; her responses were limited to "no" and "yes."
No cranial nerve deficits were present on neurological examination. However, diminished strength in her left upper and lower extremities was evident. Her deep tendon reflexes were more brisk on the left upper and lower extremities. She had down-going plantar responses. Detailed sensory, proprioception, gait, and vibration evaluations were difficult because of her somnolent state. However, she withdrew all extremities from noxious stimuli.
Laboratory findings were significant for a serum potassium level of 2.3 mEq/L (normal, 3.3 to 5.3 mEq/L), a serum glucose level of 377 mg/dL (normal, 70 to 110 mg/dL), and an anion gap of 19 mEq/L (normal, 8 to 12 mEq/L). Serum creatinine level and liver function test results were within normal limits. The peripheral white blood cell (WBC) count was 9100/?L (normal, 4800 to 10,800/?L), with 96% segmented neutrophils. The hemoglobin level was 16 g/dL (normal, 12 to 16 g/dL), the hematocrit concentration was 47% (normal, 37% to 48.5%), and the platelet count was 123,000/?L (normal, 150,000 to 350,000/?L). A random serum cortisol level was markedly elevated at 112.2 ?g/dL (normal, 3.1 to 22.4 ?g/dL). The serum thyroid-stimulating hormone level was 0.43 ?IU/mL (normal, 0.4 to 4.0 ?IU/mL).
Anoncontrast CT scan of the head for evaluation of the patient's neurological deficit did not show any abnormal findings. Potassium was aggressively replenished intravenously. In addition to her high serum cortisol level, her serum adrenocorticotropic hormone (ACTH) level was markedly elevated at 596 pg/mL (normal, 10 to 60 pg/mL). Based on the clinical and laboratory data, an ectopic ACTH production was suspected, and a search for the possible primary tumor was initiated with CT scanning of her chest, abdomen, and pelvis. The CT scans showed several small renal hypodensities, adrenocortical thickening, and clear lung fields. No significant abnormalities were discovered.
On the second hospital day, while workup of the patient's left-sided weakness and endocrine and electrolyte abnormalities were under way, her temperature increased to 38.9C (102F). Routine blood and urine cultures were obtained, and a lumbar puncture was performed to collect cerebrospinal fluid (CSF) for analysis.
Laboratory studies of the CSF yielded a WBC count of 134/?L (normal, 0 to 5/?L), with 44% segmented neutrophils (normal, 0% to 6%), 51% lymphocytes (normal, 0% to 80%), and 5% monocytes (normal, 0% to 45%); a red blood cell count of 6/?L; a glucose level of 227 mg/dL, which was 58% of the concurrent serum glucose level of 388 mg/dL; and a protein level of 122 mg/dL (normal, 12 to 60 mg/dL). Gram stains of the CSF revealed no organisms.
DIFFERENTIAL DIAGNOSISDr Steele:This patient, who has multiple medical problems, presented with what is essentially a stroke. The normal noncontrast CT scan only eliminates a hemorrhagic cerebrovascular accident. Once a fever developed, infectious disease and autoimmune causes of her neurological abnormalities were pursued.
Findings from the CSF analysis were basically those of aseptic meningitis- WBC count, 134/?L, with a 50/50 differential; an elevated protein level; and a normal glucose level. The first pathogen to rule out is herpes simplex virus (HSV). I would immediately order a polymerase chain reaction (PCR) assay to test for HSV in the CSF. Meanwhile, I would add acyclovir to the patient's initial empirical therapy, along with ceftriaxone and vancomycin pending the results of CSF bacterial cultures. Other viruses to test for would be enteroviruses; a PCR test for enteroviruses is now available and would allow for earlier discontinuation of therapy for other pathogens if warranted. The best imaging study for herpes encephalitis is MRI, which is also useful in ruling out other causes of illness, including acute disseminated encephalomyelitis associated with enteroviral infection.
