A 41-year-old African American man presented with the chief complaint of a constant, dull headache for 3 days. The headache had a gradual onset and was associated with nausea and mild neck stiffness that was not relieved by acetaminophen. The man denied experiencing visual disturbances, fever, night sweats, weight loss, cough, shortness of breath, emesis, or weakness. He had no recent history of trauma or sick contacts.
A 41-year-old African American man presented with the chief complaint of a constant, dull headache for 3 days. The headache had a gradual onset and was associated with nausea and mild neck stiffness that was not relieved by acetaminophen. The man denied experiencing visual disturbances, fever, night sweats, weight loss, cough, shortness of breath, emesis, or weakness. He had no recent history of trauma or sick contacts.
His medical history was significant for a previously treated unknown sexually transmitted disease (STD). He had no known drug allergies. He denied use of tobacco, excessive alcohol, and illicit drugs; he had never been incarcerated or homeless; and to the best of his knowledge, he had not been exposed to tuberculosis (TB). He had no pets, had lived in New Orleans all his life, and had not traveled outside of Louisiana.
On physical examination, the patient's temperature was 37.5C (99.5F), his pulse rate was 77 beats per minute, his respiration rate was 18 breaths per minute, and his blood pressure was 130/77 mm Hg. He was alert, oriented, and in no apparent distress. His pupils were equal and reactive to light and accommodation, and extraocular movements were intact.
The funduscopic examination revealed mild blurring of disc margins and absence of venous pulsations. The patient had decreased flexion and extension of the neck. His cranial nerves were intact, and no gross motor or sensory deficits were noted.
Laboratory tests yielded the following results: white blood cell count, 4100/?L, with 73% polymorphonuclear leukocytes, 4% bands, 12% lymphocytes, and 10% monocytes; hemoglobin level, platelet count, and electrolyte levels, within normal limits; aspartate aminotransferase level, 113 U/L; and alanine aminotransferease level, 138 U/L.
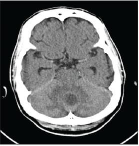
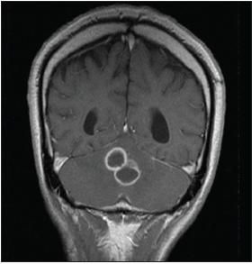
ACT scan of the head revealed a cerebellar vermian mass of 1.8 cm with associated vasogenic edema and moderate cerebral atrophy (Figure 1). An MRI scan of the brain revealed 2 predominant ring-enhancing lesions with surrounding vasogenic edema (Figure 2).

Figure 1 -
This CT scan of thehead, taken on admission,shows a cerebellar vermianmass with associatedvasogenic edema andmoderate cerebral atrophy.

Figure 2
-
This MRI scan ofthe head, taken on admission,shows 2 predominant ringenhancinglesions withsurrounding vasogenicedema.
Dr Hasbun:
The differential diagnosis of ring-enhancing CNS lesions with mass effect includes pyogenic brain abscess, syphilitic gummas, toxoplasmosis, TB, fungal infection, neurocysticercosis, gliomas, and lymphomas.
With the history of an STD, HIV infection must be considered. Toxoplasmosis and lymphoma are common causes of contrast-enhancing cerebral lesions in patients with AIDS. Patients with toxoplasmosis often will present with fever, headache, confusion, or focal neurological deficits. Patients with primary CNS lymphomas usually present with altered mental status, fever, night sweats, and weight loss.
Bacterial causes of brain abscess include Streptococcus pneumoniae, Bacteroides, Staphylococcus aureus, Enterobacteriaceae and, rarely, Nocardia. Patients may have bacteremia from a dental, pulmonary, or skin source with hematogenous spread to the CNS, or they may have a contiguous source of infection, such as otitis media or sinusitis.
An increased incidence of fungal brain abscesses is seen in immunocompromised persons. Increasingly common infections are disseminated aspergillosis in neutropenic patients and mucormycosis in diabetic patients with acidemia.
