A 72-year-old obese man with chronic atrial fibrillation, hypertension, hyperlipidemia, and a history of tobacco use presented for a routine office visit. A year earlier, he began to experience recurrent chest pain, but an ECG had shown normal T waves.
A 72-year-old obese man with chronic atrial fibrillation, hypertension, hyperlipidemia, and a history of tobacco use presented for a routine office visit. A year earlier, he began to experience recurrent chest pain, but an ECG had shown normal T waves. An adenosine pharmacological stress test with single photon emission CT myocardial perfusion imaging showed borderline ST changes, which were nondiagnostic. Nuclear images were negative for ischemia, and the ejection fraction was 52%.
Chest pain recurred intermittently for several months during rest and exertion. At the time of his office visit, however, the patient was entirely asymptomatic. Findings from a physical examination of the lungs, heart, abdomen, extremities, and pulses were unremarkable.

Office ECG findings showed atrial fibrillation with a controlled heart rate. Deep T-wave inversions were noted across the precordium (A), however. The patient was admitted to the hospital. Serial creatine kinase and troponin levels were normal. Warfarin was discontinued and cardiac catheterization was performed once the patient’s international normalized ratio was normal.
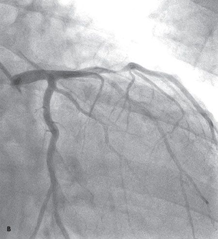
Coronary arteriography revealed single-vessel disease with a 90% stenosis of the proximal left anterior descending (LAD) artery (B). Ejection fraction was 50%. The patient received a drug-eluting stent to the LAD artery lesion and was discharged home the following day in good condition.

Wellens syndrome suggests severe disease of the proximal LAD artery. Classic ECG findings are characterized by deep (greater than 2 mm) symmetric T-wave inversions in the anterior precordial leads, usually in the setting of unstable angina.1,2 The ECG manifestations may occur on or after hospital admission and during pain-free intervals.1-3 Despite the absence of ST-segment elevation or a significant rise in cardiac enzyme levels, the characteristic Wellens syndrome ECG suggests tight proximal LAD coronary artery stenosis, which carries a poor prognosis if it is unrecognized or managed medically or if the patient is sent for diagnostic stress testing.1-3 Variant ECG findings in the anterior precordial leads include biphasic T waves and combined ST depression and T-wave inversion.3,4
If Wellens syndrome is recognized in a timely fashion, appropriate evaluation and treatment will avert an otherwise poor prognosis. Patients with this ECG finding should undergo cardiac catheterization rather than stress testing, so as not to precipitate an acute cardiac event in the stress laboratory.
REFERENCES:
1.
de Zwaan C, Bär FW, Wellens HJ. Characteristic electrocardiographic pattern indicating a critical stenosis high in left anterior descending coronary artery in patients admitted because of impending myocardial infarction.
Am Heart J.
1982;103:730-736.
2.
de Zwaan C, Bär FW, Janssen JH, et al. Angiographic and clinical characteristics of patients with unstable angina showing an ECG pattern indicating critical narrowing of the proximal LAD coronary artery.
Am Heart J.
1989;117:657-665.
3.
Lilaonitkul M, Robinson K, Roberts M. Wellens’ syndrome: significance of ECG pattern recognition in the emergency department.
Emerg Med J.
2009;26:750-751.
4.
Haines DE, Raabe DS, Gundel WD, Wackers FJ. Anatomic and prognostic significance of new T-wave inversion in unstable angina.
Am J Cardiol.
1983;52:14-18.