A good but oft-forgotten test to rule out Cryptococcus neoformans as a cause of meningitis is an India ink capsule stain of CSF. It might be useful in this case to test the CSF for Cryptococcus antigen. Other treatable causes of aseptic meningitis are catscratch disease (Bartonella henselae infection), Mycoplasma pneumoniae infection, and Lyme disease. Because the patient did not mention any exposure to cats, travel to regions where Lyme disease is endemic, or respiratory symptoms, I would neither treat empirically nor test for these causes unless the clinical picture changes and the results of the other tests are negative.
Both syphilis and tuberculosis are causes of aseptic meningitis, and they are easy to assess for, with a VDRL test of CSF and with a tuberculin skin test and chest radiograph, respectively. If within a few days the test results are negative or if the patient's condition does not improve, I would order a specific serological test for syphilis and obtain an acid-fast stain and PCR test of the CSF for tuberculosis.
Vasculitis from autoimmune disorders or immune complex diseases and a neoplasm should also be among the differential diagnoses. MRI would be helpful in diagnosing these conditions.
CLINICAL COURSE
Preliminary CSF cultures showed no growth of organisms. In addition, the CSF India ink capsule stain demonstrated no yeast forms, and Cryptococcus antigen was undetectable in CSF. Culture of CSF was negative for HSV after 7 days, and acid-fast stains and bacterial and fungal cultures did not yield any pathogens.
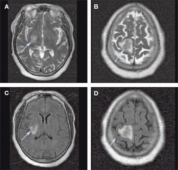
An MRI scan of the brain showed 2 discrete lesions in the right cerebral hemisphere, one in the right lateral basal ganglia and the other in the parasagittal right posterior frontal lobe centered within the precentral gyrus (Figure). There was no corresponding diffusion restriction, ruling out the diagnosis of acute cerebral infarction. The lesions demonstrated flair and T2 signal hyperintensity predominantly in the white matter, which is compatible with edema. Irregular ringlike contrast enhancement was also noted.

Figure -
These axial T2-weighted (A, B) and flair (C, D) MRI scans show discrete lesions(arrows) in the right lateral basal ganglia (A, C) and in the parasagittal right posterior frontallobe centered within the precentral gyrus (B, D).
The lesions seen on the MRI scan suggest an abscess or a neoplastic lesion rather than an infarction. Therefore, a biopsy of the brain was performed to provide the definitive diagnosis. Significant purulence was encountered, and the material was sent for cytological and microbiological evaluation.
A Gram stain of the abscess material demonstrated rare Gram-positive bacilli and rare polymorphonuclear leukocytes. Cultures revealed a colony of Listeria monocytogenes susceptible to penicillin and ampicillin. Blood cultures also were positive for L monocytogenes; minimal inhibitory concentrations were less than 0.25 ?g/mL for ampicillin and 0.25 ?g/mL for penicillin.
FINAL DIAGNOSIS
Brain abscess caused by Listeria monocytogenes
DISCUSSION
The microbiological causes of brain abscesses vary with the nature of pathogenesis. In general, streptococci account for 60% to 70% of cases, followed by Bacteroides and Prevotella species (20% to 40% of cases), Enterobacteriaceae (23% to 33% of cases), Staphylococcus aureus (10% to 15% of cases), and fungi (10% to 15% of cases).1 Protozoa, helminths, and Haemophilus influenzae each account for fewer than 1% of cases.
Listeria monocytogenes
A ubiquitous Gram-positive rod, L monocytogenes causes disease in trout, rodents, domestic ungulates, and humans. It is a facultative intracellular bacteria; is non-spore-forming, unlike Bacillus anthracis and Clostridium; and is highly motile and hemolytic, differing from Corynebacterium. In addition, L monocytogenes may mimic H influenzae or "contaminants" because of its variable morphology on stains.