In Louisiana, Blastomyces dermatitidis causes CNS disease, but patients usually present with pulmonary symptoms. Patients with Cryptococcus neoformans infection usually present with meningitis but can present with cryptococcomas. Histoplasma capsulatum and Coccidioides immitis are not endemic to our area.
CNS tuberculomas or tuberculous abscesses must also be considered. TB risk factors should be assessed, and a tuberculin skin test (TST) should be performed and a chest radiograph (CXR) obtained. If there are CXR abnormalities, the patient should be placed in airborne infection isolation and sputum should be sent for acid-fast bacilli (AFB) smear and culture.
Diagnostic testing may be limited, because a lumbar puncture is not likely to be performed safely in a patient with an increased intracranial pressure and mass effect, such as the one presented in our case. Tests that can be done include HIV serological tests; CD4+ cell count; tests for serum anti-Toxoplasma IgG and serum Cryptococcus antigen; rapid plasma reagin (RPR) tests; blood cultures; and cultures of respiratory secretions when pulmonary abnormalities are present. Elevated liver function test results indicate the need for hepatitis B and C virus screening. Neurosurgery should be consulted for possible biopsy.
CLINICAL COURSE
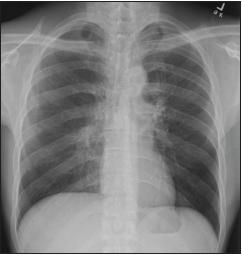
The patient was admitted to the neurosurgical service for brain biopsy. Treatment with dexamethasone was started for CNS edema. ACXR demonstrated a bilateral reticulonodular pattern with upper zone predominance and bilateral hilar predominance (Figure 3). A CT scan of the chest revealed multiple clusters of micronodular opacities in the upper lobes bilaterally and a large area of nodularity with architectural distortion and traction bronchiectasis in the left upper lobe (Figure 4).

Figure 3
-
This chest radiographshows a bilateral reticulonodularpattern with upper zonepredominance and bilateral hilarpredominance.

Figure 4
-
This CT scan ofthe chest shows multipleclusters of micronodularopacities in bilateral upperlobes and bronchiectasisand traction in the leftupper lobe.
Other findings included positive results on a test for hepatitis C virus antibody, a positive RPR titer of 1:8, and an erythrocyte sedimentation rate of 75 mm/h. The patient received 2.4 million units of penicillin intramuscularly for treatment of latent syphilis, but he refused a brain biopsy.
On day 10, the HIV test result was positive, and an infectious disease consultation was obtained. The patient was placed in respiratory isolation, a TST was performed, and sputum for AFB smear and cultures was obtained. Empirical therapy for toxoplasmosis was started.
The TST was nonreactive at 0 mm, and 4 sputum smears were negative for AFB. The patient's CD4+ cell count was 152/?L (25.3%). Results of tests for serum Cryptococcus antigen and anti-Toxoplasma IgG were negative. On day 14, treatment with amphotericin B, ceftriaxone, and metronidazole was begun for possible fungal and pyogenic brain abscess. On day 16, the patient underwent bronchoalveolar lavage (BAL). Smears of BAL fluid were negative for AFB and fungi.
The patient failed to improve and agreed to a brain biopsy. On day 23, he underwent a suboccipital craniotomy. Intraoperatively, a large pocket of purulent material was evacuated from an encapsulated cerebellar mass. The AFB stain of the capsule and purulent material showed numerous AFB organisms. The brain biopsy specimen showed acute and chronically inflamed granulation tissue, an abscess with central necrosis, and a histiocytic component. Postoperatively, the patient suffered cardiac arrest and could not be resuscitated. Mycobacterium tuberculosis was isolated from the brain biopsy specimen, sputum, and BAL fluid.
