An 86-year-old woman complains that she has felt "not at all well" for the past day. Her symptoms include diffuse generalized weakness and nausea; she denies chest pain, shortness of breath, abdominal pain, leg swelling, palpitations, and light-headedness. Five years earlier, a pacemaker was implanted as therapy for sick sinus syndrome and atrial fibrillation.
An 86-year-old woman complains that she has felt "not at all well" for the past day. Her symptoms include diffuse generalized weakness and nausea; she denies chest pain, shortness of breath, abdominal pain, leg swelling, palpitations, and light-headedness. She has a history of endometrial cancer, hypertension, atrial fibrillation, and sick sinus syndrome. Five years earlier, a pacemaker was implanted as therapy for sick sinus syndrome and atrial fibrillation. Her current medications include digoxin, metoprolol, warfarin, and replacement thyroid hormone.

The patient is alert and in minimal distress. Temperature is 37°C (98.6°F); heart rate, 58 beats per minute; respiration rate, 16 breaths per minute; and blood pressure, 98/41 mm Hg. Her head, ears, eyes, nose, and throat are normal. Heartbeat is occasionally irregular but without murmurs. Chest is clear, and abdomen and extremities are normal. The 12-lead ECG is as shown.
What is the most likely cause of this patient's symptoms?
WHAT THE ECG SHOWS
The ECG reveals a narrow QRS-complex rhythm at a rate of 55 beats per minute with intermittent irregularity (Figure 1). In addition, there is no atrial P-wave activity, which is consistent with the history of atrial fibrillation.

Digoxin, or cardiac glycoside, toxicity can produce a wide variety of cardiac dysrhythmias, including both excitant activity (eg, premature ventricular contractions, atrial and junctional tachydysrhythmias) and suppressant activity (eg, sinus bradycardia, bundle-branch block [BBB], and atrioventricular [AV] block). Metoprolol, or b-blocker, toxicity can result in marked bradycardia and varying degrees of AV block.1 The bradycardic rhythm seen in this ECG could be the result of either cardiac glycoside or b-blocker toxicity. It could also represent the patient's baseline condition of atrial fibrillation and sick sinus syndrome.
The real question, however, is why this patient has a bradycardic rhythm at all, given the presence of a VVI pacemaker. Most pacemakers are set to pace when native cardiac activity falls below a threshold level (generally 60 beats per minute); this patient should exhibit ventricular pacing when her native rhythm is slow. The most likely cause of her bradycardia is thus a malfunction of her VVI pacemaker.
GROWING USE OF PACEMAKERS
Implantable cardiac pacemakers were first used in the 1950s to prevent Stokes-Adams attacks. Advances in technology, a growing list of indications for pacing, and the aging of the population ensure that health care providers will encounter increasing numbers of patients with cardiac pacemakers.2
A 5-position code has been developed to describe and classify pacemakers.3 Position I indicates the chambers being paced: atrium (A), ventricle (V), both (D [dual]) or none (0). Position II gives the location where the pacemaker senses native cardiac electrical activity: A, V, D, or 0. Position III indicates the pacemaker's response to sensing: triggering (T), inhibition (I), both triggering and inhibition (D), or none (0). Position IV shows programmability and ability to adaptively control rate, and position V indicates whether antitachydysrhythmia functions are present. Pacemakers are typically referred to by the first 3 position codes.
Most patients with a pacemaker have a card that identifies its make and model. Also, manufacturers place an identification number in the generator that is sometimes visible on a chest radiograph.
The most common pacer is the DDD pacemaker, which senses activity in both the atria and the ventricles and either paces or inhibits these chambers depending on the native cardiac activity sensed. VVI pacing, as was used in this woman, is helpful in patients with chronically ineffective atria, such as those with chronic atrial fibrillation or atrial flutter. A VVI pacemaker senses and paces the ventricle. If native ventricular activity is sensed, pacing is inhibited.
TYPES OF PACEMAKER MALFUNCTION
The various types of pacemaker malfunction include:
Pacemaker-mediated dysrhythmias occur when the pacemaker itself serves as the source of the abnormal cardiac rhythm. Most of these dysrhythmias are tachycardic rather than bradycardic; they include pacemaker-mediated, or endless loop, tachycardia and runaway pacemaker, or sensor-induced, tachycardia.4 Because this patient's dysrhythmia is bradycardic, pacemaker-mediated dysrhythmia is unlikely.
Undersensing occurs when a pacemaker fails to sense or detect native cardiac activity. Pacing spikes are seen when they should not occur.
"Failure to pace" describes a situation in which pacing should occur but the pacemaker does not fire. On the ECG there are no visible pacing spikes when these should be evident. Causes of failure to pace include oversensing, pacing lead problems (dislodgment or fracture), battery or component failure, and electromagnetic interference.
"Failure to capture" occurs when a pacing stimulus is generated but fails to trigger myocardial depolarization. On the ECG, failure to capture is identified by the presence of pacing spikes without associated myocardial depolarization, or capture. Causes include pacing lead problems, battery or component failure, low pacing voltage or elevated myocardial pacing thresholds, and exit block.
IDENTIFYING THE TYPE AND CAUSE OF MALFUNCTION
Patients with pacemaker malfunction often have vague and nonspecific symptoms. In addition to the 12-lead ECG, a magnet can assist with the evaluation of pacemaker function. For example, if there is no pacemaker activity on the ECG, placing a magnet over the pacemaker will switch the pacemaker to asynchronous pacing and allow for assessment of capture. If the patient's native cardiac rhythm is above the rate threshold for pacing, attempts to slow the heart rate with carotid massage, adenosine, or edrophonium may be useful but should be performed with extreme caution. Finally, if routine evaluation yields no pacemaker abnormalities, the pacemaker should be evaluated electronically.