Epidemiology and pathogenesis
The annual incidence of listeriosis in the United States is 7.4 cases per 1 million population, with approximately 1850 cases and 425 deaths per year.2,3 Pregnant women account for 60% of Listeria infections in persons aged 10 to 40 years, and 27% of all cases. Seventy percent of nonperinatal cases of listeriosis are associated with some form of disease-related or iatrogenic immunosuppression.4
The underlying risk factor for listeriosis is decreased cell-mediated immunity, as seen in patients with hematological malignancy, diabetes mellitus, iron overload states, end stage renal disease, connective-tissue disease, or HIV infection (relatively uncommon) and in those who have undergone a solid organ (especially renal) transplantation or received corticosteroids or tumor necrosis factor ? antagonists. Low gastric acidity is thought to further inhibit a person's innate capability of preventing invasive listeriosis. Although cellmediated immunity is essential for protection against Listeria, defects in humoral immunity, such as absent or decreased levels of ?-globulin and anatomic or functional asplenic states, do not seem to confer any added risk of listeriosis.
Almost all human cases of listeriosis are caused by ingestion of contaminated foods. The incubation period is 11 to 70 days (mean, 31 days).4 Hot cooked foods are not a vehicle for Listeria transmission. The organism thrives at refrigerator temperature (range, 0.5C to 15C [32.9F to 59F]) and a wide pH range. A small amount of contaminant may be sufficient to cause infection.
Culprit food items include coleslaw, chocolate milk, soft cheeses, uncooked turkey frankfurters, undercooked chicken, undercooked vegetables, mushrooms, vacuum-packed trout, cold corn salad, and pork tongue in jelly. Given that various surveys have found that 15% to 70% of deli meats are contaminated with Listeria, it is surprising that infection rates are not significantly higher than reported.4
Once ingested, L monocytogenes penetrates into Peyer patches of the small intestine and then into the bloodstream. This process is perhaps aided by active endocytosis by endothelial cells.
The most common clinical presentation of listeriosis in the United States in all age groups is meningitis (55% to 75%).5 Twenty-five percent of cases of Listeria infections involve bacteremia; 7.5% involve endocarditis; and 6.5% involve nonmeningitic cerebritis, meningoencephalitis, or rhombencephalitis. Brain abscesses account for just 1% of cases of listeriosis, notably in solid organ transplant recipients and in patients with hematological malignancies.6 Cases of endophthalmitis, osteomyelitis, peritonitis, pleuritis, pneumonia, endometritis, and endovascular infections have been reported as well.4
The pathogenesis of supratentorial Listeria brain abscess is different from that of Listeria meningitis. In meningitis, the CNS entry site is the epithelium of the choroid plexus. In brain abscesses, L monocytogenes- infected macrophages penetrate cerebrovascular endothelial cells (usually of the middle cerebral artery), resulting in cerebritis and brain abscess formation. CNS involvement after the neonatal period occurs in 30% to 55% of patients with listeriosis and may take the form of meningitis; cerebritis; acute and chronic meningoencephalitis; cerebral, cerebellar, or spinal cord abscesses; and rhombencephalitis.
Types of CNS listerial diseaseListeria meningitis is the fifth leading cause of bacterial meningitis but is associated with the highest mortality rate (22%); it is also the most common cause of bacterial meningitis in patients with lymphoma, in organ transplant recipients, and in patients who have used corticosteroids.4,7
The presentation of Listeria meningitis is highly variable. Gram stains of CSF showing L monocytogenes may be misread as contaminants or diphtheroids because of the pleomorphic appearance of Listeria. Blood cultures are positive for L monocytogenes in up to 75% of cases, and seizures occur in up to 25% of cases.4
Listeria rhombencephalitis is similar to the ungulate condition circling disease of sheep.8 Brain stem symptoms and signs predominate (including ataxia, cranial nerve palsies, deafness, hemiplegia, and musical auditory hallucinations).9
Cerebritis usually results from hematogenous spread, and its presentation may resemble a stroke with hemiplegia. Microvascular thrombotic occlusion has been implicated in this setting.
