A man in his mid-sixties reports constant bilateral chest pain that radiates to the back that began yesterday. Can you Dx based on the CT image here?

History of present illness. A man in his mid-sixties with a history of endoscopy-confirmed gastroesophageal reflux disease (GERD) and esophagitis presents to the emergency department with epigastric/chest pain. He reports constant bilateral chest pain radiating to the back since the day before. He denies any aggravating factors, shortness of breath, nausea, or vomiting. He took Pepto-Bismol with minimal relief.
Vital signs & physical examination. Vital signs are normal except for elevated blood pressure (190/115 mm Hg). Other than mild epigastric tenderness, the physical examination is otherwise unremarkable.
Initial diagnostic testing
CBC: normal
CRP: 2.4
Blood chemistry: bilirubin 1.3/0.4 mg/dL, ALT/AST 120/60 U/L
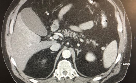
Imaging: see CT below

FDA Approves Updated Indication Statement for Upadacitinib in Inflammatory Bowel Disease Treatment
October 14th 2025FDA approves updated indication for upadacitinib in ulcerative colitis and Crohn disease treatment, allowing use after one systemic therapy when TNF blockers are clinically inadvisable.
Clinical Tips for Using Antibiotics and Corticosteroids in IBD
January 5th 2013The goals of therapy for patients with inflammatory bowel disorder include inducing and maintaining a steroid-free remission, preventing and treating the complications of the disease, minimizing treatment toxicity, achieving mucosal healing, and enhancing quality of life.