FINAL DIAGNOSIS
A brain abscess attributed to Mycobacterium tuberculosis
DISCUSSION
CNS tuberculous lesions include tuberculomas and abscesses. Tuberculous brain abscesses are rare and develop when a tuberculoma liquefies and forms exudate.1,2 Tuberculomas are cerebral granulomas surrounded by a capsule; they contain few bacilli, whereas tuberculous abscesses contain numerous bacilli and are similar to pyogenic abscesses characterized by acute and chronic inflammatory cells.1,3 Tuberculomas are not commonly associated with tuberculous meningitis unless they rupture into the subarachnoid space, whereas tuberculous abscesses may leak and cause meningitis.1,4 Pathogenesis for tuberculomas and brain abscess is most likely the hematogenous spread from a primary lung infection.4
Patients with tuberculomas usually present with chronic symptoms over several months to 2 years.5 Symptoms include headache, fever, weight loss, weakness, nausea, vomiting, and focal seizures with or without increased intracranial pressure. Patients with abscesses present with signs and symptoms of a week to 1 month's duration; these include paralysis, headache, seizures, papilledema, and mental status changes.1 Age distribution also varies between the two. Tuberculomas mostly occur in younger patients who are in their teens and 20s, whereas tuberculous abscesses develop in patients who are in their 30s and 40s.1,5
CT and MRI have improved the diagnosis of CNS lesions. Tuberculomas typically occur in the supratentorial brain and appear as "target lesions," ie, ring-enhancing lesions with central areas of calcification.6 Tuberculous brain abscesses are similar to pyogenic abscesses in appearance and are generally larger than tuberculomas.6
Caseating granulomas on histopathology indicate a diagnosis of tuberculoma. Results of AFB smear and culture are positive in approximately 60% of cases. The diagnosis of tuberculous abscess is based on the presence of exudate in the abscess cavity, microscopic evidence of acute inflammatory changes in the abscess cell wall, and the presence of AFB on smear or M tuberculosis growth in culture.1 Stereotactic biopsy may provide adequate histological and culture confirmation with a relatively low morbidity rate.7,8
Treatment of CNS TB is the same as that of pulmonary TB, but the duration is longer. Intervention for a tuberculous abscess may require surgical drainage in addition to antibiotics. Patients are usually started on a regimen of rifampin, isoniazid, pyrazinamide, and ethambutol pending susceptibility results. Adjuvant corticosteroid therapy is recommended, particularly for patients with evidence of increasing intracranial pressure. Response to TB therapy is usually good,9,10 but during the course of treatment, lesions may enlarge because of immune reactivity.
Patients with HIV infection are at increased risk for having M tuberculosis infection progress to active disease, and they often present with pulmonary and extrapulmonary disease. Thonell and colleagues9 observed that 11 of 12 patients with tuberculoma were HIV-positive with a mean CD4+ cell count of 168/?L (range, 6 to 496/?L). Even though all of the patients had CXR findings consistent with pulmonary TB, they presented primarily with neurological symptoms of weakness, coma, seizures, and headache. M tuberculosis was isolated from 1 of 6 cerebrospinal fluid specimens submitted for culture and from 3 of 6 specimens of respiratory secretions submitted for culture.
Vidal and colleagues10 reviewed tuberculous brain abscesses in 12 patients with HIV/AIDS. The average CD4+ cell count was 145/?L. In 5 of the 12 patients CXR findings were abnormal. The most common presenting symptoms included seizures, headaches, paresis, and altered mental status. Eleven of the patients had a single lesion. All patients underwent surgical procedures and were given antituberculosis therapy. Three of 12 patients died, but only 1 death was attributed to TB.
Evaluating CNS lesions in HIV-infected persons can be challenging because of multiple potential causes. In patients with HIV/AIDS who present with ring-enhancing lesions and whose serological tests for
Toxoplasma
yield negative results, brain biopsy should be considered early in the hospital course. Immunosuppression attributed to HIV infection, corticosteroid therapy, or active TB can cause a negative TST response that should not decrease the suspicion for TB. Because in HIV-infected persons the risk of
M tuberculosis
infection progressing to active TB is higher, TB should always be considered in a person with CNS lesions and abnormal CXR findings.