A 51-year-old man was hospitalized for subacute alteration of mental status. The patient had a history of alcohol abuse. He had no other medical disorders. Vital signs were normal. The patient scored 15 out of 30 on the Mini-Mental State Examination. He had an ataxic gait; all other physical findings were normal. The family reported that he had been treated in the emergency department 3 days earlier for hypoglycemia. Results of a complete metabolic profile and complete blood cell count were normal.
A 51-year-old man was hospitalized for subacute alteration of mental status. The patient had a history of alcohol abuse. He had no other medical disorders.
Vital signs were normal. The patient scored 15 out of 30 on the Mini-Mental State Examination. He had an ataxic gait; all other physical findings were normal. The family reported that he had been treated in the emergency department 3 days earlier for hypoglycemia. Results of a complete metabolic profile and complete blood cell count were normal.
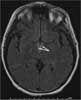
An MRI scan of the brain obtained as part of the workup for ataxia showed mammillary body necrosis (arrows), consistent with Wernicke encephalopathy.
Wernicke encephalopathy is caused by thiamine (vitamin B1) deficiency and is commonly associated with chronic alcoholism or malnutrition. The resulting cofactor depletion produces a decrease in glucose metabolism and an accumulation of glutamate. Neuronal loss, gliosis, and demyelination of the periventricular gray matter affect the mammillary bodies, thalamus, third and fourth ventricles, and anterior cerebellum.

Classic symptoms include lower limb ataxia, ophthalmoplegia, and global confusion. Ocular manifestations may include horizontal nystagmus, conjugate gaze palsy, bilateral palsy of the lateral rectus, and ptosis. Polyneuropathy is also present in many cases. These symptoms are typically reversible with immediate intramuscular or intravenous thiamine administration; however, the condition may progress to Korsakoff psychosis, which is characterized by amnesia and confabulation.
Acute Wernicke encephalopathy is associated with mammillary body hemorrhage, whereas the chronic state is characterized by atrophy of the mammillary bodies. These features can be detected by MRI.
This patient was treated with intravenous thiamine and folate. His mental status began to improve on the second day; he was able to ambulate with minimal assistance by the fourth day. At discharge, oral thiamine was prescribed. Recovery was slow but uneventful.