A man in his eighties presents to the ED after 1 week of persistent bilateral leg weakness and dysgeusia that has not worsened. What's your Dx?

History of present illness. A man in his early eighties presents to the emergency department for bilateral leg weakness for the past week. He denies any neck or back pain, headache, injury or extremity pain. He states he is able to walk but is having difficulty going up stairs and getting out of a chair.
Nothing is getting any worse, but it has not improved after waiting a week before seeking medical attention. He also states that his tongue has felt/tasted funny for about a week and that his lips feel slightly weak. He says all the symptoms seem symmetric and denies any change in speech, vision or balance or any other complaints.
Vital signs and physical examination. Vital signs are normal. Physical examination also is normal except for a slow steady gait and 5-/5 bilateral leg strength. Reflexes are normal and there is no clonus. Cranial nerves are all intact. Straight leg raise testing is normal and there is no spinal tenderness.
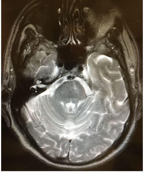
Initial diagnostic testing. CBC and BMP are normal, including potassium; MRI of the head is shown here.