Here the nature of the pacemaker malfunction is evident from the patient's initial 12-lead ECG.Small pacer spikes are seen throughout the tracing; these have no clear or consistent association with the QRS complexes (see Figure 1, arrows). This finding, along with the fact that the patient's rhythm is slower than most standard programmed pacing thresholds, is consistent with pacemaker failure to capture.
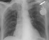
The cause of the patient's pacemaker malfunction was demonstrated by a chest radiograph, which revealed a fracture in the pacing wire (Figure 2). This wire fracture caused not only the failure to capture but also a failure to sense native ventricular activity-and even some degree of failure to pace. Note the low amplitude pacer spikes, which indicate low-voltage transmission to the myocardium.
RESTORATION OF NORMAL VENTRICULAR PACED RHYTHM
The patient was admitted to the electrophysiology service, and the fractured right ventricular pacing lead, as well as the pacemaker generator, was replaced. After the procedure, her symptoms resolved. A new 12-lead ECG (Figure 3) shows normal VVI pacing, with functional sensing of native activity and normal pacing spikes and capture.
Compared with native activity, a paced ventricular rhythm appears abnormal. Because the ventricular pacing lead is usually placed in the right ventricle, the ventricles depolarize from right to left rather than through the regular conduction system. This abnormal conduction produces an overall QRS morphology similar to that seen in a left BBB, with prolongation of the QRS interval.
Occasionally, an epicardial, rather than an intracardiac, pacemaker lead is used. This may be placed over the left ventricle; if it is, a right BBB pattern results.5 Also, if the pacemaker wire is in the apex of the right ventricle, the characteristic widened, monophasic, notched R waves typically seen in leads V5 and V6 in left BBB are replaced by widened S waves.
Because of the abnormal ventricular depolarization, repolarization also occurs abnormally. ST segments and T waves are typically discordant with the QRS complex, as can be seen with the paced beats in this patient's most recent ECG-particularly across the precordium, where the QRS complexes are primarily downward and the T waves primarily upright (see Figure 3).6
Editor's note: A discussion of which pacemaker to use in a patient with bradycardia-tachycardia syndrome (a variant of sick sinus syndrome) is presented in "What's The 'Take Home'?".
REFERENCES:
1.
Holstege CP, Eldridge DL, Rowden AK. ECG manifestations: the poisoned patient.
Emerg Med Clin North Am
. 2006;24:159-177.
2.
Gregoratos G, Cheitlin MD, Conill A, et al. ACC/AHA guidelines for implantation of cardiac pacemakers and antiarrhythmia devices: executive summary--a report of the American College of Cardiology/American Heart Association Task Force on Practice Guidelines (Committee on Pacemaker Implantation).
Circulation
. 1998;97:1325-1335.
3.
Bernstein AD, Camm AJ, Fisher JD, et al. North American Society of Pacing and Electrophysiology policy statement. The NASPE/BPEG defibrillator code.
Pacing Clin Electrophysiol
. 1993;16:1776-1780.
4.
Lau CP, Tai YT, Fong PC, et al. Pacemaker medi-ated tachycardias in single chamber rate responsive pacemakers.
Pacing Clin Electrophysiol
. 1990;13(12, pt 1):1575-1579.
5.
Chan TC, Cardall TY. Electronic pacemakers.
Emerg Med Clin North Am
. 2006; 24:179-194.
6.
Kozlowski FH, Brady WJ, Aufderheide TP, Buckley RS. The electrocardiographic diagnosis of acute myocardial infarction in patients with ventricular paced rhythms.
Acad Emerg Med
. 1998;5:52-57.