Listeria brain abscesses occur in 1% of patients with bacteremia. Immunosuppression may play a greater role in brain abscess formation than in meningitis. Corticosteroid use is a significant risk factor, especially in cases involving 2 or more abscesses. The mortality rate for patients with brain abscesses caused by Listeria is 2 to 3 times higher than that for patients with non- Listeria brain abscesses.5,6
A review of 820 cases of CNS listeriosis (outside of pregnancy/ neonatal period) included 23 cases of Listeria brain abscesses.5 Hematological malignancy and renal transplant were the leading risk factors for patients with meningitis or meningoencephalitis, although 36% of these patients had no underlying risk factors.
Through December 2001, 40 cases of supratentorial Listeria brain abscesses have been reported worldwide, with associated mortality rates of 44% (2 or more abscesses) and 40% (1 abscess).6
Management
Routine surgical evacuation and drainage of Listeria brain abscesses are not essential for cure6 but should be performed if feasible. Surgical drainage, in addition to removing purulent fluid and reducing the size of the abscess, provides a significant diagnostic advantage, especially if other causes are ranked high in the differential diagnoses.
Ampicillin (or penicillin) is the therapeutic drug of choice. The addition of gentamicin for synergy is widely reported and recommended. Trimethoprim/sulfamethoxazole (TMP/SMX), 15 mg/kg/d of TMP in divided doses every 6 hours, should be used in patients with significant allergy to penicillin. The addition of TMP/SMX to ampicillin has been reported as successful in certain cases, possibly because of more effective bactericidal activity. Aside from anecdotal reports, it has not been determined whether the combination of TMP/SMX and ampicillin is superior to ampicillin and gentamicin or to ampicillin alone.
Newer agents to manage CNS listeriosis include linezolid, which has very good CNS penetration and good in vitro activity against Listeria. However, linezolid is bacteriostatic in activity against most pathogens, and there is some concern about whether superior CNS penetration is correlated with an increase in CNS effectiveness.10
As with linezolid, meropenem has good CNS penetration and in vitro activity against Listeria. In addition, meropenem has been recommended as an alternative agent in the empirical treatment of bacterial meningitis (along with vancomycin) when Listeria infection is a concern.
The patient described in the case presented here had impaired cellmediated immunity based on 2 factors: poorly controlled diabetes mellitus and markedly elevated endogenous serum cortisol levels, probably related to an undiagnosed ectopic ACTH-producing tumor (very high serum ACTH levels, refractory hypokalemia). Diabetes mellitus, diagnosed 5 months before illness, may very well have been yet another manifestation of her excess cortisol state. The resultant impaired cellmediated immunity appears to be the most significant risk factor for Listeria bacteremia and subsequent brain abscess.
Because a fever occurred with altered mentation, the patient was empirically treated with linezolid and meropenem, with the subsequent addition of ampicillin. After microbiological confirmation of Listeria brain abscess, ampicillin, 300 mg/kg/d in divided doses every 6 hours, was used as monotherapy. She made a slow but significant recovery over a 2-week period. Unfortunately, she died of a sudden and unexpected cardiac arrest.
CONCLUSION
Invasive Listeria infection has well defined risk factors, with the underlying theme being impaired cellmediated immunity. Listeriosis is perhaps the leading cause of bacterial meningitis in patients with hematological malignancies, in patients who have used corticosteroids, and in solid organ transplant recipients (particularly those who have undergone renal transplantation). If bacterial meningitis is a differential diagnosis, prompt and thorough evaluation of risk factors for underlying cell-mediated immune dysfunction is warranted; if present, empiric treatment for Listeria meningitis should be initiated.
Cases of Listeria bacteremia should be treated aggressively with first-line agents (ampicillin or penicillin with or without gentamicin). Given the well-known predilection of Listeria to infect brain parenchyma (and placental tissue), patients in whom listeriosis is suspected should be carefully monitored. If meningitis or encephalitis occurs in the context of predominant brain stem signs or symptoms, Listeria rhombencephalitis should be considered, drawing a useful cue from the ungulate condition "circling disease of sheep."