Pain has been present for 2 days; patient denies overuse or injury but says she has been jogging a little more than usual. What's your diagnosis?
Image of injury, taken in ED

CT scan, right foot

ACHILLES TENDONITIS AND INJURY

History of present illness: A 32-year-old woman presents to the emergency department for right Achilles tendon pain which has been present for the past 2 days. She denies any injury or significant overuse although she had been jogging a little more than her baseline recently. She denies any fever, new footwear, or other complaints.
Vital signs and physical examination: Vital signs are normal. Physical examination is normal except for mild warmth, tenderness, and swelling to the ankle and anterior foot. However, she is only tender in the Achilles area, which barely appears swollen in comparison to the foot. (See image above; right side is the symptomatic side; click once on image to enlarge).
Initial differential diagnosis
Initial diagnostic testing
Questions
Please click here for answers and discussion.
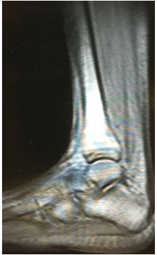
It was decided to get an urgent MRI, which confirmed inflammatory changes of the lower Achilles tendon (see image at right; click image once to enlarge). There was no cellulitis or joint effusion. Patient had recently taken a quinolone for a UTI.
Discussion: Achilles rupture may occur without warning, usually during strenuous activity, or may occur after a prodrome of discomfort likely related to tendonitis/tendonopathy. Symptoms of rupture include sudden pain followed by inability to walk. Examination will show an Achilles defect and an abnormal Thompson test (AKA calf squeeze test).
Symptoms of tendonitis usually only include pain, but swelling may also occur. Even if the pathology is on the ventral/plantar side, swelling may be more pronounced on the top of the foot because tissue is loosest there. This is similar to what may occur in the hand where the back of the hand may be the more swollen area even when the pathology is on the palmar side.
Treatment of Achilles rupture is usually surgical, while treatment of tendonitis involves rest and removal of any potential contributing factors that are modifiable, such as quinolones or steroids, optimizing treatment of potentially contributing medical conditions such as renal disease or diabetes. Onset of tendonitis after quinolones typically takes days to a few weeks but can take just hours or much longer periods, even months. (For more informaiton on Achilles tendonitis and rupture, click once on sample page at right to enlarge, then focus on highlighted area. Additional information can be found here.)
Case conclusion
The patient was discharged home with crutches and orthopedic follow up. She was placed on athletic restriction until pain resolved, which took 3 weeks.